血清反应阳性的动谱系障碍的区别和大脑损伤分布。女士
文摘
摘要目的:视Neuromyelitis及其谱系障碍(NMOSD)可以将类似于复发缓和多发性硬化(名RRMS)。使用定量损伤映射方法,本研究旨在确定MRI大脑病变分布差异aquaporin-4抗体阳性NMOSD名RRMS,和测试他们的诊断的潜力。
方法:临床患者大脑核磁共振序列44 aquaporin-4抗体阳性NMOSD和50名RRMS患者检查对脑损伤的分布和形态。T2病灶地图创建为每个主题允许定量比较两种情况的损伤概率和voxel-wise分析。
结果:百分之六十三的患者NMOSD脑损伤,其中的27%是诊断多发性硬化症。名RRMS患者更有可能损伤邻近侧脑室的身体比NMOSD患者。概率分布的直接比较,每组病变的形态学特征识别的标准“至少1个病灶邻近侧脑室和劣质的尸体颞叶;或皮层下U-fiber病变的存在;或道森的指型病变”,可以区分罹患多发性硬化症的病人和那些NMOSD敏感性为92%,特异性为96%,阳性预测值98%,和86%的阴性预测价值。
结论:仔细检查,MRI脑损伤的分布和形态可以区分名RRMS和NMOSD。
术语表
- AQP4=
- aquaporin-4;
- AQP4-abs=
- aquaporin-4抗体;
- 天赋=
- fluid-attenuated反转恢复;
- FMRIB=
- 功能性磁共振成像的大脑;
- LETM=
- 纵向广泛的横向脊髓炎;
- MNI=
- 蒙特利尔神经学研究所;
- 女士=
- 多发性硬化症;
- 动=
- 视neuromyelitis;
- NMOSD=
- 视neuromyelitis谱系障碍;
- 名RRMS=
- 复发缓和多发性硬化
Neuromyelitis视(动)是一种中枢神经系统炎性脱髓鞘条件偏爱视觉神经和脊髓。动谱系障碍(NMOSD)是一个术语,包括动(与视神经炎和脊髓炎)1和有限的表型,如复发性视神经炎或骨髓炎。它是一种自身免疫性疾病,调解在大多数情况下,通过抗体aquaporin-4 (AQP4)水通道,2,3对于大多数患者血清AQP4抗体与免疫测定(AQP4-abs)可以被探测到。4作出明确的诊断antibody-negative NMOSD复发缓和多发性硬化可能是一个挑战,因为更普遍(名RRMS)可以将类似的(例如,袭击的视神经炎和脊髓炎)。1,5,6至关重要的区分这两个条件:NMOSD患者需要长期免疫抑制,防止毁灭性的复发,和疾病修饰治疗等名RRMSβ-interferon NMOSD尤为严重。7,8因此,我们需要其他的标记来帮助及时识别那些应该抗体测试,和诊断血清反应阴性的疾病。
MRI是我们最好的非侵入性工具可视化体内神经炎症疾病的病理,并已被证明特别有用在识别广泛纵向横向脊髓炎患者(LETM),这是NMOSD的暗示。1本研究的目的是检查大脑MRI诊断的实用NMOSD,这将是特别相关的病人和一个空间有限的表型。9,10定量概率分析方法是用来记录大脑病变分布在一个相对较大的患者群AQP4-ab-positive NMOSD,与名RRMS比较和对比。
