中枢神经系统的临床表现和预后价值MOG成人自身免疫
MOGADOR研究
做出评论
看到评论
文摘
客观的描述临床和影像学特征与髓少突细胞糖蛋白抗体(MOG-Ab)在一个大法国全国成人群体,来评估基线MOG-Ab-associated疾病的预后特征后第一次急性脱髓鞘综合症,并评估MOG-Ab纵向分析的临床价值。
方法临床数据取自197 MOG-Ab-positive患者≥18岁。完成成像数据,108年54血清样本符合纵向评估。生存分析比较,169 aquaporin-4抗体(AQP4-Ab)阳性患者从NOMADMUS数据库被包括在内。
结果平均发病年龄为36.46岁(范围18.0 - -76.8),与患者白人(92.9%)男:女比,1.1。临床表型包括视神经炎发作或骨髓炎90.86%,孤立的脑干或脑病综合征6.6%,症状在2.5%的组合。独特的大脑核磁共振发现MOG-Ab-positive患者丘脑和桥的损伤。皮质和leptomeningeal损伤被发现在16.3%和6.1%,分别。达成第一次复发的概率2和5年后是44.8%和61.8%,分别。MOG-Ab-positive患者在低风险的进一步临床复发(危险比[HR] 0.45, 95%可信区间[CI] 0.26 - -0.79)相比AQP4-Ab-positive个人。MOG-Ab-positive个体的风险降低达到残疾状态量表得分为3.0分(HR 0.46, 95% CI 0.22 - -0.94)和视力20/100 (HR 0.23, 95% CI 0.07 - -0.72)。最后,MOG-Ab浓度更高比缓解复发(p= 0.009)。
结论在成人中,MOG-Ab-associated疾病超出临床和影像学异常的视觉神经和脊髓。尽管复发,整体视觉和运动的结果是更好的与AQP4-Ab-positive患者相比。
术语表
- 广告=
- 获得性脱髓鞘综合症;
- AQP4-Ab=
- aquaporin-4抗体;
- CI=
- 置信区间;
- DSS=
- 残疾状态量表;
- eds=
- 扩大残疾状态量表;
- 天赋=
- fluid-attenuated反转恢复;
- 人力资源=
- 风险比;
- 免疫球蛋白=
- 免疫球蛋白G;
- 位差=
- 四分位范围;
- MOG-Ab=
- 髓鞘少突细胞糖蛋白抗体;
- 女士=
- 多发性硬化症;
- NMOSD=
- 视neuromyelitis谱系障碍;
- 台籍干部=
- 寡克隆乐队;
- OFSEP=
- 法语观察站硬化斑块;
- 在=
- 视神经炎;
- TM=
- 横向脊髓炎;
- 弗吉尼亚州=
- 视敏度
抗体针对髓少突细胞糖蛋白(MOG-Ab)已报告在儿科患者的血清与单式硬化症(MS)收购脱髓鞘综合症(广告)和成人患者的视神经节neuromyelitis谱系障碍(NMOSDs)。1,- - - - - -,4
在成人患者NMOSD, MOG-Ab似乎定义一个临床均匀子群以独特的发现相比aquaporin-4抗体(AQP4-Ab)阳性的患者:发病年龄更年轻,更频繁的男性,和视神经的偏好。1,- - - - - -,3,5,6报告的新临床表型,如皮质脑炎或脑干症状和例暴发性的课程建议整个临床和放射光谱没有完全定义。7,- - - - - -,11
MOG-Ab-positive病人最初与单相和严重疾病相关课程相比AQP4-Ab-positive病例。1,- - - - - -,3最近,更长的随访时间显示复发的频率高于最初描述可能更重要的是残疾。9,12然而,这些研究是基于小群病人,从成人和儿科混合特性,没有考虑执行结果分析。因此,MOG-Ab是否比AQP4-Ab更好的预后有关的广告目前是一个有争议的问题。
一些研究报道,减少MOG-Ab浓度和血清反应阴性的转换与无复发和更良性的疾病。13,- - - - - -,16别人没有发现这种联系。3,8
在目前的研究中,我们旨在描述相关的临床和影像学特征与MOG-Ab法国大型全国性成人群体,来评估基线MOG-Ab-associated疾病的预后特征后第一个广告,并评估MOG-Ab纵向分析的临床价值。
方法
参与者
我们回顾性招募病人从法国转介中心观察站的神经炎症疾病范围内法语de la硬化en斑块(OFSEP)满足以下入选标准:诊断的广告,定义为至少1急性中枢神经系统的临床脱髓鞘事件持续至少24小时;存在MOG-Ab血清检测在疾病发作或在随访;和疾病在发病年龄≥18年。
程序
临床
所有请求的信息收集在一个标准化的评估形式致力于MOGADOR MOG-Ab光谱研究在法国2014年1月至2017年1月,在法国注册为NMOSDs全国数据库和相关的神经系统疾病(NOMADMUS)。MOGADOR标准化评价形式包括(1)流行病学数据,如性别、年龄疾病发作,和白人种族;(2)临床数据,如残疾症状评估的最低点扩大残疾状态量表(eds),临床表型在发病、复发,复发的临床表型和最后随访,时间第一次复发,时间不可逆电动机残疾(残疾状态量表(DSS)得分3.0和6.0坚持> 6个月),和时间不可逆转的视觉残疾(定义为视力(VA) > 6个月的20/100持续至少1眼视觉功能系统)6;(3)生物数据如脑脊液细胞计数(脑脊液细胞增多> 5细胞/毫米3)和寡克隆乐队(时常)或免疫球蛋白G(免疫球蛋白)指数;和(4)短期和维持治疗(免疫抑制剂(以美罗华咪唑硫嘌呤,霉酚酸酯、米托蒽醌环磷酰胺或甲氨蝶呤),女士治病的药物,或低剂量的糖皮质激素至少6个月)。
