基底前脑畸形多汗和体温过低:变体夏皮罗的综合症
文摘
一位62岁的妇女与情景出汗发抖核心温度降低。脑部MRI表现出基底前脑畸形。生理测试包括脑电图、SPECT、热的挑战,和自主测试。胃长宁流产的法术和提高核心温度。下丘脑调节异常可能是其他前脑的设置的主要病理生理学异常。这些发现扩展中的结构异常和治疗选择温度也许夏皮罗综合征和“间脑的癫痫。”
中央调节体温是复杂的和知之甚少。法术的多汗和低体温发生在几个罕见的症状。“间脑的癫痫症”是指一个异构组下丘脑解剖异常和临床星座。1、2⇓尽管这个名字,诱发癫痫样的异常尚未建立。胼胝体的另一个不同的组与异常称为夏皮罗综合征。3最初的两个病人1969年报告由气脑造影术诊断胼胝体发育不全的,但畸形的确切性质不确定没有MRI或解剖数据。虽然一些文献中描述的患者明显胼胝体发育不全的,别人很可能有胼胝体发育不全。在这种疾病的主要病理生理学还不清楚,结构、癫痫样的建议和生化异常。下丘脑相关异常可能负责的许多症状。患者与抗惊厥药物治疗、可乐定、赛庚啶、交感神经切除术与混合的结果。3 - 7⇓⇓⇓⇓我们报告一个病人代表夏皮罗的变种和胼胝体发育不全综合征和基底前脑畸形。我们描述了放射和生理研究和抗胆碱能药物的响应。
病例报告。
一个62岁的女人面对几个月的情节严重的出汗每天4到次每次持续30到90分钟,有轻度自6岁夜间出汗。法术,伴随着混乱,一个强烈的尿意,和主观的感觉热,紧随其后的是颤抖。她没有头部外伤史,认知障碍,或性早熟,并有两个孩子。她有一个历史的甲状腺功能减退。药物包括甲状腺和雌激素替代和帕罗西汀。体格检查并没有发现变形特性。在间歇期,她是连贯的,相对正常精神状态检查和神经学检查正常。
我们监控口腔温度每15分钟通过11法术(24小时图1)。她的意思是核心温度在24小时内为32.4°C。法术开始温度1 - 2度,之后先后通过出汗,体温下降,颤抖,随后的温度上升。在她最坏的法术,血管内体积损耗和部分补偿与低钾血发生代谢性碱中毒,需要最多6 L / d流体替换。
甲状腺功能测试,催乳素的浓度,促肾上腺皮质激素、血清中皮质醇,变肾上腺素和肾上腺素在尿都是正常的。血清促卵泡激素和促黄体激素浓度与雌激素替代是一致的。脑电图显示轻度弥漫性放缓一段没有痫性放电和时不变。成功之前的治疗包括可乐定(0.2毫克每日两次),赛庚啶(8毫克每天四次),溴麦角环肽(每日三次,每次5毫克),oxybutynin(5毫克每天四次),氯丙嗪(10 mg在早上和晚上25毫克),苯巴比妥(100 mg / d),或卡马西平(200毫克每日两次)。胃长宁(Robinul) 2毫克每天三次流产多汗的法术。她的核心温度增加了1.5°C。温度持续1 - 3°C的周期性波动2.5小时(参见图1)。液体平衡和认知规范化,患者继续服用胃长宁。
成像。
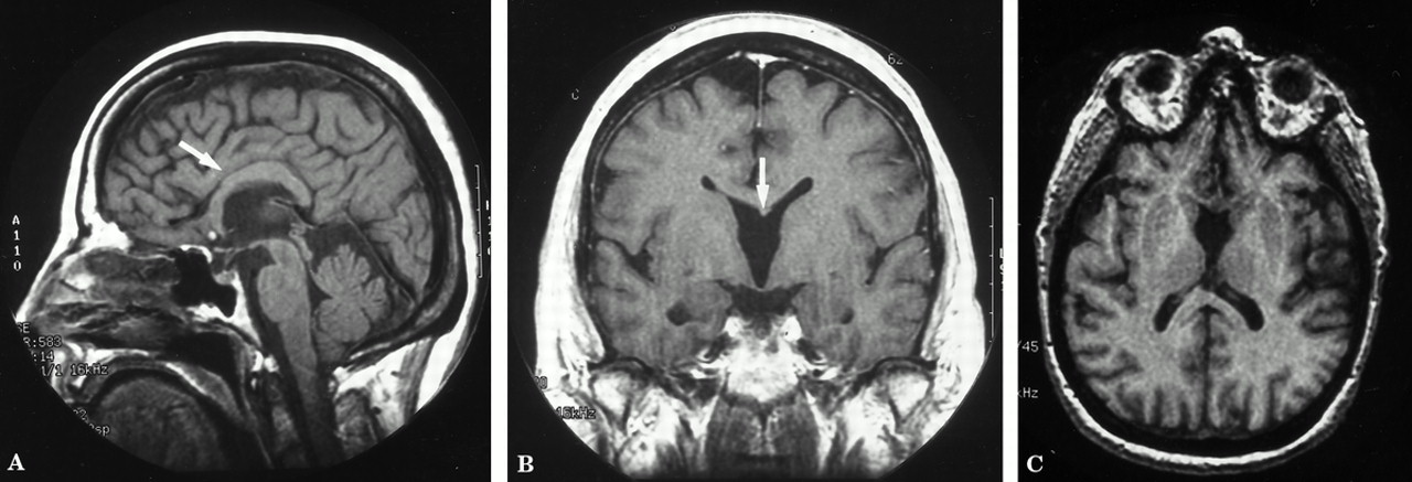
核磁共振大脑扫描显示基底前脑畸形的许多特性。有异常配置和发育不全的膝,城楼上,和胼胝体压部,前连合的发育不全,缺乏透明隔和列的穹窿。5毫米高的焦点T1信号只是前胼胝体的讲坛上不存在脂肪抑制图像(图中未显示)是自然的不确定,但可能代表一个皮样的。斜改革从3 d被宠坏的梯度回波序列表现出异常的灰质在后下额叶前部的胼胝体发育不全的膝与异常相关的配置额侧脑室和第三脑室前角(图2)。减法SPECT成像显示轻度减少吸收在左颞叶前部。
自主测试。
cardiovagal和肾上腺素的功能测试正常。定量催汗的轴突反射测试异常;然而,这被认为继发于降低皮肤温度(28°C)而不是去神经。
