视Neuromyelitis postrema病变独特的区域
恶心,呕吐,和致病性的影响
做出评论
看到评论
文摘
摘要目的:描述的neuropathologic特性neuromyelitis视(动)髓postrema第四脑室和地板区域。Aquaporin-4 (AQP4)自身免疫目标这一地区,导致棘手的恶心与呕吐或打嗝在动。
方法:这个neuropathologic研究进行档案脑干组织从15个病人动,5多发性硬化(MS)患者和8神经正常的受试者。使用逻辑回归评估病变的存在是否在这个级别的几率增加患者动恶心/呕吐的一集。
结果:六个病人动(40%),但是没有MS患者和正常对照组,表现出单边或双边病变涉及postrema面积和第四脑室的髓层。这些病变的特点是组织稀疏,血管增厚,没有明显的神经或轴突病理学,保存的髓室髓被盖。AQP4免疫反应性丢失或显著降低在所有6例,中度显著血管周的和实质淋巴细胞炎症浸润,突出小胶质激活,3例,嗜酸性粒细胞。补体沉积在星形胶质细胞、巨噬细胞和/或血管周的,和著名astroglial反应也在场。恶心/呕吐的几率被记录临床16倍大动情况下的地区postrema病变(95%置信区间为1.43 -437年,p= 0.02)。
结论:这些neuropathologic发现该地区postrema可能选择性目标疾病过程的动,并兼容恶心和呕吐的临床报道前的视神经炎和横向脊髓炎或预示着动校正的症状。
视Neuromyelitis(动)是一种中枢神经系统炎性脱髓鞘自身免疫性疾病,其特征是复发视神经和脊髓的攻击目标,1,2以及aquaporin-4 (AQP4)纯度的浓缩铀的室周的大脑区域。3,4动的循环针对疾病的自体抗体标记,NMO-immunoglobulin G(免疫球蛋白),结合具体的AQP4水通道集中在星形脚的过程。5,- - - - - -,7
临床、血清学、脑脊液神经成像,1,3,4和neuropathologic标准5,8区分动校正和多发性硬化症(MS)。动髓参与的特征症状包括棘手,但是可逆的,恶心,可能与呕吐/打嗝。9,- - - - - -,11这些症状可能伴随或之前动复发。10,11与棘手的病人呕吐作为第一个动通常由肠胃科评估的和孤立的症状和神经功能评价通常不是追求。9
区域postrema,催吐剂反射中心,12由2对称结构的地板菱形窝里。像其他circumventricular器官(CVO),它由松散的组织包含神经胶质和神经元,一层室管膜覆盖,由复杂的毛细血管渗透,缺乏严格的内皮连接形成透水血脑屏障(BBB)。12,13区域postrema与下丘脑和脑干核调节液体平衡,渗透调节、免疫调节等重要的生理系统。12,14
像其他室周的地区,第四脑室的髓层和区域postrema AQP4表达丰富,因此优惠目标动病变。3,4,8,15最少、动校正的临床表现包括棘手的恶心、呕吐、打嗝。这项研究是第一次完整描述动病变涉及区域的神经病理学postrema和第四脑室的髓地板。这些病变可能代表的病理衬底棘手但可逆的恶心和呕吐,发生在动。
方法
档案材料。
