改善成人拉斯穆森的脑炎与长期免疫调节治疗
文摘
摘要目的:研究的直接和长期大剂量的影响,人类长期静脉免疫球蛋白(hIVIg)治疗晚期患者两个成人拉斯穆森的脑炎(重新)。
背景:尽管进步我们对再保险的自身免疫发病机制的理解,医疗选择慢性治疗是有限的。
方法:在一个开放的治疗试验,治疗开始每月周期的高剂量hIVIg (0.4 g / kg / d 5天)其次是维持治疗(0.4 g / kg每月1天)后患者的状况开始改善。结果评价包括临床、心理、功能以及相关实验室评估之前和间隔在1年的治疗。
结果:在两个病人,无情的预处理恶化停止,在这之后他们显示显著改善癫痫控制、轻偏瘫和认知产生有用的功能恢复。改进后被推迟到2到4月周期的高剂量hIVIg,继续当病人转向维持治疗。他们的复苏伴随着增加发作脑灌注SPECT和抑制炎症标记物的脑脊液。
结论:hIVIg可以是一个有用的,可能是疾病修饰,长期治疗成人重新执行之前,应该考虑根治手术。因为改进可以推迟,我们建议长时间高强度试验指南的免疫调节治疗成人综合症。
拉斯穆森的脑炎(重新)是一个焦点,进步,和汇合的皮质传播炎症导致一连串的神经赤字,包括轻偏瘫、认知障碍,常常对常规治疗难治性癫痫发作。1,2虽然是第一次描述了儿童,成人慢性脑炎和癫痫综合征这样类似的临床,放射,,有时,病理特点,他们可以被视为成人再保险的变体。3- - - - - -7通常,无情地进展。它可能成为静止,但通常只有在造成严重残疾。7
没有统一有效的治疗。在儿童,部分corticectomy或大脑半球切除术可能改善癫痫控制。8,9然而,雄辩的皮质受损的风险往往限制了使用手术在病程后期当建立残疾。手术的适应症成年人就不那么确定了,尤其是因为术后赤字的可能性更大。
人类和动物研究暗示自身抗体谷氨酸受体(GluR3)再保险的发病机理10,11促使儿童免疫调节疗法的试验使用免疫抑制药物的各种组合,人类血浆置换,静脉注射免疫球蛋白(hIVIg)。然而,目前尚不清楚这些疗法可以修改或逮捕疾病进展。2在成人中,没有良好的数据的最佳剂量,时间,或hIVIg治疗持续时间,和不同的结果,而且持续的时间通常,免疫抑制机制喜忧参半。5,6在这里,我们描述的反应两个先进的成人患者重新强化hIVIg疗法。
方法。
患者评估使用改编自Hart协议等。2和安德鲁斯等。12系列临床、心理和功能检查,以及调查包括脑电图、脑核磁共振成像,发作的大脑方面,和CSF分析,进行治疗之前和期间。我们发现Barthel残疾评分(BDS)是一种实用和有用的方法来监测功能。13
系列为血管紧张素转换酶和梅毒血清和CSF测试,以及血清自身抗体包括类风湿因子、抗核抗体,anti-dsDNA,可推断出的核抗原和antineutrophil胞质抗体,是负面的或正常的患者。Anti-GluR3抗体没有化验。
治疗计划在两个阶段。病人开始hIVIg(生物产品实验室,各自的英国)高剂量的0.4克/公斤体重/天5天,重复每隔4到6周,直到发生持续改进。此后,他们转向了维护注入0.4克/公斤体重每月1天。
