Diffusion-weighted MRI hyperintensity模式库贾氏症有别于其他快速的痴呆症
做出评论
看到评论
文摘
背景:Diffusion-weighted成像(驾车)和fluid-attenuated反转恢复(天赋)MRI具有高敏感性和特异性的克雅氏病(CJD)。然而,没有研究已经证明了MRI如何区分库贾氏症nonprion快速进行性痴呆的原因(npRPD)。我们试图确定库贾氏症的MRI诊断准确性与一群npRPD科目。
方法:两个神经放射失明患者诊断评估90年酒后驾车和天赋图像npRPD (n = 29)或朊病毒疾病(零星库贾氏症(sCJD), n = 48,或遗传朊病毒疾病[家族库贾氏症,n = 6, Gerstmann-Straussler-Scheinker n = 7])。31每个半球灰质区域异常hyperintensities进行评估。库贾氏症的可能性评估使用我们以前公布的标准。
结果:(灰质hyperintensities驾车>天赋)被发现在所有sCJD情况下,与某些地区优先参与,但永远只在边缘地区,中央前回,很少。在所有sCJD例基底节和丘脑的醉酒驾车hyperintensities,有相关限制扩散(表观扩散系数(ADC)图)。这个限制扩散,然而,并没有出现在任何npRPD病例,孤立的边缘hyperintensities(天赋>驾车)很常见。sCJD的一位读者的敏感性和特异性为94%和100%,分别,另一个是92%和72%。共识评审之后,读者结合MRI sCJD的敏感性和特异性为96%和93%,分别。家族性库贾氏症与sCJD有重叠的MRI特征。
结论:天赋的模式/ DWI hyperintensity和限制扩散sCJD有别于其他rpd具有高敏感性和特异性。MRI与醉酒驾车和ADC应该被包括在sCJD诊断标准。提出了新的sCJD MRI标准。
Jakob-Creutzfeldt疾病,俗称克雅氏病(CJD),典型的表现是快速进行性痴呆(RPD),但其他疾病可以出现在类似的方式。1超过三分之一的疑似库贾氏症病例出现在加州大学旧金山分校库贾氏症临床项目,我们发现另一种,nonprion、诊断。1区分npRPD从库贾氏症至关重要,对感染控制目的,因为许多npRPDs很容易治疗。脑电图及脑脊液生物标志物在库贾氏症诊断效用有限。2之前的研究已经表明,核磁共振成像的大脑皮层和皮层下灰质参与模式库贾氏症具有较高的敏感性和特异性,但这些研究没有使用理想npRPD控制。2,- - - - - -,4我们评估的敏感性和特异性fluid-attenuated反转恢复(天赋)和diffusion-weighted成像(驾车)MRI对sCJD一群受试者和RPD帮助识别库贾氏症的MRI特性决定。
方法
科目。
这项回顾性研究包括90系列主题,61年零星或遗传朊病毒疾病,和29 nonprion RPD (npRPD)诊断,在他库贾氏症被认为是(见图e 1首页®网站www.首页neurology.org为病人流)。只在加州大学旧金山分校学科评估记忆和衰老中心12月15日之间,2000年2月15日,2007年,有足够的天赋和质量执行醉酒驾车MRI扫描在我们中心包括(临床和人口数据表e 1)。学科有广泛的临床评估,脑电图,脑脊液、血、尿液分析。在许多,全身CT进行排除nonprion条件。大多数受试者含有朊基因分析(附录e 1)。朊病毒类型是由NPDPSC完成(克利夫兰,哦)。诊断标准的61例朊病毒疾病5,6和29 npRPD患者7,- - - - - -,10分别显示在表格e 1和飞行,以及附录e 1。
标准协议的审批、登记和病人同意。
我们收到了批准机构内部审查委员会进行这项研究。
核磁共振的收购。
