多种的孤立的脊髓病
临床过程和神经影像线索
文摘
摘要目的:报告的临床表型和结果分离多种的脊髓病。
方法:我们系统地回顾了临床、血清学和核磁共振数据(女)20日为31个病人提供一个孤立的脊髓病与癌症共存:癌(肺、9;乳房,7;肾、2;甲状腺,2;卵巢和子宫内膜,2),黑素瘤(2),或其他癌症(3),或多种自身抗体与强大的癌症协会(amphiphysin-immunoglobulin G(免疫球蛋白),9;collapsin response-mediator蛋白质5-IgG 9;浦肯野细胞胞质自身抗体类型1、2;antineuronal核自身抗体(安娜)1,1;ANNA-3, 1)。
结果:31名患者的进步脊髓病,症状出现在16亚急性(52%)。的平均年龄是62岁。脑脊液异常包括蛋白升高(> 45 mg / dL), 22个;脑脊液细胞增多,15;多余的寡克隆乐队(正常< 4)7。MRI脊髓异常发现20例纵向广泛(> 3椎段),14;对称的小册子或灰色matter-specific信号异常,15(13)增强。脊髓病之前癌症诊断18例(平均间隔12个月;范围2-44)。脊髓病发作后,接受了肿瘤治疗的26例患者,免疫抑制治疗(平均延迟开始免疫治疗9.5个月(范围1-54)),或两者兼而有之; only 8 improved (31%). At last neurologic evaluation (median interval after onset 17 months; range 1–165 months), 16 patients (52%) were wheelchair-dependent (median time from onset to wheelchair 9 months [range 1–21]). Ten patients died after a median of 38 months from symptom onset (range 7–152).
结论:对称的,纵向广泛束或灰色matter-specific变化对脊髓MRI应引起怀疑的多种的脊髓病。产生的残疾往往是严重的。只有少数的病人通过治疗改善。
多种脊髓炎是罕见的,通常无法识别。预后和对治疗的反应是不明确的。他们最常发生的背景下多病灶的神经介入,脑病,周围神经病变,或小脑功能障碍与神经核和胞质自身抗体与以下频率:24% amphiphysin抗体1;18% antineuronal核自身抗体2型(ANNA-2 [anti-Ri])2;18% ANNA-33;16% collapsin response-mediator蛋白5 (CRMP-5)免疫球蛋白4;11% - -60%为ANNA-1 (anti-Hu)5,6;10%的浦肯野细胞胞质自身抗体2型(PCA-2)7;5% PCA-1 (anti-Yo)8;4% anti-Ma9;,anti-Ta为3%。9未能检测到多种自身抗体不排除诊断。10最常见的癌症是肺癌和乳腺癌的癌。MRI脊髓发现报道在大多数病人正常或证明非特异性异常。11在这里,我们报告的特点和结果临床孤立的多种的脊髓病。
方法
患者被审问医疗记录系统(MN罗切斯特的梅奥诊所;斯科茨代尔,阿兹;和杰克逊维尔,FL)从1985年1月至2009年12月和clinico-serologic数据库上的神经免疫学实验室(附录e 1首页®网站www.首页neurology.org)。积极的结果从一个标准化的神经自身抗体的血清学筛选试验记录。12,- - - - - -,17
入选标准。
我们包括病人的临床症状和体征是局限于脊髓病,有下列之一:1)癌症+ neural-specific自身抗体(n = 21);2)一个neural-specific自身抗体的强有力的协会与恶性肿瘤(> 70%),但没有癌症检测在临床随访(n = 4: amphiphysin 2;CRMP-5, 1;和PCA-1, 1);3)最近癌症但是没有neural-specific自身抗体检测(n = 6:肺小细胞癌,2;乳房癌,2;肾细胞癌,1;霍奇金淋巴瘤,1)。
统计分析。
双面Fisher精确和Wilcoxon等级和检验被用在适当的地方比较治疗反应和nonresponders(附录e 1);p值< 0.05被认为是重要的(人民币8.0软件;SAS)。使用JMP创建kaplan - meier曲线。
标准协议的审批、登记和病人同意。
这项研究是梅奥诊所的机构审查委员会批准,所有患者同意使用他们的医疗记录为研究目的。
结果
的表总结了临床、血清学和31确定病人肿瘤的特征。所有患者呈现进行性脊髓病的亚急性(52%)或阴险的发作(48%)。20(65%)是女性。症状出现在年龄中位数为62年(范围37 - 79年)。CSF,分析了24例(77%),显示lymphocyte-predominant脑脊液细胞增多,15(63%:中位数白细胞数量/μL 21;射程7 - 74;正常的0 - 5);蛋白质浓度升高,22(92%:中位数86 mg / dL;54 - 162;正常< 45); and excess oligoclonal bands, 7 of 23 (30%: normal <4).