病例报告和结果。
患者1。
这之前1989年,39岁的左撇子人广义tonic-clonic癫痫发作后几天后通过间歇奔袭简单部分电动机癫痫发作影响的脸。在接下来的几个月里,这些局部癫痫发作的频率和严重程度增加,甚至在睡眠中继续,他们传播涉及左上肢。他也频繁复杂部分发作的头转向正确的意识和损失持续2分钟。他的癫痫对大剂量苯妥英的各种组合反应不佳,托吡酯,氯硝安定(氨己烯酸、钠丙戊酸钠、卡马西平、拉莫三嗪,加巴喷丁和苯巴比妥。最成功的方案是第一个四种药物在这个列表中。左轻偏瘫开发逐渐恶化。
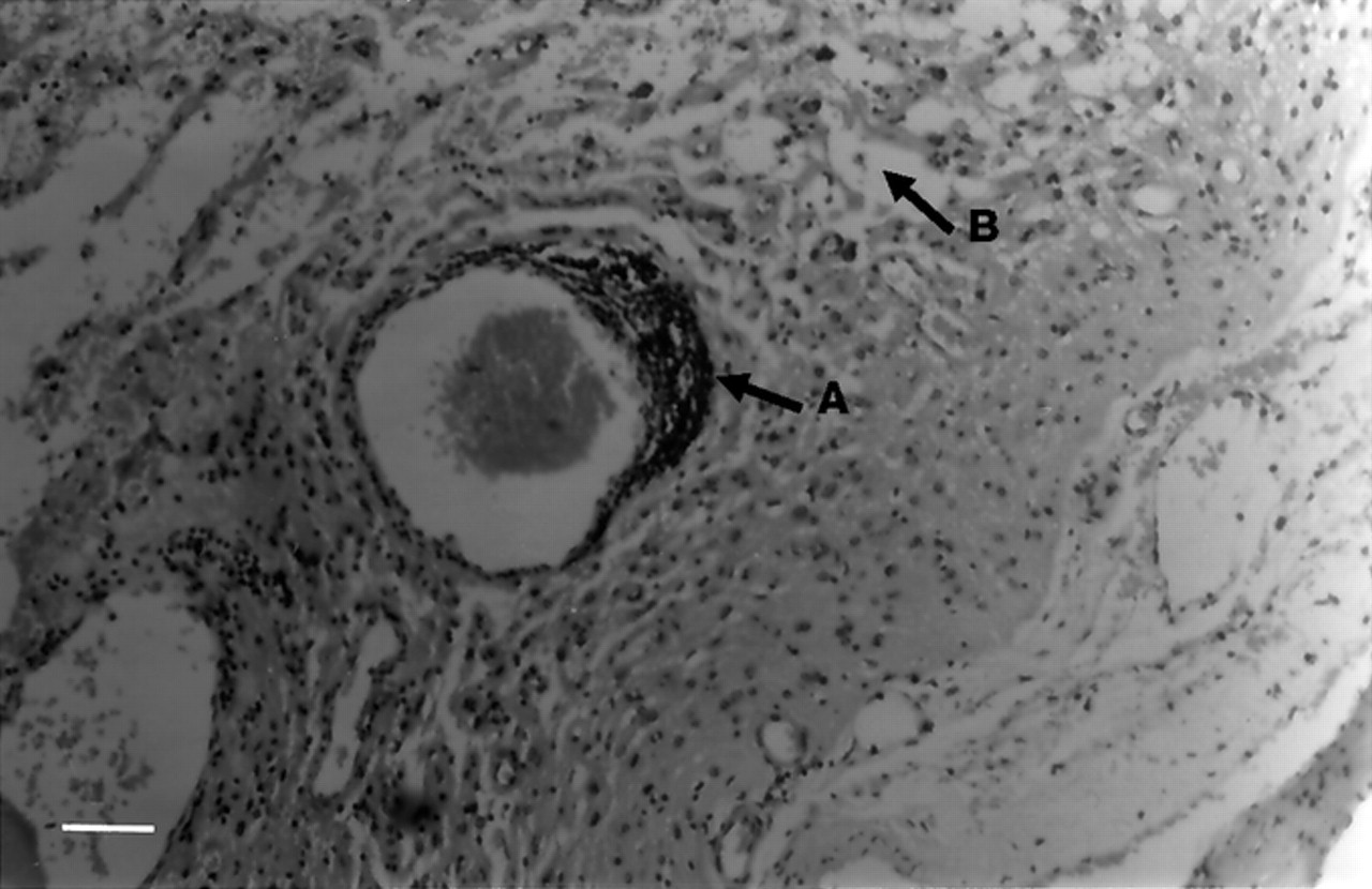
1990年增加T2信号正确的中央沟在大脑核磁共振。在corticectomy,活检标本显示典型的再保险变化(图1)。组织学、原位杂交和PCR切除大脑的单纯疱疹病毒(HSV)、巨细胞病毒(CMV)弓形虫是负的。
图1所示。额叶皮质活检标本从病人1。(一)淋巴细胞性血管周的成套。(B)空泡的改变引起皮质结构的崩溃。他走时污渍。酒吧= 6.6μm规模。在更高权力的外表显示进一步变化的典型Rasmussen的脑炎,与含有淋巴细胞的炎性浸润,巨噬细胞,小胶质细胞反应性星形胶质细胞和神经元变性的不同阶段(没有显示)。
初步改善持续几周后,他的癫痫和轻偏瘫恶化,发达进步,他富有表现力的语言障碍,认知能力下降,左同向偏盲。他甚至不能执行简单的任务在他的个人电脑,和他放弃了工作。丙戊酸钠钠或苯二氮卓类通过留置导管corticectomy腔,两个十天的无环鸟苷系统性的课程,和一个右frontoparietal皮层下横断没有影响的疾病。血浆置换的审判在1995年失败后三个交流因为中空血栓形成和感染的网站。
在1996年6月他的发作和轻偏瘫失能,他有六个紧急招生各医院的简单或复杂的部分比上年状态。脑电图显示在他的疾病频繁frontoparietal尖波放电。在MRI T2信号从增加的大部分右额叶和顶叶与萎缩有关。发作SPECT显示明显减少灌注的大部分的右大脑半球和几个侧局部灌注缺陷(图25)。CSF中淋巴细胞/毫米3,没有寡克隆乐队(时常)和总蛋白质和葡萄糖是正常的。
图2。发作横99米科技——netium-HMPAO SPECT图像。(一)病人1之前人类静脉免疫球蛋白(hIVIg)治疗:右额叶和顶叶的低灌注。1 (B)患者18个月后开始hIVIg:右额叶和顶叶灌注的增加大于2 SD与面板a . (C)病人2 hIVIg治疗前:左额叶和顶叶区域的低灌注。(D)病人2 14个月后开始hIVIg:左额叶和顶叶区域灌注的增加大于2 SD C与面板。
他有四甲基强的松龙(3天1 g / d)其次是口服强的松(1毫克/公斤体重/天)。在1个月他没有改进,他开始大剂量hIVIg。他总共有六个高剂量周期,每隔4到6周。此后,他转向hIVIg月度维护。八个月他开始锥形每日剂量的强的松治疗10毫克/月没有不良影响(图3)。我们没有重大改变他的抗痉挛的药物疗法。
