儿童获得性脱髓鞘综合征复发诊断算法
文摘
摘要目的:建立是否复发患儿获得脱髓鞘综合症(RDS)和髓少突细胞糖蛋白抗体(MOG-Ab)展示独特的临床和影像学特征和生成诊断算法的主要RDS临床使用。
方法:委员会回顾了临床特点,MOG-Ab aquaporin-4 (AQP4) Ab,鞘内寡克隆乐队,eb病毒血清学结果RDS的110名儿童。一个neuroradiologist蒙蔽诊断取得了核磁共振扫描。临床、放射和血清学的测试结果进行了比较。
结果:调查结果显示,56.4%的儿童被诊断为多发性硬化症(MS)、25.4%视neuromyelitis谱系障碍(NMOSD), 12.7%与多相播散性脑脊髓炎(MDEM),和5.5%复发视神经炎(罗恩)。盲法分析基线MRI定义为典型的女士在93.5%的儿童急性播散性脑脊髓炎女士表示被认为只有在非MS组。NMOSD病例,30.7%是AQP4-Ab积极。MOG-Ab被发现在83.3%的AQP4-Ab-negative NMOSD, MDEM的100%,和33.3%的罗恩。儿童MOG-Ab年轻,不太可能存在区域postrema综合症,并降低残疾,复发时间,比儿童小脑脚病变AQP4-Ab NMOSD。一个诊断算法适用于任何事件的中枢神经系统髓鞘脱失导致4主要表型:女士,AQP4-Ab NMOSD, MOG-Ab-associated疾病,antibody-negative RDS。
结论:儿童和女士AQP4-Ab NMOSD典型的成人病例显示功能。因为MOG-Ab-positive孩子显示显著的和独特的临床和MRI特征,他们组成一个统一的表现型(MOG-Ab-associated疾病),包括一个新的诊断算法。
术语表
- Ab=
- 抗体;
- 亚当=
- 急性播散性脑脊髓炎;
- AQP4=
- aquaporin-4;
- 独联体=
- 临床孤立综合征;
- EBV=
- 巴尔病毒;
- LETM=
- 纵向广泛的横向脊髓炎;
- MDEM=
- 多相播散性脑脊髓炎;
- MOG=
- 髓鞘少突细胞糖蛋白;
- 女士=
- 多发性硬化症;
- NMOSD=
- 视neuromyelitis谱系障碍;
- 台籍干部=
- 寡克隆条带;
- 在=
- 视神经炎;
- RDS=
- 复发炎性脱髓鞘综合症;
- 罗恩=
- 复发视神经炎;
- TM=
- 横向脊髓炎
小儿复发了脱髓鞘综合症(RDS)1中枢神经系统定义的一组疾病不同的表型。最常见的小儿RDS是多发性硬化症(MS)。2010年麦当劳标准使女士的诊断> 11岁的儿童呈现临床孤立综合征(CIS)和MRI传播在时间和空间上的证据,2提供临床表现不像急性播散性脑脊髓炎(ADEM)。3,4尽管儿童礼物与女士的比例在12岁之前,2010年的麦当劳的标准2表现出较低的阳性预测值5在这个病人组。
另一个RDS是视neuromyelitis谱系障碍(NMOSD),这是根据存在分层/缺乏aquaporin-4 AQP4抗体(Ab)。6大约有30%的成年患者AQP4-seronegative NMOSD有髓少突细胞糖蛋白(MOG) Ab。7MOG-Ab之间的比较研究,AQP4-Ab-positive NMOSD成人8,- - - - - -,10和孩子11表明MOG-Ab-positive病人更年轻,更频繁的男性,经常有一个更好的结果和单相课程。
除了AQP4-Ab-seronegative NMOSD,12等其他RDS MOG-Ab已发现多相播散性脑脊髓炎(MDEM),13复发视神经炎(罗恩),14和亚当后跟复发或单相视神经炎(上)。15
