自发性颅内低血压
放射的功效定位和盲目的血补丁
文摘
摘要目的:本研究的目的是评估功效和比较的结果目标和盲目的硬膜外血补丁(EBP)治疗自发性颅内低血压(硅)。
方法:1999年1月至2009年12月,56岁的患者被诊断为硅收到目标或EBP视而不见。药效的针对性和盲目EBP评估基于症状缓解程度和持续时间和重复EBP的必要性。
结果:56例(23男人和33个女人;平均年龄39.6岁;年龄22 - 69岁)被纳入本研究。31名患者接受EBP,脑脊液漏部分,和25收到了盲目EBP因为主要脑脊液漏网站没有确定(19病人通过腰椎硬膜外路线,主要是3 - 4级,无论主脑脊液漏的网站,并通过上胸6例硬膜外空间,主要是T4-6级别)。31名病人有针对性的EBP, 27(87.1%)表现出临床改善后第一个管理。相比之下,13的25例(52%)接受盲目EBP通过腰部或上胸硬膜外路线取得了完全恢复。目标比盲目ebp ebp更有效治疗硅(p< 0.05)。
结论:ebp针对脑脊液漏患者可以安全地放置荧光镜的指导下硅氮和更有可能比盲目地放置ebp有效。
自发性颅内与直立性低血压(硅)礼物头痛、脑脊液压力低,体积,和磁共振(MR)异常,包括弥漫性pachymeningeal增强,硬膜下液体收集和脑干和扁桃体向下位移。1,2在几个治疗方案等硅卧床休息,硬膜外血补丁(ebp),或手术闭合,3,4EBP为硅提供了最有效的治疗方式。ebp函数的确切机制仍存在争议。1EBP可能作为硬脑膜的填塞,密封泄漏,5,- - - - - -,8表明准确定位脑脊液漏的脊髓成像对目标EBP至关重要。然而,直接方法有风险,如医源性硬膜外血肿,并可能出现困难接近窄颈胸或硬膜外空间。为了避免这些问题,其他人忙盲目EBP通过腰椎空间,相对较宽,安全区域。9,- - - - - -,12盲目地打补丁的血液通过腰椎路线可能蔓延至仰卧cervico-thoracic水平12和可能限制脑脊液流并减少脑脊液吸收,随后导致re-equilibration脑脊液压力。
还没达成共识关于目标和盲目EBP之间的优化方法。由于硅的稀有,随机前瞻性控制研究是有限的。13,14我们回顾性评估的结果56个病人在一段时间内的11年通过分析每个治疗方式的临床结果,比较有针对性和EBP视而不见。
方法
病人的特点。
1999年1月至2009年12月,我们61个连续的患者治疗诊断为硅根据国际头痛头痛疾病分类标准归因于自发性脑脊液压力(或特发性)低。15在大多数患者中,脑MRI显示强烈的对比度增强和增厚pachymeninges,兼容的典型影像学检查硅(图1)。其他先生发现包括下行扁桃体的下垂,海绵窦充血,和垂体腺肿大。更准确的诊断,增加腰椎脑脊液51的61名病人进行了研究。CSF漏准确的定位网站,我们评估脊柱MRI,包括fat-suppression t2加权图像CT myelographic或放射性核素cisternographic图像(图1)。硅氮诊断后,病人被建议卧床休息至少两周。
硬膜外血补丁。