脑部核磁共振成像进行2通用标记1.5 - t扫描仪在我们中心。天赋和醉酒驾车/ DTI在轴向飞机(切片厚度范围:3 - 5毫米),所有患者均获得和最有天赋和驾车在冠状面。只有醉酒驾车的形象相结合,多个的平均扩散方向,综述了。更多附加的细节,请参阅附录e 1。
核磁共振成像的视觉评估。
两个神经放射(读者1,4年经验;读者2,20年经验),盲法临床诊断,独立审查所有核磁共振序列从第一UCSF扫描。真正的异常与天赋hyperintensities由于T2信号的正常变化和醉酒驾车工件,3被认为在轴向和冠状面图像使用MRIcro软件(www.mricro.com)。
天赋和酒后驾驶的灰质参与图片报道据26皮质和5每个半球皮层下细分,使用少量修改Tzourio-Mazoyer阿特拉斯(附录e 1)。11基于天赋和醉酒驾车,每个读者分类科目肯定,可能,也许,或者绝对不是库贾氏症,根据我们之前MRI标准(表1)。3综述了表观扩散系数(ADC)地图只有在皮层下灰质醉酒驾车异常被发现,皮质的ADC hypointense信号通常很难发现视觉评估。12
共识审查。
如果读者不同意一个诊断,他们进行了MRI诊断在一起,做了一个共识。这时,读者还指出天赋或醉酒驾车hyperintensities是否亮。敏感性,特异性,95%置信区间计算个人和共识评级(SAS 9.2版本,SAS研究所卡里,NC)。
确定的灰质参与sCJD模式。
每个半球地区31日对醉酒驾车MRI得分0,1,或2,根据有多少读者hyperintense判断一个地区。对象的百分比与sCJD参与的大脑区域是由读者的平均评级。接下来,与sCJD科目分为6种不同灰质参与模式(表e - 3)。
选取审查和确定差异化特征。
共识评审之后,读者进行了核磁共振成像“选取”来识别关键的差异化特征。最后,我们修改sCJD MRI标准3基于这种分析的结果,以及我们的临床经验因为完成这个分析。
结果
敏感性和特异性sCJD视觉评估。
敏感性和特异性sCJD (vs npRPD)高读者2(敏感性94%,95%可信区间[CI] 0.83 - -0.99;特异性100%,95%可信区间0.88 - -1.00)比读者1(敏感性92%,95%置信区间0.80 - -0.98;特异性72%,95%可信区间0.52 - -0.87)。除了达成共识诊断3例(1 sCJD, 2 npRPD);通过保守这些病例分类为误解,共识的敏感性为96% (95% CI 0.86 - -1.00)和特异性为93% (95% CI 0.77 - -0.99)使用我们的标准。3
的天赋和酒后驾驶模式皮层、边缘和皮层下hyperintensities sCJD vs npRPD。
之间的区域的灰质参与不同sCJD和npRPD病人组(图1)。只有一个(见下文)患者sCJD在皮层灰质hyperintensities,边缘或皮质下区域或组合这些地区,但没有hyperintensity仅在边缘地区(表e - 3)。灰质异常sCJD总是比天赋更明显醉酒驾车,在某些情况下,指出只有在醉酒驾车。普通模式sCJD皮层,边缘,皮层下(54%)和皮层和边缘(27%)(图2、表e - 3)。没有明确的磁共振成像模式指出基于分子分类sCJD 129密码子多态性或朊病毒类型。13没有皮层参与sCJD病例的11%,包括VV2情况下,和单一MM2-thalamic案件没有显示灰质异常,与其他的研究一致。13,14
没有主题nonprion快速进行性痴呆的原因(npRPD)有皮层hyperintensity,但约25%主要边缘参与。几乎一半的Gerstmann-Straussler-Scheinker (GSS)病例认为酒后驾驶或天赋边缘hyperintensity。主要边缘hyperintensity因此不是暗示零星克雅二氏症(sCJD),但可能GSS或npRPD。家族库贾氏症(fCJD)有一个重叠的模式与sCJD MRI异常。