额外的流行病学和临床特征,如伴随的自身免疫性疾病,感染疾病发作之前,和其他伴随症状发作(癫痫、神经性疼痛区域postrema综合征)进行评估时可用(n = 144)。
预后分析,我们使用两个不同尺度(DSS和VA)区分电动机和视觉结果后的第一个广告。电动机残疾,我们包括所有患者non-optic神经炎(上)表型,并在评估视觉残疾,我们只包括那些出现在第一个广告。
最后的诊断
两个医生(交流- - - - - -Cand R.M.) reviewed all cases and neuroimaging and classified patients as having acute disseminated encephalomyelopathy,17NMOSD,18其他NMO-like表型(即有限。,isolated monophasic or relapsing transverse myelitis [TM] or ON), MS,19和脑干症状。短TM和患者不严格履行NMOSD标准分为optico-spinal表现型。18
MOG-Ab军团
我们定义一个事件队列只考虑病人的疾病开始在2014年1月(MOG-Ab日期可用性测试在我们的实验室),其诊断出现症状后不久。其余的被定义为回顾性队列。两个组别(事件和回顾性)属于整个队列的本研究用于临床和预后分析。
AQP4-Ab队列
从AQP4-Ab-positive患者流行病学和临床数据从文件中提取包含在NOMADMUS数据库在研究期间20.(附录e 1,links.lww.com/WNL/A474)。
放射
可用大脑和脊髓磁共振3个月内出现症状进行评估(不经常包括轨道MRI)。图像是由2个独立的评级机构评估盲的临床和抗体结果用图像存档和通信系统。MRI研究包括轴向和大脑和脊髓的矢状面图像得到t1, t2加权,fluid-attenuated反转恢复(天赋),和t1 postcontrast序列。脑MRI异常注册时,特性与NMOSDs有关21最近报道MOG-Ab患者和特性22主要是指出:(1)大脑皮层灰质,(2)模糊/差划定病变,(3)局限于基底神经节和/或块状病变,簇状脑干(4)特异性的白质病变,或(5)钆增强。地形的病变也收集(附录飞行,links.lww.com/WNL/A474)。
控制,我们使用了最新可用的从我们的群AQP4-Ab-positive脑部MRI异常患者。
自身抗体检测
时期内的研究中,16181个血清样本检测AQP4-Ab和MOG-Ab通过与生活HEK293细胞试验,如前所述。20.,23滴定MOG-Ab-positive样本进行第二步的血清样本存储在Neurobiotec生物(法国里昂大学医院)系列稀释直到失去积极的信号(从1:160 1:40.000)。我们使用一个次要anti-Fc避免免疫球蛋白M大。24我们进行了纵向分析MOG-Ab滴度可用患者样本获得至少3个月。三个月内复发样本被定义为那些收集集;缓解样本收集从发作至少3个月。16
统计分析
对于预后分析,我们考虑整个MOGADOR队列,进行了单变量分析的估计累积事件率之间的MOG和AQP4-Ab团体使用kaplan meier方法表达95%置信区间(CIs)。由生存率较存活曲线进行了比较。单变量Cox比例风险模型被用来比较两组之间的时间事件,和基线变量的值p≤0.10中包括多变量模型。维持治疗是包括作为分析时变协变量。
MOG-Ab患者之间的临床和人口统计特征和AQP4-Ab病人被使用χ相比2测试(或Fisher精确检验)和分类变量t测试(或非参数Wilcoxon-Mann-Whitney测试)连续变量。
血清的纵向分析,Wilcoxon-Mann-Whitney测试被用来比较复发和缓解样品,和Wilcoxon配对rank-sum测试是用于在后续样品。
所有与STATA-12统计分析软件(64位,StataCorp,大学城,TX)和GraphPad棱镜(5.0版本,GraphPad软件,拉霍亚,CA)。的值p< 0.05被认为是重要的。
标准协议的审批、登记和病人同意
这项研究是根据法国法律进行相对于临床noninterventional研究。根据法国法律生物伦理(7月29日,1994;2004年8月6日;2011年7月7日,公共卫生代码),收集病人的书面知情同意。此外,数据机密性保证按照推荐的法国数据保护委员会(委员会国家Informatique等自由,yann padova博士决定- 2014 - 558)。
数据可用性
本研究是OFSEP框架内完成的。因为国家保密要求,只能匿名数据,不是pseudonymized数据可以共享。虽然匿名化技术可能导致贫困数据(第二十九条指令95/46 / EC的意见05/2014匿名化Techniques-0829/14 / EN WP 216),数据仅用于本研究pseudonymized。然而,访问OFSEP数据进行科学的项目可能遵循OFSEP数据访问过程(ofsep.org/en/data-access)和法国法律。
结果
MOG-Ab-positive病人的临床描述
流行病学、临床表现和治疗选择