神经自身抗体检测在25例(81%)。癌症是在27日组织病理学确诊的患者(87%),诊断后脊髓病症状出现在18 (67%;中位数时间癌症检测12个月(范围2-44))。在18例(39%),7的自身抗体检测导致检测癌症。
核磁共振和其他神经成像研究。
脊柱MRI(胸、颈,28日;颈,3)显示T2信号异常20例(65%)(图1和2)。14个病人纵向广泛的信号异常(> 3椎段;中位数6.5段)。15个患者对称和呼吸道或灰质在T2信号异常,在接下来的分布:侧列,5;脊柱,4;中央灰质,4;背侧柱,1;和脊柱和灰质,1。脊髓病变显示钆增强13(对称,8;不对称,5)。全身PET扫描,12例,揭示癌症3。 None had spinal cord hypermetabolic foci. MRI findings did not correlate with the cancer type or paraneoplastic autoantibody. Brain MRI performed in 26 patients showed no lesions typical of MS.
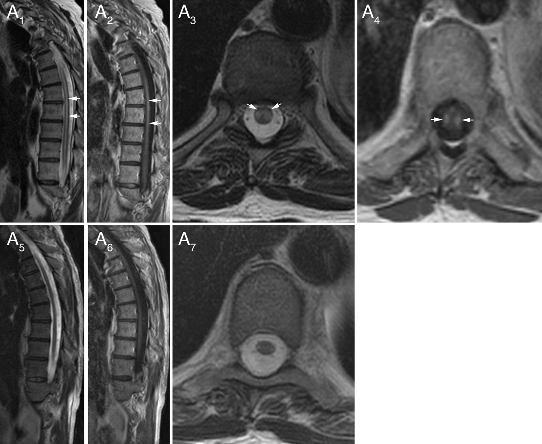
从患者MRI胸椎图片1(表)显示异常(纵向广泛T2信号1)延长超过7脊髓段与钆增强(有关2在矢状切面)。对称tract-specific T2信号异常(横向列)(轴向部分3)提高钆管理局(后4)在t1轴向图像。癌症和免疫抑制剂治疗后重复MRI演示了几乎完整的决议(5——一个7)的MRI异常;这是与临床相关的改进从依赖拐杖沃克。
治疗和结果。
26患者接受癌症治疗(3),免疫疗法(10),或两者兼而有之(13)。癌症治疗包括手术、10;化疗、放疗6和2(组合在某些情况下)。平均延迟从脊髓病症状出现到开始免疫疗法是9.5个月(范围1-54个月)。只有8 26患者显示临床改善(图e 1)。年轻是唯一因素与临床相关的改进(意思是55 vs 63年,p= 0.03)。27例,最后障碍诊所访问(从症状出现17个月时间中位数;范围1 - 165)如下:轮椅依赖,16 (51%);沃克的依赖,8例(26%);或甘蔗依赖,3 (10%)。kaplan meier存活曲线,50%的患者接受了免疫治疗或癌症化疗相比,预计将在16个月坐在轮椅上的9个月不接受治疗(图飞行中,p= 0.27)。
讨论
这系统回顾31例临床孤立的多种的脊髓病收益率三个重要的观察。首先,对称,纵广泛束或灰色matter-specific MRI变化的特点是多种的脊髓病。第二,残疾快速发展和普遍严重。第三,只有少数的病人通过治疗改善。
尽管三分之一的患者有正常的脊柱MRI, 48%有对称的小说发现脊髓信号异常。片状钆增强报道的坏死性多种患者脊髓病,18但从我们的研究作为一个新兴的主导模式的特征多种的脊髓病是对称纵向广泛T2信号束/灰质分布异常,经常表现出对称的增强。两个类似的患者MRI发现先前文献中均有描述。1,19某些情况下表现出异常信号的模式类似于其他疾病。“猫头鹰眼”或“蛇眼”模式的T2 hyperintensity据报道在缺血性脊髓炎20.,21(预计有急性发作)。视Neuromyelitis典型纵向广泛脊髓炎,但偏爱中央灰质和钆增强而不是对称的通常是不完整的。22它还可以很少有“猫头鹰眼”或“蛇眼”外观。22所有病例在这项研究是AQP4抗体阴性。Tract-specific T2信号变化描述的维生素B12缺乏症23和肌萎缩性脊髓侧索硬化症24通常不与钆增强,临床和实验室特征排除诊断。排除了癌症转移性脊髓没有离散结节病灶实质钆增强,软膜的增强,或在PET成像hypermetabolic疫源地。25,- - - - - -,27神经通常是与leptomeningeal增强有关。28
其中七个病人最终诊断为多种的脊髓病(23%)最初被认为主要进展型多发性硬化症。而寡克隆条带的检测和临床特征与障碍,29日,30.对称的脊髓病的发现,脊髓MRI T2信号异常的模式,31日而缺乏大脑白质病变提出另一种诊断。
免疫疗法/治疗有时赋予轻微症状改善或暂时稳定,但只有3 26治疗患者持续改进足以允许移动独立沃克或轮椅。多种自身免疫性脊髓病的罕见限制证据支持治疗功效专家意见,11病例报告,10,19,32和案例系列描述多病灶的神经紊乱与多种自身抗体。1,33改善肿瘤治疗已报告,32使用类固醇、静脉免疫球蛋白和环磷酰胺、19和其他肿瘤和免疫抑制治疗的组合。10,33免疫疗法治疗的异质性,延迟,回顾我们的研究使的决心的性质可能受益于治疗困难。孤立的多种的脊髓病似乎与重要的相关发病率和治疗反应差。