描述的动神经病理学在髓层postrema第四脑室和区域,我们分析了微观的横向部分尾髓质在档案从15个临床和病理解剖组织确认动情况下,5 MS控制情况下(4急性和慢性),和8神经正常的控制。尸检在梅奥诊所进行,罗彻斯特,MN,或从其他机构提交诊断在1958和2009之间。本研究得到梅奥诊所的机构审查委员会的批准。临床随访蒙蔽病理结果获得通过回顾医疗记录。所有15例病理动队列中遇到Wingerchuk标准动或动谱系障碍(NMOSD),1和展出NMO-characteristic病理光学或脊髓损伤。5,8这个群体的特征表e 1中列出的首页®网站www.首页neurology.org。平均年龄是45年出现症状(12 - 74)和48.5年(范围16 - 79)。疾病持续时间中位数为36个月(范围8 - 108)。NMO-IgG serostatus在6例(积极的5,包括所有3 NMOSD情况下)。
Neuropathologic评估和免疫组织化学。
标本在10% - -15%福尔马林固定石蜡和嵌入。部分与苏木精和伊红染色())来展示组织和细胞的形态学和Luxol快速蓝色/周期性acid-Schiff证明髓和髓磷脂降解产物。免疫组织化学进行了使用一个avidin-biotin或碱性磷酸酶/ anti-alkaline磷酸酶技术没有修改和初级AQP4抗体特定,髓鞘含蛋白脂质蛋白、胶质原纤维酸性蛋白(GFAP),神经丝,所有T (CD3),细胞毒性T (CD8)和B (CD20)淋巴细胞,浆细胞(CD138)、巨噬细胞和小胶质细胞(KiM1P),并激活补体(C9neo)(表依照)。8
炎性浸润特点对他们的存在与否,字符(弥漫性肺实质/焦血管周的),和严重性(轻度、中度、标记)和分级的基础上,炎性细胞袖口厚度如下:缺席,温和(几个船1部分或完整的袖口),或温和的标记(许多血管1袖口或几个船2袖口,或一些许多血管> 3袖口)。
统计分析。
我们使用威尔逊(CI)估计比例和95%置信区间独联体和逻辑回归来评估是否存在病变的第四脑室的髓层和区域postrema增加病人的几率与动有一集恶心/呕吐。置信区间的优势比(或)恶心/呕吐的存在与缺乏动病变在这个级别使用概要文件可能性方法计算。统计分析使用R2.8.1发布软件版本。
结果
Neuropathologic发现的第四脑室的髓层和区域postrema在动。
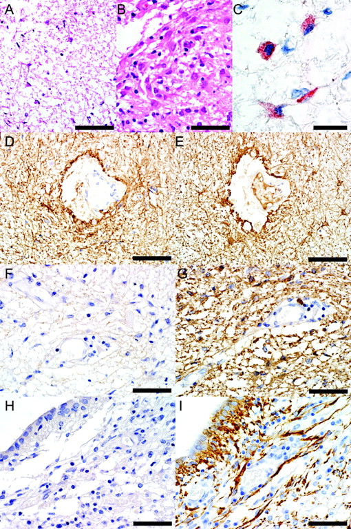
六动/ NMOSD确诊的15个临床和病理情况下包含在我们的研究(40%)(图1,A, C, D, e 1, A - C),但无法控制情况下(或正常)女士(图1,B, E, F;图E 1 D和E;和图3,D和E),显示的损失或减少AQP4免疫反应性的地板上第四脑室或区域postrema与基线相比正常表达。没有证据表明病毒标本或自身免疫性脑炎、缺血性中风,Balo病变,或其他可以解释的叠加病理学焦的AQP4在这个水平。8,16,17表1列出了本地区动病变的病理特征。室地板上的大多数病变有选择地参与横向方面包括postrema双边、区域和扩展罕见到髓被盖(图1,A, C, D, e 1, A - C)。只在一个情况下,AQP4的损失也扩展到中值方面在obex室的地板上。8病变仅限于髓层第四脑室和区域postrema并不代表吻侧扩展颈脊髓炎或背腹侧髓病变的延伸。只有一个地区患者postrema AQP4损失(病人1表1显示平均腹侧髓病变的存在,延长背retro-olivary沟的水平,但没有达到室地板上。没有其他动髓质与AQP4损失室地板的水平和区域postrema演示了额外的髓病变(表1)。之前报道,AQP4免疫反应性控制(正常和MS)和nonlesional动髓质在室最强烈的地区在第四脑室的地板,并局部星形end-feet对接血管和神经元,和室管膜细胞的基底膜(图1,A, C, D, e 1, A - C)。