跳转到主要内容
  • 首页Neurology.org
  • 期刊
    • 首页
    • 临床实践
    • 教育
    • 遗传学
    • 神经免疫学和神经炎症
  • 在线部分
    • 首页神经学视频杂志俱乐部
    • 多样性,股本,包含(一些)
    • 首页神经学:临床实践加速器
    • 实践的嗡嗡声
    • 当前实践
    • 居民和同伴
    • 无国界
  • 188app官网下载
    • COVID-19
    • 争议和辩论
    • 健康差异
    • 信息图
    • 首页神经学的未来预测系列
    • 零假设
    • 188app苹果
    • 话题无所不包的
    • 188app下载
  • 188bet官网app网址
  • 芝加哥商品交易所
  • 关于
    • 关于期刊
    • 1888博金宝
    • 188app
  • 作者
    • 提交新的手稿
    • 提交修改后的手稿
    • 作者中心

高级搜索

主菜单

  • 首页Neurology.org
  • 期刊
    • 首页
    • 临床实践
    • 教育
    • 遗传学
    • 神经免疫学和神经炎症
  • 在线部分
    • 首页神经学视频杂志俱乐部
    • 多样性,股本,包含(一些)
    • 首页神经学:临床实践加速器
    • 实践的嗡嗡声
    • 当前实践
    • 居民和同伴
    • 无国界
  • 188app官网下载
    • COVID-19
    • 争议和辩论
    • 健康差异
    • 信息图
    • 首页神经学的未来预测系列
    • 零假设
    • 188app苹果
    • 话题无所不包的
    • 188app下载
  • 188bet官网app网址
  • 芝加哥商品交易所
  • 关于
    • 关于期刊
    • 1888博金宝
    • 188app
  • 作者
    • 提交新的手稿
    • 提交修改后的手稿
    • 作者中心
  • 家
  • 最新文章
  • 最新一期
  • 过去的问题
  • 首页神经学视频杂志俱乐部
  • 居民和同伴

用户菜单

  • 订阅
  • 我的提醒
  • 登录
  • 注销

搜索

  • 高级搜索
首页
家
最广泛的阅读和高度引用同行评议的神经病学杂志上首页
  • 订阅
  • 我的提醒
  • 登录
  • 注销
网站的标志
  • 家
  • 最新文章
  • 最新一期
  • 过去的问题
  • 首页神经学视频杂志俱乐部
  • 居民和同伴