图3。一、案例1;B,第二种情况。串行Barthel残疾患者免疫调节治疗之前和期间的成绩。期间,病人1最大耐受剂量的苯妥英、托吡酯、氨己烯酸、氯硝西泮,和病人2把最大耐受剂量的苯妥英、托吡酯、丙戊酸钠钠、吡拉西坦。
改善在4个月开始,贯穿免疫调节治疗的第一年。广义tonic-clonic发作停止,简单部分电动机癫痫发作的严重程度和频率降低,不再发生在睡眠中,他每月少于一个复杂部分发作。他轻偏瘫恢复逐渐从MRC 4 + 3 - 4年级,和他从12至19/20(见BDS图3)。他成了独立的移动,可能3年来第一次爬楼梯。有一个持续改进他的言语障碍症和正式的心理测试的性能。他开始在家工作他的电脑上使用会计软件。
一年到hIVIg治疗脑脊液正常没有细胞。十八个月治疗SPECT显示改善灌注的右额叶,顶叶和颞区和正常灌注侧半球(图2 b)。连环脑部MRI显示没有变化。
病人2。
这之前1993年,33岁的右撇子的女人发达右手感觉异常之后几周后通过连续简单部分影响正确的面部和上肢运动发作频繁二级泛化。反应是可怜的大剂量苯妥英的各种组合,丙戊酸钠钠、托吡酯、吡拉西坦、卡马西平、拉莫三嗪,加巴喷丁和氯硝西泮。最成功的方案是第一个四种药物在这个列表中。脑CT是正常的。
1995年她开发了一种进行性加重,右同向偏盲,富有表现力的语言障碍,和频繁的复杂部分状态。她不能吃,因为所需的频繁发作和胃喂食。
她提到我们医院1995年4月,当她的大脑核磁共振报告为正常。然而,现在回想起来,左边perisylvian地区明显萎缩。诊断尚不清楚。她的右上肢痉挛几乎是连续的,而且,为了控制这一点,她有一个审判的左丘脑的刺激,没有效果。在这个过程中她的活检MRI-normal左额叶皮层在冠状缝下,出口点的电极。组织学是不起眼的。血浆置换失败后两家交易所,因为技术问题。口服强的松1毫克/公斤体重/天就开始了。
她继续恶化,尽管类固醇治疗。1996年11月她轮椅绑定,有权利痉挛性偏瘫。比她有四个紧急住院的人数与复杂的部分状态。脑电图显示一直频繁,左frontoparietal,低幅度大幅波放电。在MRI最左额叶和顶叶的萎缩。发作SPECT显示低灌注的大部分的左额叶和顶叶区域和几个焦侧大脑半球灌注缺陷(图2 c)。CSF是正常的,除了high-titer台籍干部。没有任何证据表明感染HSV,巨细胞病毒,或弓形虫在串行血清和脑脊液检查。
她有三个高剂量hIVIg周期每隔4 - 6周之前切换到月度维护注入(见图3)。五个月hIVIg治疗她开始锥形每日剂量的强的松10毫克/月,直到她达到了10毫克/天的剂量。这没有产生不良影响。我们没有重大改变她抗痉挛的药物疗法。