我们回顾性评估一个大群RDS患儿进行临床评估,磁共振成像,脑脊液寡克隆乐队(时常)测试,和AQP4-Ab MOG-Ab,血清中eb病毒(EBV) Ab测试作为常规临床协议的一部分。我们旨在确定RDS的关键特性,统一表型和关注患者MOG-Ab调查他们是否显示不同的临床和放射功能独立于原来的诊断。我们的最终目标是开发一个诊断算法提供建议如何达到新定义的表型的诊断建议顺序诊断测试和支持功能。
方法
参与者。
总共有110名儿童与RDS回顾性研究。连续的孩子参加后续访问2014年9月至2015年9月被确定从3英国和爱尔兰儿童中枢神经系统炎性脱髓鞘工作组中心:大奥蒙德街医院,儿童医院,埃维莉娜伦敦和伯明翰儿童医院。RDS的诊断被定义为≥2集了中枢神经系统脱髓鞘持久> 24小时涉及视神经、大脑或脊髓与MRI T2病灶有关。单相ADEM和CIS患者(即使会议麦当劳标准后第一个事件)并不包括在内。
标准协议的审批、登记和病人同意。
本研究通过大奥尔蒙德街医院(参考16 nc10)研究和开发部门。
过程。
综述了所有临床记录的第一作者(Y.H.),他总结了病人的人口统计资料,临床表现,脱髓鞘表型在访问,在复发时间和特性,并扩大残疾状态规模从发病2年。出现脱髓鞘表型决定的基础上建立的临床特征和神经系统检查标准3(没有神经影像学参考)上,横向脊髓炎(TM),或神经赤字与脑病(ADEM)或无脑病(脑干、小脑半球CIS)。
所有患者接受了脑部和脊髓成像根据当地MRI协议(不是通常包括轨道)。Gadolinium-enhanced成像在所有情况下执行但不总是在第一次扫描。
1月内急性事件(发病或复发),临床症状儿童进行了测试血清AQP4-Ab和MOG-Ab (CSF)的常规评估的脱髓鞘疾病患儿的临床神经免疫学服务信任牛津拉德克利夫医院使用活细胞分析。16,17(这为Ab测试实验室收到样品来自世界各地,包括美国,在MOG-Ab测试是不可用的。)定性分析血清和脑脊液寡克隆模式由等电点聚焦在琼脂糖凝胶免疫印迹,18针对巴尔病毒衣壳抗原的血清IgG-Ab,核抗原(EBNA1)和早期抗原测定与标准在本地ELISA试剂盒。
临床审查小组。
至少2临床医生不参与孩子们的直接临床护理和2儿科神经放射了案例总结和神经影像学和分配情况下的诊断类别:女士,实现2013年国际小儿多发性硬化症研究小组共识标准3和2010年麦当劳标准2,NMOSD履行2015年Wingerchuk et al6标准;MDEM ADEM-ON,实现2013年国际小儿多发性硬化症研究小组共识标准3;或反复在一个中枢神经系统脱髓鞘区域没有证据的临床沉默的疾病(例如,罗恩)。
蒙蔽放射分析。
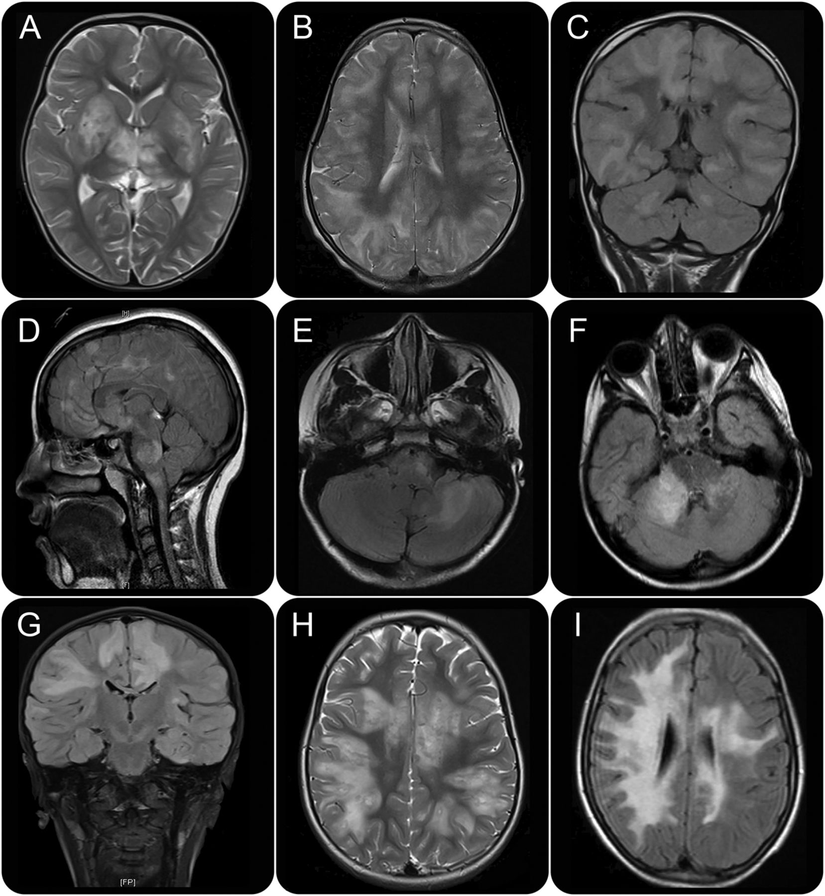
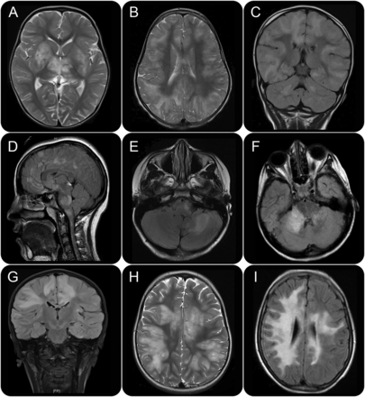
三分之一neuroradiologist (F.B.)执行一个单独的分析来评估是否单独成像特点可以支持一个特定综合征的诊断而盲的临床特征和Ab的结果。下面分别分析重复基线MRI和后续的扫描。病变形态、分布和位置是用于支持面向诊断斑块是椭圆形女士和女士的垂直于心室表面。他们发生双边的,但通常是不对称的,他们分布在幕上的和infratentorial隔间。虽然病变女士可以坐落在中枢神经系统的任何地方,他们经常看到juxtacortical,室旁,infratentorial地区。19核磁共振扫描被分成以下类别;(1)不是女士,(2)不典型的女士,(3)一些女士的特性,或(4)典型的女士。
