儿童中枢神经系统aquaporin-4自身免疫
做出评论
看到评论
这篇文章有一个修正。请参阅:
文摘
背景:在成人患者自身抗体针对水通道aquaporin-4 (AQP4)频谱中枢神经系统炎性脱髓鞘疾病的生物标志物与偏爱视神经和脊髓(视neuromyelitis[动])。在这里,我们描述了神经、血清学和影像学与中枢神经系统相关的AQP4自身免疫在童年。
方法:88连续NMO-IgG血清反应阳性的儿童被确定通过服务评价。血清自身抗体共存的75测试。临床信息可供58岁。
结果:42例(73%)是白人,非洲种族和20例(34%)。平均年龄在12年(范围4-18)症状出现。57例(98%)有攻击的视神经炎(n = 48;83%)或横向脊髓炎(n = 45;78%),或两者兼而有之。26(45%)情景性脑症状(脑病、ophthalmoparesis、共济失调、癫痫、棘手的呕吐,或打嗝)。38(68%)脑MRI异常,主要涉及室周的地区(在频率降序排列):髓质,幕上的infratentorial白质、中脑、小脑、丘脑、下丘脑。额外的自身抗体检测在75年57例(76%),和16个38(42%)有一个共存的自身免疫性疾病记录(系统性红斑狼疮、干燥综合征、幼年型类风湿性关节炎,格雷夫斯病)。袭击是周期性的54例(93%;平均随访12个月)。 Forty-three of 48 patients (90%) had residual disability: 26 (54%) visual impairment and 21 (44%) motor deficits (median Expanded Disability Status Scale 4.0 at 12 months).
结论:Aquaporin-4自身免疫是一个独特的复发性和广泛的儿童中枢神经系统炎症性疾病。
术语表
- 亚当=
- 急性播散性脑脊髓炎;
- 安娜=
- 抗核抗体;
- AQP4=
- aquaporin-4;
- eds=
- 扩大残疾严重程度量表;
- 环境影响评价=
- 酶免疫分析法;
- GAD65=
- 谷氨酸脱羧酶;
- 绿色荧光蛋白=
- 绿色荧光蛋白;
- 女士=
- 多发性硬化症;
- 动=
- 视neuromyelitis;
- NMO-IgG=
- neuromyelitis视自身抗体标记;
- SIADH=
- 抗利尿激素分泌不当综合征;
- 系统性红斑狼疮=
- 系统性红斑狼疮;
- 党卫军=
- 干燥综合症。
星形水通道aquaporin-4 (AQP4)的抗原目标neuromyelitis视自身抗体标记(NMO-IgG)。1 - 8临床伴随的自体抗体提供了新颖的见解之前未被欣赏的中枢神经系统炎症性疾病。9除了支持的诊断neuromyelitis视(动)患者的视神经炎和纵向广泛的横向脊髓炎(延长超过三个或更多椎段)、血清阳性预测复发患者的单一事件的纵向广泛的横向脊髓炎或复发性视神经炎。10、11此外,脑损伤检测到60%的血清反应阳性的患者的MRI和大脑参与有时症状12;最常见的是脑病,棘手的恶心、打嗝、复视、眩晕。13、14广泛认可的NMO-related障碍的临床表现,诊断标准在2006年被修订,包括(但不要求)NMO-IgG血清阳性。15日16
作为成年人,动(和NMO-IgG血清阳性)在儿科人口通常是伴随着一种严重的复发中枢神经系统炎症性疾病,17但有时单相。18的频率NMO-IgG中枢神经系统炎症性疾病患儿的78%复发动,20%,部分形式的动校正(复发视神经炎的复发性纵广泛的横向脊髓炎(一例))。17NMO-IgG尚未检测到儿童多发性硬化症(MS)、急性播散性脑脊髓炎(ADEM),单相视神经炎,或单相横向脊髓炎、健康的孩子。17临床神经免疫学实验室的咨询实践显示,血清反应阳性的孩子动,或一个就职或局部表现动,出现症状性脑损伤比成人患者中更常见。本报告描述,在一系列连续的NMO-IgG-positive儿童,临床,放射,伴随AQP4自身免疫血清学的关联。我们建议儿童中枢神经系统AQP4自身免疫是一个独特的biomarker-defined实体。