8AQP4免疫反应性是显而易见的在该地区postrema女士和健康控制组织,以及nonlesional动髓质(通过AQP4 +和GFAP +星形end-feet周围基底外侧内皮细胞膜和神经元),但在剩下的强度弱于髓室地板上(图1,B, E, F;图2C和D;图E 1 D和E;和图3,D和E)。相比之下,在动损伤组织区域postrema缺乏AQP4 (图1,A, C, D, e 1, A - C)。
(一)面积postrema(箭头)动病人(病人1表1和表e 1)提出了一个临床记录集恶心和棘手的呕吐显示了AQP4的特点有选择性的损失(AQP4,比例尺= 1毫米)。(B)相比之下,AQP4保存在该地区postrema(箭头)从控制急性多发性硬化症患者(Ctrl-MS) (AQP4,比例尺= 1毫米)。(C)更高的基于区域放大postrema(右箭头)显示了一个选择性AQP4的损失,而室保持AQP4免疫反应性(AQP4,规模酒吧= 100μm)。(D)更高的基于区域放大postrema(右箭头)显示特征边缘/玫瑰AQP4的损失分布在血管(AQP4,规模酒吧= 50μm)。(E)更高的区域放大postrema(左箭头B)显示保存的AQP4 Ctrl-MS (AQP4,规模酒吧= 200μm)。(F)更高的Ctrl-MS放大区域postrema(左箭头B)显示了AQP4的保存边缘分布在血管(AQP4,规模酒吧= 50μm)。
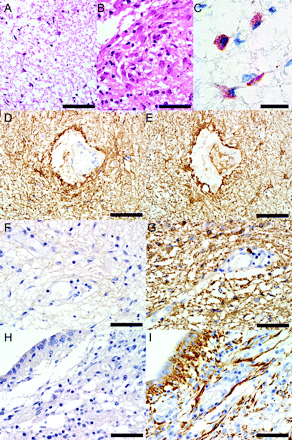
(A)的血管增厚区postrema(苏木精和伊红[)],比例尺= 50μm)。(B)的活化的小胶质细胞/巨噬细胞(KiM1P,规模酒吧= 100μm)。(C)胶质原纤维酸性蛋白(GFAP)免疫反应性的星形胶质细胞延长足过程包围了内皮细胞仍然存在在这些病变(GFAP、规模酒吧= 50μm)。(D) GFAP免疫反应性的星形胶质细胞和神经元的保护动区postrema (GFAP、规模酒吧= 50μm)。沉积在血管周的巨噬细胞和星形胶质细胞(E)补(C9neo,规模酒吧= 50μm)。(F) CD3 + T淋巴细胞存在于第四脑室的地板的subependyma (CD3、规模酒吧= 20μm)。(G)嗜酸性粒细胞炎性浸润的组件(圆),规模酒吧= 20μm)。(H)中度血管周的炎症在aquaporin-4 (AQP4)损失(AQP4,规模酒吧= 50μm)。保存(I)神经元周围的血管所示H(圆),规模酒吧= 50μm)。(J)巨噬细胞和小胶质细胞(KiM1P比例尺= 50μm), (K) CD3 + T淋巴细胞(CD3、规模酒吧= 50μm) (L) CD8 + T淋巴细胞(CD8、规模酒吧= 50μm), (M) B淋巴细胞(CD20,规模酒吧= 50μm), (N)浆细胞(CD138、规模酒吧= 50μm)组件的血管周围炎性浸润。 (O) Parenchymal plasma cells located in the subependyma of the floor of the fourth ventricle (CD138, scale bar = 50 μm). (P) Uninucleated, small, reactive astrocytes with thin, elongated processes (H&E, scale bar = 50 μm).