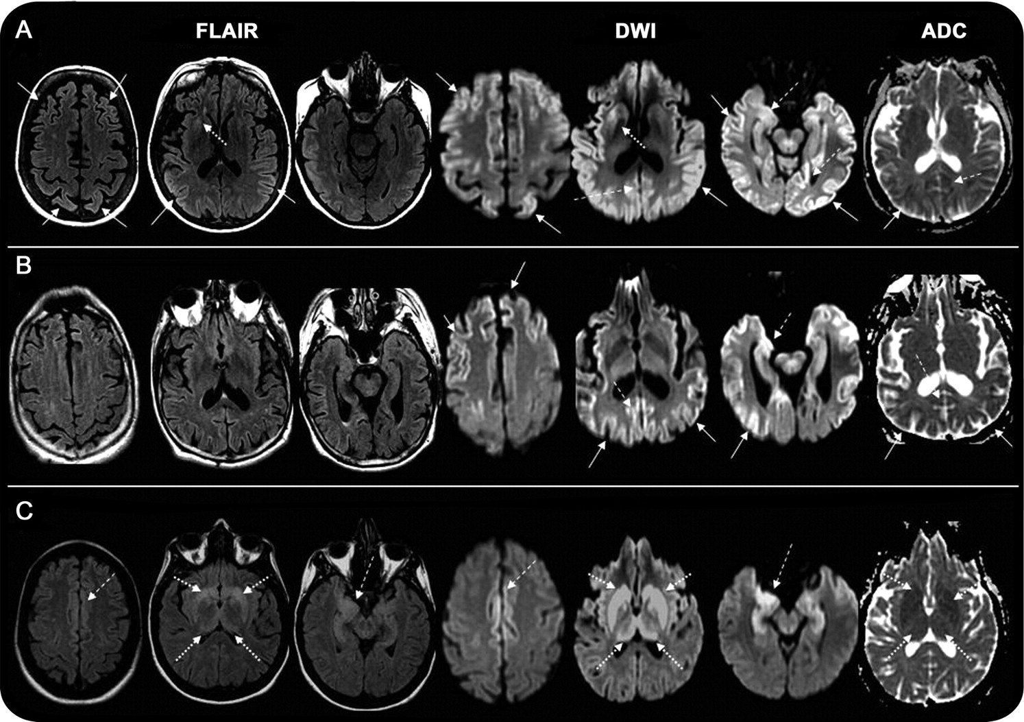
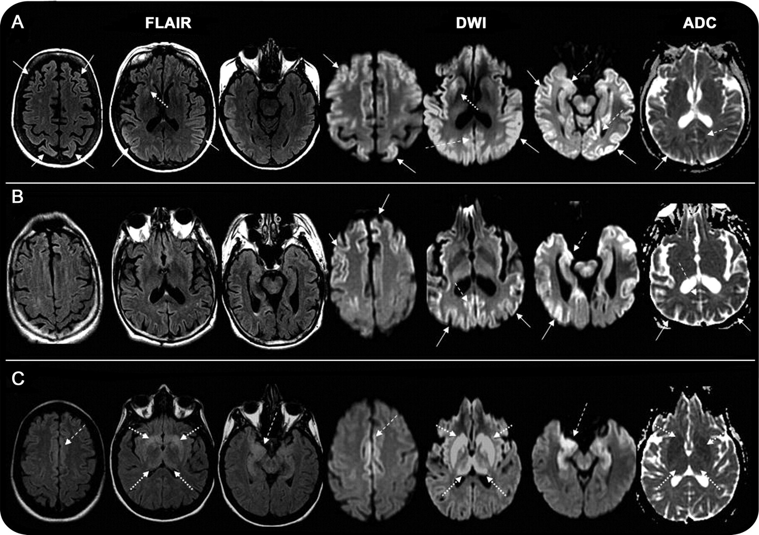
(一)皮层(实心箭头),边缘(虚线箭头),皮层下灰质(虚线箭头)。(B)皮层和边缘皮层。(C)边缘和皮层下。注意diffusion-weighted成像(驾车)显示了hyperintensities比相应的fluid-attenuated反转恢复序列(天赋),而醉酒驾车hyperintensities通常都有相应的表观扩散系数(ADC) hypointensity。模式被发现在54%的情况下,模式B在27%的情况下,和模式C在9%的情况下。注意,异常更容易出现在醉酒驾车,而不是天赋。ADC hypointensity,表明限制扩散,对应于大多数驾车hyperintensities。ADC异常是最容易识别的基底神经节。
只有9 29 npRPD患者(23%)有灰质hyperintensities异常;都是天赋上比醉酒驾车。都有边缘的参与。两个也有皮层下hyperintensities。7个孤立的边缘参与自身免疫诊断(图1和3)。确定皮层下醉酒驾车hyperintensities相关限制扩散或T2文风,读者调查了ADC地图在盲法评估。皮质下区域与醉酒驾车hyperintensity正常强度的ADC图npRPD患者(T2发光),但总是hypointense(限制扩散)在sCJD ADC图。
(一)fCJD病例(E200K突变)显示皮层(实心箭头)参与右脑更加明显,尤其是在右额叶,边缘参与(虚线箭头)更加明显正确的前扣带和正确的脑岛皮层下(虚线箭头)hyperintensities diffusion-weighted成像(驾车)大于fluid-attenuated反转恢复(天赋)图像。注意,皮层下表观扩散系数(ADC) hypointensity双边纹状体。这张照片是读克雅氏病(CJD)。(B) GSS案例(F198S突变)双边边缘hyperintensity前扣带,脑岛,和微妙的mesiotemporal皮层的参与,同样明显醉酒驾车和天赋的图像。图像读取库贾氏症。(C)一个边缘脑病npRPD情况由于anti-AMPAR anti-Sox2抗体和小细胞肺癌。注意重要的双边hyperintensity mesiotemporal皮层(包括海马和杏仁核),脑岛,和扣带,在天赋比醉酒驾车的图像。图像读取库贾氏症。
核磁共振特性遗传朊病毒疾病。
模式和频率酒后驾车和天赋hyperintensities家族库贾氏症患者之间的不同(fCJD)和患者Gerstmann-Straussler-Scheinker (GSS) (图1和3)。五6 fCJD核磁共振成像的灰质hyperintensities和阅读是积极的;4 (3 E200K和1 D178N密码子129 vv)弥漫性(边缘皮层,皮层下)的参与,和1 (V180I)只有皮层hyperintensities。第六届主题与fCJD没有hyperintensities (5-octapeptide重复)。7 GSS核磁共振成像,只有一个是阅读积极(F198S),与皮层过程(边缘,大脑皮层和纹状体)醉酒驾车。两个(A117V和另一个F198S)只有边缘hyperintensities,天赋和醉酒驾车。剩下的4 (P102L和3 A117V)没有灰质异常。
详细的分析模式的天赋和醉酒驾车hyperintensities sCJD患者gyral-nuclear水平。