方法
本研究机构审查委员会批准的梅奥诊所,罗切斯特(IRB 07 - 004089),包括患者临床神经免疫学实验室确认NMO-IgG和18岁或更年轻的血清反应阳性的神经系统疾病的发作。检测试验(间接免疫荧光法测定正常小鼠中枢神经系统和肾脏组织的衬底2)在两种情况下进行:1)在2005年之前,孩子们确定动或高风险综合症,临床和免疫荧光模式符合NMO-IgG (n = 14);2)2005 - 2007年:服务实验室评估NMO-IgG (n = 74)。十的88名患者的梅奥诊所的神经学部门,报告的作者之一进行评估。首页
额外的血清学检查,做足够的血清时可用,包括1)免疫沉淀反应的绿色荧光蛋白(GFP)标记的AQP4(生产的稳定转染人类胚胎肾细胞(HEK 293)1)。荧光剩余一定会洗Protein-G琼脂糖immunoprecipitant用96孔板测量光谱方法(Genios Pro, TECAN Research Triangle Park, NC)和定量表达pmol AQP4绑定每升的血清,参照GFP蛋白标准(Sigma-Aldrich、圣路易斯、钼);2)radioimmunoprecipitation神经元电压门控阳离子通道(钙通道(P / q型和n型)和α-dendrotoxin-sensitive钾离子通道),骨骼肌和神经节的神经元的乙酰胆碱受体,谷氨酸脱羧酶(GAD65)19;3)striational抗体的ELISA检测;和4)间接免疫荧光法检测的抗体反应与神经核抗原(antineuronal核抗体,类型1、2和3),神经元胞质抗原(抗体特定amphiphysin, collapsin response-mediator protein-5,浦肯野细胞细胞质类型1、2和Tr),和anti-glial /神经核(AGNA-1)。20.
我们使用非竞争性,夹心酶免疫测定(eia)检测non-organ-specific抗核抗体(ANA)和提取核抗原(ENA)抗体(BioRad诊断公司,大力神,CA)。抗原用于通用安娜从Hep-2细胞核被孤立。消极的安娜结果被定义为< 1.0环评单位。个人安娜特异性(SS-A / Ro SS-B /洛杉矶,Sm, U1RNP, sci 70,和乔1)被检测到的使用顺序分析如下。ENA抗体的筛选试验,六个人ENA抗原吸附相结合作为鸡尾酒微量滴定井是用来识别一个或多个抗体血清。假定的积极成果被定义为> 20.0环评单位。个人ENA抗体阳性血清中特异性通过测试在后续分析特定的单一特异性,如SS-A / Ro。非竞争性的环境影响评价方法(Phadia诊断,卡拉马祖,MI)也用于检测磷脂自身抗体(免疫球蛋白、IgM IgA anticardiolipin)。积极的结果定义为> 10.0并不。我们用乳胶凝集试验检测甲状腺自身抗体(过氧化物酶和甲状腺球蛋白)。21
58病人来说,临床信息是可用的评估由儿科神经学家或subspecialist脱髓鞘疾病。详细审查的情况下获得了临床信息记录28或由医生电话采访时说。30.患者足够的临床信息,扩大残疾严重程度量表(eds)分数22被分配的治疗医师或神经学家作者。
结果
儿科病例占总数的5% NMO-IgG血清反应阳性的患者目前在Mayo神经免疫学实验室确认。临床信息可供58 88血清反应阳性的儿科患者(66%);88%是女生。种族背景归纳在表格e 1上首页®网站www.首页neurology.org。最常见的四个种族,在减少频率,非裔美国人,20 (34%);高加索人,16 (27%);西班牙6 (10%);和美国本土,5 (9%)。
第一次演讲。