动区域的(A) Astrogliosis aquaporin-4 (AQP4)损失和组织稀疏与单核的小室的地板上反应性星形胶质细胞细长,薄过程(苏木精和伊红[)],比例尺= 75μm)。(B)在动区postrema Astrogliosis单核的小型反应性星形胶质细胞(圆),规模酒吧= 50μm)。(C)补充沉积反应性星形胶质细胞胞浆内空泡内局部(C9neo,规模酒吧= 20μm)。(D)正态分布的AQP4在髓质神经正常控制病人(Ctrl-N) (AQP4,规模酒吧= 75μm)。(E)正常胶质原纤维酸性蛋白免疫反应性Ctrl-N髓质(GFAP、规模酒吧= 75μm)。(F) AQP4在动校正领域失去postrema (AQP4,规模酒吧= 50μm),但(G) GFAP免疫反应性的星形胶质细胞内皮细胞周围的扩展脚过程中仍然存在病变(GFAP、规模酒吧= 50μm)。(H) AQP4在动髓层第四脑室(AQP4,规模酒吧= 50μm),但(我)GFAP免疫反应性的室管膜细胞周围星形胶质细胞延长脚过程仍然存在的病变(GFAP、规模酒吧= 50μm)。
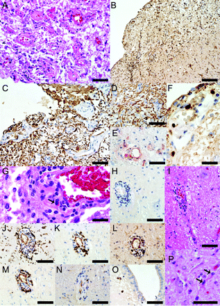
5 6例,AQP4缺失区域表现出组织稀疏或空泡形成和血管壁增厚(图2),3例表现出血管周的补沉积(图2E和4J)。补充产品也存在于巨噬细胞和活性膨胀星形胶质细胞(图2E和3C),没有发现急性神经病理学。因为面积postrema包含无髓鞘的轴突,脱髓鞘的存在与否这个网站无法评估。然而,正如先前报道,8髓鞘和轴突被保存在领域的AQP4损失从第四脑室的地板延伸到背髓被盖和myelin-laden巨噬细胞很少观察到。所有6例局部失去或减少AQP4包含温和的实质和血管周的炎症。炎症细胞被确认为T淋巴细胞(CD3 + (图2、F和K图4F]和CD8 + [图2L和4H]), B淋巴细胞(图2M和4G)和浆细胞(图2、N和O图4我)。没有控制髓质显示血管周的炎症和nonlesioned动骨髓只显示轻度血管周的炎症。所有6例表现出突出的实质小胶质细胞的激活和血管周的巨噬细胞(图2、B和J图4E), 3例炎性浸润中嗜酸性粒细胞(图2G和图4a - c)。
(一)实质嗜酸性粒细胞(苏木精和伊红[)],比例尺= 50μm)和(B, C)血管周的嗜酸性粒细胞(圆),B栏= 50μm规模,C比例尺= 30μm)组件的实质和血管周围炎性浸润。(D)标记血管周围炎性浸润(圆),规模酒吧= 75μm) (E)组成的巨噬细胞和小胶质细胞(KiM1P,规模酒吧= 75μm), (F) CD3 + T淋巴细胞(CD3、规模酒吧= 75μm), (G) B淋巴细胞(CD20,规模酒吧= 75μm)和(H) CD8 + T淋巴细胞(CD8、规模酒吧= 75μm)。(I)实质浆细胞位于subependyma髓地板的第四脑室(CD138、规模酒吧= 75μm)。(J)动血管周的沉积补充的“玫瑰”模式(C9Neo,规模酒吧= 50μm)。
尽管AQP4损失(图1C和D,图3,我和F),这些病变统一留存GFAP免疫反应性的星形脚流程(图2C和D,图3,我和G)。Astroglial反应是著名的:有些是双核和许多有多个,细长,流程(图2P和图3A和B)。
恶心和呕吐的临床发作。
蒙蔽回顾性研究病人的恶心/呕吐的临床记录显示文档集的4 6区postrema病变患者(表e 1)。在3例,死亡的事件发生在2个月内。在一个病人,它发生在在建立疾病复发。其他2例临床资料是有限的。9没有病变的患者中在这个级别,只有一个恶心/呕吐的记录集作为初始疾病表现。基于逻辑回归模型的病理参与髓层第四脑室和区域postrema预测和恶心/呕吐事件,恶心/呕吐症状存在的可能性估计16倍的存在与缺乏病变在这个级别(95% CI 1.43 -437;p= 0.02)。
讨论