分享

2014年2月11日 ;82 (6) 文章

区分MOG抗体阳性和AQP4抗体阳性动谱系障碍

道格拉斯Kazutoshi佐藤,继同行工人达戈贝托- Callegaro -,Marco Aurelio Lana-Peixoto,Patrick j .水域,弗雷德里克·m·德·海达尔豪尔赫,Toshiyuki高桥,中岛美嘉一郎,莎米拉路易莎Apostolos-Pereira,纳塔莉亚Talim,Renata法Simm,安吉丽娜玛丽亚马丁斯利诺,Tatsuro甜点,玛丽亚伊莎贝尔雷特,Masashi青木,Kazuo藤
第一次出版2014年1月10日, DOI: https://doi.org/10.1212/WNL.0000000000000101
道格拉斯Kazutoshi佐藤
从神经学部门(D.K.S.首页,电汇,I.N.,米。一个。) and Multiple Sclerosis Therapeutics (T.M., K.F.), Tohoku University Graduate School of Medicine, Sendai, Japan; Department of Neurology (D.C., F.M.d.H.J., S.L.A.-P., R.F.S., A.M.M.L.), Faculty of Medicine, University of São Paulo, Brazil; CIEM MS Research Center (M.A.L.-P., N.T.), Federal University of Minas Gerais Medical School, Belo Horizonte, Brazil; Neuroimmunology Group (P.J.W., M.I.L.), Nuffield Department of Clinical Neurosciences, Oxford University, UK.
  • 在谷歌学术搜索找到这位作者
  • 在PubMed找到这位作者
  • 寻找作者在这个地点上
继同行工人达戈贝托- Callegaro -
从神经学部门(D.K.S.首页,电汇,I.N.,米。一个。) and Multiple Sclerosis Therapeutics (T.M., K.F.), Tohoku University Graduate School of Medicine, Sendai, Japan; Department of Neurology (D.C., F.M.d.H.J., S.L.A.-P., R.F.S., A.M.M.L.), Faculty of Medicine, University of São Paulo, Brazil; CIEM MS Research Center (M.A.L.-P., N.T.), Federal University of Minas Gerais Medical School, Belo Horizonte, Brazil; Neuroimmunology Group (P.J.W., M.I.L.), Nuffield Department of Clinical Neurosciences, Oxford University, UK.
  • 在谷歌学术搜索找到这位作者
  • 在PubMed找到这位作者
  • 寻找作者在这个地点上
Marco Aurelio Lana-Peixoto
从神经学部门(D.K.S.首页,电汇,I.N.,米。一个。) and Multiple Sclerosis Therapeutics (T.M., K.F.), Tohoku University Graduate School of Medicine, Sendai, Japan; Department of Neurology (D.C., F.M.d.H.J., S.L.A.-P., R.F.S., A.M.M.L.), Faculty of Medicine, University of São Paulo, Brazil; CIEM MS Research Center (M.A.L.-P., N.T.), Federal University of Minas Gerais Medical School, Belo Horizonte, Brazil; Neuroimmunology Group (P.J.W., M.I.L.), Nuffield Department of Clinical Neurosciences, Oxford University, UK.
  • 在谷歌学术搜索找到这位作者
  • 在PubMed找到这位作者
  • 寻找作者在这个地点上
Patrick j .水域
从神经学部门(D.K.S.首页,电汇,I.N.,米。一个。) and Multiple Sclerosis Therapeutics (T.M., K.F.), Tohoku University Graduate School of Medicine, Sendai, Japan; Department of Neurology (D.C., F.M.d.H.J., S.L.A.-P., R.F.S., A.M.M.L.), Faculty of Medicine, University of São Paulo, Brazil; CIEM MS Research Center (M.A.L.-P., N.T.), Federal University of Minas Gerais Medical School, Belo Horizonte, Brazil; Neuroimmunology Group (P.J.W., M.I.L.), Nuffield Department of Clinical Neurosciences, Oxford University, UK.
  • 在谷歌学术搜索找到这位作者
  • 在PubMed找到这位作者
  • 寻找作者在这个地点上
弗雷德里克·m·德·海达尔豪尔赫
从神经学部门(D.K.S.首页,电汇,I.N.,米。一个。) and Multiple Sclerosis Therapeutics (T.M., K.F.), Tohoku University Graduate School of Medicine, Sendai, Japan; Department of Neurology (D.C., F.M.d.H.J., S.L.A.-P., R.F.S., A.M.M.L.), Faculty of Medicine, University of São Paulo, Brazil; CIEM MS Research Center (M.A.L.-P., N.T.), Federal University of Minas Gerais Medical School, Belo Horizonte, Brazil; Neuroimmunology Group (P.J.W., M.I.L.), Nuffield Department of Clinical Neurosciences, Oxford University, UK.
  • 在谷歌学术搜索找到这位作者
  • 在PubMed找到这位作者
  • 寻找作者在这个地点上
Toshiyuki高桥
从神经学部门(D.K.S.首页,电汇,I.N.,米。一个。) and Multiple Sclerosis Therapeutics (T.M., K.F.), Tohoku University Graduate School of Medicine, Sendai, Japan; Department of Neurology (D.C., F.M.d.H.J., S.L.A.-P., R.F.S., A.M.M.L.), Faculty of Medicine, University of São Paulo, Brazil; CIEM MS Research Center (M.A.L.-P., N.T.), Federal University of Minas Gerais Medical School, Belo Horizonte, Brazil; Neuroimmunology Group (P.J.W., M.I.L.), Nuffield Department of Clinical Neurosciences, Oxford University, UK.
  • 在谷歌学术搜索找到这位作者
  • 在PubMed找到这位作者
  • 寻找作者在这个地点上
中岛美嘉一郎
从神经学部门(D.K.S.首页,电汇,I.N.,米。一个。) and Multiple Sclerosis Therapeutics (T.M., K.F.), Tohoku University Graduate School of Medicine, Sendai, Japan; Department of Neurology (D.C., F.M.d.H.J., S.L.A.-P., R.F.S., A.M.M.L.), Faculty of Medicine, University of São Paulo, Brazil; CIEM MS Research Center (M.A.L.-P., N.T.), Federal University of Minas Gerais Medical School, Belo Horizonte, Brazil; Neuroimmunology Group (P.J.W., M.I.L.), Nuffield Department of Clinical Neurosciences, Oxford University, UK.
  • 在谷歌学术搜索找到这位作者
  • 在PubMed找到这位作者
  • 寻找作者在这个地点上
莎米拉路易莎Apostolos-Pereira
从神经学部门(D.K.S.首页,电汇,I.N.,米。一个。) and Multiple Sclerosis Therapeutics (T.M., K.F.), Tohoku University Graduate School of Medicine, Sendai, Japan; Department of Neurology (D.C., F.M.d.H.J., S.L.A.-P., R.F.S., A.M.M.L.), Faculty of Medicine, University of São Paulo, Brazil; CIEM MS Research Center (M.A.L.-P., N.T.), Federal University of Minas Gerais Medical School, Belo Horizonte, Brazil; Neuroimmunology Group (P.J.W., M.I.L.), Nuffield Department of Clinical Neurosciences, Oxford University, UK.
  • 在谷歌学术搜索找到这位作者
  • 在PubMed找到这位作者
  • 寻找作者在这个地点上
纳塔莉亚Talim
从神经学部门(D.K.S.首页,电汇,I.N.,米。一个。) and Multiple Sclerosis Therapeutics (T.M., K.F.), Tohoku University Graduate School of Medicine, Sendai, Japan; Department of Neurology (D.C., F.M.d.H.J., S.L.A.-P., R.F.S., A.M.M.L.), Faculty of Medicine, University of São Paulo, Brazil; CIEM MS Research Center (M.A.L.-P., N.T.), Federal University of Minas Gerais Medical School, Belo Horizonte, Brazil; Neuroimmunology Group (P.J.W., M.I.L.), Nuffield Department of Clinical Neurosciences, Oxford University, UK.
  • 在谷歌学术搜索找到这位作者
  • 在PubMed找到这位作者
  • 寻找作者在这个地点上
Renata法Simm
从神经学部门(D.K.S.首页,电汇,I.N.,米。一个。) and Multiple Sclerosis Therapeutics (T.M., K.F.), Tohoku University Graduate School of Medicine, Sendai, Japan; Department of Neurology (D.C., F.M.d.H.J., S.L.A.-P., R.F.S., A.M.M.L.), Faculty of Medicine, University of São Paulo, Brazil; CIEM MS Research Center (M.A.L.-P., N.T.), Federal University of Minas Gerais Medical School, Belo Horizonte, Brazil; Neuroimmunology Group (P.J.W., M.I.L.), Nuffield Department of Clinical Neurosciences, Oxford University, UK.
  • 在谷歌学术搜索找到这位作者
  • 在PubMed找到这位作者
  • 寻找作者在这个地点上
安吉丽娜玛丽亚马丁斯利诺
从神经学部门(D.K.S.首页,电汇,I.N.,米。一个。) and Multiple Sclerosis Therapeutics (T.M., K.F.), Tohoku University Graduate School of Medicine, Sendai, Japan; Department of Neurology (D.C., F.M.d.H.J., S.L.A.-P., R.F.S., A.M.M.L.), Faculty of Medicine, University of São Paulo, Brazil; CIEM MS Research Center (M.A.L.-P., N.T.), Federal University of Minas Gerais Medical School, Belo Horizonte, Brazil; Neuroimmunology Group (P.J.W., M.I.L.), Nuffield Department of Clinical Neurosciences, Oxford University, UK.
  • 在谷歌学术搜索找到这位作者
  • 在PubMed找到这位作者
  • 寻找作者在这个地点上
Tatsuro甜点
从神经学部门(D.K.S.首页,电汇,I.N.,米。一个。) and Multiple Sclerosis Therapeutics (T.M., K.F.), Tohoku University Graduate School of Medicine, Sendai, Japan; Department of Neurology (D.C., F.M.d.H.J., S.L.A.-P., R.F.S., A.M.M.L.), Faculty of Medicine, University of São Paulo, Brazil; CIEM MS Research Center (M.A.L.-P., N.T.), Federal University of Minas Gerais Medical School, Belo Horizonte, Brazil; Neuroimmunology Group (P.J.W., M.I.L.), Nuffield Department of Clinical Neurosciences, Oxford University, UK.
  • 在谷歌学术搜索找到这位作者
  • 在PubMed找到这位作者
  • 寻找作者在这个地点上
玛丽亚伊莎贝尔雷特
从神经学部门(D.K.S.首页,电汇,I.N.,米。一个。) and Multiple Sclerosis Therapeutics (T.M., K.F.), Tohoku University Graduate School of Medicine, Sendai, Japan; Department of Neurology (D.C., F.M.d.H.J., S.L.A.-P., R.F.S., A.M.M.L.), Faculty of Medicine, University of São Paulo, Brazil; CIEM MS Research Center (M.A.L.-P., N.T.), Federal University of Minas Gerais Medical School, Belo Horizonte, Brazil; Neuroimmunology Group (P.J.W., M.I.L.), Nuffield Department of Clinical Neurosciences, Oxford University, UK.
  • 在谷歌学术搜索找到这位作者
  • 在PubMed找到这位作者
  • 寻找作者在这个地点上
Masashi青木
从神经学部门(D.K.S.首页,电汇,I.N.,米。一个。) and Multiple Sclerosis Therapeutics (T.M., K.F.), Tohoku University Graduate School of Medicine, Sendai, Japan; Department of Neurology (D.C., F.M.d.H.J., S.L.A.-P., R.F.S., A.M.M.L.), Faculty of Medicine, University of São Paulo, Brazil; CIEM MS Research Center (M.A.L.-P., N.T.), Federal University of Minas Gerais Medical School, Belo Horizonte, Brazil; Neuroimmunology Group (P.J.W., M.I.L.), Nuffield Department of Clinical Neurosciences, Oxford University, UK.
  • 在谷歌学术搜索找到这位作者
  • 在PubMed找到这位作者
  • 寻找作者在这个地点上
Kazuo藤
从神经学部门(D.K.S.首页,电汇,I.N.,米。一个。) and Multiple Sclerosis Therapeutics (T.M., K.F.), Tohoku University Graduate School of Medicine, Sendai, Japan; Department of Neurology (D.C., F.M.d.H.J., S.L.A.-P., R.F.S., A.M.M.L.), Faculty of Medicine, University of São Paulo, Brazil; CIEM MS Research Center (M.A.L.-P., N.T.), Federal University of Minas Gerais Medical School, Belo Horizonte, Brazil; Neuroimmunology Group (P.J.W., M.I.L.), Nuffield Department of Clinical Neurosciences, Oxford University, UK.
  • 在谷歌学术搜索找到这位作者
  • 在PubMed找到这位作者
  • 寻找作者在这个地点上
完整的PDF
引用
区分MOG抗体阳性和AQP4抗体阳性动谱系障碍
道格拉斯Kazutoshi佐藤,DagobertoCallegaro,马可·奥雷Lana-Peixoto,帕特里克J。水域,弗雷德里克·m·德·海达尔豪尔赫,Toshiyuki高桥,铃木一郎中岛美嘉,莎米拉路易莎Apostolos-Pereira,纳塔莉亚Talim,Renata法Simm,安吉丽娜玛丽亚马丁斯利诺,Tatsuro甜点,玛丽亚伊莎贝尔雷特,Masashi青木,Kazuo藤
首页 2014年2月, 82年 (6) 474 - 481; DOI:10.1212 / WNL.0000000000000101