因为皮层hyperintensities被发现只有少数npRPD情况下,灰质参与详细解剖层次的百分比计算每个半球区域(31)只有在sCJD组。醉酒驾车,在较小程度上,天赋hyperintensities扣带,楔前叶,角,海马旁,优越和中间额叶脑回,尾状出现在sCJD 50%以上的情况下(图4)。不对称的参与被发现在大多数sCJD病例和尤为显著:在中央的皮层和扣带(图2)。半球也同样参与外侧额叶皮层下结构,但左半球是更频繁地参与顶叶、颞枕叶。有相对保守的中央前回,醉酒驾车hyperintensity仅3例(6%)。
(A)百分比的主题与sCJD酒后驾车比天赋的31个大脑区域/右(黑色)和左半球(蓝色)。(B)不同颜色叠加的核磁共振频率参与31每个半球的大脑区域。浅蓝色代表参与地区10% - -35%的情况下,红色深蓝色的35% - -50%,50% - -65%。皮层区域用数字表示在右半球(21);第27 - 31边缘(22日至26日进行)和皮层下()区域显示在左半球。
在sCJD (fCJD),纹状体hyperintensity几乎总是显示一个渐进前后梯度下,主要涉及尾状(超过50%的病例)与后壳的相对节约(图2)。然而,后壳也很hyperintense在某些患者主要皮层下参与。ADC hypointensity是常见的pallidus皮层下sCJD为主的情况下,但伴随的醉酒驾车hyperintensity只在一个情况下(图2C)。
丘脑醉酒驾车参与通常是双边、涉及dorsomedian和后(枕)地区,通常伴随着双边纹状体参与。这种模式类似于但强度弱于“双曲棍球棒”模式中看到许多迹象变异型克雅氏病的病例。15有趣的是,当双曲棍球棒的迹象出现在醉酒驾车,ADC图显示丘脑hypointensity更广泛的粘连。vCJD更具体的MRI特征,枕标志(后丘脑比前壳核),15没有见过任何研究课题。
核磁共振检查后“截断符号”。
选取审查的情况下显示诊断价值的皮质下区域的ADC图。此外,未能注意到扩散hyperintense皮层信号无皮层下异常导致假阴性者阅读。假阳性的评级通常是由于曲解artifactual hyperintense信号在醉酒驾车限制扩散,特别是在低质量扫描。
3例MRI诊断一致评论没有共识。
在2例,皮质醉酒驾车和天赋异常尾状头,前扣带,脑岛是轻微的。第三例小脑总花梗有天赋异常,单方面的尾状核头,醉酒驾车异常在这些领域和大脑皮层。在截断符号,第一种情况是可能的下文,第二pathology-proven sCJD,第三pathology-proven肉质的。在下文和肉质的情况下,尾状normo-intense在ADC地图。sCJD情况下,尾状略hypointense ADC图,和酒后驾驶皮质额叶皮层的过程是如此微妙的错过了读者在最初阅读。
讨论
在这项研究中,我们表明,核磁共振的模式参与可以从npRPD区分sCJD。使用天赋和醉酒驾车MRI,我们发现共识审查后,MRI对sCJD敏感性和特异性分别为98%和93%,分别高于其他任何诊断测试。4,16,- - - - - -,18我们发现4区分MRI特点:
在sCJD hyperintensity醉酒驾车大于天赋,但npRPD hyperintensity天赋超过醉酒驾车。
在主题与皮层下醉酒驾车hyperintensity sCJD, ADC总是hypointense(即在这些地区。限制扩散)。
孤立的边缘参与在sCJD没有找到,但在npRPD经常看到。
sCJD特点醉酒驾车的灰质的参与模式。