方法
研究数据集包括横断面的常规MRI检查。
标准协议的审批、登记和病人同意。
MRI扫描和临床数据收集来自英国国家研究道德的遵守法规服务。所有患者同意使用匿名的MRI检查和临床细节为研究目的。
科目。
所有的科目包括在这项研究是18岁以上,可用一个质量好的临床(传统的)大脑核磁共振检查评估的neuroradiologist (T1加权的包容、T2加权和fluid-attenuated反转恢复序列(天赋)),在评估他们的核磁共振扫描没有已知其他医疗状况可能导致hyperintense病变T2 /天赋序列。核磁共振数据来自牛津大学锡耶纳大学、诺丁汉大学和卡迪夫大学。
NMOSD队列。
只有受试者AQP4-ab积极(所有测试在牛津细胞分析技术)4,11,12被包括在内。28满足Wingerchuk标准动与视神经炎、骨髓炎、11复发LETM, 1例有单相LETM,复发4例视神经炎。这些患者44,29日被确定在脑部MRI T2 hyperintense病变。三个病人vascular-like病变分布由一位经验丰富的neuroradiologist没有知识的诊断或病人的年龄。选取时,很明显,这些患者年龄比其余NMOSD群体(年龄在72、76和77年),按照发现的血管病变的可能性。这些主题被排除在集团用于创建损伤概率分布。他们的扫描图上e 1所示首页®网站www.首页neurology.org。
损伤概率地图。
成像数据分析使用FMRIB软件库的工具(英国牛津大学)。14,15对于每一个主题,hyperintense T2病灶手动分割在一个轴向天赋的图像,在本地空间,同时参考T2扫描。这个过程是独立在每个扫描2研究人员进行的,1和3年的经验在T2病灶映射(L.M.)和1 neuroradiologist(智慧)。这些天赋的影像,注册到蒙特利尔神经学研究所(MNI) 2毫米标准空间模板使用非线性变换方法(FNIRT [FMRIB的非线性图像配准工具])。16非线性变换矩阵被应用到各自的病灶分割面具变换成标准模板的空间。转换后,损伤面具阈值为50%,再次的关键,避免造成的体积增加三线性插值。他们然后总结,平均每个学科组创建损伤概率地图。组级别比较病灶分布进行了使用非参数排列测试工具随机选择基于集群的阈值和修正为多个比较。14
描述的损伤分布NMOSD队列。
T2病灶数,病变位置和特征进行记录。Barkhof女士病变在空间的传播标准应用于unenhanced脑部扫描(脊髓扫描不可用)。17这些标准)至少9病变在t2加权像上,b)至少3室周的病变,c)至少1 juxtacortical病变,d)至少1 infratentorial病变。截止的积极性是3 4标准。NMOSD扫描病变形态典型的女士也检查了,也就是说,juxtacortical病变在U-fiber(弯曲/ s形形态)和卵圆形垂直病灶邻近侧脑室体通常被称为道森的手指。
结果