引用管理器格式

  • 助理
  • 书挡
  • 值得
  • 尾注(标记)
  • 尾注8 (xml)
  • 枸杞
  • Mendeley
  • 论文
  • RefWorks标记
  • Ref经理
  • RIS
  • Zotero
权限

做出评论

看到评论

下载
8361年

分享

  • 文章
  • 数据与数据
  • 信息与信息披露
  • CME过程
加载

文摘

摘要目的:评估患者临床特征与视neuromyelitis谱系障碍(NMOSD)髓少突细胞糖蛋白(MOG)抗体,aquaporin-4 (AQP4)抗体,抗体或seronegativity。

方法:患者的血清诊断出患有NMOSD 1 3中心(2网站在巴西和1网站在日本)检测撤走,AQP4抗体用细胞检测转染细胞。

结果:在215 NMOSD患者,7.4%(16/215)为MOG抗体阳性,64.7%(139/215)患者AQP4抗体阳性。没有这两个抗体阳性患者。MOG抗体代表患者21.1%(16/76)的患者为AQP4抗体阴性。与AQP4抗体或病人血清反应阴性的患者,患者MOG抗体更频繁的男性,更受限制的表现型(视神经超过脊髓),更频繁地举行了双边同时视神经炎,经常只有一个攻击,有脊髓病变分布在较低的部分的脊髓,攻击后,通常表现出更好的功能恢复。

结论:NMOSD患者MOG抗体具有不同的临床特征,更少的攻击,和比AQP4抗体或病人血清反应阴性的患者更好的恢复为抗体。

术语表

亚当=
急性脱髓鞘性脑脊髓炎;
安娜=
抗核抗体;
AQP4=
aquaporin-4;
CBA=
细胞试验;
eds=
扩大残疾状态量表;
免疫球蛋白=
免疫球蛋白G;
LETM=
纵向广泛的横向脊髓炎;
MOG=
髓鞘少突细胞糖蛋白;
女士=
多发性硬化症;
动=
视neuromyelitis;
NMOSD=
视neuromyelitis谱系障碍;
在=
视神经炎

Neuromyelitis视(动)的特点是严重袭击视神经炎(上)和纵向广泛的横向脊髓炎(LETM)使用3种或3种以上椎段脊髓病变MRI观察。1有限形式的疾病被称为动谱系障碍(NMOSD)。NMOSD目前包括在患者或LETM(单或复发事件LETM或复发性或同时两国)。2大约90%的患者动和超过一半的NMOSD患者自身抗体阳性对aquaporin-4 (AQP4)。3,4因此,基于患者的比例或NMOSD仍然AQP4 antibody-negative尽管使用最好的化验血清样本期间收集的任何治疗之前急性发作。

