临床推理:急性发作与高血糖同向偏盲
眼见为实
第一节
案例1。
一个32岁的女人,双相情感障碍的历史,多囊卵巢综合征,和高血压和四年历史的不受控制的2型糖尿病(DM)面对bifrontal头痛、血糖升高(> 500 mg / dL),和突然出现同向偏盲觉醒。生命体征包括温度98.0°F,血压160/89毫米汞柱,心率67 bpm。神经系统检查显示致密留给同向偏盲黄斑爱惜,没有其他焦点发现。
例2。
一个41岁的女人没有病史了bifrontal头痛和视力欠佳。后开始口服强的松管理哮喘恶化前1周,她说严重的多尿症,烦渴,减肥10磅重的,随后被诊断为DM(空腹血糖> 300 mg / dL)。前几天在演讲中,她指出小困难对象定位在她的左边,这是严重恶化觉醒入学的早晨。生命体征包括温度99.8°F,血压144/67毫米汞柱,心率100 bpm。神经系统检查证实了稠密左同向偏盲没有焦点的发现。
第二节
失明是最好的组织成prechiasmal(例如,单眼),交叉的(例如,双时态),或retrochiasmal(例如,同音异义的)赤字。同音异义的赤字在这些情况下观察到本地化retrochiasmatically,影响视束、外侧膝状体核,光学辐射,或视觉皮层。谐调同音异义的赤字和黄斑抽出后或皮质病变。
发病的时间轴是有用的在评估脑病理。在这些情况下,急性发作的症状提出怀疑血管性病因包括缺血性或出血性卒中发生,与梗塞静脉窦血栓形成,复杂的偏头痛,或大脑血管病变如可逆后部脑白质病综合征(rpl)或高血糖的偏盲。其他次要的考虑因素包括感染(即。,cerebritis, encephalitis), inflammatory process (i.e., demyelinating lesion, sarcoidosis), or toxic/metabolic process (i.e., ictal or postictal phenomenon). Neoplastic, paraneoplastic, hereditary, or degenerative pathology is not favored as these are more insidious in onset.
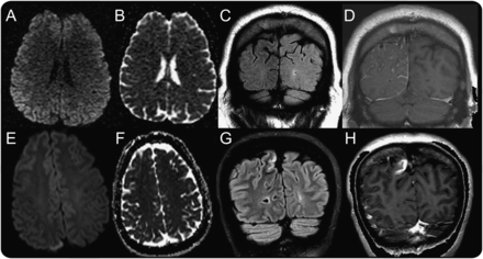
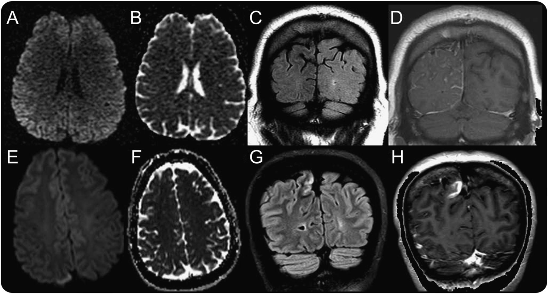
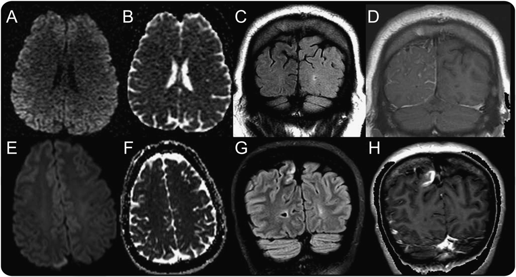
头部CT排除颅内出血。实验室调查排除白细胞增多,肾或肝功能异常,电解质紊乱,除了血糖升高到541 mg / dL(案例1)和306 mg / dL(例2)。大脑皮质增加信号基于MRI显示微妙diffusion-weighted序列没有相应降低表观扩散系数序列信号(图1中,A和B)。叠加震源,软膜的(例1),或者皮质(例2)钆增强观察、与相邻的皮层下hypointensity t2加权成像(T2WI)和fluid-attenuated反转恢复序列(天赋)(图1、C、D、G和H)。
核磁共振大脑有和没有对比为例1(模拟)和2 (E-F)。轴向diffusion-weighted序列(A, E)显示微妙的右枕叶和顶叶增加信号与相应的增加信号情况下的表观扩散系数2 (F)。日冕fluid-attenuated反转恢复(C、G)演示了皮层下hypointensity。冠状t1 gadolinium-enhanced图像(D, H)演示gyriform软膜的增强在案例1 (D)和焦皮质增强2 (H)。
第三节
MRI没有透露限制扩散表明缺血性脑梗塞。皮层下T2WI hyperintensities rpl的特征或脱髓鞘病变没有礼物。事实上,皮层下T2WI和天赋hypointensity被观察到。这个发现的微分是限于病毒性脑炎、脑膜炎、leptomeningeal转移,出血性梗塞,大脑缺氧的侮辱,nonketotic高血糖(NKH)。1除了NKH,这些其他条件与leptomeningeal增强相关联,而不是局部皮质的提高。发热、白细胞增多、癌症的历史,或低血压并没有观察到。