我们确认197 MOG-Ab-positive病人在整个队列,而且都不是AQP4-Ab-positive。其中,有50.8%是男性(男:女比1.1),和演讲时的平均年龄是36.5(四分位范围(差),28.2 - -47.7)年。病人被白人(92.9%)。自身免疫性疾病的背景中观察到16,144名(11%)患者和20%的患者感染后1月内疾病出现的历史(表1)。
最常见的临床表型出现在(60.9%),然后脊髓炎(22.3%),和7.6%的患者同时开发和骨髓炎。是两国120年50(41.7%)患者在发病。在15和脊髓炎患者最初的照片,6(40%)举行了双边。在演讲中,18例(9.1%)患者最初表示除了和/或骨髓炎,8例(4.1%)开发了一个孤立的脑干综合症,5例(2.5%)有一个孤立的脑病综合征,4例(2.0%)有一个脑干综合症与脑病,和1(0.5%)一起对脑干综合症。其它不太常见的伴随症状发作是神经性疼痛(7.6%)、发热(9%)、和区域postrema症状(2.1%),和2患者发生癫痫发作(1.4%)表1)。
回顾144年临床报告后,先前的或伴随的自身免疫性疾病被发现在16个(11.1%)病人:甲状腺功能减退6(37.5%)、牛皮癣在4(25%),结节病2例(12.5%),和干燥综合征,格林-巴利综合征,自身免疫性肝炎,重症肌无力1例(6.3%)病人。此外,自身抗体被发现在29例(20.1%)患者(表1)。基线特征对表型在发病中描述表e 1 (links.lww.com/WNL/A473)。
只有10 175 7(5.7%)和96名(7.3%)患者有台籍干部或积极的免疫球蛋白g CSF指数,分别。脑脊液细胞增多CSF在61年观察到的138个(44.2%)病人和被最频繁的出现骨髓炎在发病(30 38 79.0%)相比,其余(31,100年31%,p< 0.001)(表e 1,links.lww.com/WNL/A473)。
大多数病人(83.8%)接受了急性期治疗发病。维持治疗始于197年34(17.3%)患者3个月后表示和40的83名(48.2%)患者3个月后第一次复发。总的来说,在最后的随访中,维持疗法已经在115年开始的197名(58.4%)患者和67年的83(80.7%)复发的人。106年(53.8%)患者服用免疫抑制剂过程中至少有一次疾病;45(43.3%)接受利妥昔单抗,36(34.6%)接受了咪唑硫嘌呤,和38(33.7%)接受了霉酚酸酯。当所有患者维持治疗考虑在内,美罗华是首选治疗115年33(28.7%),其次是咪唑硫嘌呤115年31日115年28(27%)和霉酚酸酯(24.4%)。其他疗法更常用的是米托蒽醌,环磷酰胺、甲氨蝶呤或12 197名(6.1%)患者;疾病修饰药物女士197年8 (4.1%);和糖皮质激素197年11 (5.6%)。
治疗骨髓炎患者在发作更频繁(29 59岁,49.2%)相比,患者开始在(24 120年20%)或其他临床表型(4 18 22.2%,p< 0.001)。
疾病过程、结果和临床表型最后随访
在整个人群中,83后,197名(42.1%)患者复发的平均随访15.8(差7.2 - -50.1)个月。在整个队列,累积的风险达到复发2和5年后是44.8%和61.8%,分别为(图e-1A,links.lww.com/WNL/A472)。在2年,43.1% (95% CI 31.6% -56.8%)在139 -病人事件队列和43.8%(95%可信区间30.0% - -60.6%)58-patient回顾性队列(log-rank复发p= 0.617)(图e-1B)。整个队列是在全球范围内具有良好的运动和视觉在最后随访预后。然而,我们发现,19岁的77名(24.7%)患者出现non-ON表型DSS分数达到3.0和8 77(10.4%)达到了DSS得分为6.0分。关于视觉残疾,11 136例(8.1%)患者达到20/100在最后随访的VA (表1)。没有差异的患者的比例达到了DSS得分3.0或20/100 VA患者复发和单相之间(数据没有显示)。
在最后的随访中,38例(19.3%)患者NMOSDs满足标准,满足标准和3例(1.5%)患者临床表型女士在最后随访所示表1和图依照(links.lww.com/WNL/A472)。
放射特性MOG-Ab-associated疾病
108年我们能够评估大脑核磁共振成像,其中49例(44.4%)被发现是不正常的。发作或骨髓炎患者,72年23(31.9%)和16个30(53.3%),分别显示在第一个可用的脑部MRI异常(表飞行,links.lww.com/WNL/A473)。
有异常的病人大脑核磁共振有更高的残疾发病比正常大脑的磁共振成像(p= 0.006)。此外,64.9%的患者大脑异常MRI显示脑脊液脑脊液细胞增多27.3%无脑MRI异常(p= 0.001)。时常在脑脊液被发现只在患者脑部MRI异常(p= 0.064)。最后,患者自身抗体被认为更频繁地异常脑磁共振成像(p依照= 0.035)(表,links.lww.com/WNL/A473)。
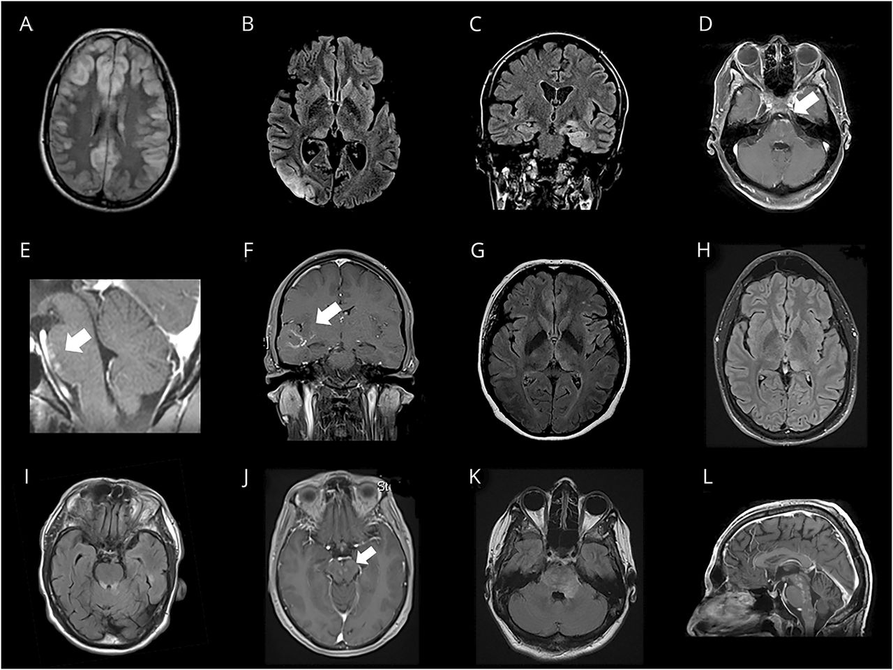