关于第一个2特性,醉酒驾车的患病率在天赋hyperintensities表明扩散限制在sCJD核磁共振是一个关键的特性;扩散限制和T2延长导致醉酒驾车hyperintensity,但只有天赋hyperintensity T2延期原因。只有sCJD病例与醉酒驾车皮层下hyperintensity ADC hypointensity关联,这一发现对sCJD抱有很高的特异性。扩散限制可能是与空泡形成有关。19本研究第一次使用MRI扫描获得我们的机构,但我们和其他人观察到扩散限制可能减少sCJD的后期阶段,特别是在很长时间的课程和患者显著萎缩。20.,21尽管如此,我们认为醉酒驾车/ T2异常的患病率是最重要的一个MRI诊断sCJD标准,这是由其他研究。18,21此外,醉酒驾车在库贾氏症通常是明亮的早期t2加权图像。20.,21
许多研究已经证实在sCJD醉酒驾车的敏感性,一些大,vCJD症。3,13,18,21在这项研究中我们展示了高特异性的扩散限制(醉酒驾车和ADC图)在基底神经节sCJD npRPDs相比。最近的一项大型研究检查的敏感性和特异性天赋,和在某些情况下驾车,MRI相比sCJD学科最初怀疑库贾氏症,但在其他诊断被发现。18本文提出新的MRI sCJD标准,但有几个问题。首先,作者没有看到真正的扩散限制(ADC地图),这是区分从npRPD库贾氏症的关键。其次,他们不包括扣带回、海马岛,额叶皮层的参与,因为假阳性高速率的天赋或驾车MRI数据在这些地区。然而,这些地区是最常见的在库贾氏症影响的地区(图1)和虚假的积极性可以避免由于工件通过执行序列在多个飞机和检查限制扩散(ADC地图)。
其他npRPD条件(其中许多是不包括在本群)可能存在与皮层下或皮质醉酒驾车hyperintensity-sometimes与降低而可能模仿库贾氏症MRI发现。例如,皮层下扩散限制可以被发现在纹状体extrapontine myelinolysis22和威尔逊的疾病,23在韦尼克脑病和posteromesial丘脑24而在巴尔通氏体属感染。25自我们的研究完成后,我们已经确认了2患者npRPD(高血糖发作和extrapontine myelinolysis)与核磁共振发现重叠的库贾氏症,醉酒驾车hyperintensity, ADC hypointensity纹状体(准备手稿)。几个npRPDs,如anti-CV2边缘脑病和神经丝包涵体疾病、纹状体T2 /天赋hyperintensity类似库贾氏症;然而在这些条件下,醉酒驾车/ ADC异常缺席。皮质扩散限制中可以看到病毒性脑炎急性期26和焦癫痫状态。27重要的是,癫痫持续状态发生在npRPDs,如边缘脑病和可能模拟库贾氏症临床。28“战略”中风痴呆可以显示皮质hyperintensity。29日急性病毒性脑炎、局灶性癫痫状态和中风通常呈现皮层肿胀、皮层下异常,通常对比度增强。26,27尽管酒后驾车和ADC是最重要的序列诊断sCJD,天赋和图像,在选定的情况下,T1和postcontrast必须仔细评估在所有患者快速进行性痴呆。这些条件必须考虑当评估病人怀疑库贾氏症。
孤立的边缘可能有助于区分sCJD npRPD参与,发现只有在我们npRPD集团通常在自身免疫性脑病。据我们所知,ADC减少从未被报道在这些脑病,但这可能发生癫痫,虽然这应该控制癫痫发作后消失。如果孤立边缘hyperintensity天赋上比酒后驾驶,我们认为这是一个标准”可能不是库贾氏症。“如果孤立边缘hyperintensity醉酒驾车更大,特别是伴随ADC hypointensity,应考虑脑炎和癫痫发作。
sCJD的另一个特色是它的灰质的参与模式。与之前的研究一致,3,4我们发现hyperintensities比皮层下更常见的皮质(表e - 3)。我们还发现了另一项研究中,最常涉及皮质区域一样30.除了我们很少发现枕叶皮质参与。虽然最高频率的任何特定区域的灰质参与研究明显高于我们的队列(85% -95% 50% -65%),13例研究没有醉酒驾车图像和对照组是包括在内。当他们知道所有病例库贾氏症,他们可能高估了hyperintensities,可能解释的更频繁的参与研究的中央前回(40%)相比,我们的(5%),以及为什么海马旁hyperintensities,参与我们50%的sCJD队列,没有报道。易感性工件使评估前海马旁回困难,但后部分可以更可靠的评估。因此,帮助确定异常强度是否真实或工件,我们建议执行(或至少回顾)醉酒驾车/ ADC序列在两个平面,轴向和日冕。