最近,自身抗体对髓少突细胞糖蛋白(MOG)报告了4患者临床诊断与NMOSD和消极AQP4抗体。5High-titer MOG抗体主要是免疫球蛋白G(免疫球蛋白)1亚型和有效地调节补体依赖细胞毒性体外。6然而,这些先前的研究进行全面的功能可能区分AQP4抗体的患者和那些high-titer MOG抗体或那些负面的抗体,即使这些信息是有用的临床实践。在这项研究中,我们比较了临床、核磁共振、和实验室特点的患者high-titer MOG AQP4抗体和抗体与患者血清反应阴性的病人。

方法

患者和血清样本。

我们登记共有215名患者从三叔本研究中心:1)医院das丹尼,医学院,圣保罗大学巴西;2)中心的调查女士在米纳斯吉拉斯联邦大学,贝洛奥里藏特、巴西;和3)东北大学医院,日本仙台。我们包括儿童和成人患者收到明确的临床诊断动或NMOSD,目前包括一个攻击或复发患者LETM和双边同时或复发。为简单起见,我们使用术语NMOSD包含动校正和NMOSD。我们只包括连续患者随访的3人信息中心临床攻击,大脑和脊髓核磁共振成像,和血清抗体测试是可用的;7例患者排除由于缺乏信息(5 2 AQP4抗体和血清反应阴性的患者患者)。所有的病人血清反应阴性的AQP4和MOG抗体是全面调查,和替代诊断排除。巴西的血清样本中心被储存在−80°C在每个中心离心后,装上干冰仙台,日本,和存储在−80°C到分析。

AQP4和MOG抗体检测。

东北大学所有的血清样本进行分析来检测AQP4和MOG抗体。AQP4抗体的细胞试验(CBA)检测活细胞中被描述7利用hek - 293细胞稳定转染的AQP4 M23同种型。两个调查人员(D.K.S.和电汇)得分化验。这些样本也分析使用CBA MOG抗体的存在与生活暂时hek - 293细胞转染质粒含有完整的人类MOG cDNA(加利福尼亚州圣何塞pIRES2-Dsred2向量,BD生物科学,;P.J.W.)提供了使用FUGENE6转染剂(Promega Corp .)、麦迪逊、WI)。山羊反人类免疫球蛋白贴上Alexa488(表达载体,卡尔斯巴德,CA)被用作二次抗体转染后细胞暴露于病人的血清稀释。样本检测MOG抗体至少两次在1:128稀释,只有病人的样本被认为是正2观察员(D.K.S.和电汇)与高滴度被认为是积极的。看到病人的细节测试验证期间MOG e-Methods在抗体测定首页®网站www.首页neurology.org。MOG抗体后,积极性也证实了牛津大学P.J.W.盲评。的浓度化验都是半定量的计算连续使用两个稀释。

统计分析。

非参数测试(Wilcoxon测试)被用来比较的临床数据和CBA浓度组患者。分类数据的研究分析了使用Fisher精确检验,和p< 0.05被认为是重要的。

标准协议的审批、登记和病人的同意。

本研究进行的每个中心的伦理委员会批准,按照国际公认的道德标准。所有的研究参与者提供书面知情同意。

结果

总共有215 NMOSD患者包括:152年从巴西(圣保罗和贝洛奥里藏特)和63年从日本(仙台)。在这些患者中,7.4%(16/215)为MOG抗体阳性,64.7% (139/215)AQP4抗体阳性血清反应阴性的剩下的27.9% (60/215)。没有这两个抗体阳性患者。MOG抗体代表21.1%(16/76)的患者AQP4-antibody血清反应阴性的病例。

每个MOG抗体的患者的临床特点进行了总结表1。没有一个病人脑病或癫痫发作。患者在急性期,所有MOG抗体收到第四大剂量甲基强的松龙(3 - 5天1 g / d)作为一线治疗急性发作,其中87.5%(14/16)有经验良好的复苏。只有一个患者严重LETM攻击,tetraparesis,尿潴留,和感官Th10及以下水平,进一步用5次血浆置换治疗。然而,这个病人只有部分复苏躯干和上肢的运动强度,剩下的半身不遂,没有肠/膀胱控制。

把这个表:
  • 内联视图
  • 查看弹出
  • 下载演示文稿
表1

16个病人的临床特点与NMOSD MOG抗体

中值(范围)MOG抗体滴度高患者的单一攻击比复发患者(4096 [128 - 32768]vs 384(128 - 4096),分别p= 0.0193)。之后,我们能够确认持续积极连续MOG抗体后7例样本值(范围)246(34 - 400)天。

比较人口和主要临床综合征特征根据抗体的地位。

患者中,168例女性,47个是男性。女:男性比率为7.2:1.0 AQP4抗体组(122/17)和2.0:1.0血清组(40/20)。相比之下,男性成为主流(比0.6:1.0 [6/10])MOG抗体组。平均发病年龄为37.5岁(范围)(3 - 70)年MOG抗体的患者,37(4 - 78)年AQP4抗体,患者和32.5(10 - 69)患者血清反应阴性的(p= 0.0915)。

组患者中遇到的标准明确的动(n = 101),只有1例MOG抗体,而大多数AQP4抗体(84.2%[85/101])和14.8%(15/101)血清反应阴性的。我们发现12一个攻击患者送给最初脊髓炎,从而实现明确的动标准在第一次袭击。其中,1病人MOG抗体,8 AQP4抗体,血清反应阴性的3。

组患者中只有LETM, 6.4%(5/78)有MOG抗体,AQP4抗体55.1%(43/78),38.5%(30/78)血清反应阴性的。双边同时或复发的患者中,27.8%(10/36)有MOG抗体,AQP4抗体30.5%(11/36),41.7%(15/36)血清反应阴性的。

人口统计学和临床特点的比较患者MOG抗体,AQP4抗体,患者血清反应阴性的病人了表2和表e 1。

把这个表:
  • 内联视图
  • 查看弹出
  • 下载演示文稿
表2

比较患者之间的临床特征与MOG NMOSD抗体,AQP4抗体,血清反应阴性的病人

比较详细的MOG患者之间的临床特征和AQP4抗体和血清反应阴性的病人。

总共155名患者阳性MOG或AQP4抗体。脑干症状通常报道AQP4抗体阳性患者,如持续恶心/呕吐发作时间超过48小时,40.6%(56/139)的患者中发现了AQP4抗体,而只有一个MOG抗体和11.7%(7/60)患者的血清反应阴性的患者报告了类似的症状在攻击(p< 0.0001)。顽固性呃逆患者只报道AQP4抗体和血清反应阴性的病人(0(0/16)和23.7%(33/139)和1.7%(1/60)患者MOG抗体,患者AQP4抗体和血清反应阴性的患者,分别;p< 0.0001)。痛苦的强直性痉挛中6.3%(1/16)的患者MOG抗体,42.5%(59/139)的患者AQP4抗体,血清反应阴性的患者的31.7% (19/60)(p= 0.0073)。