我们没有确定一个具体的放射模式MOG-Ab组相比AQP4-Ab组(n = 22)。然而,病变位于丘脑和脑桥被更频繁地出现在MOG-Ab集团(p= 0.031,p分别为= 0.007),而在延髓病变区域postrema更经常观察AQP4-group (p= 0.004,p分别为< 0.001)(表2)。其他发现皮质参与8(16.3%)和leptomeningeal增强3例(6.1%)患者。代表病例病理脑MRI显示图1。和皮质参与病人的描述特征出现在表格e - 3,links.lww.com/WNL/A473图e - 3,links.lww.com/WNL/A472。
(A, B)双边和单边皮质病变在天赋序列。(C) Temporomesial皮质病变模仿边缘脑炎天赋序列。(D-F)桥的皮质leptomeningeal钆增强。(G, H)丘脑病变天赋序列。(i (k)脑干病变涉及脑桥和中脑被盖。(左)“盐和胡椒”脑干CLIPPERS-like成像模式。图像(B)和(C)对应于同一病人在疾病的不同阶段(病人2表e - 3links.lww.com/WNL/A473)。快船=慢性淋巴细胞炎症与桥的血管周的增强对类固醇;天赋= fluid-attenuated反转恢复;MOG-Ab =髓少突细胞糖蛋白抗体。
我们获得25大脑核磁共振成像在后续MOG-Ab组,显示完整的决议病变13例(52%),好转5例(20%),6例(24%)病人和稳定性。MOG-Ab-positive患者呈现孤立脊髓炎或骨髓炎一起发作,27日32(84.4%)和5 9例(55.56%),分别描述了纵向广泛TM(病变扩大≥3相邻椎段)(pe 1 = 0.065)(表,links.lww.com/WNL/A473)。观察胸段在大部分的情况下(27的41岁的65.9%)。
结果MOG-Ab AQP4-Ab相比的地位
MOG-Ab基线差异表的军医和AQP4-Ab-positive患者(links.lww.com/WNL/A473)。时间第一次复发是影响serostatus, MOG-Ab-positive达成第一次复发患者较低的风险(风险比[HR] 0.45, 95%可信区间0.26 - -0.79,p= 0.005)相比AQP4-Ab-positive病人。eds更高分数在发病(HR 0.86, 95%可信区间0.78 - -0.96,p= 0.005)和维持治疗的存在(HR 0.43, 95%可信区间0.24 - -0.75,p= 0.003)也与临床复发风险较低(表3)。
关于运动的结果,MOG-Ab serostatus似乎显示保护作用达到DSS得分为3.0 (HR 0.46, 95%可信区间0.22 - -0.94,p= 0.033)。此外,更高的eds得分在开始与一个糟糕的结果(HR 1.32, 95%可信区间1.16 - -1.50,p< 0.001)(表3)。
我们发现MOG-Ab serostatus有关风险较低到弗吉尼亚州的20/100 (HR 0.23, 95%可信区间0.07 - -0.72,p= 0.012)以及在出现症状严重程度更高(HR 1.52, 95%可信区间1.12 - -2.05,p= 0.007)相比AQP4-Ab (表3)。kaplan meier估计的时间第一次复发,DSS得分为3.0,20/100的弗吉尼亚州和时间来描述图2。
(一)kaplan meier时间估计达到MOG-Ab和AQP4-Ab团体之间的第一次复发。在发病后24个月,59.76%(95%可信区间54.48% - -67.68%)的AQP4-Ab-positive和44.79%(95%可信区间36.14% - -54.48%)的开发了第一个复发(log-rank MOG-Ab-positive病人p= 0.014)。(B) kaplan meier时间估计到DSS MOG-Ab和AQP4-Ab团体之间的得分为3.0分。在发病后24个月,56.56%(95%可信区间47.14% - -66.39%)的AQP4-Ab和18.33%(95%可信区间11.29% - -29.00%)的MOG-Ab-positive患者达到了DSS得分为3.0分(log-rankp< 0.001)。(C) kaplan meier估计时间VA MOG和AQP4-Ab团体之间的20/100。在24个月,34.01%(95%可信区间23.83% - -49.99%)的AQP4-Ab-positive和8.52%(95%可信区间3.94% - -17.91%)MOG-Ab-positive患者达到20/100 VA (log-rankp< 0.001)。AQP4-Ab = aquaporin-4抗体;CI =置信区间;DSS =残疾状态量表;MOG-ab =髓少突细胞糖蛋白抗体;弗吉尼亚州=视力。
血清的纵向分析MOG-Ab滴度
血清纵向样本获得24 MOG-Ab-positive患者(54)血清样本中位数区间之间的第一个和最后一个示例5.8(差3.8 - -14.4)个月。MOG-Ab滴度高复发样本(n = 19日平均10240,差5120 - 20480)相比,缓解样品(n = 35,平均1280,差1280 - 5120,p= 0.006)(图e-4A,links.lww.com/WNL/A472)。