如果保守治疗失败,ebp在56 61名患者的管理。提供完整的知情同意后,56例病人接受了EBP使用9-20毫升(平均12毫升)的自体血。ebp目标或失明。有针对性的选择EBP或盲目EBP根据治疗医生的偏好。为盲人EBP过程,腰椎EBP被使用21-gauge爵针通过中线的方法与患者躺在一边。硬膜外空间被使用的电阻技术,和10 - 20毫升的自体血慢慢注入。整个过程没有荧光镜的指导执行。病人保持30度仰卧后20分钟过程。
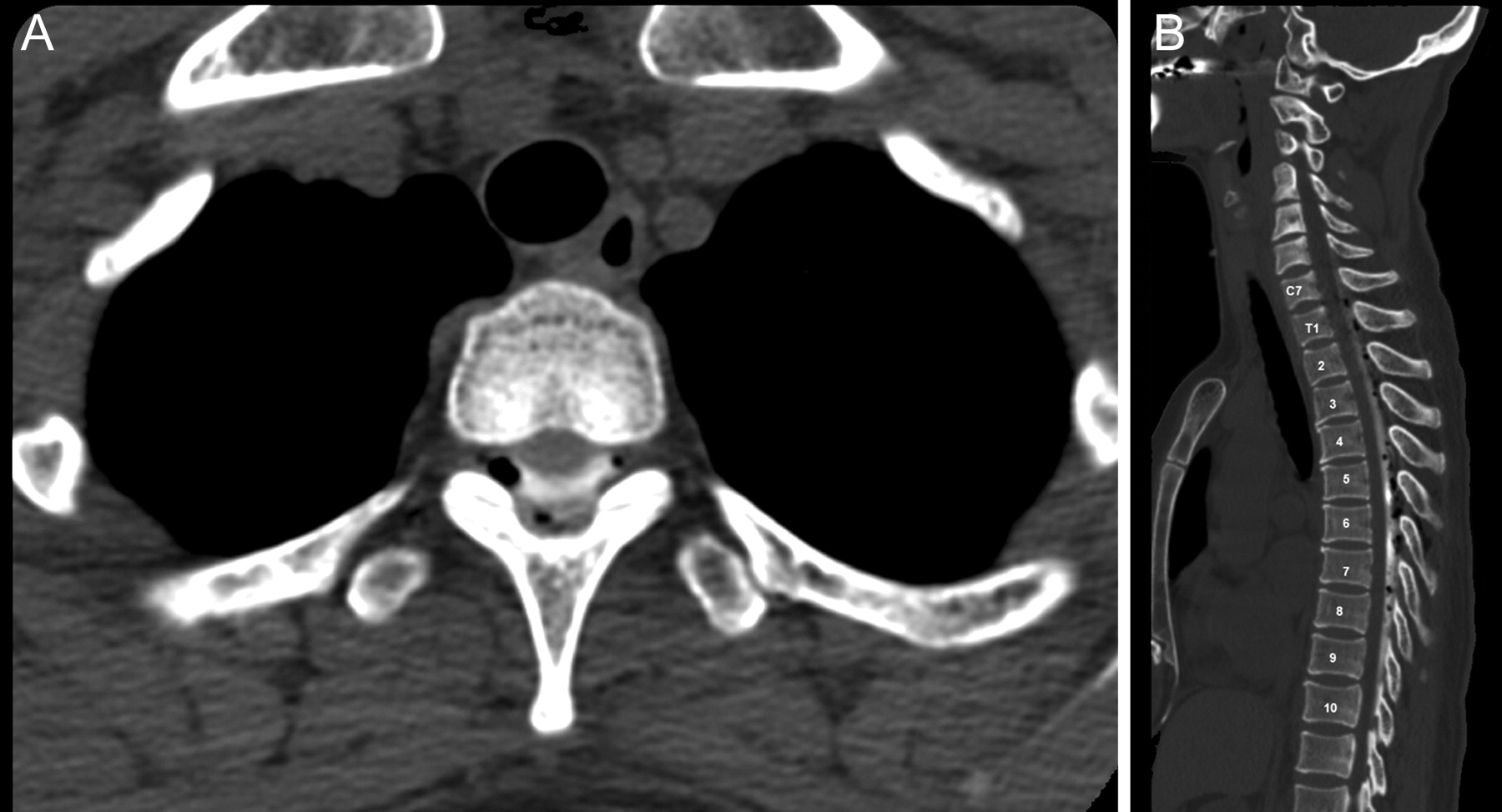
针对EBP也放置使用21-gauge爵针使用相似的技术用于EBP视而不见。硬膜外腔后,在目标位置被确定阻力损失的技术,准确的定位终于透视下经硬膜外腔造影术。此后,荧光镜的指导下在俯卧姿势,10 - 15毫升的自体血混合着对比剂(1 - 2毫升iopamidol)注射,使血液补丁的传播观察(图2)。病人至少保持仰卧的EBP放置后24 - 48小时之内。所有患者接受脊椎CT EBP位置确认后立即修补的分布有针对性的硬膜外腔周围的血液(图3)。没有响应EBP或复发病例在EBP,我们考虑重复EBP。随访时间从6个月到5年不等的意思是4.2年。
分析的结果。
每个治疗方法的效果进行了评估症状缓解的程度和持续时间,和重复ebp的数量。评估治疗结果,我们定义一个贫穷的结果作为一个持续的症状或签署要求重复EBP,和良好的结果完全恢复或最小的症状只需要药物,如非甾体类抗炎药物,缓解疼痛。我们调查了临床课程的56位患者通过回顾医疗记录和后续数据从我们的门诊部门,和比较的结果目标和盲目ebp对临床课程使用Fisher精确检验。
结果
56例(23男人和33个女人;平均年龄39.6岁;范围22 - 69年)被纳入本研究。临床上,55例(98.2%)显示直立性头痛发作的症状。其他硅的表现包括恶心,呕吐,颈部僵硬、耳鸣、视力模糊、复视、精神状态改变。在所有患者脑部MRI进行早期诊断。扩散pachymeningeal增强脑部MRI是最常见的发现,并在48例。然而,8例没有pachymeningeal增强明显。硬脑膜下血肿被发现在13个患者和18例观察扁桃体的向下位移。12例MRI显示一个删除prepontine水箱。 Spinal MRI was performed in 27 patients, CT myelography in 19, and radioisotope cisternography in 33. Spinal neuroimaging such as whole spine MRI including fat-suppression images or CT myelography and radioisotope cisternography revealed a spinal CSF leak site in 37 of 56 patients (图1)。脑脊液漏的位置如下:颈,6例;cervico-thoracic, 15;midlower胸,8;腰,10;和未知,17 (表1)。由于质量效应,8慢性硬膜下血肿患者接受了毛刺和排水洞环钻术。