与女士,棘手的恶心、呕吐、打嗝的症状特点动经常前视神经炎或横向脊髓炎10,11和可能发生一个孤立的早期疾病的临床表现。9我们的研究表明在尾骨髓病理异常第四脑室的地板和区域postrema在40%的患者动。这个频率对应记录的临床事件的发生率棘手的恶心/呕吐呃逆在动。10,11恶心/呕吐的发生是基于患者病变中过多本地区(67%)相比,动而不损伤患者(11%)。这些病变的存在增加了恶心/呕吐16倍的几率(95% CI 1.43 -437,p= 0.02)。因此,尽管选择、确定、和其他neuropathologic研究中固有的偏见,它不太可能影响小于的几率增加43%,高于16倍增加。
选择性AQP4的损失是统一neuropathologic特点的动病变发现髓postrema第四脑室和地板区域。这是伴随着组织稀疏,炎症,变量补充沉积,nonlytic GFAP-positive反应性星形胶质细胞的变化。之前报道,病变在这个级别是无损相对神经元,轴突和髓鞘保护。8
所有6动情况下表现出AQP4损失从该地区postrema和横向区域髓室的地板上。只有一个案例也有中线介入。8这些病理研究结果表明,区域postrema可能优惠和选择性动疾病过程的目标,并兼容恶心/呕吐的临床报道前的视神经炎和横向脊髓炎10,11甚至代表预示着疾病症状。9MRI也证明了孤立区域postrema参与动。9病理的参与区域postrema独立于第四脑室底进一步支持这一地区的参与作为一个潜在的初始NMO-IgG进入中枢神经系统。与其他CVO共同点,该地区postrema缺乏内皮细胞紧密连接,12,13和神经细胞在这一地区很容易到达循环免疫球蛋白。18此外,该地区postrema是最大脑血管区域之一。等离子体流和表面积/渗透率比值高于相邻髓地区。减缓血流的专业毛细管周“池”的组织液在该地区postrema增加当地的神经元和神经胶质的曝光bloodborne选民。13内皮NMO-IgG渗透及其延迟清关可能求和来维持一个异常高的浓度在星形end-feet在这个网站,从而提高区域postrema AQP4-IgG-induced病理生理学的脆弱性。两国参与选择性postrema面积的5/6动案例表明,免疫球蛋白针对AQP4在这个网站可能足以启动动疾病过程不需要抗原t细胞BBB破坏。支持这个建议“基本血钠过多”的报道被动转移小鼠静脉注射人类自身抗体针对的钠含量水平感应Nax渠道表达的星形胶质细胞、室管膜细胞和垂体细胞CVO。19,20.
先前的报道动病理学强调星形胶质细胞坏死和GFAP损失次要complement-mediated消散,AQP4-IgG绑定。21,- - - - - -,23相比之下,区域postrema病变的特点是突出nonlytic GFAP-positive星形胶质细胞的反应。髓室地板和区域postrema包含大量的单核的双核反应性星形胶质细胞,一些有多个,细长,薄的过程。尽管AQP4损失,他们保留了GFAP-positive脚过程,表明该地区complement-mediated细胞毒性最小化是快速AQP4的差别和持续对这些。24星形胶质细胞的外观让人联想到培养的星形胶质细胞的减少AQP4的RNAi疗法伴随着转换多边形的形态,解释为一个细胞策略来增加表面/体积比维持水通量AQP4的缺失。25
包含完整的nonlytic病变GFAP-positive反应性星形胶质细胞,我们确定在第四脑室的髓层和区域postrema与破坏性的脱髓鞘动病变发现在同一病人的脊髓或视神经。5,8可想而知,血管周的星形胶质细胞在该地区postrema可能有独特的属性。complement-regulatory区域差异蛋白表达已知确定脆弱性autoantibody-induced complement-mediated损害神经系统在不同地区。26Complement-regulatory蛋白质的质膜面积postrema星形胶质细胞可能因此呈现耐溶菌作用的补充。27还需要更多的研究来确认如果这是动校正。在缺乏星形细胞溶解,IgG-mediated AQP4的交联区域postrema可能触发被动astrocytosis。