MM2-type零星的克雅氏病疾病的临床诊断
做出评论
看到评论
文摘
背景:没有MM2-type零星的克雅氏病疾病的临床诊断方法(sCJD)建立了除了病理检查。
摘要目的:确定一个可靠的临床诊断的标记MM2-type sCJD。
方法:脑脊液、脑电图和神经影像学研究进行了八个患者MM2-type sCJD neuropathologic,证实了遗传和免疫印迹分析。
结果:8例病理分为皮质(n = 2)、丘脑(n = 5),并结合(corticothalamic) (n = 1)的形式。皮质的形式被迟发性的特点,慢慢进步的痴呆,皮质hyperintensity信号diffusion-weighted大脑成像(驾车),和CSF 14-3-3蛋白水平升高。丘脑的形式显示各种神经系统症状包括痴呆、共济失调,锥体和锥体束外的迹象出现在各种年龄和疾病持续时间相对较长。脑电图特点和MRI异常几乎缺席。然而,所有四个患者对脑血流量(CBF)研究使用SPECT显示减少的CBF丘脑和大脑皮层。合并后的表单功能的皮层和丘脑的形式,显示皮质hyperintensity信号醉酒驾车和丘脑的代谢减退18F] 2-fluoro-2-deoxy-d-glucose宠物。
结论:MM2-type零星的克雅氏病的临床诊断疾病,皮质hyperintensity diffusion-weighted MRI信号是有用的皮质形式和丘脑的低灌注或代谢减退脑血流量SPECT或[18F] 2-fluoro-2-deoxy-d-glucose宠物的丘脑的形式。
零星的克雅二氏症(sCJD)一直在分类基础上,基因型多态性朊病毒蛋白基因的密码子129 (PrP)和病理PrP (PrP的物理化学性质Sc);提出了不同的分类系统。1 - 5一个简单的分类1、2已被广泛接受并承认至少6 sCJD表型:MM1, 1/2 MV1, VV1,平方毫米,MV2, VV2。3大约70%的患者sCJD显示经典库贾氏症表型和主要分为MM1或1/2 MV1类型。3的临床诊断依赖于检测周期性尖波复合物(PSWCs)的脑电图,CSF 14-3-3蛋白水平升高,典型hyperintensity大脑核磁共振的信号除了典型的临床表现。3、6
其他表型sCJD不出现典型的临床症状典型库贾氏症或PSWCs脑电图。3、6VV2和MV2患者表现为共济失调和痴呆,3和大脑核磁共振和CSF 14-3-3蛋白是有用的临床诊断。6几个报道患者MM2-type sCJD,有些显示积极的CSF 14-3-3蛋白,但其他人没有。6 - 9因此,对于专业以及VV1诊断标记尚未建立。
一些病人的临床特征MM2-type sCJD以前报道。1、3、6、8、10、11MM2-type sCJD礼物至少有两个病理表型:平方毫米皮质和平方毫米丘脑的形式。3平方毫米皮质表型,痴呆是一个主要的症状,和视觉或小脑体征通常缺席。3没有实验室的报告或在平方毫米皮质sCJD神经影像学研究。平方毫米丘脑表型的临床特征是失眠和精神运动多动除了共济失调和认知障碍。3这种表型可能被称为零星的致命失眠(SFI),因为像致命性家族失眠症的临床和病理特征(FFI)。8、10平方毫米的丘脑或SFI的形式,没有PSWCs脑电图,CSF积极或消极14-3-3蛋白,正常的大脑核磁共振已报告。6、8、10
因为报告变异型克雅氏病(vCJD)于1996年在英国,12识别vCJD的朊病毒疾病监测的一个重要组成部分。vCJD症的临床特征类似于MM2-type sCJD,包括发病年龄小、病程长,缺乏PSWCs脑电图,蛋氨酸在密码子129纯合性PrP基因。3、13因此,MM2-type sCJD vCJD症的鉴别诊断是很重要的。
我们已经调查了8名患者的临床和神经影像学特征MM2-type sCJD试图确定一个可靠的标志sCJD的这种类型的临床诊断。
方法。
科目。