横断面的大脑核磁共振扫描检查的41个英国血清反应阳性的NMOSD病人(不包括那些病变符合脑血管疾病)演示了T2 hyperintense病变26的41个(63.4%)。名RRMS的损伤概率分布和NMOSD病人团体所示图1中,A和B。大多数病变患者NMOSD小,人数少的患者相比,脑组织中也广泛分布变量:这反映在低概率的病变发生在相同的空间位置超过2例。发生损伤的概率最高的面积NMOSD组内额深白质(MNI协调−24毫米,8毫米,20毫米的概率20%)。相反,最有可能的地方附近一名RRMS损伤发生后体的侧脑室的顶叶白质(MNI协调30 mm,−50 mm, 14毫米),54%的高概率表示更大的负载和连贯性的病灶位置名RRMS组的患者中。图1 c显示了一个减法地图的平均NMOSD病变地图已经从平均减去名RRMS病变地图允许直接比较的分布。病变NMOSD和名RRMS发现超越和infratentorial灰质和白质。然而,值得注意的特点更NMOSD延髓病变,而在名RRMS集团更多的小脑病变中指出,接壤的横向方面侧脑室的主体(包括在室旁灰质)和颞叶。两个条件都与胼胝体病变有关。图1 d显示了voxel-wise permutation-testing比较每组病变分布的。名RRMS病变明显更可能比NMOSD病灶邻近侧脑室的主体(纠正p< 0.05)。lesional地区最大的可能性是在NMOSD而不是名RRMS组毗邻脑桥内的第四脑室。这并没有达到统计学意义(纠正p= 0.35),因为低损伤NMOSD负载。
(一)损伤概率分布50名RRMS科目。颜色比例(从0%到55%)代表的最小最大概率损伤发生在一个特定的空间位置。蒙特利尔神经学研究所(MNI)标准Z坐标显示在毫米空间模板。(B)损伤概率分布为26个学科aquaporin-4抗体阳性NMOSD。颜色比例(从0%到20%)代表的最小最大概率损伤发生在一个特定的空间位置。MNI标准空间Z坐标显示在毫米。(C)减法地图的平均NMOSD病变地图已经从平均减去名RRMS地图允许损伤分布的直接比较。红色,黄色代表名RRMS病变更有可能比NMOSD和浅蓝色到深蓝色NMOSD比名RRMS病变的可能性更大。(D) Voxel-wise比较损伤概率地图显示名RRMS病变明显更可能比NMOSD病灶邻近侧脑室的主体,用红色(纠正p< 0.05)。女士=多发性硬化症;动= neuromyelitis视。
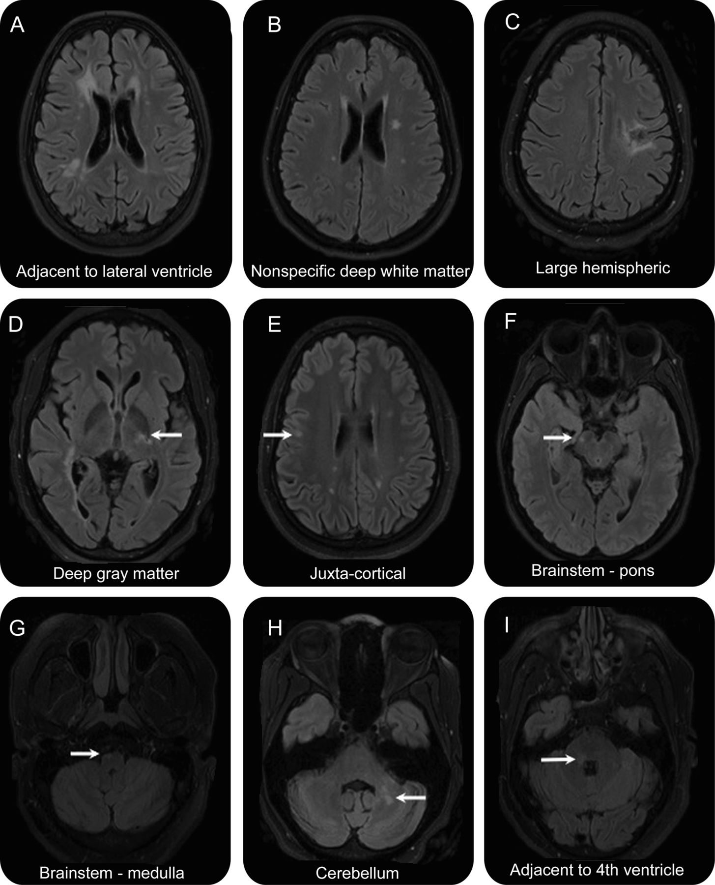
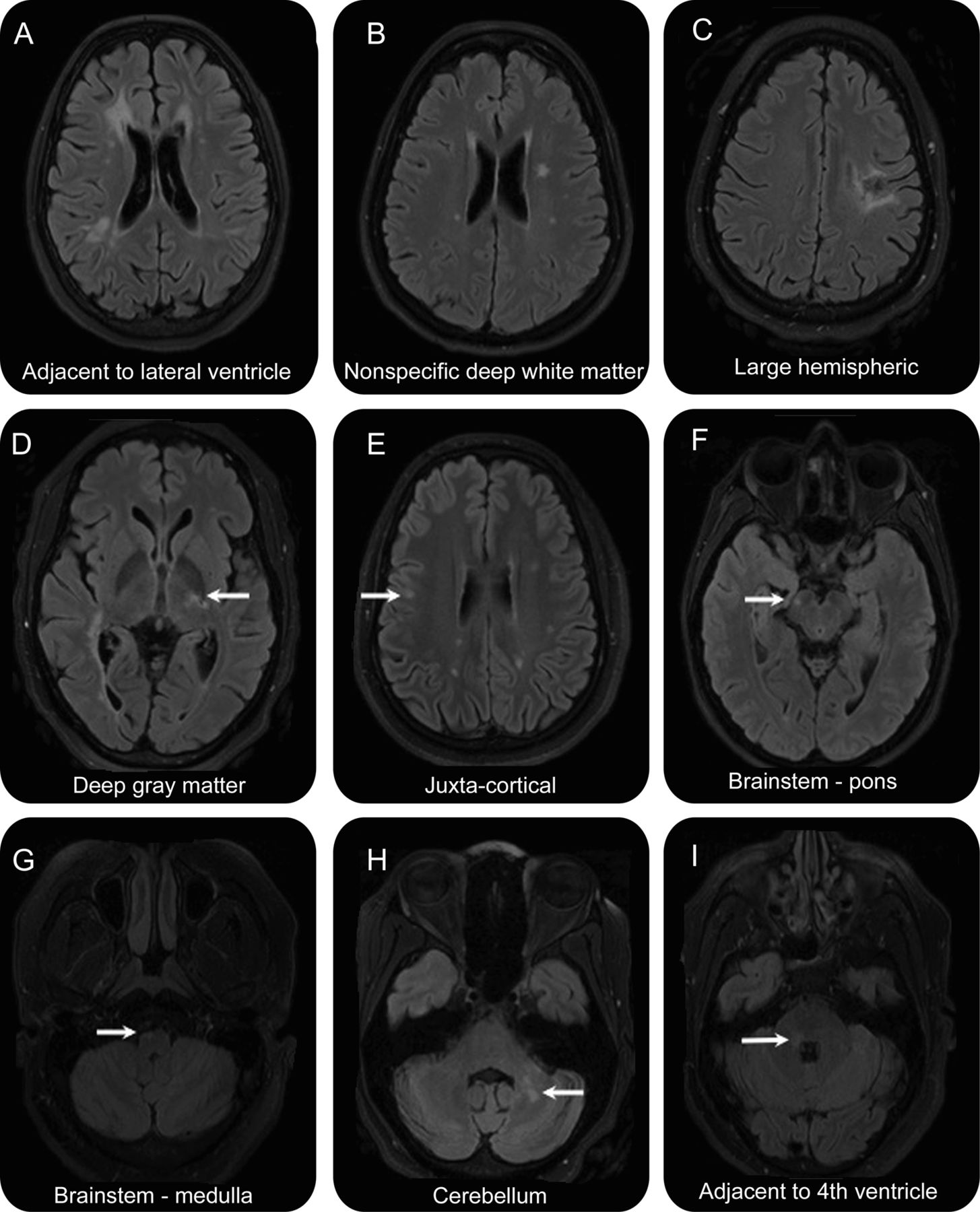
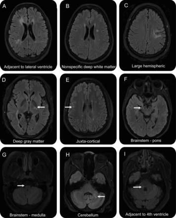
的比例NMOSD T2损伤发生在大脑中的特定空间位置所示表2。这些模式所示的例子图2。值得注意的是,患者最常见的分布NMOSD幕上的深白质病变。
的例子NMOSD(所有积极的aquaporin-4抗体)fluid-attenuated反转恢复扫描显示病变位置对应表2。(一)邻近侧脑室。(B)特异性的白质。(C)大半球病变的检查。(D)丘脑。Juxtacortical (E)。(F)桥的。(G) Medullar延髓。小脑(H)。(我)毗邻第四脑室。