治疗结果的针对性和ebp视而不见。
除了5患者保守治疗卧床休息和静脉注入生理盐水,收到一封EBP 56个病人。在这些病人56,31日进行了有针对性的EBP怀疑脑脊液漏段位于C1-2水平(1例),颈水平(2例),上胸(T3-7, 16个病人)水平,降低胸水平(5例)和腰椎水平(7例)。目标的位置EBP终于决定考虑cervico-thoracic结的脊柱前凸的曲线。25名患者接受盲目EBP;19名患者接受EBP通过腰椎硬膜外路线(主要是L3-L4级别)当主脑脊液漏网站没有明确确定或无论主脑脊液漏网站,并通过上胸6例硬膜外空间(主要是T4-6)。
31岁的病人有针对性EBP, 27个有经验的症状缓解,没有复发。只有4例(12.9%)未能改善临床后第一个EBP,和所有4进行了重复EBP针对主要脑脊液漏的网站。第二个目标EBP后,4名患者都只有微小残留头痛。相比之下,13的25病人盲目EBP通过腰部或上胸硬膜外路线达到完全恢复,和12(48%)经历了持续的头痛。另外,12的19例患者(63.2%)接受盲目EBP通过腰椎路线有一个持续的头痛和最终需要超过2 EBP,而6病人第一个盲人通过胸EBP路线没有复发或残留症状。我们发现目标比盲目EBP EBP更有效治疗硅的临床表现和需要重复过程(p< 0.05)(表2)。没有procedure-associated死亡率或procedure-associated虚弱病例发生在两组。
讨论
尽管EBP广泛接受作为主要治疗方法为硅和postdural穿刺头痛,负责其作用的机制还未确定,16,17但在硬膜外的压力,可能需要临时增加密封的眼泪凝结注入血液,或促进硬脑膜的炎症反应的起始撕裂愈合。16,18成功率第一块硅氮从36%18到57%,17尽管有针对性的EBP比盲目EBP更有效。1,19,20.ebp目标可能与更高的风险,包括压缩脊髓和神经根的化学脑膜炎,囊内的血液注入,颈部僵硬。此外,只有少量的血液可以在宫颈注射或胸水平与腰椎水平。因此一些提供者支持盲目或间接EPB通过腰椎硬膜外路线,因为宽CSF空间赋予的安全在脊柱内的运河19,21;功效的盲目EBP硅接近90%,当放置在一个位置远离脑脊液漏时脑脊液漏网站或网站并不确定。12修补硬膜外腰硬膜外腔血液传播很容易脊髓神经影像紧随其后。
在目前的研究中,第一目标EBP后成功率为87.1%,与52%的盲人EBP (p< 0.05)。此外,针对EBP后没有遇到手术并发症。患者复发或持续脑脊液漏谁经历了盲目EBP起初表示,针对EBP再次使用大量的自体血,执行所述。1因此,我们取得了所有的病人没有任何发病率显著提高。因此,我们建议,如果第一个盲人EBP是不成功的,进一步的调查,如脊髓造影术先生,放射性同位素脑池造影术或fat-suppression t2加权MRI应进行本地化脑脊液漏EBP目标网站。