年龄中位数在神经系统症状出现(表依照)12年(范围4-18)。表现症状涉及大脑9例(16%)。6个病人(3与视神经炎和3横脊髓炎)前驱症状发烧或类似流感的疾病(3例)、恶心和呕吐(2),或假性脑膜炎(1)。
临床课程。
袭击是经常性的54例(93%),与新症状出现前攻击后1个月以上。平均随访12个月(范围1 - 120个月)。攻击之间的平均持续时间为3个月(范围1 - 87个月)。疾病是单相4例(12%),但对那些病人随访时间很短(平均4个月)。除了1的58例(98%)至少有一个攻击的视神经炎或横向脊髓炎:48例(83%)至少有一个事件的视神经炎(平均两集,范围1 - 14),45(78%)至少有一个集横向脊髓炎(平均两次袭击,范围1 - 14),22(38%)复发性横向脊髓炎。39例(87%)的横向脊髓炎有经验的弱点,和6(13%)只感觉症状。纵向范围的中位数attack-related脊髓MRI异常10椎段(37例)的详细数据。相对于攻击进化论先生成像和治疗的时机还不清楚两个病人的脊髓损伤扩展< 3椎段。Attack-related脑或脑干症状包括26例(45%);表1显示代表核磁共振的发现。一个病人(图3一,5)病人头痛和急性阻塞性脑积水次要aqueductal狭窄(假定前提周围炎症)。另一个患者听力损失;它的起源(中央或外围)不确定(数据不能用于听力学和脑干诱发电位)。先生头成像数据(表1;图1 - 3)用于56例:38(68%)脑实质异常,19 (34%)postcontrast增强视神经,5有交叉的增强与双边视神经束增强(1)。
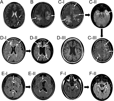
图1代表MRI异常与半球参与七个孩子的典型光谱中确定儿童中枢神经系统AQP4自身免疫
白色箭头表示异常液体衰减反转恢复(天赋)或T2信号。(一)病人1(8岁女孩展示与脑病)T2信号异常辐射触角的方式沿着Virchow-Robin空间通过顶叶皮层下白质从侧脑室。(B)病人2(12岁女童出现谵妄紧随其后昏迷,前面描述的14)主要支流白质异常。(我)病人3(15岁女孩出现谵妄和失语症)主要支流白质异常;1年后,双时态皮层病变被认为(C-II);病人除了轻微认知正常表达性失语症(C-III)。(d - i)患者4(8岁女孩展示脑病和癫痫)触角从侧脑室白质异常辐射到额叶和顶叶白质。随访MRI 8年后(D-II和D-III)演示了持久化天赋异常和全球萎缩。(练习)病人5(17岁女孩与11年历史的脱髓鞘疾病)膝的支流T2异常超过胼胝体压部;图片3年后揭示解决膝损伤(E-II)和脑积水(分流的;看到图3中,A和B)。(f i)患者6(15岁男孩出现脑病,焦点运动发作,和轻偏瘫)天赋信号异常在左侧中央颞区和大脑脚离开了。图片3年后(F-II)展示持久化天赋异常和左海马萎缩。
图2代表MRI异常在三个孩子显示视神经交叉谱/间脑的仙女IIIrd心室参与地区已知高度表达aquaporin-4
白色的箭头表示增强,异常的液体衰减反转恢复(天赋),或T2信号。冲黑色线条代表解剖水平关系图。(AI)病人7(12岁的女孩展示与双边视神经炎)增强视神经,交叉,视神经束在T1 (postgadolinium)。天赋异常延伸到下丘脑(暗)和peri-IIIrd心室间脑(哎)。(B)病人3(15岁女孩;另请参阅图1中,C通过我)也出现恶心、抗利尿激素分泌不当综合征,低钠血症(111更易/ L),月经不规则,下丘脑病变(天赋)。188金宝慱官网下载(C)患者6(15岁的男孩;另请参阅图1中,我己经)天赋异常左丘脑和下丘脑。
图3七个孩子代表MRI异常显示出脑干的频谱,周围,peri-IVth心室和脊髓参与地区已知高度表达aquaporin-4