初步评估显示,没有证据表明酮尿或在案例1和大型酮尿酮血症跟踪酮血症2。糖化血红蛋白是13.5%(案例1)和12.1%(例2)。这两个病人管理与积极的水合作用和胰岛素严重的高血糖。快速调整血糖达到175 mg / dL(案例1)和162 mg / dL(例2)放电。
在第一种情况下,病人接受了不起眼的腰椎穿刺(1细胞/毫米3葡萄糖、蛋白质69 mg / dL, 104 mg / dL,血清葡萄糖237 mg / dL)。额外的研究没有揭示诱发感染或炎症条件包括正常病毒PCR测试(如肠病毒、疱疹、水痘、巴尔,和巨细胞病毒),莱姆面板,性病研究实验室测试,血管紧张素转换酶(ACE),隐球菌抗原,细菌,真菌,抗酸的文化。脑脊液免疫球蛋白G指数是正常的。脑脊液细胞学是没有肿瘤和淋巴瘤。实验室评估显示,提高沉降速度的101毫米/ h和c反应蛋白15.3 mg / L。评估系统性血管炎或结缔组织疾病-包括不起眼的快速血浆反应素,抗核抗体,艾滋病毒检测,双链DNA测试,anti-Rho和抗体,antineutrophilic胞质抗体,血清冷球蛋白,补充水平,王牌,心磷脂抗体和狼疮抑制剂。头部CT血管造影显示只对fetal-type大脑后动脉(fPCA)。
2,评价相似,与正常的腰椎穿刺(0细胞/毫米3、蛋白质36 mg / dL,葡萄糖100 mg / dL,血清葡萄糖162 mg / dL)。CSF病毒pcr、细胞学和流式细胞术稀松平常的。脑导管血管造影排除血管炎但fPCA演示。经颅多普勒超声通过执行transtemporal受声波的作用的双边大脑中动脉(mca)。5分钟后在仰卧位休息,平均流速的基线值被记录。在基线,稍大的海拔平均速度出现在右边(99厘米/秒)相比,左(86 cm / s)。确定脑血管储备,公司5%的混合物2在空气中被管理2 - 3分钟通过nonrebreathing面罩MCA平均流速的连续监测。速度响应达到最大时,这个值被记录和监控直到速度回到基线。基线之间的区别和最大响应速度得到百分比变化除以基线在回应这个公司2挑战,正常是30%或更大的平均流速的增加。右边的血管舒缩反应性降低(20%),但正常的左边(38%)。
第四节
表示有严重高血糖;缺乏脑血管梗塞、肿瘤、脱髓鞘病变,感染源,或血管炎成像;和特征发现T2WI、天赋和对比度增强图像支持高血糖的诊断偏盲。
病人在案例1发达的视觉组成的彩色球体升华光有时左眼和头部版本和响应能力下降有关。猝发的脑电图显示有节奏的α和θ发展节奏δ在正确的时间链。这些事件解决levetiracetam和托吡酯。在第二种情况是密切监测病人没有发生癫痫。常规脑电图显示幅值不对称(右半球15 - 20μV,左批准μV)。
在案例1中,视觉症状解决完全由主观报告但病人急性精神病与合成药物不服从,人马高血糖的危机和复发性左同向偏盲(图e 1首页®网站首页Neurology.org)。视觉持续赤字之后,与大脑MRI 1.5岁显示正确temporal-occipital萎缩。在案例2中,视觉症状改善了70%放电和完全由视野测试后10天。
讨论
一系列的脑损伤的描述都是严重的高血糖。Nonketotic hyperosmolar高血糖(血糖> 600 mg / dL,碳酸氢盐> 20毫克当量/ L, pH > 7.3,同渗重摩> 320 mOsm / L,缺失或小ketoacids)和糖尿病酮症酸中毒(血糖> 400 mg / dL,碳酸氢盐< 10毫克当量/ L, pH值< 7.2,正常同渗重摩,现在ketoacids)占领这个频谱的两端。具体的中枢神经系统症状还包括高血糖的hemichorea-hemiballismus、轻偏瘫、偏盲、昏迷。