两个月到hIVIg治疗她开始改善。她焦马达癫痫发作的频率和严重程度和减少逐步停止在睡眠中。她不到一个复杂部分发作每2个月。她的肢体力量从MRC增加1 - 2年级4 +和她从4 - 19/20(见BDS图3)。她能够用右手写字,成为移动拐杖的帮助下,能够爬楼梯。语言障碍也有所改善。不幸的是,她没有详细post-hIVIg心理测验,但病人和她的家人相信她的认知功能改善。
四个月后开始hIVIg, CSF有一个免疫球蛋白g带在低浓度测定,消失在测试1年接受治疗。十四个月post-hIVIg,发作SPECT显示改善灌注左额叶和顶叶区域和正常灌注侧大脑半球(图2 d)。连环脑部MRI显示没有变化。
讨论。
我们的患者临床、脑电图和成人慢性脑炎和癫痫综合征的MRI特征相似经典再保险公司发生在儿童身上。重新开始的年龄谱可能延伸到成年。报道的成年人的典型临床和病理结果再保险公司和示范,成人患者可以应对免疫调节疗法起源于童年再保险公司表明,成人是站得住脚的和有用的诊断。3- - - - - -7
在这里,组织学证实病人1。虽然病人2没有诊断性活检,有充分的证据表明,她也有成人再保险。满足所有临床,成像,和CSF标准诊断和免疫治疗的再保险公司的积极组织学不是一个绝对的要求。2她活检顺便在程序执行计划只交付审判的丘脑的刺激。活组织检查现场确定的出口点电极在临床上冷漠和MRI-normal左前额叶皮层的领域。这是几厘米的距离最近的区域异常MRI,在同一侧的希氏裂出现。
显著改善癫痫控制和神经和认知功能发生在病人和持续在1年hIVIg疗法。自发的改善可能发生,尽管它是罕见的。因此,我们的病人的复苏可能是偶然的。尽管我们认识到问题在这个开放式试验评估,情况表明hIVIg负责我们的病人的改进。两个病人暂时恶化的两次当我们增加hIVIg之间的时间间隔周期从4到6周。此外,自然痊愈的机会在两个进步和先进的疾病患者在密切的时序关系的开始hIVIg疗法似乎遥远。强的松可能并没有为我们的患者的缓解。hIVIg治疗期间,患者减少了剂量的强的松没有任何不良影响。hIVIg之前,病人2继续恶化与口服大剂量强的松在15个月的治疗,病人1没有回应脉冲IV口服皮质类固醇紧随其后。
有说服力的证据暗示补体固定anti-GluR3自身抗体在再保险的发病机理。从许多RE患者血清含有anti-GluR3抗体检测转染细胞表达GluR3免疫印迹和绑定。10兔子免疫与重组GluR3多肽发达癫痫和病理特征暗示了再保险。10此外,免疫球蛋白免疫纯化从病人和兔子GluR3多肽在鼠标kainate-responsive皮质神经元激活电流的文化。11Anti-GluR3免疫球蛋白在兔子也产生补体依赖细胞毒性在神经元的文化。14最近,免疫球蛋白和补膜攻击复杂的皮质神经元RE患者被发现。14
hIVIg行动有许多机制,调节体液免疫和细胞免疫反应。15因为再保险是自身抗体介导体液免疫调节属性hIVIg可能特别相关的障碍。Anti-idiotype hIVIg内抗体可以中和或与绑定anti-GluR3抗体竞争。此外,hIVIg抗体B细胞可能下调anti-GluR3抗体的生产。hIVIg还结合Cb3 Cb4和降低激活补体的沉积,因此,可以抑制complement-mediated神经元损伤再保险。