白色的箭头表示异常液体衰减反转恢复或T2信号。冲黑色线条代表解剖水平关系图。(一)病人5(17岁的女孩;另请参阅图1中,E通过我)两国在上级小脑的病变总花梗(ⅰ),在小脑白质病变(A-II)和双边病变内部胶囊(A-III)。四年后病人出现症状性阻塞性脑积水(iv,也看到图1E-II;内囊损伤已经解决)。(B)病人8(11岁女孩)纵向广泛T2在中央脊髓异常通常是发现在成年neuromyelitis视(在本例中11椎段)。(我)病人9(17岁的女孩出现棘手的呕吐,四肢瘫痪,补剂肢体痉挛)和(C-II)病人11(17岁的女孩出现棘手的呕吐)纵向跨越脑干损伤和中央颈,胸线。
共存的自身免疫。
38例的临床资料充分记录的一个或多个共存16(42%)自身免疫性疾病:系统性红斑狼疮(SLE),4干燥综合征(SS),4幼年型类风湿性关节炎,4格雷夫斯病,2panserositis,2和自身免疫性肝炎。1
34 57例(60%)为谁足够的可用存储血清阳性为AQP4-IgG免疫沉淀反应试验(中值32 pmol / L (11 - 2062);正常的值小于或等于10.0 pmol / L)。其他瀑特异性或non-organ-specific自身抗体检测的57 75例测试(76%);安娜(64%表2)。
脊髓液的评价。
结果attack-related脊髓液分析39例。蛋白升高49%(平均74 mg / dL;范围50 - 245 mg / dL)。白细胞计数升高(5或更多的白细胞)55%(平均17;5 - 600;淋巴细胞的50%;中性粒细胞的50%)。在一个病人免疫球蛋白合成率升高;多余的脑脊液寡克隆乐队在2 34例测试(1 9例梅奥诊所(Mayo Clinic)的测试是积极的)。
治疗。
四甲基强的松龙通常被用于治疗急性发作;32名患者的医生报告27改善(84%)。辅助治疗时使用糖皮质激素的临床综合征严重或耐火材料:血浆置换,九(改进报道8);丙种球蛋白、五(四个改善报告)。Physician-reported结果信息可供19病人接受一个或多个长期免疫疗法。粒细胞减少性败血症(一个病人)是唯一重要的副作用。十个病人接受咪唑硫嘌呤(平均随访42个月;范围4 - 120):五没有进一步攻击,攻击的频率减少了两个。在六个病人用药管理作为单药治疗(三仍attack-free最后随访),和辅助强的松在4名患者(类固醇撤退后两复发)。一个病人有一个持续缓解甲氨蝶呤单药治疗(36个月); relapses continued in two patients despite cyclophosphamide therapy. Of three patients treated with mycophenolate mofetil (12–24 months follow-up), two remained attack-free for more than 12 months. Eight patients received rituximab: four after failure of other agents (azathioprine, mycophenolate, and cyclophosphamide) to prevent recurrent attacks (median follow-up 12 months, range 6–24). All but one patient were reported relapse-free after starting rituximab. Limited data were available for patients receiving currently advocated treatments for MS. Two patients treated with glatiramer acetate in addition to azathioprine remained in remission.