我们调查了8个病人MM2-type sCJD neuropathologic,证实了遗传和免疫印迹分析。脑电图的临床特征,结果,CSF 14-3-3蛋白质、核磁共振成像、脑血流量(CBF)研究用SPECT和大脑葡萄糖代谢的研究使用(18综述了F] 2-fluoro-2-deoxy-d-glucose (FDG) PET。CBF-SPECT使用99米Tc-ethyl cysteinate二聚体(99米Tc-ECD)进行三(例1、2和8),CBF-SPECT使用N异丙基-p- - - - - - (123年我]iodoamphetamine三(病人4、5、6),和摄影(病人3)。MRI, CBF-SPECT,正被两个神经病学家和评估neuroradiologist没有知识的临床结果。这些受试者库贾氏症家族史或已知的过去接触朊病毒污染。
分析PrP基因。
从血液中提取DNA,开放阅读框的PrP基因分析如前所述。14、15
神经病理学。
大脑得到组织活检(例1和2)或解剖(病人3 - 8)。脑组织部分与常规neuropathologic染色技术。与单克隆抗体免疫组织化学进行了PrP (3 f4),如前所述。16
免疫印迹分析。
从额叶脑组织均质,免疫印迹分析蛋白酶K-resistant PrP 3 f4如前所述。17
结果。
临床特征和实验室和神经影像学研究。
总结了临床特征表1实验室和神经影像学研究表2。患者的临床和病理特征的细节518和611之前报道,患者8包含在之前的核磁共振成像研究。19三个代表患者的临床特征的细节(患者2 3和8)描述如下。
病人2。
一个75岁的女人发达健忘和抑郁。她的精神症状逐渐恶化,她被我们医院开始后14个月。神经,她只有痴呆细微精神状态检查(9/30)与抑郁情绪。
16个月后,MRI显示gyriform hyperintensity双边额叶,颞顶叶和枕叶皮层在diffusion-weighted成像(驾车)(图1一个)。那么激烈,皮质病变显示在小fluid-attenuated反转恢复成像(见图1 b)。脑电图,漫射放缓没有PSWCs被发现。CBF-SPECT使用99米Tc-ECD显示减少的CBF双边顶叶和颞皮层(图2一个)。脑脊液检查发现14-3-3蛋白水平增加(28 ng / mL(正常< 20 ng / mL))。尽管sCJD的临床标准20.并不满足,因为缺乏神经和脑电图异常,怀疑库贾氏症MRI和CSF的基础上发现。
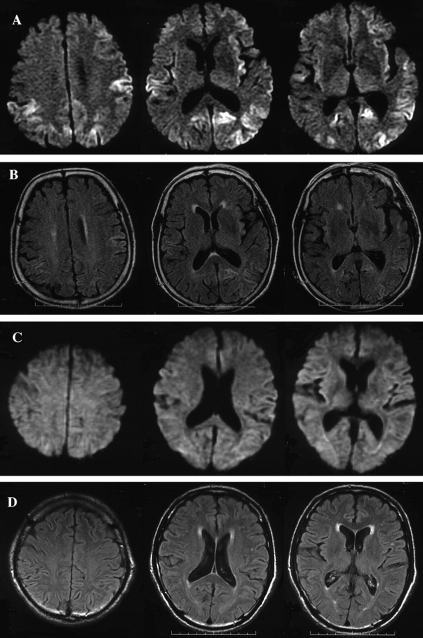
图1所示。大脑核磁共振在16个月后病人2 (A, B)和病人8在7个月后开始(C, D)。A和C是diffusion-weighted成像(驾车),和B和D是fluid-attenuated反转恢复(天赋)成像。在病人2中,酒后驾驶显示hyperintense信号双边额,顶叶、枕叶皮层(A),和天赋成像还显示轻微hyperintensity信号在大脑皮层驾车病变(B)。在病人8中,醉酒驾车和天赋大脑成像显示没有明显的异常信号(C, D)。
图2。SPECT脑血流量(CBF)使用99米Tc-ethyl cysteinate二聚体在16个月后病人2 (A),病人发病8在7个月后(B),和一个正常的控制问题是一个67岁的老人没有神经异常和认知能力衰退(C)。SPECT显示两国在患者的颞叶皮层的CBF减少2 (A)和双边丘脑以及颞叶皮层在病人8 (B)与正常相比控制(C)。
27个月后发病,脑电图显示PSWCs。皮质hyperintensity信号醉酒驾车被发现扩展双边额叶区域。99米Tc-ECD SPECT显示扩散严重减少CBF除了小脑、基底节和丘脑。确认库贾氏症的诊断参与临床试验的戊聚糖polysulfate,右额叶脑活检是执行与家人的同意后28个月发病。病人发达肌肉阵挛性运动涉及两国爆发后30个月的手,还活着。
患者3。
一个65岁的男人发展不稳定趋势下降到左边。三个月后,他表现出步态障碍和构音障碍。
神经系统检查4个月后开始显示含糊不清构音障碍,左侧上、下肢的笨拙,痴呆。EEG是正常的。14-3-3蛋白的CSF水平是模棱两可的。MRI显示gyriform hyperintensity双边额、颞、顶叶、枕叶皮质醉酒驾车。正的大脑显示弥漫性双边丘脑皮层代谢减退。库贾氏症被怀疑作为早期诊断。