技术细节可以提高成功。荧光镜的指导是理想确认针的位置提示硬膜外腔内和硬膜外腔造影术可以确认硬膜外修补区域涵盖了脑脊液漏的位置。此外,9至10毫升的血液的混合物和1毫升的对比剂将直接指导修补血液进入硬膜外腔的分布。最后,脊髓CT扫描后立即获得EBP可以显示分布的修补硬脑膜的囊周围的血液沿着脊柱的长度和是否修补血液适当覆盖硬膜外腔。液体注入血液的一致性在硬膜外的管理也应该被考虑。注入的血液不能沿长轴分布的脊柱由于其粘度。在目前的研究中,脊髓CT扫描后立即执行EBP表明注射自体血与对比剂混合涉及脊柱的各个水平的数量(从5到6到10 - 12水平)从主网站注入。尽管如此,我们建议注射部位应尽可能附近主要的脑脊液漏。
有时,我们无法执行目标EBP治疗硅因为主要脑脊液漏的位置不能确定。在我们的研究中,我们不能确定准确的定位在6例脑脊液漏,盲人通过胸EBP路线荧光镜的指导下执行。如果我们认为CSF泄漏通常涉及颈胸的区域,一个EBP管理盲目地通过胸路线可能是附近的主要泄漏。因此,当诊断成像技术,如脊髓MRI、脊柱脊髓造影术,脊髓造影术先生或放射性同位素脑池造影术,不能识别脑脊液漏的主要起源或结果不一致,我们建议盲目EBP胸通过上层路线而不是通过腰部。通过胸上部EBP管理路线脊髓损伤的风险小,如果所有程序荧光镜的指导下执行。
我们承认这个研究有一些缺点。首先,它本质上是有限的回顾性设计和缺乏随机化硅氮由于发病率低。病例数为太小对EBP的效果得出明确的结论。尽管如此,我们的研究表明,准确的定位主要脑脊液漏确定EBP的目标网站是至关重要的,这将有助于避免重复EBP。我们建议有针对性的EBP可以安全、有效地进行硅氮荧光镜的指导下治疗。
脚注
研究经费:支持三星生物医学研究所格兰特(SBRI c - b0 - 303 - 1)和韩国医疗技术研发项目的资助,健康和福利事务部,大韩民国(A092255)。
披露:作者报告没有披露。
-
- EBP
- 硬膜外血补丁
- 先生
- 核磁共振
- 硅氮
- 自发性颅内低血压
- 收到了2010年9月12日。
- 接受2010年12月17日。
- 版权©2011年长企业公司,。
引用
信:快速的网络通信
你可能也会感兴趣
更多的网上
主题讨论
提醒我
推荐的文章
- 文章
重t2加权先生脊髓造影术对CT脊髓造影术在自发颅内低血压y - f。王,j - f。Lirng, j - l。Fuh et al。
首页神经学,2009年11月30日 - 文章
CSF血容量减少和颅内低血压在“自发颅内低血压综合症”长谷川k . Miyazawa y志贺,t . et al。
首页神经学,2003年3月25日 - 文章
敏感的核磁共振脊柱与CT脊髓造影术在直立性头痛与脑脊液漏Amaal燕八哥,法蒂玛埃尔南德斯,约瑟夫·m·Hoxworth et al。
首页神经学,09年10月,2013年 - 文章
直立性头痛无脑脊液漏安德里亚·n则Hunderfund Mokri et al。
首页神经学,2008年12月1日