类别1和2,以下5个主要成像模式之一,其中包括功能与NMOSD有关6,20.最近报道MOG-Ab患者和特性,13,21neuroradiologist被选为主要模式:(1)疾病局部脑干和下丘脑;(2)主要支流,朦胧的/不加边涉及灰质和白质病变;(3)广泛的支流leukodystrophy-like MRI模式;(4)大幅划定半球白质病变(> 3厘米);或(5)TM和/或颅内外观正常或非特异性的白质病变。此外,对于后续的扫描,2后成像特性寻找:几乎或完全解决损伤和破坏性病变,定义为严重的组织导致中央低信号稀疏fluid-attenuated反转恢复与体积相关的损失。
最后,中脑病变的存在,背侧脑干,periependymal侧脑室周围,纵向广泛TM (LETM),大脑皮层灰质,丘脑、基底神经节,juxtacortical和深白色板牙参与多室,小脑总花梗,脑桥和视神经/大片,被认为是典型的患者与AQP4-Ab NMOSD——(根据Wingerchuk et al6标准)20.和MOG-Ab-associated髓鞘脱失,被记录。
统计分析。
比较人口统计学、临床、放射和血清学的特征之间的表型,参数或非参数统计检验(Mann-WhitneyU和克鲁斯卡尔-沃利斯测试)被用于连续分布适当的常态,χ2或Fisher精确测试是用于标定数据。结果的价值p< 0.05被认为是重要的。数据分析与GraphPad棱镜5。
结果
一百一十连续RDS的孩子进行了研究。后续的平均长度(从第一临床表现)4年(四分位范围3 - 7年)。在此期间,中位数为4(范围3 - 10)重复进行了核磁共振扫描。所有患者大脑核磁共振在发作,110年和95年(86.3%)也有脊髓磁共振成像。
专家组诊断的62 110例(56.4%)患儿女士,110年28(25.4%)与NMOSD与MDEM 14 110例(12.7%),110年6(5.5%)与罗恩(不满足标准慢性复发性炎症性视神经病变22)。
患者的人口统计学、临床和paraclinical特性和临床残疾2年随访根据每个RDS表型进行了总结表1。
MS患者。
女士在发病,75.8%的患者出现脑干、小脑、半球独联体和98.4%与T2-hyperintense MRI异常病变。大部分患者(94.6%)显示女士CSF台籍干部,和所有患者EBV免疫球蛋白(表1)。没有差异,在临床、放射免疫功能之间的女士的孩子(32.3%)和> < 11年11年(67.7%)的发病年龄(表发现了e 1首页Neurology.org)。
比较儿童和女士没有RDS女士。
48 110(43.6%)的儿童没有女士;这些患者大部分NMOSD(28 48, 58.3%),其次是MDEM(14 48, 29.2%)和罗恩(48岁的6 12.5%)(表1和图e 1)。被年长的女士和患者更容易出现脑干,小脑,半球CIS患者比其他没有RDS女士;亚当表示被认为只有在非ms组(所有p< 0.0001)。脑MRI异常在演讲被认为更频繁地比非MS RDS女士(p< 0.0001)。MOG-Ab和AQP4-Ab被发现只在非ms组(p< 0.0001)。所有患者女士测试远程EBV感染的证据相比,42.9%的病人没有女士和更频繁地显示囊内的合成油断路器(所有p< 0.0001)(表1)。