有一个下降的趋势MOG-Ab效价在单相疾病(n = 11, Wilcoxon配对rank-sum测试,p= 0.066)相比,那些复发(n = 13,p= 0.664)(图e-4B e-4C,links.lww.com/WNL/A472)。在单相疾病患者中,只有2例(18.2%)成为MOG-Ab血清反应阴性的,后中位随访6.07和6.73个月。其余(n = 9)后仍MOG-Ab积极的中位随访8.2(差5.3 - -12.6)个月。
讨论
197年全国这个大群成人MOG-Ab患者,我们描述一个独特的表型,不同于AQP4-Ab NMOSD女士在一个集中和均质抗体分析和数据收集,我们观察到患者MOG-Ab整体有一个温和的疾病过程相比AQP4-Ab-positive患者尽管经常复发的疾病。
符合之前的报道主要NMOSD成人患者的临床表型MOG-Ab-associated疾病,我们证实了高偏爱视觉神经和脊髓,在一起> 80%的病例。1,- - - - - -,3,5,6脑干是较少比AQP4-Ab NMOSD军团。25尽管偏爱视觉神经和脊髓,只有19%的病人NMOSDs满足2015标准。虽然诊断标准被设计允许包含NMOSDs连同其他抗体的存在,18我们的研究和其他支持,MOG-Ab-positive有限形式的疾病患者可能实现不了。1,- - - - - -,3,5,6,26这强调病人分类的复杂性的基础上临床,而不是生物的表现型。
在目前的研究中,45%的MOG-Ab-positive患者在发作的脑部核磁共振成像评估显示异常,与其他研究结果一致。1,3,27,28病变大多是双边的,影响深白质、脑干是经常涉及结构出现疾病。当比较MOG-Ab AQP4-Ab-positive病人,我们发现,两组共同特性,最近建议。28尽管如此,延髓和区域postrema AQP4-Ab-positive患者更频繁地受到了影响,而丘脑和桥的损伤更经常出现在MOG-Ab-positive病人。组织在损伤位置差异可能部分解释为高抗原表达在特定领域。29日然而,大脑异常也发生在地方AQP4表达不是特别高,21这表明其他机制可能与病变的形成。我们观察到3 MOG-Ab-positive leptomeningeal增强病人,如AQP4-Ab-positive病人最近报道。30.我们的3例,连同之前的情况下,31日代表一个新的观察MOG-Ab-associated疾病权证更详细的研究。
值得注意的是,8的42例(16%)患者异常的大脑核磁共振成像显示大脑皮层的参与。脑病患者开发了一个照片,连同脑膜症状,逆行性遗忘,和癫痫发作在某些情况下,症状不是经常报道其他脱髓鞘脑病的症状如我们发现女士表型强化了最近的一项研究显示,MOG-Ab-associated疾病是更频繁地以比AQP4-Ab-associated脑病和/或癫痫发作的疾病。32这些病人履行为脑炎诊断标准,33这可能导致延误诊断与治疗的影响。MOG-Ab脑炎患者最近表现为单边皮质感情,癫痫,对类固醇和良好的反应,10以及1患者仅与电动机的双边额叶皮质病变赤字在发病。11没有一个显示海拔脑脊液髓磷脂碱性蛋白,和单纯活检的病理研究病人没有任何脱髓鞘的模式。这表明,其他机制,如皮质水肿,而不是纯粹的髓鞘脱失,可能的原因。
MOG-Ab-associated疾病患者最初描述跟随单相课程。1,- - - - - -,3,5然而,我们在这里找到一个高比例的复发,与他人一致。26即使我们不能排除一种可能的患者选择偏见单相课程由于可能辍学,没有时间的差异达到事件和回顾性群组之间的第一次复发。尽管复发,MOG-Ab-positive病人表现出更好的运动和视觉结果相比AQP4-Ab-positive病人后第一个广告。这种区别是由脑脊液结果显示特定的髓鞘损伤的证据在MOG-Ab髓鞘和星形胶质细胞改变AQP4-Ab-positive患者被发现34和实验研究证明MOG-Ab产生瞬态髓鞘改变老鼠的完全恢复。35,36最后,当复发和单相患者相比,没有不同的患者的比例达到DSS得分3.0或VA的20/100,表明大多数的残疾是由第一个攻击或大部分复发有很好的恢复。因此,尽管免疫抑制剂是公认在AQP4-Ab-associated有效预防复发的疾病,37前瞻性研究,旨在评估疗效在成人MOG-Ab-associated疾病是强烈推荐。
我们发现了一个比例的患者显示颞抗体滴度之间的相关性及临床状态:高滴度在复发缓解阶段相比,抗体窃笑的维护患者复发的时间。因为我们没有观察到这一趋势在所有患者(1单相病人增加和2复发患者显示减少MOG-Ab浓度;图的军医,links.lww.com/WNL/A472),这些结果不能直接指导目前的治疗。
对我们的研究有一定的局限性。并不是所有患者诊断在疾病发作,导致异质性的管理和治疗该疾病的可能影响。因为成像进行临床和实验室测试,本研究的主要局限是缺乏标准化的MRI措施的时机和血清样本收集。尽管回顾性研究设计,我们能够规范诊断分析和数据收集所有中心,加强了我们的结果的一致性。
目前的研究表明,MOG-Ab-associated疾病相关的更好的结果比AQP4-Ab NMOSDs。然而,一些病人显示一个贫穷的结果。因此,在不久的将来,这样的患者早期识别更严重的过程应该是一个主要目标,以及一个更好的治疗反应评价。
作者联系