在锥虫属brucei感染,19另一种免疫介导CVO障碍,反应性星形胶质细胞在该地区postrema回应先天免疫效应器,生产招募和激活嗜酸性粒细胞趋化因子和细胞因子,巨噬细胞和淋巴细胞。事实上我们发现动类似招聘血管周的巨噬细胞,嗜酸性粒细胞,明显实质小胶质细胞的激活。从反应性星形胶质细胞释放的因素在该地区postrema可以激活邻近细胞进一步扭曲和放大免疫反应,提高BBB通透性,吸引来自体循环粒细胞和单核细胞。27early-cleaved补充的产品组件,以及反应性星形胶质细胞产生的细胞因子和趋化因子,也会激活居民小胶质细胞和树突细胞。27,28
炎性细胞因子信号从区域postrema小胶质细胞,巨噬细胞和树突细胞扩散到小胶质细胞在相邻的脑干核体积传输信号。被中间分子扩散、传递,传播信号在整个大脑实质通过招募邻小胶质细胞。29日因为该地区的室管膜衬postrema并不形成一个紧密的blood-CSF障碍,30.释放细胞因子在其中可以访问CSF影响遥远的大脑结构。31日CSF也是另一个潜在的途径为NMO-IgG postrema地区传播到遥远的大脑区域。32此外,免疫细胞面积已知postrema激活postrema感觉神经元。28预测区域postrema相邻脑干和下丘脑核负责催吐的反射也为交感神经系统和hypothalamo-pituitary-adrenal轴激活可以调节细胞因子诱导的疾病行为,免疫反应,或脑水体内平衡。12,14,20.
目前尚不清楚为什么有症状的病理生理学的第四脑室的髓层和区域postrema不是通用动病理特点。一个合理的解释是这些炎症的可逆性无损髓病变可能反映了一个短暂的星形胶质细胞的功能障碍调解水通量迅速补偿AQP4-enriched地区。8临床数据显示,这是由动可以恢复患者自发恶心/呕吐的棘手的事件9,- - - - - -,11这样的成像数据描述快速解决动髓病变。3,4,9,10此外,AQP4和兴奋性氨基酸转运蛋白2 (EAAT2)存在于星形膜作为大分子的复杂和绑定NMO-IgG AQP4会使AQP4和EAAT2导致谷氨酸稳态受损。21然而,然而EAAT2严重表现在中央脊髓面积postrema缺乏EAAT2。21,33失去了原有的AQP4和EAAT2脊髓中动攻击,导致glutamate-mediated组织损伤,可能占动破坏性中央脊髓损伤的发生。8,21的区域postrema并不依赖EAAT2调节谷氨酸稳态也可以解释为什么postrema动病变区域无损以及临床和放射学是可逆的。
为什么恶心/呕吐不通用动症状呢?首先,恶心/呕吐的上下文中忽略动,尤其是在最初的孤立的症状。9第二,其他CVO可以作为初始点的攻击。下丘脑参与被描述在动。34初始水平集的喇嘛的研究法vasculosum terminalis将发烧集反映NMO-IgG binding-induced细胞因子在下丘脑的水平35与体温过低或破坏性的动下丘脑病变的更高级的设置。34,36描述了发热前动加重,甚至作为初始动症状11但是他们一直归因于病毒感染。第三,自身抗体必须输入或本地合成足够的浓度是致病性CNS。恶心/呕吐已经被记载在一些患者的峰值NMO-IgG效价。11然而,当NMO-IgG血清浓度不够高导致CVO胶质激活和神经损伤,星形胶质细胞和内皮细胞可能会受到促炎细胞因子释放的影响,以应对细菌或病毒感染37在这种情况下,NMO-IgG将通过广泛BBB中断进入中枢神经系统。
我们有记录独特neuropathologic动病变特征的髓层postrema第四脑室和区域。这些病变不同于动其他中枢神经系统病变区域炎症,无损,nondemyelinating可能代表了病理衬底棘手但可逆恶心/呕吐,有时发生在动。我们观察到区域postrema星形胶质细胞出现抵制complement-mediated裂解表明IgG-induced AQP4的交联可以激活一个策划星形炎症反应,可以通过中枢神经系统传播星形网络,从而提高BBB通透性,NMO-IgG进入其他的大脑区域,和招聘和激活白细胞的进一步加剧和传播疾病的病理变化。小说的特点,我们已经记录在动病变包括髓层第四脑室和区域postrema进一步区分动从病理上女士。