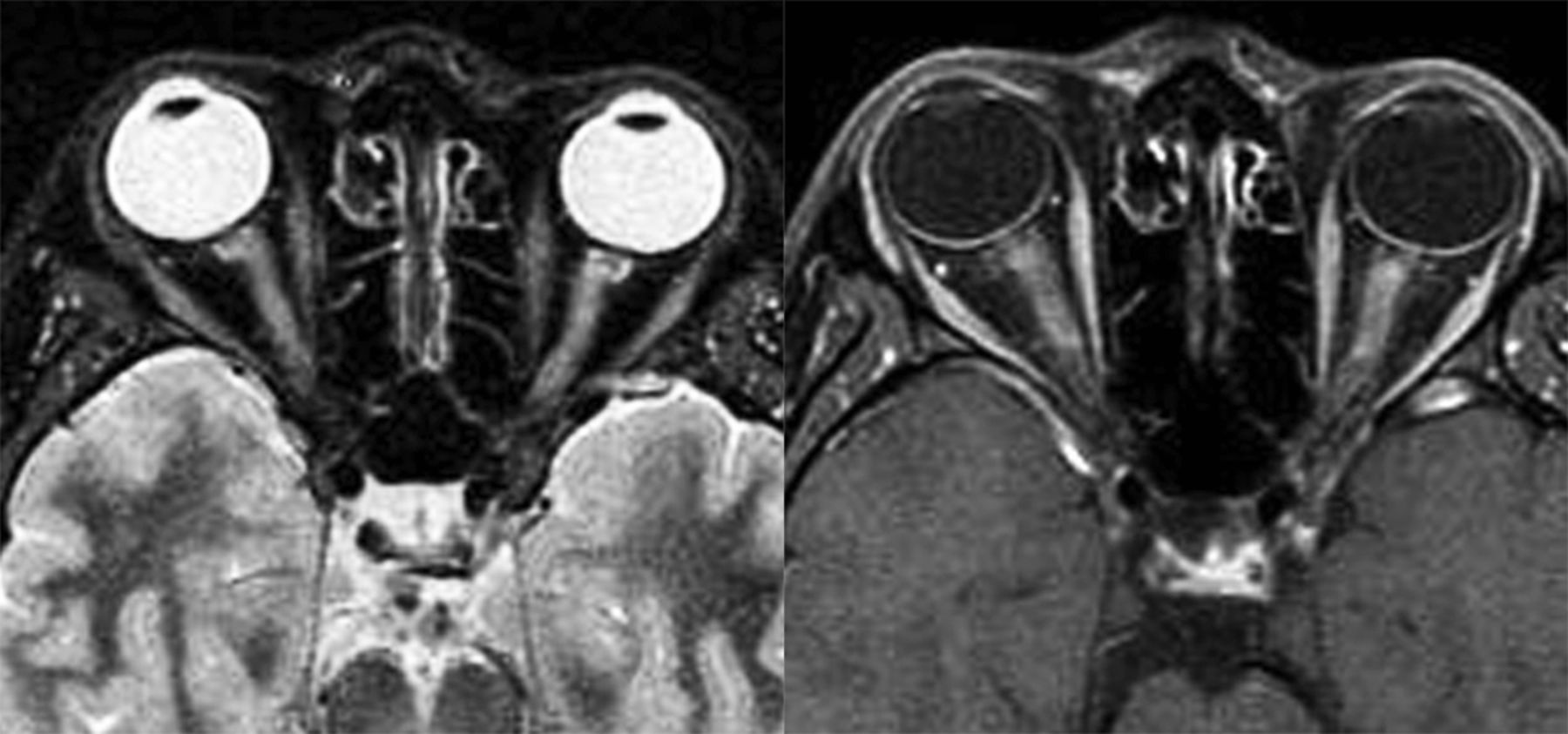
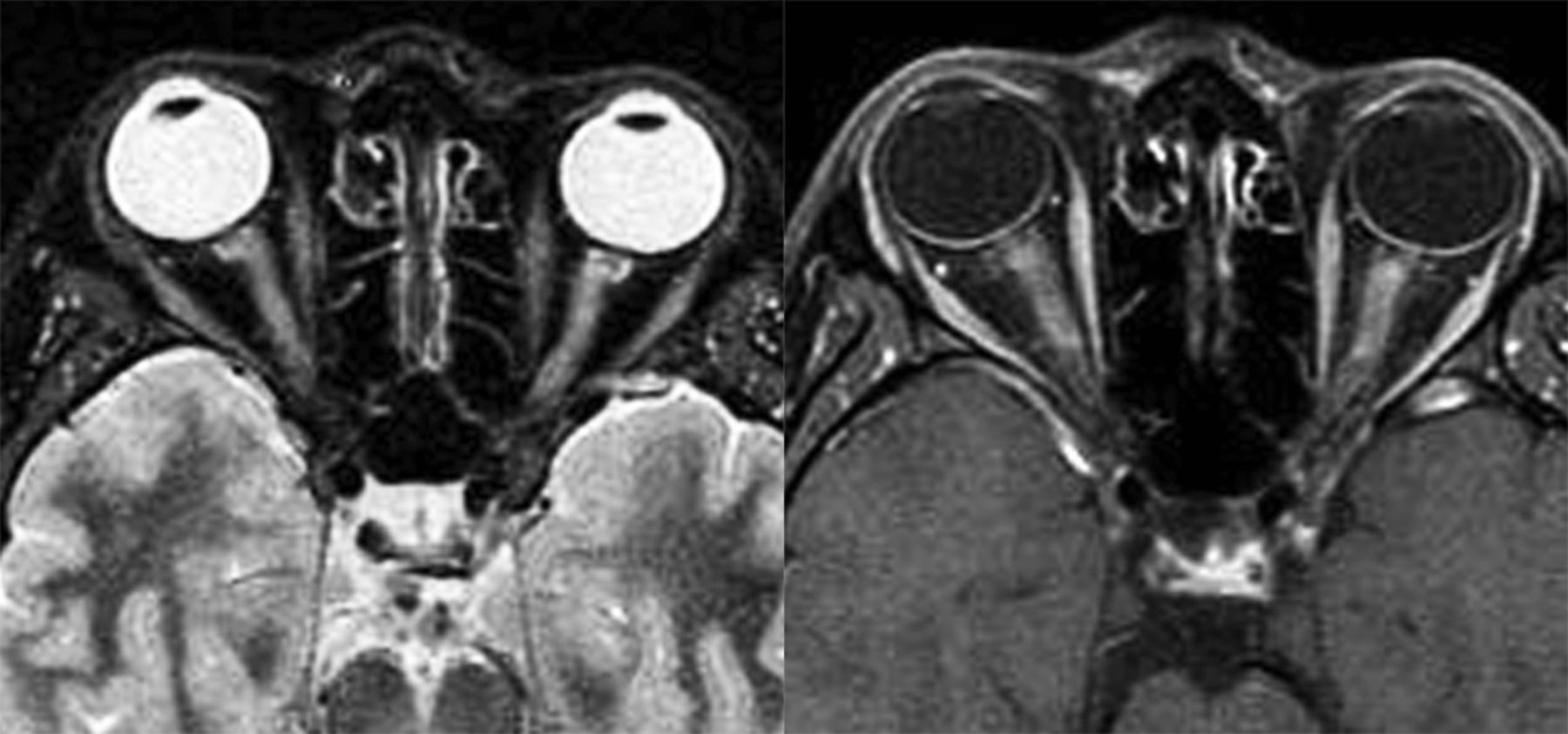
患者在攻击,我们发现18.8%(3/11)的MOG抗体群,AQP4抗体组的72.9%(72/96),和46.7%(14/30)的血清反应阴性的组视力< 20/200 (p= 0.0010)。一个病人(9.1%)为MOG抗体阳性,30.2%(29/96)的患者AQP4抗体阳性,13.3%(4/30)的血清反应阴性的患者没有光感知后的攻击。双边、同时袭击所有组中观察到,但这样的攻击更常见MOG患者抗体(见说明成像扫描图1)比AQP4抗体或人血清(72.7%(8/11)和24.0%(23/96)和36.7%(11/30),分别;p= 0.0035)。