皮肤扩张的能力是评估通过直接加热前臂和测量红细胞通过激光多普勒flowmetry通量。在当地温度40°C,皮肤红血细胞通量从基线30户增加到170单位(> 400%以上基准)。她经历了一场30分钟的懒散的挑战与体温调节water-perfused西装热提高了核心温度从29.5°C到32.1°C。皮肤的红细胞通量持平于33台,没有汗水在加热期间被检测。然而,在被动冷却15分钟,病人流汗时的典型法术核心温度增加了32.8°C,大概是因为灌注水热惯性的西装。仰卧位低血压(70/40毫米汞柱)指出,与orthostasis持续了40分钟。皮肤的血流量增加到126单位的网站,没有经历了局部加热(> 300%以上基准)。
体温调节的汗水测试执行病人服用胃长宁的时候,没有表现出任何汗水反应后增加的核心体温4°C到36°C和无汗症超过81%的身体表面。
讨论。
我们的病人的皮肤被汗水能够生产,血管舒张,和颤抖,因此排除外围病理学。她低核心温度设定值,汗水绝对值阈值低,但可能与病人的基底温度高,增加获得响应,在汗水和穷人阻尼导致体液大量流失和体温过低和低血压的双重问题。大多数魔法似乎是沉淀的温度上升随后出汗,随后颤抖(大概一个无效的试图保存热量)。抗胆碱能抑制出汗外围地的代理出现阻止汗液的反应,从而中断复发周期。这些发现暗示功能障碍中的下丘脑或其监管机构。
温度调节是复杂的,其中央监管主要是本地化后和下丘脑的前部分,前者负责集成传入通路的生热作用(颤抖)。前部分是感觉从身体中包含了热敏神经元整合信息管理一组点。8夏皮罗综合征的自主法术被假设是前视或间隔缺损与胼胝体发育不全的。“间脑的癫痫患者有更多的异构组下丘脑内的病变,如血管瘤、缺血,感染,肿瘤,代谢紊乱,和创伤;然而,没有一个有独家的参与视前和视上地区。8、9⇓在我们的病人,一个基底前脑畸形,胼胝体发育不良是指出一起T1高信号病变前隔的讲坛。我们预测corticohypothalamic hippocampohypothalamic纤维被破坏,以及从隔传入下丘脑。额外的下丘脑通路可能试图补偿在这个综合症,一个解释之前提供血浆去甲肾上腺素水平升高的记录在几个夏皮罗综合征患者。预计的儿茶酚胺表明血管舒缩性和催汗的变化是次要的一个自主风暴。这提供了理由成功使用氯压定在一些患者中,6但是我们的病人的药物是无效的。
为什么夏皮罗综合征患者出现或恶化在以后的生活中,或有自发缓解,尚不清楚。很年轻,这些异常可能不兼容生活,和至少一个与婴儿猝死综合症婴儿指出大叶性前脑无裂畸形。10发作性疾病是不可能在我们的病人,为癫痫病灶并不是证明,抗癫痫药没有好处。
确认
由国家卫生研究院的基金支持m01 - rr - 00585和dk - 09826。
承认
作者感谢博士B.M. Frishberg为当地的持续照顾这个病人。
- 收到了2000年3月13日。
- 接受2000年9月22日。
引用
信:快速的网络通信
你可能也会感兴趣
相关文章
-
没有找到相关文章。
提醒我
推荐的文章
- 文章
传播人类皮肤的催汗的轴突反射挚友Schlereth Nadine Brosda,弗兰克Birklein et al。
首页神经学,2005年4月25日 - 文章
在人类poikilothermia催汗的功能硕士MacKenzie, e . Schonbaum A.R.M.M. Hermus et al。
首页神经学,1995年8月1日 - 神经科学研究的临床意义
出汗和神经方面的疾病卡拉Minota,伊丽莎白·a·库恩爱德华多大肠Benarroch et al。
首页神经学,2019年4月24日 - 文章
QDIRT定量的直接和间接测试催汗的功能
克里斯托弗·h·吉本斯本M.W. Illigens,贾斯汀厘等。
首页神经学、09年6月,2008年