作者的贡献
统计分析是由时任Weigand。
信息披露
Popescu博士报告没有披露。列侬博士是一个命名的投资者提起的专利申请的梅奥医学教育和研究基金会与动的诊断抗原及其应用动;可能增加收入为专利re: Aquaporin-4相关抗体的诊断neuromyelitis视;和接收研究来自美国国立卫生研究院和Guthy杰克逊慈善基金会的支持。Parisi博士是美国政府科学顾问委员会国防卫生委员会和小组委员会实验室服务和病理学;作为一个部分的编辑首页®;接收来自出版版税神经病理学的原理和实践,第二版。(牛津大学出版社,2003年);和接收研究来自美国国立卫生研究院的支持。豪博士,博士Weigand,时任Cabrera-Gomez报告没有披露。纽厄尔博士接收/已经收到了来自美国国立卫生研究院研究支持。Mandler博士报告没有披露。Pittock博士可能增加收入专利re: Aquaporin-4相关抗体的诊断neuromyelitis视和Aquaporin-4自身抗体作为癌症标记;收到Alexion制药研究支持,公司和Guthy杰克逊慈善基金会。Weinshenker博士是数据安全监测委员会诺华和生原体Idec;这篇社论是董事会的加拿大神经科学杂志》上和土耳其的神经病学杂志首页;已经收到Genzyme公司和研究支持Guthy-Jackson慈善基金会;和接收从RSR有限公司专利许可使用费re: Aquaporin-4相关抗体的诊断neuromyelitis视。Lucchinetti博士可能增加收入为专利re: Aquaporin-4相关抗体的诊断neuromyelitis视;接收来自出版版税蓝书的神经学:多发性硬化症3首页(桑德斯爱思唯尔,2010年);和接收从美国国立卫生研究院研究支持,Guthy杰克逊慈善基金会(π),社会和国家女士。
承认
作者感谢汉斯Lassmann博士,大脑研究中心,医科大学的维也纳,维也纳,奥地利,和他的实验室的成员执行C9neo免疫组织化学染色,和帕特里夏·除梅奥诊所,技术援助。托马斯·威利斯牛津大脑收集2在这个报告中描述的情况下提供。
脚注
研究经费:在美国国立卫生研究院(RO1-NS049577-01-A2 C.F.L.)的支持下,国家多发性硬化症协会(C.F.L. RG 3185 - b - 3),和杰克逊Guthy基金会(C.F.L.)。
编辑、页面1202年
-
- AQP4
- aquaporin-4
- BBB
- 血脑屏障
- CI
- 置信区间
- CVO
- circumventricular器官
- EAAT2
- 兴奋性氨基酸转运蛋白2
- GFAP
- 胶质原纤维酸性蛋白
- 他走时
- 苏木精和伊红
- 免疫球蛋白
- 免疫球蛋白G
- 女士
- 多发性硬化症
- 动
- 视neuromyelitis
- NMOSD
- 视neuromyelitis谱系障碍
- 或
- 优势比
- 收到了2010年9月30日。
- 接受2010年11月12日。
- 版权©2011年长企业公司,。
引用
信:快速的网络通信
你可能也会感兴趣
提醒我
推荐的文章
- 文章
aquaporin-4的诊断效用分析的活跃的脱髓鞘病变Bogdan F.G. Popescu,郭勇,马克大肠Jentoft et al。
首页神经学,2014年12月10日 - 观点和评论
Aquaporin-4自身免疫阿纳斯塔西娅Zekeridou万带兰a列侬等。
首页神经病学,神经免疫学神经炎症,2015年5月21日 - 神经科学研究的临床意义
Circumventricular器官接受和自我平衡的功能及临床意义
爱德华多·e·Benarroch et al。
首页神经学,2011年9月19日 - 神经科学研究的临床意义
Aquaporin-4、体内平衡和神经系统疾病爱德华多·e·Benarroch et al。
首页神经学,2007年12月10日