信息披露
Drs。列侬和Weinshenker和梅奥诊所有经济利益在以下知识产权:“NMO-IgG:视neuromyelitis标记自身抗体。”这种技术专利已发布,已授权给商业实体。Drs。列侬和Weinshenker收到累积版税重大经济利益低于联邦阈值从这些技术的许可。Drs。列侬和Pittock潜在经济利益的技术上市:“Aquaporin-4自身抗体作为癌症标记。“non-provisional专利申请已经提交的梅奥诊所的技术和梅奥诊所已经授权的商业实体。从这个许可证没有版税应计。Drs。列侬和Pittock潜在经济利益的技术上市:“Aquaporin-4-binding患者自身抗体neuromyelitis视损害谷氨酸运输显示EAAT2”:梅奥诊所non-provisional专利申请已经提交的技术。 The authors receive no royalties from the sale of these tests by Mayo Medical Laboratories; however, Mayo Collaborative Services, Inc., does receive revenue for conducting these tests. Dr. Weinshenker serves on data safety monitoring boards for Novartis and Biogen Idec; serves on the editorial boards of the加拿大神经科学杂志》上,土耳其的神经病学杂志首页,多发性硬化症;已经收到了研究Genzyme公司和Guthy-Jackson慈善基金会的支持。弗拉纳根博士报告没有披露。Pittock博士已经收到Alexion制药研究支持,Inc .)、国家卫生研究院,Guthy-Jackson慈善基金会。Drs。麦肯,弗拉纳根,卡恩斯、Krecke Mokri Aksamit报告没有披露。Matiello接收博士研究国家多发性硬化症协会的支持。基冈博士作为部分的编辑首页®和首席编辑eMedicine并担任诺华和FDA的顾问。
脚注
-
- 安娜
- antineuronal核自身抗体
- CRMP
- collapsin response-mediator蛋白质
- 免疫球蛋白
- 免疫球蛋白G
- 主成分分析
- 浦肯野细胞胞质自身抗体
- 收到了2010年11月16日。
- 接受2011年2月25日。
- 版权©2011年长企业公司,。
引用
- 1。↵
- 2。↵
- 3所示。↵
- 4所示。↵
- 5。↵
- 6。↵
- 7所示。↵
- 8。↵
- 特蕾西JLV,
- PittockSJ
- 9。↵
- 10。↵
- 11。↵
- 12。↵
- 13。↵
- 14。↵
- 15。↵
- 16。↵
- 17所示。↵
- 玫瑰NR,
- 汉密尔顿RG,
- 德特里克B
- Griesmann通用电气,
- KryzerTJ,
- 列侬弗吉尼亚州
- 18岁。↵
- 19所示。↵
- 20.↵
- 21。↵
- 22。↵
- 23。↵
- 24。↵
- 25。↵
- 26岁。↵
- 27。↵
- 28。↵
- 29。↵
- 30.↵
- 31日。↵
- 32。↵
- 33。↵
- 34。↵
- 赖米,
- Huijbers毫克,
- 兰开斯特E,
- 等
- 35。↵
信:快速的网络通信
你可能也会感兴趣
更多的网上
提醒我
推荐的文章
- 文章
多种Myeloneuropathies肿瘤,临床和血清学的佐餐食品
Shailee Shah Rocio巴斯克斯做南美草原,Neeraj Kumar说等。
首页神经学,2020年11月18日 - 文章
急性或亚急性脊髓病的方法威廉·f·Schmalstieg布莱恩·g . Weinshenker et al。
首页神经学,2010年11月1日 - 居民和其他部分
临床推理:一个64岁的女人,进步的四肢瘫痪Abhijeet Gummadavelli,约书亚·e·Motelow Nandakumar Narayanan et al。
首页神经学,2013年9月16日 - 文章
GABAB受体自身抗体血清学的频率在服务评估奥利弗·j·杰弗瑞万带兰列侬,肖恩·j·Pittock et al。
首页神经学,07年8月,2013年