少的地区天赋/醉酒驾车在sCJD hyperintensity pallidus和中央前回。这一特点“中央前抽出”与sCJD签订尤为显著:在题材和主题与fCJD扩散皮质参与(图2)。虽然汽车赤字在库贾氏症是常见的,电动机的保留地带可能反映在大多数患者缺乏弗兰克瘫痪。相反,由于中央前回和pallidus积累最与年龄相关的铁,他们有最hypointense t2加权信号。31日,32虽然pallidus可以相对幸免在sCJD醉酒驾车,33pallidal T1 hyperintensity可能与高水平的相关病理朊病毒存款。34我们怀疑pallidus和中央前回的参与是低估了天赋和醉酒驾车序列,因为并发iron-related hypointensity面具hyperintense信号从朊病毒疾病。这种“T2停电”效应是天赋重要,T2加权,可能在echoplanar驾车图像。35sCJD的一项研究证明了ADC减少,尽管普通醉酒驾车,中央前回。36值得注意的是,我们sCJD MM2-thalamic正常MRI,符合大多数情况下在文献中。37
我们患者的磁共振成像模式fCJD通常与sCJD,但在大多数GSS情况下,这种模式不存在。皮层下ADC地图只有在检查与醉酒驾车皮层下hyperintensity病例,研究后,我们注意到皮层下ADC hypointensity不醉酒驾车hyperintensity在某些GSS情况;这可能是由于“T2停电”效应。尽管P102L案件没有典型sCJD MRI发现,和随后的情况下也没有见过在我们的中心,至少有一个案例被报道有一个经典的库贾氏症MRI。38
作为读者,我们发现的差异很明显,核磁共振成像的精确解释对象库贾氏症需要知识的发现和库贾氏症的经验。我们的新标准应该提高诊断准确性和减少这种可变性。派拉蒙,神经学家和放射科医生熟悉这些发现。未来的研究应该解决的问题国际米兰——和intrarater可靠性也可能使用后处理方法来准确地量化平均扩散系数值(ADC地图)。
天赋和DWI异常的模式区分sCJD npRPD精度高,而只有一些基因朊病毒病例与sCJD重叠的MRI特征。我们建议修改之前sCJD MRI (表1)标准来提高核磁共振成像结果的敏感性和特异性,基于DWI-FLAIR的解剖分布hyperintensities,天赋信号相对醉酒驾车,ADC图在皮层下的地区。MRI与醉酒驾车和ADC应该被包括在sCJD诊断标准。
信息披露
维塔利已经收到博士研究基金会的支持汤,意大利米兰。Maccagnano博士和Caverzasi报告没有披露。亨利博士担任副主编神经科学前沿和接收来自国家卫生研究院研究支持(研究所、NIBIB NCI)和狼疮研究所。c . Torres-Chae哈曼博士约翰逊共报告没有披露。米勒博士是一个科学顾问委员会在阿尔茨海默病的临床研究中,作为编辑编号ADAD,担任副主编;接收来自出版版税痴呆的行为神经学首页(剑桥,2009),神经学手册首页(爱思唯尔,2009)人类的额叶(吉尔福德,2008);作为顾问Lundbeck公司公司,它是一家Allon疗法,Inc .)、诺华和TauRx药品;是董事会的约翰·道格拉斯法国阿尔茨海默氏症研究基金会和拉里·l·Hillblom基金会;和接收研究诺华的支持,美国国立卫生研究院/ NIA和加州阿尔茨海默氏症中心。Geschwind博士是Lundbeck公司。它是一家科学顾问委员会;的编辑委员会痴呆和行为;MedaCorp公司担任顾问,gerson lehman集团和顾问委员会;曾对扬声器的机构对森林实验室、公司,辉瑞公司,诺华,Lundbeck公司。它是一家;和收到了来自美国国立卫生研究院研究支持/ NIA,迈克尔·j·荷马家族基金,约翰·道格拉斯法国阿尔茨海默氏症研究基金会和麦克比恩基金会。