基线的盲法分析MRI扫描,在所有110名患者,正确确定58 62 (93.6%;52在4级,6在3级)女士的孩子和所有48个孩子非MS (100%;38在类别1;10在类别2)。随访MRI扫描分析女士确认只有一个额外的2例(4 MS患者的MRI扫描非典型成像如图飞行)。脊髓损伤患者45所短段脊髓炎,与12的13个病人在非ms组LETM (p< 0.0001)。
自身抗体与RDS的孩子。
34的41个(82.9%)患者非ms RDS(测试)是积极AQP4-Ab或MOG-Ab。特别是,26 (8 30.7%)NMOSD病例AQP4-Ab积极进行测试。18的AQP4-Ab-negative NMOSD病例中,83.3% (15)MOG-Ab是积极的。没有病人Ab抗原。MOG-Ab 9(9)被发现在100% MDEM测试病例和33.3%(2 6)罗恩的测试用例。七个病人-对阿瑟:4复发与NMOSD罗恩和3。
患者临床特点AQP4-Ab NMOSD——MOG-Ab-associated疾病患者都详细表2。
对比MOG-Ab-positive和AQP4-Ab-positive孩子。
儿童MOG-Ab组合在一起(独立于原来的RDS诊断)年轻(p= 0.048),不太可能存在区域postrema综合征(p= 0.0067),更有可能出现外(p= 0.034);在2年随访残疾(较低p= 0.03);和有复发的时间(p比儿童与NMOSD AQP4-Ab (= 0.016)表2和图e - 3)。
当核磁共振成像模式和病变位置之间MOG-Ab AQP4-Ab-positive患者相比,AQP4-Ab患者更有可能有疾病仅限于脑干和下丘脑(发病:38% vs 0%,p= 0.0094;在随访:50% vs 0%,p= 0.0015)。破坏性病变在随访扫描被认为在大多数AQP4-Ab-positive患者(62.5%)和没有MOG-positive患者(p= 0.002)(表3和图)的军医。病变位于背侧脑干AQP4-Ab-positive患者更常见(87.5% vs 11.5%,p= 0.0085),而在小脑病变总花梗被认为只有MOG-positive患者在发病和随访(p= 0.03,p= 0.011)(表3和图1)。最后,leukodystrophy-like病变被认为只有在MOG-Ab-positive患者(表3和图1)。
诊断算法。
我们提出一个诊断算法(图2),适用于任何事件的中枢神经系统脱髓鞘,导致4主要脱髓鞘综合症:女士,AQP4-Ab NMOSD, MOG-Ab-associated疾病,Ab-negative RDS。
第一个建议是大脑和脊髓MRI诊断测试。如果核磁共振发现被认为是典型的或暗示的成年女士,然后麦当劳应该应用诊断标准。在孩子的MRI不典型或暗示的女士,但临床和影像学特征暗示NMOSD, AQP4-Ab测试建议。特别是,这个测试建议儿童展示面积postrema综合症,MRI异常本地化脑干和下丘脑,破坏性病变。如果AQP4-Ab是负的,那么MOG-Ab应该被测试。在孩子的MRI不是典型的女士或NMOSD但ADEM的临床和影像表现特征,MOG-Ab测试建议。支持MOG-Ab-associated疾病包括病变在小脑脚和leukodystrophy-like磁共振成像模式很年轻。选择其余Ab-negative患者的诊断应考虑。Ab =抗体;外=急性播散性脑脊髓炎。 AQP4 = aquaporin-4; MOG = myelin oligodendrocyte glycoprotein; MS = multiple sclerosis; NMOSD = neuromyelitis optica spectrum disorder.