此后,病人的症状迅速发展;他卧床不起,不能交流发病后5个月。四肢发达的肌阵挛发作后9个月。11个月后,皮质病变hyperintense信号醉酒驾车扩展更广泛的比之前的研究和揭示分散,轻度萎缩。脑电图显示弥漫性没有PSWCs放缓。14-3-3蛋白的CSF水平仍然是模棱两可的。病人陷入无着丝粒的缄默症发病后13个月。他死后14个月后,解剖。
病人8。
58岁的男人发达进步的痴呆。他表现出不稳定步态发病后5个月,所有的四肢肌肉阵挛性运动开始后6个月。
神经系统检查7个月后发现痴呆,小脑性共济失调,肌肉阵挛性抽搐,夸张的深部腱反射所有的四肢。脑部核磁共振成像,包括醉酒驾车,脑电图正常(见图1中,C和D)。CBF-SPECT使用99米Tc-ECD透露的CBF减少双边丘脑和皮质颞顶叶(见图2 b)。CSF研究披露轻微增加蛋白质的浓度(44 mg / dL)和模棱两可的14-3-3蛋白水平。阿尔茨海默病(AD)的诊断是怀疑。
他的症状逐渐恶化。他还开发了视觉幻觉和混乱发病后12个月。13个月后,他死了,解剖。
PrP基因分析。
的分析PrP基因显示没有突变的八个病人。多态基码显示蛋氨酸纯合性在密码子129年和谷氨酸纯合性在密码子219年所有的病人。
神经病理学。
神经病理学,病人的右额叶皮质活检样本1和2显示相似的病理结果:著名的海绵状的变化,包括大液泡,神经胶质过多症,分散颗粒PrP疣状的突触类型perivacuolar模式。
尸体解剖进行患者3 - 8所示。病人的neuropathologic发现4到8是相同的。严重神经损失和神经胶质过多症,但没有海绵状的变化,观察核的内侧丘脑以及劣质橄榄油。在丘脑,PrP免疫反应性没有在所有的病人。在大脑皮层,海绵状变性没有病人8和有限的孤立病灶的患者4 - 7主要在额叶,顶叶和颞叶和PrP免疫反应性缺席在患者5和8中,而这是现在稀疏,患者粗模式4、6和7。菌丝层的神经元都保存完好,和海绵状的变化没有明显的病人。neostriatum,轻度神经损失和神经胶质过多症观察所有患者。小脑,轻度至中度的浦肯野细胞观察,和PrP免疫反应性没有病人4、5、7和8。在病人6中,浦肯野细胞保存完好,但少数plaque-like PrP存款被观察到。脑白质、髓鞘轻度或中度苍白观察患者4、5、6。
患者3显示相同的严重损伤内侧丘脑和下橄榄4到8的患者中发现,并在丘脑PrP免疫反应性会缺席。此外,病人的大脑皮层3显示显著的海绵状的变化与扩散层颗粒PrP染色。其他大脑区域显示类似的变化与患者4到8。
免疫印迹分析。
免疫印迹分析大脑的样本显示PrP的所有病人Sc2型的分类根据Parchi et al。1、2与大量的病人1到3相比,只有少量的PrPSc2型患者4到8可以检测到。
讨论。
PrP基因序列和蛋白质印迹分析显示,所有八个病人研究MM2-type sCJD。我们分析了PrPSc使用仅从额叶脑组织,共存的可能性PrP的1型和2型Sc在一个大脑3、21不能被排除。但是,我们认为这是合理的对病人进行分类具有MM2-type sCJD,因为患者的临床和病理表型一致与之前报道的病例。3、8、10神经病理学,患者1和2被划分皮质形式3和病人4到8丘脑的形式。3患者3提供功能的皮层和丘脑的形式,这种情况下可以被指定为(corticothalamic)形式相结合。因为完成neuropathologic考试没有1和2的患者中进行,他们的组合形式的可能性不能被排除。
患者1和2的平方毫米皮质出现迟发性的形式,慢慢进步的痴呆(表1)。PSWCs脑电图缺席在早期阶段(表2)。这些特性与之前报道的平方毫米皮质病例。3病人没有完成的临床标准sCJD因为缺乏临床症状。20.重要的是,大脑皮层hyperintensity信号驾车(见表2已报告),这为诊断sCJD是有用的,19日,22日,23日很容易使我们可能库贾氏症的诊断。基底节和丘脑在这些情况下没有hyperintensity核磁共振信号。CSF水平增加(见14-3-3蛋白支持诊断表2)。平方毫米皮质形式经常显示缓慢进行性痴呆没有其他神经系统异常,广告和痴呆与征收机构对鉴别诊断很重要。皮质hyperintensity信号在急性缺血性中风的醉酒驾车被发现,23单纯疱疹脑膜脑炎,22、23创伤后挫伤,22、23postictal变化,22和米拉(线粒体肌病、脑病、乳酸酸中毒和类似中风发作)24;然而,他们并没有观察到广告25或者和路易体痴呆。19我们建议以下为平方毫米皮质sCJD诊断标准:1)进行性痴呆,2)皮质hyperintensity信号在酒后驾驶,和3)脑脊液14-3-3蛋白质含量增加,排斥其他痴呆症,包括其他类型的朊病毒疾病。其他神经精神异常比痴呆或PSWCs脑电图不一定是必需的。