从服务de neurologie,硬化斑块(A.C.-C。,F.D.-D。,S.V.,R。米。), pathologies de la myéline et neuro-inflammation–Hôpital Neurologique Pierre Wertheimer Hospices Civils de Lyon; Lyon's Neuroscience Research Center (A.C.-C., A.R., R.M.), U1028 INSERM, UMR5292 CNRS, FLUID Team F-69008 Lyon; Department of Neurology (E.M., C.P.), Pitié-Salpêtrière Hospital, APHP, Paris; Aix Marseille Université (B.A., J.P.), APHM, Hôpital de La Timone, Pôle de Neurosciences Cliniques, Service de Neurologie; Pôle des Neurosciences et de l'Appareil Locomoteur (H.Z.), CHU de Lille, Université de Lille, LIRIC, UMR 995; Department of Neurology (B. Bourre), Rouen University Hospital; Department of Neurology (J.C.), Poitiers University Hospital; Department of Neurology and Clinical Investigation Center (N.C., J.D.S.), Strasbourg University Hospital; Department of Neurology B4 (D. Brassat, D. Biotti), Bâtiment Pierre-Paul Riquet, University Hospital of Purpan, Toulouse; Service de Radiologie (F.C.), Centre Hospitalier Lyon-Sud, Hospices Civils de Lyon, Pierre-Bénite; Department of Neurology (D.L.), Nantes University Hospital; Department of Neurology (R.D.), Fondation A. De Rothschild, Paris; Université Côte d'Azur (M. Cohen, C.L.-F.), Hôpital Pasteur 2, Centre Hospitalier Universitaire de Nice, Service de Neurologie; Department of Neurology (X.A., P. Labauge), Montpellier University Hospital; Service neuro-opthalmologie (C.T.), Hôpital Neurologique Pierre Wertheimer, Hospices Civils de Lyon; Department of Neurology (E.T.), Hôpital Carémeau, Nimes University Hospital; Department of Neurology (B. Brochet, C.D.), CHU de Bordeaux & INSERM U 1215, Université Bordeaux; Department of Neurology (T.M.), University Hospital of Dijon; Department of Neurology (A.T.), Reims University Hospital, University of Reims Champagne-Ardenne; LPN EA 2027 (A.T.), University of Paris VIII, Saint-Denis; Department of Ophthalmology (P. Lebranchu, L.M.), Nantes University Hospital; Department of Neurology (A.M.), Hôpital de Dupuytren, Limoges; Department of Neurology (G.M., M.D.), Nancy University Hospital and Inserm CIC 1433; Department of Neurology (N.D.), Caen University Hospital; Neurology Department (M. Coustans), Quimper Hospital; and Université Claude Bernard Lyon 1 (F.C., F.R., S.V., R.M.), Faculté de Médecine Lyon-Est, France.