第一个建议是大脑和脊髓MRI诊断测试。如果中枢神经系统的临床特征的攻击和核磁共振的发现被认为是典型的或暗示的女士,然后麦当劳应该应用诊断标准。
在孩子的MRI不典型或暗示的女士,但临床和影像学特征暗示NMOSD, AQP4-Ab测试建议,尤其是儿童拥有一个区域postrema综合症,MRI异常本地化脑干和下丘脑,破坏性病变。MOG-Ab应该AQP4-Ab-negative情况下进行测试。
儿童的MRI并不是典型的女士或NMOSD但临床和影像表现像亚当,MOG-Ab测试建议。此外,MOG-Ab测试建议儿童差有边缘的病变在小脑脚和儿童leukodystrophy-like核磁共振成像模式。
考虑替代诊断(如炎症、感染和neurometabolic)然后监控建议Ab-negative RDS的剩下的少数民族。
讨论
的基础上观察与RDS这群大的110名儿童,诊断算法适用于任何儿童中枢神经系统脱髓鞘的集开发达到4的诊断主要表型:女士,AQP4-Ab NMOSD, MOG-Ab -相关疾病,血清反应阴性的RDS的孩子。
大脑和脊髓MRI是第一诊断测试。这有助于达到MS的诊断,这是最常见的RDS群组(56.4%),即使核磁共振分析孤立地盲目。缺乏临床、放射免疫差异< 11 >女士的孩子11岁表明2010年麦当劳为MS诊断标准2可以应用于任何年龄的孩子。当前的指导3诊断儿童儿童女士建议谨慎< 12年的年龄,但我们的研究表明,如果临床和MRI特征典型的成年女士的孩子,应该有信心MS的诊断。
没有一个孩子面对亚当女士。之前的研究表明,5%到29%的儿童23,24最初诊断为ADEM进一步脱髓鞘事件典型ADEM但导致诊断然而,女士MOG-Ab并不在这些患者进行测试。这些以前的研究报道,显示女士的孩子独特的MRI特征,如水肿和白质广泛参与,LETM频率增加,和低频率的鞘内台籍干部积极性比成人女士,1,23虽然这些特性缺席我们的女士,但患者MOG-Ab-associated疾病的典型。
AQP4-Ab测试应该执行在患者临床和/或暗示NMOSD放射特性。6我们发现,三分之二的孩子没有女士NMOSD,其中30.7%测试AQP4-Ab积极,低于此前报道的成年人8,21,25和儿童群体。26这是按照以前的观测AQP4-Ab血清阳性指数随着年龄的增加,尤其是女性。27然而,比较不同组之间必须小心如果转诊路径中心之间是不同的。
我们发现82.9%的患者非ms RDS AQP4-Ab或MOG-Ab是积极的。我们发现MOG-Ab NMOSD没有AQP4-Ab的83.3%。这是远高于在之前报道成人群体7我们知道但并不令人惊讶,因为MOG-Ab常见的儿童。28此外,增加识别的Ab和NMOSD的最新诊断标准的应用6可能导致患者的观察到大量NMOSD吗29日因此MOG-Ab-positive病例。脑脊液检测AQP4-Ab MOG-Ab并没有执行,因为在这两个条件已经表明,Ab来自外围比脑脊液和血清测试更敏感。30.,31日
因为我们发现,100%的患者MDEM MOG-Ab-positive和先前的调查发现重要的ADEM和MOG-Ab之间的联系,13,32我们认为执行MOG-Ab测试在所有患者呈现ADEM(单相的复发性疾病)专家意见共识的基础上是合理的。一个关键的问题是患者MOG-Ab-negative ADEM显示患者不同的临床和MRI特征MOG-Ab-positive亚当。大型的、不明确的病变在小脑脚和leukodystrophy-like核磁共振成像模式可以诊断有用的线索。