我们病人的延迟反应hIVIg与迅速改善报告在一些慢性RE患者hIVIg之后,2血浆置换,12或免疫抑制治疗。5这种潜伏期的原因不明确,但可能是多重而复杂的。说明需要更精确的理解再保险的发病机制和hIVIg的行动的机制障碍。虽然我们有一些免疫数据,它可能是相关的,在病人2脑脊液免疫球蛋白g带消失一段时间开始hIVIg后4至12个月。因为很少有B细胞通过免疫组织化学方法检测到大脑的病人,16人们认为循环免疫球蛋白进入中枢神经系统通过血脑屏障(BBB)的缺陷。11,12因此,延迟脑脊液免疫球蛋白的消失可能是时间的函数CSF的半衰期的BBB愈合或免疫球蛋白。另一个可能性是完全抑制免疫球蛋白生产循环B细胞需要长期hIVIg疗法。
在童年再保险,公开审判hIVIg显示的承诺。9名患者在一次调查中四的持续减少发作频率。2根据这些数据和来自其他两个病人,17建议孩子们hIVIg 0.4 g / kg / d其次是每月3天的周期为0.4克/公斤1天只有改善发生。2这个低剂量,慢性成人神经障碍短期方案是不够的。在慢性炎性脱髓鞘多神经病响应可以推迟到八周后hIVIg周期。18此外,单个hIVIg周期在一个成人与再保险没有影响,5和我们的病人被认为是nonresponders hIVIg根据前面的指南在儿童。2这些发现表明,童年再保险的hIVIg协议不适用于成人患者,提高治疗的可能性应该更加密集,儿童长时间之前将被认为是失败的试验的免疫调节治疗。
发作SPECT是一个有用的方法来监测RE患者对治疗的反应。串行扫描表明,在我们的病人复苏伴随着显著改善脑灌注,特别是临床影响地区的大脑半球在MRI异常。相比之下,串行MRI是不变。此外,SPECT显示病人有低灌注的地区临床冷漠的侧大脑半球MRI是正常的。虽然在再保险异常通常是单方面的,两国疾病患者。6,19先前的报道双边交叉双价染色体分离异常对SPECT解释道。20.然而,另一个可能的解释是,SPECT检测亚临床疾病。
在我们的病人,临床改善和抑制中枢神经系统炎症发生的证据,即使hIVIg疗法开始经过多年的严重和进步的障碍。此外,pre-hIVIg核磁共振成像显示严重皮质萎缩。也许如果密集,长期hIVIg疗法在再保险早期开始,萎缩的细胞死亡,最重要的是,可以改善残疾甚至阻止。
没有更好的数据,我们相信我们的观察与提出一个长期的协议(见附件)试验hIVIg治疗成人再保险。
附录
治疗协议。病人应该满足入选标准和评估推荐。2晚期疾病患者应考虑治疗。我们建议增加串行功能评估和SPECT结果列表的措施。
1。Pre-hIVIg。因为一个病人对四甲基强的松龙反应强烈,5这应该是试过3天(1 g / d)。如果发生,改善长期糖皮质激素治疗。2,5
2。归纳hIVIg。如果没有改善发生类固醇,hIVIg启动(2 g / kg / 2到5天)。这个剂量是每月重复直到改进是持续至少1个月,或至少6个月,以确保足够的治疗试验。