在高血糖的偏盲,患者出现同名的障碍赤字和严重的高血糖,通常一个nonketotic hyperosmolar状态。MRI经典演示T2WI hypointensity。1癫痫频繁复杂的疾病。与快速纠正高血糖症状是可逆的。2
从高血糖脑损伤机制尚不清楚,可能包括从hyperosmolarity细胞内脱水,活性氧生成,改变神经递质功能,局部脑血管缺血,或改变胞内酶力学。3动脉基底超氧化物,烟酰胺腺嘌呤二核苷酸phosphate-stimulated超氧化物,血浆铁蛋白、血清铁、和终末器官铁沉积在动物暴露于慢性高血糖发生率更高。4酸中毒引起NKH进一步增加游离铁由于acidosis-induced减少转铁蛋白亲和力和随后的活性氧生成。5在急性高血糖、胰岛素缺乏导致严重的血管内高血糖、糖尿,和不同程度的酸中毒,细胞内脱水可能发挥作用在神经功能障碍和成像特点。增加信号diffusion-weighted序列显示细胞毒性水肿通常与缺血也在渗透功能障碍有关,超高粘度综合症,或癫痫发作。癫痫频繁NKH神经症状,导致一些建议这些病人可能代表postictal偏盲托德瘫痪。MRI在焦发作,然而,通常揭示T2WI hyperintensity。相比之下,皮层下T2WI hypointensity常见这种情况与铁积累有关,早期皮质缺血,细胞脱水。6进一步的研究是必要的。
后优势的病理学是发生在高血糖的偏盲和rpl。交感神经支配增强大脑血管语气针对急性脑血流动力学的变化。少一个溥的假设是,丰富的交感神经支配后循环和软膜的络脉结果后优势的这些条件。7DM患者尤其容易受到自身调节的失败由于交感神经异常、内皮功能障碍,血脑屏障破坏,自由基释放。8
大脑血管舒缩储备减少了超声是有趣的。案例2中的单方面减少脑vasoreactivity表明焦最大大脑血管舒张的状态,减少自身调节的能力在这个地区。这里介绍两个病人被发现有ipsilesional fPCAs。fPCA电路降低MCA-posterior脑动脉软膜的collateralization9并可能使这种单方面减少血管舒缩反应尽管系统性高血糖等代谢压力。焦皮质病理机制没有完全阐明,在这种情况下需要进一步调查。
高血糖的偏盲患者是一个重要考虑事项突然发病偏盲和高血糖可以进一步确认与影像学表现特征。及时的治疗是非常重要的在这个潜在可逆的条件。
作者的贡献
Strowd博士:概念、手稿准备,一代的人物,和手稿的最后修订和批准。Wabnitz博士:手稿准备、修订和批准。Balakrishnan博士:手稿准备、修订和批准。克雷格博士:手稿准备、修订和批准。泰格尔博士:手稿准备、修订和批准。
研究资金
没有针对性的资金报告。
信息披露
r . Strowd作为编辑团队成员的居民和其他部分首页神经病学®。a . Wabnitz n .·j·克雷格·,c .泰格尔报告没有披露相关的手稿。去首页Neurology.org为充分披露。
脚注
去首页Neurology.org为充分披露。资金信息和披露认为作者相关的,如果有的话,年底提供这篇文章。
补充数据首页Neurology.org
- ©2014美国神经病学学会的首页
引用
信:快速的网络通信
你可能也会感兴趣
主题讨论
提醒我
推荐的文章
- 简短的沟通
高血糖的偏盲:non-ketotic高血糖可逆的并发症帕特里克J.M.拉文等。
首页神经学,2005年8月22日 - 文章
同音异义的偏盲在904例Clinical-anatomic相关性
x张棚s, m·j·林恩et al。
首页神经学,2006年3月27日 - 临床和伦理挑战
同向偏盲在nonketotic高血糖发作的现象亚伦斯台曼巴塞尔因车祸w . Abou-Khalil帕特里克·拉文等。
首页神经学:临床实践,2013年8月28日 - 居民和其他部分
珍珠和Oy-sters:视神经束综合症王维r·罗德里格斯Kesava Reddy et al。
首页神经学,2010年11月22日