尽管与AQP4-Ab低的儿童数量在这一群人,我们确定AQP4-Ab儿童和儿童之间的差异MOG-Ab组合在一起(独立于原来的RDS诊断)。儿童MOG-Ab年轻,不太可能存在区域postrema综合症,并更有可能向外;在2年残疾较低;和有一个长时间比AQP4-Ab复发NMOSD。因此,我们提出了分组的所有MOG-Ab-positive病人为一个统一的表现型:MOG-Ab-associated疾病。可能2抗原目标(AQP4和MOG)通过不同的致病机制会导致不同的疾病,导致自身免疫性astrocytopathy AQP4-Ab-associated疾病和自身免疫性oligodendrogliopathy MOG-Ab-associated疾病。33最近的研究关注的影响MOG-Ab在细胞培养和小鼠模型显示,损失的少突胶质细胞的微管细胞骨架与纯化孵化时从MOG-Ab-positive患者免疫球蛋白,34以及轴突的髓磷脂的变化和改变表达的蛋白质直接注射到老鼠的大脑。35相比之下,AQP4-Ab补体依赖细胞毒性被认为产生星形胶质细胞损伤,从而导致血脑屏障破坏,引起白细胞浸润,细胞因子释放,导致损害少突胶质细胞,髓鞘,和神经元,这也许可以解释更具有破坏性病变表型。36在该地区丰富的AQP4 postrema37可能解释的恶心和呕吐频率增加AQP4-Ab-positive集团一起成像异常背脑干和下丘脑,正如前面报道。38
总的来说,孩子的非常高的比例(82.9%)与非ms RDS的阳性1 2 Ab表明,大多数的这些孩子都有一个已知Ab-mediated脱髓鞘疾病。RDS的极少数情况下除了女士,- Ab,重要的是考虑中枢神经系统脱髓鞘的模仿。
蒙蔽了核磁共振分析成功区分女士和非MS案件已经开始。MRI异常AQP4-Ab-positive脑干和下丘脑是典型的病人,如前所报道,38而不明确的病变在小脑脚被认为只MOG-Ab-positive病人。未来的研究将致力于确认这是否可以用作MOG-Ab-associated疾病的标志。
鞘内油断路器和远程EBV感染证实了以前的发现,39,40而是因为我们没有计算这些测试的预测价值和作用独立于核磁共振成像,我们决定不包括他们的算法。
我们研究的一个限制是它回顾性质,导致只包含复发的病例。然而,这大群允许我们确定临床有着显著的不同,成像,和免疫特性使我们提出四个主要不同的表型:女士,与AQP4-Ab NMOSD MOG-Ab-associated疾病,血清反应阴性的RDS。MOG-Ab-associated疾病的区别与其他RDS应该考虑在未来修订的诊断标准和NMOSD女士。
作者的贡献
Y.H.,O。C。,h导致研究的概念和设计的运货单的建议,马丁,和一个。V。K.M., W.K.C., and F.B. performed the radiologic analysis. Y.H., E.W., M.L., and CH performed the clinical analysis. Y.H. and O.C. drafted the manuscript. All authors contributed to editing the final manuscript.