平方毫米的情况下丘脑的形式,发病年龄范围从30到71年,临床过程的持续时间从13到73个月(见表1)。临床表现包括精神病症状,痴呆,小脑性共济失调、失眠、和自主失败(见表1)。至于FFI的突出特点和SFI,失眠在只有一个病人(病人4),和自主症状被发现在三个病人(病人4、5、7)。脑电图显示没有PSWCs除了一位病人(病人6)显示PSWCs很晚阶段(见表2)。这些特性与先前报道的患者数目丘脑3或者你以后。8、10脑部核磁共振成像,包括醉酒驾车,几乎是正常的平方毫米丘脑的患者除了脑萎缩或白质后期的变化(见表2)。这些功能与以前的报道相一致SFI患者。8、10在我们的研究中,两个病人检测CSF 14-3-3蛋白,一个是积极的,另一个是模棱两可(见表2)。在文献中,据我们所知,有报道称,4平方毫米丘脑sCJD患者检查脑脊液14-3-3蛋白:考试是积极的6和负三。7、8考虑这些报道与我们的结果,我们不能得出结论,CSF 14-3-3蛋白诊断平方毫米丘脑sCJD足够敏感。最初的临床诊断,进行性核上的麻痹(PSP),脊髓小脑的变性(SCD),或广告一直怀疑(见表1),表示相当困难的临床诊断平方毫米丘脑的形式。然而,我们回顾CBF-SPECT研究显示特征的结果减少CBF的双边丘脑和大脑皮层的相对早期阶段(见表2)。在以前的报告CBF-SPECT研究库贾氏症病人,减少CBF的目视检查发现大脑皮层不同区域的但不是在丘脑。26日,27日没有关于CBF-SPECT平方毫米丘脑sCJD报告。在摄影的研究中,丘脑和大脑皮层的代谢减退患者SFI报道10或者在某些FFI患者。28、29CBF和丘脑葡萄糖代谢相对保存在广告。30.在PSP,显著减少葡萄糖代谢不是丘脑中发现,而是在额叶皮层通过地区检测到/枕的代谢率。31日多系统萎缩,零星的SCD的表型,减少丘脑CBF的报道;然而,显著减少CBF还检测到的背壳。32我们的患者数目丘脑sCJD没有CBF的壳(见减少图2 b)。我们的研究结果清楚地表明,减少双边丘脑CBF以及代谢减退,与他们的保护壳,将是一个特别有用的诊断为平方毫米丘脑sCJD标记。
有趣的是,在病人与平方毫米(corticothalamic)形式(病人3)相结合,两平方毫米的神经影像学研究显示功能皮层和丘脑的形式,也就是说,hyperintense信号在醉酒驾车和丘脑皮层代谢减退摄影(见表2),与这个病人的病理结果一致。
Hyperintensity双边丘脑(枕符号)建立了核磁共振是一个有用的诊断标记vCJD症。33、34但是,没有在枕MRI异常信号中可以检测到MM2-type sCJD,如图所示在当前研究和在以前的报告。8、10CBF-SPECT研究在两个vCJD症患者表现出广泛的CBF减少大脑皮层花托的但没有明显的参与。26这些CBF-SPECT特性不同于那些在专业丘脑sCJD。我们的研究结果表明神经影像学研究的有效性之间的歧视和vCJD MM2-type sCJD。
引用
信:快速的网络通信
你可能也会感兴趣
相关文章
-
没有找到相关文章。
主题讨论
提醒我
推荐的文章
- 文章
硬脑膜的临床特征和诊断graft-associated克雅二氏症m . Noguchi-Shinohara h t, t . Kitamoto et al。
首页神经学,2007年7月23日 - 简短的沟通
零星的克雅二氏症的MM2-cortical形式呈现视觉障碍Nozaki, t·h·m·Noguchi-Shinohara et al。
首页神经学,07年8月,2006年 - 加快出版
零星的朊病毒疾病的亚型模仿致命性家族失眠症p . Parchi Capellari,下巴等。
首页神经学,1999年6月1日 - 神经影像学
识别和利用缺血半影马克•费舍尔Birgul Bastan et al。
首页神经学,2012年9月24日