承认
作者感谢艾伦•博斯特罗姆女士,统计援助。
脚注
研究经费:支持NIA / NIH的R01 AG031189;K23 AG021989,格兰特P50 AG023501 NIH国家老龄研究所;加州阿尔茨海默病中心(06 - 55318国土安全部/ ADP / ARCC);NIH / NCRR UCSF-CTSI授予数量UL1 RR024131;迈克尔·j·荷马家庭基金(M.D.G.);约翰·道格拉斯法国阿尔茨海默氏症研究基金会(M.D.G.);麦克比恩基金会(M.D.G.);这个基金会汤、米兰、意大利(pv和E.M.);和IRCCS C。Mondino”基础上,帕维亚大学(提到过)。
-
- ADC
- 表观扩散系数
- CI
- 置信区间
- 库贾氏症
- 克雅二氏症
- 醉酒驾车
- diffusion-weighted成像
- fCJD
- 家族性克雅二氏症
- 天赋
- fluid-attenuated反转恢复
- GSS
- Gerstmann-Straussler-Scheinker
- npRPD
- nonprion快速进行性痴呆的原因
- RPD
- 快速进行性痴呆
- sCJD
- 零星的克雅二氏症
- 加州大学旧金山分校
- 加州大学旧金山
- 收到了2010年7月26日。
- 接受2011年2月10日。
- 版权©2011年长企业公司,。
引用
- 1。↵
- 2。↵
- 3所示。↵
- 4所示。↵
- 5。↵
- 6。↵
谁。全球监测、诊断和治疗人类传染性海绵状脑病:报告的咨询。:世界卫生组织:新兴和其他传染性疾病,监测和控制。日内瓦:谁;1998年。
- 7所示。↵
- 8。↵
- 9。↵
- 10。↵
- 11。↵
- 12。↵
- 13。↵
- 14。↵
- 15。↵
- 16。↵
- 17所示。↵
- 18岁。↵
- 19所示。↵
- 20.↵
- 21。↵
- 22。↵
- 23。↵
- 24。↵
- 25。↵
- 26岁。↵
- 27。↵
- 28。↵
- 29。↵
- Auchus美联社,
- 程ydF4y2BaCP,
- SodagarSN,
- 丁字裤米,
- 合成天然气电子商务
- 30.↵
- 31日。↵
- 32。↵
- 33。↵
- 34。↵
- 35。↵
- 36。↵
- 37岁。↵
- 38。↵
信:快速的网络通信
你可能也会感兴趣
提醒我
推荐的文章
- 临床和伦理挑战
代谢紊乱和零星的克雅氏病疾病的临床和影像学特征迈克尔·h·罗·m·卡梅拉塔尔塔利亚,斯文·a·福尔et al。
首页神经学:临床实践,2015年2月12日 - 文章
克雅二氏症病理关联扩散磁共振成像的变化d . n .礼仪,p . Parchi Tonon et al。
首页神经学,2009年4月20日 - 居民和其他部分
珍珠和Oy-sters:快速进行性痴呆朊病毒或immunomediated吗?
Francesco Cavallieri杰西卡·Mandrioli曼Tondelli et al。
首页神经学,2014年4月28日 - 简短的沟通
Marchiafava-Bignami疾病:Diffusion-weighted MRI在胼胝体和皮质病变p . Meneegon Sibon, c . Pachai et al。
首页神经学,08年8月,2005年