研究资金
支持这项研究由美国国家卫生研究所(NIHR)伦敦大学学院医院生物医学研究中心(超频)和NIHR大奥蒙德街医院生物医学研究中心(Y.H.,h)。
信息披露
y Hacohen、k . Mankad和w . Chong报告没有披露相关的手稿。f . Barkhof作为科学顾问拜耳先灵葆雅制药公司,赛诺菲-安万特(sanofi - aventis) Idec,梯瓦制药产业,默克公司Serono,诺华,罗氏,合成纤维BV,詹森,Genzyme和东芝医疗系统,在扬声器的分社Serono座谈会的基础,起到了推动作用。答:文森特服务/服务科学顾问委员会帕特里克Berthoud信任,大脑研究信任,和美国重症肌无力基金会;已收到资助旅行和从巴克斯特国际公司和生原体公司发言人酬金;作为副主编大脑;接收来自出版版税临床神经免疫学(布莱克威尔出版社,2005)炎症和自身免疫性疾病的儿童的神经系统(Mac基斯出版社,2010年);接收/收到了来自欧盟的研究支持,NIHR牛津大学生物医学研究中心,Euroimmun AG)和哈雷·斯图尔特爵士信任;和已经收到了麝香Ab版税和咨询费雅典娜诊断Inc . m . Lim接收从行动研究资助医学研究,德干教育社会,大奥蒙德街医院的慈善机构,NIHR,女士的社会,和运动帮助医学研究儿童慈善机构;接收来自伦敦研究支持资助临床研究网络和埃维莉娜吸引力;已经收到了来自中超贝林咨询费用;收到了来自默克公司Serono差旅补助;并被授予教育资助组织会议由诺华、Idec,默克公司Serono,拜耳。e·沃斯默接收从行为医学研究和医学社会学研究资助,已收到UCB的差旅补助,夏尔,和生原体Idec;教育资助组织会议从默克塞里诺,诺华公司,拜耳,和生原体Idec;演讲者从默克塞利诺的费用; and consultancy fees from Genzyme. O. Ciccarelli serves as a consultant for GE, Biogen Idec, and Novartis; all payments are made to the institution (Queen Square MS Centre, UCL Institute of Neurology, London, UK). C. Hemingway has received educational and travel grants from Merck Serono, Bayer, and Biogen. Go to首页Neurology.org为充分披露。
承认
作者感谢教授Brenda Banwell她深思熟虑的评论手稿。他们也感谢所有众多的初级医生和专职医护人员照顾这些孩子在他们复杂的病程。
脚注
↵*这些作者的贡献同样高级作家这个工作。
去首页Neurology.org为充分披露。资金信息和披露认为作者相关的,如果有的话,年底提供这篇文章。
补充数据首页Neurology.org
- 收到了2017年1月6日。
- 接受的最终形式2017年4月21日。
- ©2017美国神经病学学会的首页
引用
- 1。↵
- 2。↵
- 3所示。↵
- 4所示。↵
- 5。↵
- 6。↵
- 7所示。↵
- 赛普维达米,
- ArmangueT,
- Sola-VallsN,等
- 8。↵
- KitleyJ,
- 水域P,
- Woodhall米,等
- 9。↵
- 10。↵
- van Pelt艾德,
- 黄YY,
- KetelslegersIA,
- 哈曼D,
- Hintzen中移动
- 11。↵
- 12。↵
- 13。↵
- 14。↵
- 15。↵
- 16。↵
- 17所示。↵
- 18岁。↵
- 19所示。↵
- 20.↵
- 21。↵
- 赛普维达米,
- ArmangueT,
- 马丁斯E,等
- 22。↵
- 23。↵
- 24。↵
- 25。↵
- 26岁。↵
- 27。↵
- 28。↵
- 29。↵
- 30.↵
- Jarius年代,
- 鲁普雷希特K,
- Kleiter我,等
- 31日。↵
- 马吉德米,
- 油炸锅摩根大通,
- 麦肯一个,
- 列侬弗吉尼亚州,
- PittockSJ
- 32。↵
- 33。↵
- 34。↵
- 35。↵
- 36。↵
- 37岁。↵
- 38。↵
- 39岁。↵
- 40。↵
信:快速的网络通信
你可能也会感兴趣
提醒我
推荐的文章
- 文章
区分MOG抗体阳性和AQP4抗体阳性动谱系障碍继同行工人达戈贝托- Callegaro -道格拉斯Kazutoshi佐藤,Marco Aurelio Lana-Peixoto et al。
首页神经学,2014年1月10日 - 居民和其他部分
临床推理:患者脑脊髓炎和复发性视神经炎的历史约瑟夫·麦克斯韦古特曼迈克尔·利维史蒂文Galetta et al。
首页神经学,2017年11月6日 - 文章
MOG抗体有髓鞘脱失表型并影响少突细胞细胞骨架拉塞尔·c·戴尔以斯帖m . Tantsis维拉Merheb et al。
首页神经病学,神经免疫学神经炎症,2014年5月22日 - 文章
髓鞘少突细胞糖蛋白抗体在双边和复发性视神经炎Ramanathan Sudarshini斯蒂芬·w·Reddel安德鲁·亨德森et al。
首页神经病学,神经免疫学神经炎症,2014年10月29日