图1
  • 下载图
  • 打开新标签
  • 下载演示文稿
图1 双边视神经炎患者MOG抗体

轴向短TI反转恢复(搅拌),与钆t1加权磁共振视神经的28岁男子与两国同时视神经炎和髓少突细胞糖蛋白(MOG)抗体(效价1:4,096)显示与对比度增强双边搅拌hyperintense病变。

单个攻击患者占50.0%(8/16)的患者MOG抗体和16.6%(23/139)的患者AQP4抗体(p= 0.0044)。在这些患者中,中值(范围)后续没有不同患者MOG抗体,AQP4抗体,和人血清反应阴性的(1(-)和2(1-27)和1(划分)年,分别;p= 0.3046)。残疾中位数在最后访问单个攻击后以扩大残疾状态量表(eds) 2(范围0 - 5)MOG抗体阳性组,6 (2 - 8.5)AQP4抗体阳性组,和4.5(鹿)血清反应阴性的集团(p= 0.0173)。

复发患者MOG抗体(n = 8)的平均随访4.5年(范围最近),与8年(范围0-45)患者AQP4抗体和血清反应阴性的患者的3年(范围0-32)(p= 0.0046),但没有MOG患者之间的差异和AQP4抗体(p= 0.1493)之间或MOG抗体和那些患者血清反应阴性的(p= 0.5399)。MOG复发患者阳性抗体有较低的平均数量的攻击比患者阳性AQP4抗体和血清反应阴性的人(2(2 - 3)和4(2-33)和3(最近),p= 0.0011),最有可能因为更高的值(范围)的骨髓炎袭击数量在AQP4抗体和患者的血清反应阴性的(0(0 - 2)和2(0 30)和2(0-15),分别;p= 0.0026)。然而,一年一度的复发率没有复发性疾病的患者中不同MOG抗体(0.5[0.1 - 1]),那些AQP4抗体(0.7[0.1 - 4]),和那些血清反应阴性的(0.9 (0.1 - 4),p= 0.1453)。中值(范围)eds的最后一次访问患者复发性疾病患者为1.5 (1 - 8)MOG抗体,5.5 (1 - 8.5)AQP4抗体,患者和4(1 - 7)血清反应阴性的患者(p= 0.0125)。MOG患者抗体明显似乎有一个更好的结果无论病程。

比较患者的MRI结果MOG抗体,AQP4抗体,患者和血清反应阴性的患者。

脑MRI异常出现在37.5%(6/16)的患者MOG抗体,AQP4抗体,患者的56.8%(79/139)和56.7%(34/60)的血清反应阴性的病人。髓病变通常与坚持有关恶心/呕吐或打嗝集NMOSD观察在一个单一的MOG抗体,患者的12.9%(18/139)的患者AQP4抗体,血清反应阴性的患者的3.3% (2/60)。

脊髓病变MRI中37.5%(6/16),92.1%(128/139)和71.7%(43/60)的患者MOG抗体,患者AQP4抗体和血清反应阴性的患者,分别为(表3依照表)。病变患者的MOG抗体分布更频繁地在胸腰椎地区(图2)。相比之下,AQP4抗体和血清反应阴性的病人有更多的患者病变分布在颈胸的地区。MOG抗体(6/6)的患者,所有患者血清反应阴性的(43/43)和89.1%(114/128)的患者AQP4抗体损伤覆盖3或更多椎段脊髓MRI矢状。中值(范围)的椎段最长的脊髓损伤患者是6.5 (3 - 14)MOG抗体,AQP4抗体,患者6(-)和4.5(3-19)血清反应阴性的患者(p= 0.3658)。的中央部分的参与脊髓轴向脊髓MRI发现66.7%(4/6)的患者MOG抗体,AQP4抗体,患者的89.8%(115/128)和79.1%(34/43)的血清反应阴性的患者(p= 0.0721)。