七位26 NMOSD患者大脑病变,或15.9%的患者NMOSD,满足Barkhof标准名RRMS病变的传播空间,17基于unenhanced大脑核磁共振。有重要的区别,然而,在病变的形态。没有患者NMOSD与形态学juxtacortical T2 hyperintensities暗示U-fiber位置,与名RRMS队列。也注意损伤邻近侧脑室的NMOSD往往位于前部和后部角(图2一个),没有患者卵圆形病变在垂直对齐(道森的手指)。
脑脊液检查被执行的34 NMOSD患者。其中,9阳性寡克隆。7的患者完成Barkhof标准,1寡克隆条带阳性;因此,没有在这个群可能性增加。这组患者的临床表型与基于5 2006 Wingerchuk所描述的标准,1并与复发LETM 2。
NMOSD群内与T1 hypointensity被发现在0%到83.3%的T2病灶(38%的T2病灶)。相比之下,25%到95%的女士病变(53.4%的T2病灶)。
制定标准的分离名RRMS NMOSD。
使用上面的发现总结,我们可以假设名RRMS可以区别NMOSD T2大脑病变分布的基础上。我们测试的标准至少1个病灶邻近侧脑室体和至少1的下颞叶病变名RRMS的识别。这是能够识别名RRMS敏感性为78%,特异性96.2%,积极表语价值97.5%,阴性预测值69.4% (表3)。的名RRMS患者未同时满足两个条件,7 11有一个卵圆形垂直于侧脑室或皮层下病灶的形态暗示位置U-fiber(这些病变的例子如图飞行)。添加这个作为进一步标准导致敏感性92%,特异性96.2%,阳性预测值97.9%,阴性预测值86.2%。一个流程图总结的方式应该应用在这些标准图3。
动典型的大脑损伤的定义(例如,病变发生在periependymal脑组织或下丘脑)18相对主观和名RRMS病变也可以发生在这些位置。的客观标准是设计用于非专家,因此术语“动典型”避免了在这个研究。然而,我们调查是否病变毗邻第四脑室有助于正确识别NMOSD。这并没有改善的准确性标准,只有9%的患者NMOSD AQP4-ab积极在这项研究有病变,可能被视为动典型,与先前的文献保持一致。19
讨论
通过应用定量损伤概率方法映射到一大群AQP4-ab-positive NMOSD病人和名RRMS患者,我们已经能够识别重要的大脑病变分布的差异。因此,我们建议标准来帮助诊断名RRMS和NMOSD分离。这些都是至少1病变在T2加权扫描(可以是T2自旋回波或fluid-attenuated成像)下颞叶和邻近侧脑室的主体,或一个皮层下病变U-fiber-type形态(s形或弧形)或卵圆形病变垂直于侧脑室(道森的手指)。这个标识名RRMS敏感性92%,特异性96.2%。因此非常有用的标准作出明确的诊断名RRMS患者在面对非典型临床表现。如果病人不满足标准,这是暗示但不是诊断NMOSD,可用于结合临床评估和其他的证据调查如脑脊液检查。