结果。
信息是可用的48例,全部记录在表的军医。平均随访血清确定后12个月(范围1 - 120个月)。解决严重的袭击后,视力损害坚持26例(54%)和21个病人(44%)有残留的缺点。患者eds 48中位数为4.0(范围0 - 9)。
讨论
这是第一个研究来描述一系列的中枢神经系统炎症性疾病在童年和青春期所统一的血清学检测的自体抗体反应性星形AQP4水通道。虽然视神经炎或纵向广泛的横向骨髓炎发生在97%的病例中,有45%儿童中枢神经系统的实体AQP4自身免疫超出临床和影像学异常视觉神经和脊髓,和16%的病例存在脑综合征。相比之下,大脑病变在成人患者几乎都是无症状的。14值得注意的是在成人大脑病变动表现出相同的病理学特点脊髓病变。23日,24日丢失的pattern-specific AQP4免疫反应性动损伤的免疫病理过程有别于其他中枢神经系统炎性脱髓鞘疾病的致病作用是一致的complement-activating AQP4-specific自身抗体。25示威,NMO-IgG体外选择性致病性影响细胞膜表达AQP4在高密度,26这antibody-depleting疗法(丙种球蛋白,27血浆置换,28咪唑硫嘌呤,29日特异性单克隆抗体美罗华和B30.)是有益的,支持的假设免疫球蛋白的近端引起的中枢神经系统炎性脱髓鞘疾病针对星形AQP4。
不同的症状在儿童中枢神经系统AQP4自身免疫包括脑干症状和脑功能障碍。脑MRI异常periependymal地区的成人和儿童倾向于本地化12日,14日通常在AQP4丰富。31日我们遇到MRI异常包括临床沉默病变局限于直接的室周的地区;下丘脑、丘脑和间脑的病变;长轴或径向白质信号变化从侧脑室扩大到大脑(不同于短,pericallosal-confined道森女士的手指);白质异常、广泛、融合性的或离散并列或从侧脑室;脑干和小脑病变外侧毗邻渡槽和第四脑室。
内分泌病和水平衡失调,这是公认的CNS AQP4自身免疫关联,是由于下丘脑参与。32脑积水的发现记录在一个病人的报告(在较早前报道的两个病人14)是感兴趣的,虽然AQP4自身免疫机制和潜在的关系尚不清楚。
我们记录的临床和影像学检查八NMO-IgG血清反应阳性的儿童本研究与诊断标准提出最近ADEM重叠:初始polysymptomatic脑病伴随着焦点或多病灶的hyperintense影响白质病变为主。33尽管组织病理学ADEM和中枢神经系统AQP4自身免疫是不同的实体,34脑病的发生在这两个障碍(8个病人报告),丘脑参与(五个病人),以及视神经炎,和纵向广泛的横向脊髓炎,可能使临床分化困难。血清阳性的AQP4自身抗体艾滋病临床不确定性存在时他们的区别。
一个或多个额外的中枢神经系统自身免疫性疾病伴随AQP4在42%的患者自身免疫报告和其他自身抗体被发现在76%的病人。共存的多种自身抗体和自身免疫性疾病在儿童和成人NMO-related障碍(例如,格雷夫斯病、类风湿性关节炎、系统性红斑狼疮、SS)是一种促成一致(团结)的这些疾病的特征是它缺乏NMO-IgG女士系统性红斑狼疮或SS患者除了那些共存纵向广泛的横向脊髓炎,视神经炎,或者两者兼有,符合动,系统性红斑狼疮,在一些病人党卫军共存,而不是动是系统性红斑狼疮的并发症或党卫军。35
详细分析治疗效果的研究是有限的回顾性本质和依赖physician-reported结果。急性发作常常对类固醇治疗,和血浆置换和丙种球蛋白都有益的辅助治疗在严重情况下耐火类固醇治疗。减少攻击频率被记录在几个antibody-lowering维护患者治疗,如硫唑嘌呤(特别是与口服强的松),以美罗华和霉酚酸酯。早期患者的观察性研究动报道对这些治疗有益的结果。29、30、36确定最佳治疗协议CNS AQP4自身免疫性疾病需要随机对照试验。
残疾是严重和儿科学科迅速发展的这一报告。只有6%是正常的神经系统检查随访结束时(平均12个月)。eds得分中值为4.0(完全动态没有援助)并不能反映视力损害的严重性。超过50%的患者持续的视觉缺陷,和27%的失明双边和完成,或接近完成。儿童的预后报道女士从纵向研究(中位数区间从发病到eds 4.0, 20年37)比结果更良性的我们对童年CNS AQP4自身免疫记录。
相对较短的随访期间在我们的研究中(平均12个月)限制了其解释因为患者局部形式的动可能稍后完成动诊断标准。其他的限制包括固有的偏见血清学的确定和缺乏对30例临床资料。最近报道血清学的结果确定儿童通过与一种中枢神经系统炎性脱髓鞘疾病临床表现证明了特异性的NMO-IgG动或部分形式的这种疾病。17还有待确定的22%的NMO-IgG seronegativity复发患儿动17反映了免疫疗法,化验不敏感,或一个统一的临床表型与异构的免疫发病机理。