把这个表:
  • 内联视图
  • 查看弹出
  • 下载演示文稿
表3

患者的MRI和实验室发现NMOSD MOG抗体,与AQP4抗体NMOSD患者,血清反应阴性的病人

图2
  • 下载图
  • 打开新标签
  • 下载演示文稿
图2 复发性纵广泛的横向脊髓炎患者MOG抗体

矢状t2加权MRI脊髓的一个6岁的女孩与复发性纵广泛的横向脊髓炎和髓少突细胞糖蛋白(MOG)抗体(效价1:1,024)显示2纵向广泛的病变。在t1矢状序列,在胸腰椎损伤过渡环对比度增强。

实验室的比较发现患者MOG抗体,AQP4抗体,患者和血清反应阴性的病人。

分析脑脊液中可用73.4%(158/215)的患者,但没有3组之间的差异结果。抗核抗体(ANA)患者血清中经常被发现少MOG抗体比其他组。其他抗体不是不同的频率在3组(表3)。

比较患者的长期治疗使用的MOG抗体,AQP4抗体,患者和血清反应阴性的患者。

MOG抗体的患者中,56.3%(9/16)为复发预防口服皮质类固醇,而口服糖皮质激素使用的80.6%(112/139)的患者AQP4抗体和56.7%(34/60)的患者血清反应阴性的(p= 0.0007)。用药与MOG 25.0%(4/16)的患者使用抗体,AQP4抗体,患者的54.7%(76/139)和38.3%(23/60)的患者血清反应阴性的(p= 0.0166)。一个MOG抗体,患者的8.6%(12/139)患者AQP4抗体,和3.3%(2/60)的血清反应阴性的病人使用米托蒽醌。MOG抗体,患者的8.6%(12/139)的患者AQP4抗体,血清反应阴性的病人使用利妥昔单抗,只有1。

讨论

我们比较AQP4患者和MOG抗体接受NMOSD的临床诊断。我们也比较的一些病人血清反应阴性的患者的临床特征。MOG抗体的患者往往有一个或一个低数量的攻击,而AQP4抗体的患者更有可能是典型的动患者,复发的疾病,其特征是严重和LETM攻击,如前所述。1复苏的程度,来衡量eds和视力,也表明患者MOG抗体攻击后往往有更好的恢复。然而,重要的是要强调一些MOG患者抗体经验严重残疾或LETM袭击后,因此这组患者可能不会恢复得很好。

我们的研究结果表明,MOG患者抗体实现的基于标准最近报道5实际上可能是罕见的。一些NMOSD例MOG抗体报道之前(表e - 3)和单一动情况下在我们的研究中有一个单相表示在和骨髓炎发生在同一攻击,类似于原始描述尤金·德维克于1894年。事实上,其中一些患者MOG抗体和单一攻击过去和当前的研究可能有空间有限形式的急性脱髓鞘性脑脊髓炎(ADEM)但是没有脑病和典型的脑损伤,这可能模仿NMOSD。然而,我们还发现复发患者持续MOG抗体,这不是通常在亚当,排除了这一假说的概括所有的病人。

强烈的女性患者的优势AQP4抗体不存在MOG抗体组,和更低的女性:男性比率在血清反应阴性的患者被发现。类似的差异女性:男性疾病之间的比例(与MOG抗体和AQP4抗体)观察到的在以前的较小规模的研究5,6这一发现似乎平行血清ANA积极性。相比之下,同样的MOG抗体介入疾病,亚当似乎没有性别偏见。8

我们发现不同的空间分布之间的MRI脊髓损伤患者MOG抗体和AQP4抗体。AQP4抗体的患者经常有宫颈病变,包括一些扩展髓地区,而患者MOG抗体更频繁地一直腰椎脊髓损伤扩展。脑干症状,持续恶心/呕吐、呃逆等,作为NMOSD之前报道,9,10AQP4抗体组更常见的MOG抗体或血清反应阴性的组。在该地区典型病理动病变postrema尸检标本中发现了AQP4抗体阳性患者,11虽然没有进行病理研究MOG抗体,患者没有病变区域postrema预计将在这个组。

尽管MOG抗体已被证明是潜在的致病性和有效激活补体体外,这些抗体已报告在各种各样的脱髓鞘疾病,比如ADEM和多发性硬化症(MS)、12特别是在儿科人口,13,14并在NMOSD也。6可能不同的抗体检测或群体确定作用在明显nondisease MOG的特异性抗体。可以说MOG抗体的存在在许多不同的疾病,可能目前限制使用MOG抗体测定的具体诊断的生物标志物,以及其他有可能未被发现的可能存在自身抗体的血清反应阴性的病人。然而,重要的是要考虑到排除NMOSD患者AQP4抗体,这些诊断目前基于临床和MRI特征。由于研究设计,MOG抗体患者收到ADEM和MS的诊断并不包括在这项研究中,我们研究发现目前限于NMOSD病人诊断。MOG抗体阳性的患者,无论他们是否有一个攻击或复发性疾病,有一些独特的临床表现特征,通常更少的攻击,比患者更好的恢复攻击后AQP4抗体或血清反应阴性的病人。长期前瞻性研究需要进一步调查患者是否单一攻击和MOG抗体与复发患者临床诊断外,女士,或NMOSD-have单一的疾病,但在一些不同的临床表型,疾病,和治疗反应。

作者的贡献

研究设计和概念化:位佐藤,中岛美嘉,A.M.M.漆布,d . Callegaro, k .藤。起草文稿:位佐藤,t .高桥中岛美嘉,P.J.水域,M.I.雷特,和k .藤。数据的采集、分析和解释:位佐藤,F.M.d.H。豪尔赫,S.L. Apostolos-Pereira, n . Talim t .高桥P.J.水域,中岛美嘉,d . Callegaro, Lana-Peixoto硕士学位。统计分析:位Sato、t .高桥和中岛制作。关键的修订手稿:位佐藤,P.J.水域,M.I.雷特,中岛美嘉,t .甜点,t .高桥水Simm, A.M.M.漆布,k .藤和m .青木。

研究资金

支持KAKENHI(22229008)教育部,文化,体育,科学和技术(下边了)的日本,和卫生和劳动科学研究资助棘手的疾病(神经免疫疾病)卫生部、劳动和福利的日本。