作者的贡献
Alvaro Cobo-Calvo:研究概念和设计,采集的数据,分析和解释,统计分析、写作。安妮·鲁伊斯:实验室分析,关键的修订手稿的重要知识内容。伊丽莎白Maillart、伯特兰Audoin Helene Zephir,伯特兰Bourre,乔纳森•Ciron尼古拉•Collongues大卫•Brassat弗朗索瓦棉、卡罗琳Papeix,弗朗索瓦丝Durand-Dubief,大卫•Laplaud罗曼·德尚,米凯尔·科恩,Damien Biotti,泽维尔Ayrignac,卡罗琳•Tilikete埃里克•Thouvenot布鲁诺布罗谢,塞西尔Dulau,蒂博男人味儿,Ayman Tourbah,皮埃尔•Lebranchu Laure米歇尔·克里斯汀•Lebrun-Frenay Alexis Montcuquet Guillaume Mathey,马克•Debouverie Jean Pelletier皮埃尔•Labauge娜塔莉Derache,和马克Coustans:采集的数据,关键的修订手稿的重要知识内容。法比安我:采集的数据,统计分析,重要的修订手稿的重要知识内容。杰罗姆·德·Seze:采集的数据,关键的修订手稿的重要知识内容。桑德拉Vukusic:研究概念和设计,采集的数据,解释,和关键的修订手稿的重要知识内容。罗曼Marignier:研究概念和设计,采集的数据,分析和解释,写作。
研究资金
本研究支持基金会的资助倒l 'Aide说是苏尔身材为硬化斑块和法国政府提供的一笔赠款和由国家de la精心设计的框架内为未来投资项目的参考下anr - 10 -银- 002 OFSEP。这项工作已经完成了从OFSEP数据,由法国提供的一笔赠款支持国家和由国家de la精心设计的框架内为未来投资项目的参考下anr - 10 -银- 002 OFSEP和尤金·德维克基金会多发性硬化症。
信息披露
答:Cobo-Calvo收到Fundacion阿方索马丁Escudero格兰特。a . Ruiz e . Maillart b . Audoin h . Zephir, b . Bourre报告没有披露相关的手稿。j . Ciron已收到咨询和讲课费用,从生原体以及差旅补助,诺华公司Genzyme,梯瓦制药、默克公司Serono,罗氏。n Collongues已收到酬金咨询或表示从Idec, Almirall,诺华,默克公司Serono,局部反馈,梯瓦制药,Sanofi-Genzyme,罗氏,周素卿编辑部的一员法语联赛rnal de la靠拉斑块硬化。d . Brassat f .棉花,c . Papeix报告没有披露相关的手稿。f . Durand-Dubief是默克公司Serono的科学顾问委员会,并收到资助旅行和谢礼Idec,默克公司Serono,诺华,Sanofi-Genzyme,罗氏,Teva。d . Laplaud和r·德尚报告没有披露相关的手稿。m·科恩为参与顾问委员会报告生原体,诺华,罗氏公司,默克公司Scientam Teva,广告。d . Biotti已收到咨询和讲课费用和差旅补助从Idec, Genzyme,诺华,默克公司Serono,罗氏公司,赛诺菲-安万特和梯瓦制药公司。x Ayrignac报告没有披露相关的手稿。c . Tilikete已收到咨询和差旅补助从Idec,诺华,默克公司Serono, Santhera和梯瓦制药公司。大肠Thouvenot报告没有披露相关的手稿。b .布罗谢从生原体科学委员会和会议报告谢礼,默克公司Serono, Sanofi-Genzyme,拜耳,Medday,罗氏,Teva,诺华和Actelion股价。 C. Dulau and T. Moreau report no disclosures relevant to the manuscript. A. Tourbah has received consulting fees and travel grants and reports institutional financial compensation for patient visits during the trial from MedDay Pharmaceuticals, as well as consulting and lecturing fees, travel grants, and research support from Biogen Idec, Sanofi-Genzyme, Novartis, Merck Serono, Teva Pharmaceuticals, and Roche. P. Lebranchu has received consulting and travel grants from Allergan. L. Michel reports no disclosures relevant to the manuscript. C. Lebrun-Frenay reports honoraria for scientific boards and conferences from Biogen, Sanofi Genzyme, Roche, Merck, Teva, Novartis, and MedDay. A. Montcuquet has received