3所示。维护hIVIg。如果改进成为了,病人转向每月hIVIg (0.4 g / kg)。
4所示。长期hIVIg。一旦病人稳定维护hIVIg 12个月,每月评估和进一步的时机hIVIg周期单独决定。
确认
承认
作者感谢t·普雷斯顿女士执行串行脑电图,f . Scaravilli教授和博士j·布鲁姆的活检标本的分析从病人和美国博士Vijamuri方面。
- 收到了1998年6月3日。
- 接受的最终形式1998年11月21日。
引用
- ↵
- ↵
- ↵
-
克劳克兰RS,布鲁姆WT、基尔文JP Reichman h·拉斯穆森在成年人的慢性脑炎。Epilepsia1991;3217 (3):62年。抽象的。
- ↵
- ↵
- ↵
Oguni H, Andermann F,拉斯穆森结核病。自然历史的慢性脑炎和癫痫综合征:MNI一系列48例的研究。:Andermann F,慢性脑炎和癫痫:拉斯穆森的综合症。波士顿:Butterworth-Heinemann,1991:7-36年。
- ↵
Villemure J-G, Andermann F,拉斯穆森结核病。大脑半球切除术治疗癫痫由于慢性脑炎。:Andermann F,慢性脑炎和癫痫:拉斯穆森的综合症。波士顿:Butterworth-Heinemann,1991:235年-241年。
- ↵
- ↵
- ↵
- ↵
- ↵
- ↵
- ↵
- ↵
- ↵
沃尔什与静脉gammaglobulin p·拉斯穆森的综合症的治疗。:Andermann F,慢性脑炎和癫痫:拉斯穆森的综合症。波士顿:Butterworth-Heinemann,1991:201年-204年。
- ↵
- ↵
- ↵
黄PA, Gilday DL,尖顶j],等。慢性局灶性脑炎拉斯穆森:功能性神经成像研究与正电子发射断层扫描和单光子发射计算机断层扫描。:Andermann F,慢性脑炎和癫痫:拉斯穆森的综合症。波士顿:Butterworth-Heinemann,1991:61年-72年。
信:快速的网络通信
你可能也会感兴趣
相关文章
-
没有找到相关文章。
提醒我
推荐的文章
- 文章
拉斯穆森脑炎和共病自身免疫性疾病窗口的疾病机制?
蒂娜Amrom, Demet Kinay,伊冯·哈特等。
首页神经学,2014年8月20日 - 文章
Nonconvulsive癫痫持续状态的额p . Thomas b . Zifkin o .模型等。
首页神经学,1999年4月1日 - 文章
免疫调节与硫唑嘌呤治疗拉斯穆森综合症多模式评价
塞雷娜Pellegrin Torsten Baldeweg,苏雷什Pujar et al。
首页神经学,2020年10月12日 - 简短的沟通
持久性的猝发的活动在拉斯穆森功能性大脑半球切除术后综合征皮埃尔·托马斯,本杰明Zifkin,加芙Ghetau et al。
首页神经学,2003年1月14日