标准已经由一个大约2:1名RRMS: NMOSD队列。在我们的临床经验,这是一个类似的混合与一名RRMS患者呈现/ NMOSD重叠综合征的诊断。增加NMOSD患者的比例将增加精度,反之亦然。因此,这些不适合女士筛查患者的人口没有值得注意的是,标准的能力,独立两种情况强尽管只用NMOSD T2 lesions-a病人正常的大脑扫描(在本群中发现34%的受试者)是高度的诊断NMOSD名RRMS,正如前面报道。1,5,19
我们已经表明,在NMOSD脑损伤患者分布变量,可以传播整个脑灰质和白质,女士可以发现患者的结果,27%的NMOSD脑损伤患者实现Barkhof标准病变女士的传播空间,17和很可能添加gadolinium-enhanced扫描和脊髓成像会进一步增加的比例,所以仔细的定位和形态的考虑是很重要的。没有患者NMOSD有卵圆形病变侧脑室的垂直对齐,并没有U-fiber-shaped皮层下病变。
概率分布地图对于我们的群名RRMS患者,显示病变最可能发生邻近侧脑室,与先前的发现是一致的。20.,21也符合先前的案例研究是我们的观察,一个NMOSD病变最常见的位置是深白质。19,22,23我们还表明,在比名RRMS NMOSD髓病变更常见。这些病变可能是连续的高颈脊髓损伤。
三个NMOSD患者被排除在外,因为他们大脑病变与血管病理兼容。他们承认在这一报告(图e 1)强调,必须注意可能的共病引起的脑部MRI异常因为NMOSD可以首次出现在老年人。深白质病变患者记录在26 NMOSD用于我们的损伤分布分析发现患者的年龄范围19到66年,表明他们不太可能由于non-AQP4-ab-mediated血管原因。
真正描述NMOSD患者的病变分布的特征,它是必要的,只包括AQP4-ab-positive病人在我们的研究人群,即。,所以诊断是毫无疑问的。名RRMS患者回顾性收集的数据包括,因此它是不可能测试所有AQP4-abs。十六岁的50名RRMS患者测试使用的是牛津的细胞试验,发现是负的。在之前的验证试验,没有发现AQP4-abs MS患者。4,12
下一阶段的工作是验证我们提出的标准在一个独立队列和前瞻性测试他们的公用事业管理antibody-negative病人opticospinal综合症。
作者的贡献
马修斯博士:研究概念和设计、采集和分析数据,包括数据准备手稿。Marasco博士,博士詹金森,kuk博士:数据分析和解释。Luppe博士:采集和数据的准备。雷特博士:采集的数据,解释和重要的修订手稿。乔治博士:收购和准备的数据,数据分析,重要的修订。德斯蒂法诺教授:收购和准备的数据,数据分析,重要的修订手稿。罗伯逊教授:采集的数据。约翰森伯格教授:数据分析和解释,重要的修订。Evangelou教授:研究概念和设计、数据采集和解释,重要的修订。宫博士:研究概念和设计,数据采集和解释,关键的修订,研究监督。
研究资金
这项工作是医学研究委员会的支持下,英国(G0901996 L.M.),威康信托基金会(H.J.-B),和NIHR生物医学研究中心,牛津(H.J.-B)。作者承认全国调试集团资助的英国动服务患者。
信息披露