lecturing fees and travel grants from Biogen Idec, Sanofi-Genzyme, Novardis, Merck Serono, Roche, and Teva Pharma. G. Mathey and M. Debouverie report no disclosures relevant to the manuscript. J. Pelletier has received consulting and lecturing fees, travel grants, and research support from Biogen Idec, Genzyme, Novartis, Merck Serono, Roche, and Teva Pharma. P. Labauge, N. Derache, M. Coustans, F. Rollot, and J. De Seze report no disclosures relevant to the manuscript. S. Vukusic has received consulting and lecturing fees, travel grants, and research support from Biogen, Geneuro, Genzyme, Novartis, Merck Serono, Roche, Sanofi Aventis, and Teva Pharma. R. Marignier has received consulting and lecturing fees, travel grants, and research support from Bayer-Schering, Biogen Idec, Genzyme, Novartis, Merck Serono, Roche, Sanofi Aventis, and Teva Pharma. Go to首页Neurology.org/N为充分披露。
承认
作者感谢教授菲利普Cabre(服务de Neurologie式Zobda奎特曼,法兰西堡,法属西印度群岛)卓有成效的意见和建议。作者感谢NeuroBioTec医院集团从民事里昂支持本研究。
脚注
去首页Neurology.org/N为充分披露。资金信息和披露认为作者相关的,如果有的话,年底提供这篇文章。
Coinvestigators列出在links.lww.com/WNL/A475。
社论版947年
- 收到了2017年10月4日。
- 接受的最终形式2018年2月27日。
- ©2018美国神经病学学会的首页
引用
- 1。↵
- 2。↵
- KitleyJ,
- 水域P,
- Woodhall米,等
- 3所示。↵
- 4所示。↵
- 5。↵
- van Pelt艾德,
- 黄YYM,
- KetelslegersIA,
- 哈曼D,
- Hintzen中移动
- 6。↵
- 赛普维达米,
- ArmangueT,
- Sola-VallsN,等
- 7所示。↵
- 8。↵
- 9。↵
- 10。↵
- 小川R,
- 中岛美嘉我,
- 高桥T,等
- 11。↵
- 12。↵
- 13。↵
- 14。↵
- 15。↵
- 16。↵
- 17所示。↵
- 18岁。↵
- 19所示。↵
- 20.↵
- 21。↵
- 22。↵
- 23。↵
- Cobo-Calvo一个,
- 鲁伊斯一个,
- D 'IndyH,等
- 24。↵
- 25。↵
- 26岁。↵
- Jurynczyk米,
- 墨西拿年代,
- Woodhall先生,等
- 27。↵
- 28。↵
- Jurynczyk米,
- 杰拉尔德R,
- 不分伯仲F,等
- 29。↵
- 30.↵
- AsgariN,
- 弗拉纳根EP,
- 藤K,等
- 31日。↵
- Numa年代,
- 开赛T,
- 近藤T,等
- 32。↵
- 哈米德单孔位微吹气扰动,
- WhittamD,
- 救世主米,等
- 33。↵
- 34。↵
- 35。↵
- Saadoun年代,
- 水域P,
- 欧文斯全科医生,等
- 36。↵
- 37岁。↵
- MarignierR,
- Cobo卡尔沃一个,
- Vukusic年代
信:快速的网络通信
你可能也会感兴趣
提醒我
推荐的文章
- 文章
区分MOG抗体阳性和AQP4抗体阳性动谱系障碍继同行工人达戈贝托- Callegaro -道格拉斯Kazutoshi佐藤,Marco Aurelio Lana-Peixoto et al。
首页神经学,2014年1月10日 - 文章
髓鞘少突细胞糖蛋白抗体在双边和复发性视神经炎Ramanathan Sudarshini斯蒂芬·w·Reddel安德鲁·亨德森et al。
首页神经病学,神经免疫学神经炎症,2014年10月29日 - 文章
小儿中枢神经系统脱髓鞘综合症特性与多发性硬化有关
Rogier Hintzen,拉塞尔·c·戴尔Rinze Neuteboom et al。
首页神经学,2016年8月29日 - 文章
MOG抗体有髓鞘脱失表型并影响少突细胞细胞骨架拉塞尔·c·戴尔以斯帖m . Tantsis维拉Merheb et al。
首页神经病学,神经免疫学神经炎症,2014年5月22日