承认
作者感谢黛博拉·布拉德肖博士医科大学,锡拉丘兹,纽约,马吉德Al-Mateen,医学博士,玛丽桥儿童医院和健康中心,塔科马,华盛顿州,劳伦·克虏伯,医学博士,国家儿童医疗中心,石溪大学中心,女士石溪纽约,提供详细的临床个案的信息。RN T.L.感谢伊丽莎白·巴恩斯(德克萨斯儿童医院)数据管理。
脚注
2008年5月28日的正式发表前电子版www.首页neurology.org。
披露:作者披露,按照1980年的bayh - dole法案和梅奥基金会政策、万带兰列侬,布莱恩·g·Weinshenker和克劳迪娅·f·Lucchinetti站收到版税为商业化验检测aquaporin-4-specific自身抗体。知识产权许可的商业实体的发展简单、抗原测定,在世界各地提供病人护理。梅奥诊所的测试将不会被排斥。直到现在,作者收到不到10000美元的版税。梅奥诊所提供测试作为援助的间接免疫荧光法测定视neuromyelitis的诊断,但作者没有个人受益的性能测试。其他作者的报告没有利益冲突。
2007年11月26日收到。2008年3月13日接受的最终形式。
引用
- 1。↵
- 2。↵
- 3所示。
- 4所示。↵
利特尔顿E,雅各,Boggild M,宫j .审计的诊断效用NMO-IgG视neuromyelitis化验。乘sci2006年;12:S156。
- 5。
Marignier R, De Seze J, Durand-Dubief F, et al。NMO-IgG:法国的经验。乘sci2006年;12:S4。
- 6。
Papeix CDJ, Pierrot-Deseilligny C, et al。法国德维克氏病的治疗经验:33个病例的回顾性研究。首页2005年;64年:A328。
- 7所示。
Akman-Demir g可能在土耳其NMO-IgG德维克病和多发性硬化症患者。乘sci2006年;12:S157。
- 8。
Zuliani L,布兰科Y, B Tavolato et al . Neuromyelitis视患者的免疫球蛋白g (NMO-IgG)怀疑动或有限形式的动。乘sci2006年;12:S155。
- 9。↵
- 10。↵
- 11。
Matiello M,列侬VA,雅各,et al . NMO-IgG预测复发性视神经炎的结果。首页神经病学Epub 2008年4月23日。
- 12。↵
- 13。↵
- 14。↵
- 15。↵
- 16。↵
- 17所示。↵
- 18岁。↵
- 19所示。↵
- 20.↵
- 21。↵
- 22。↵
- 23。↵
- 24。
罗默年代,帕里J,勃拉克W, et al . Neuromyelitis opticospinal病变视脑损伤病理上是相同的。首页2008年;70年:A235。
- 25。↵
- 26岁。↵
- 27。↵
- 28。↵
- 29。↵
- 30.↵
- 31日。↵
- 32。↵
- 33。↵
- 34。↵
Wingerchuk DM, Lucchinetti CF。比较急性播散性脑脊髓炎的免疫发病机理,视neuromyelitis和多发性硬化症。当今神经2007年;20:343年-350年。
- 35。↵
- 36。
雅各,Weinshenker B, Matiello M,等。与霉酚酸治疗视神经节neuromyelitis:回顾性分析25例。乘sci2007年;13:S244。
- 37岁。↵
信:快速的网络通信
你可能也会感兴趣
提醒我
推荐的文章
- 文章
髓鞘少突细胞糖蛋白抗体在双边和复发性视神经炎Ramanathan Sudarshini斯蒂芬·w·Reddel安德鲁·亨德森et al。
首页神经病学,神经免疫学神经炎症,2014年10月29日 - 文章
泰国AQP4抗体阳性病例临床特征和诊断问题
s . Siritho中岛美嘉,高桥et al。
首页神经学,2011年8月3日 - 文章
视Neuromyelitis谱系障碍在儿童和青少年西尔维亚Tenembaum, Tanuja Chitnis,铃木一郎中岛美嘉et al。
首页神经学,2016年8月29日 - 观点和评论
国际共识视neuromyelitis谱系障碍的诊断标准迪恩·m·Wingerchuk Brenda Banwell,班纳特Jeffrey l . et al。
首页神经学,2015年6月19日