l·马修斯和r . Marasco报告没有披露相关的手稿。m·詹金森收到版税从ISIS创新FMRIB软件库(目前)。w . kuk和美国Luppe报告没有披露相关的手稿。M.I.雷特已经收到资金从哈雷·斯图尔特爵士信任和支付讲座和差旅费用从Idec,日本和英国。答:乔治•报告没有披露相关的手稿。n . De斯特凡诺在默克公司Serono和接收研究科学顾问委员会的支持意大利女士的社会。他已经收到梯瓦制药产业有限公司发言人谢礼BioMS医疗、Biogen-Dompe, AG)、拜耳先灵葆雅制药公司,默克公司Serono,资金从梯瓦制药产业公司,默克公司Serono。n·罗伯逊报告没有披露相关的手稿。h·约翰森伯格教授是由威康信托基金会的奖学金,还支持NIHR的资助。她收到版税爱思唯尔的编辑体积扩散磁共振成像。n Evangelou Genzyme的顾问团,诺华公司,拜耳。他已经收到了来自英国女士社会资助和支持从默克公司和诺华公司Serono参加会议。j .宫的顾问团Idec,默克公司Serono, Teva安内特,拜耳先灵葆雅,诺华。她已经收到了英国女士社会资助和医学研究委员会,英国。她有一个专利未决ISIS创新(牛津大学)。她已经收到了从默克公司Serono和诺华会议支持。去首页Neurology.org为充分披露。
承认
作者承认全国调试集团资助的英国动服务患者。作者感谢教授安吉拉•文森特水稻水域,博士和马克Woodhall为他们的工作在发展和验证AQP4-ab化验和测试研究队列。
脚注
去首页Neurology.org为充分披露。资金信息和披露认为作者相关的,如果有的话,年底提供这篇文章。
- 收到了2012年6月12日。
- 接受2012年12月12日。
- ©2013美国神经病学学会的首页
引用
信:快速的网络通信
-
道森的手指和Neuromyelitis视
- Ilyakist,神经学家,纽约大学医学院,纽约ilya.kister@gmail.com
- Ilya kist,玉林通用电气,约瑟夫·赫伯特(美国纽约);蒂姆•Sinnecker Jens Wuerfel Friedemann保罗(德国柏林)
2013年5月07,提交
你可能也会感兴趣
提醒我
推荐的文章
- 文章
Neuromyelitis optica-IgG儿童中枢神经系统炎性脱髓鞘疾病b . Banwell s Tenembaum诉答:列侬et al。
首页神经学,2007年12月19日 - 文章
光学相干断层扫描有助于区分视neuromyelitis和视神经疾病女士j . n . Ratchford认为,这项m . e .试验康吉et al。
首页神经学,2009年7月27日 - 文章
分类antibody-negative动综合症临床、影像和代谢组学模型
仙女Tianrong唷,不分伯仲,Maciej Jurynczyk et al。
首页神经学:神经免疫学和神经炎症,2019年的10月28日 - 文章
颈脊髓萎缩早期发作女士进步的标志
Burcu Zeydan,新沂顾、伊丽莎白·j·阿特金森等。
首页神经学:神经免疫学和神经炎症,2018年1月22日