信息披露

d佐藤收到奖学金从教育部,文化,体育,科学和技术(下边了)日本和收到一郎的研究支持Kanehara基础。d . Callegaro和m . Lana-Peixoto报告没有披露。p .水域是一个名叫发明家和已收到版税抗体检测,并收到生原体议长谢礼Idec日本。f·豪尔赫和t .高桥报告没有披露。即中岛美嘉已收到资助旅行和收到拜耳先灵葆雅制药和议长谢礼生原体Idec也收到了来自三菱化学研究经费Medience公司和从教育部科学研究补助金,日本的科学技术。s . Apostolos-Pereira n . Talim r . Simm, a漆布报告没有披露。t .甜点已经收到拜耳先灵葆雅制药公司发言人谢礼,Idec日本,三菱田边制药公司,透医疗有限公司和安斯泰来制药有限公司,并收到拜耳先灵葆雅制药研究支持,Idec日本,透仓敷聚酯纤维医疗有限公司Chemo-Sero-Therapeutic研究所,梯瓦制药株式会社、三菱田边制药公司,帝人制药和补助金从教育部科学研究,科学和技术,和卫生部、劳动和福利的日本。m·雷特是由NHS国家视Neuromyelitis专业调试组英国NIHR牛津大学生物医学研究中心,并已收到生原体来说谢礼Idec从诺华和差旅补助。m .青木报告没有披露。k .藤是拜耳先灵葆雅制药科学顾问委员会,Idec,三菱田边制药公司,诺华制药,Chugai制药、小野制药、日本制药、默克公司Serono, Alexion制药、落实和医疗检查; has received funding for travel and speaker honoraria from Bayer Schering Pharma, Biogen Idec, Eisai Inc., Mitsubishi Tanabe Pharma Corporation, Novartis Pharma, Astellas Pharma Inc., Takeda Pharmaceutical Company Limited, Asahi Kasei Medical Co., Daiichi Sankyo, and Nihon Pharmaceutical; serves as an editorial board member of临床和实验神经免疫学(2009 -现在)和一个顾问委员会的成员斯里兰卡的神经学》杂志上首页;已经收到拜耳先灵葆雅制药研究支持,Idec日本,透医疗、Chemo-Sero-Therapeutic研究所梯瓦制药,三菱田边制药公司,帝人制药,Chugai制药、小野制药、日本制药、和Genzyme日本;和资助二级研究员(22229008,,2010 - 2015年)从教育部科学研究补助金,日本科技和二级研究员的科研补助金来自卫生部、福利和劳动的日本(2010年至今)。去首页Neurology.org为充分披露。

承认

作者感谢Paula Zago博士,何塞·安东尼奥·Livramento博士,博士伊丽莎白女王Comini Frota, Sayuko Kasahara,卡琳娜Suera Bosso技术援助。

脚注

  • 去首页Neurology.org为充分披露。资金信息和披露认为作者相关的,如果有的话,年底提供这篇文章。

  • 编辑、页面466年

  • 补充数据www.首页neurology.org

  • 收到了2013年6月9日。
  • 接受的最终形式2013年9月23日。
  • ©2014美国神经病学学会的首页

这是一个开放的分布式根据条Creative Commons Attribution-Noncommercial没有导数3.0许可协议,允许下载和共享工作提供适当的引用。工作不能以任何方式改变或商业使用。

引用

  1. 1。↵
    1. WingerchukDM,
    2. HogancampWF,
    3. O ' brien个人电脑,
    4. WeinshenkerBG
    。视的临床课程neuromyelitis(德维克氏综合征)。首页1999年;53:1107年- - - - - -188金宝慱官网下载1114年。
    OpenUrl 文摘/免费的全文
  2. 2。↵
    1. WingerchukDM,
    2. 列侬弗吉尼亚州,
    3. LucchinettiCF,
    4. PittockSJ,
    5. WeinshenkerBG
    。视neuromyelitis的频谱。柳叶刀神经2007年;6:805年- - - - - -815年。
    OpenUrl CrossRef PubMed
  3. 3所示。↵
    1. 高桥T,
    2. 藤K,
    3. 中岛美嘉我,
    4. 等
    。Anti-aquaporin-4抗体参与动校正的发病机制:研究抗体滴定度。大脑2007年;130年:1235年- - - - - -1243年。
    OpenUrl 文摘/免费的全文
  4. 4所示。↵
    1. 水域PJ,
    2. 麦肯一个,
    3. 雷特心肌梗死,
    4. 等
    。血清学诊断动:多中心比较aquaporin-4-IgG化验。首页2012年;78年:665年- - - - - -671年。
    OpenUrl 文摘/免费的全文
  5. 5。↵
    1. KitleyJ,
    2. Woodhall米,
    3. 水域P,
    4. 等
    。视Myelin-oligodendrocyte糖蛋白抗体在成人neuromyelitis表现型。首页2012年;79年:1273年- - - - - -1277年。
    OpenUrl 文摘/免费的全文
  6. 6。↵
    1. 马德尔年代,
    2. GredlerV,
    3. SchandaK,
    4. 等
    。补体激活视neuromyelitis髓少突细胞糖蛋白抗体和相关疾病。J神经炎症2011年;8:184年。
    OpenUrl CrossRef PubMed
  7. 7所示。↵
    1. 佐藤DK,
    2. 中岛美嘉我,
    3. 高桥T,
    4. 等
    。Aquaporin-4抗体阳性病例超出目前动谱系障碍诊断标准。首页2013年;80年:2210年- - - - - -2216年。
    OpenUrl 文摘/免费的全文
  8. 8。↵
    1. de SezeJ,
    2. Debouverie米,
    3. ZephirH,
    4. 等
    。急性暴发性脱髓鞘疾病:60名患者的描述性研究。拱神经2007年;64年:1426年- - - - - -1432年。
    OpenUrl CrossRef PubMed
  9. 9。↵
    1. 甜点T,
    2. 藤K,
    3. 中岛美嘉我,
    4. 佐藤年代,
    5. ItoyamaY
    。棘手的打嗝和恶心视neuromyelitis周围病变。首页2005年;65年:1479年- - - - - -1482年。
    OpenUrl 文摘/免费的全文
  10. 10。↵
    1. 佐藤D,
    2. 藤K
    。非典型视neuromyelitis的演讲。Arq Neuropsiquiatr2011年;69年:824年- - - - - -828年。
    OpenUrl CrossRef PubMed
  11. 11。↵
    1. Popescu男朋友,
    2. 列侬弗吉尼亚州,
    3. 帕里我,
    4. 等
    。视Neuromyelitis独特的区域postrema病变:恶心,呕吐,和致病性的影响。首页2011年;76年:1229年- - - - - -1237年。
    OpenUrl 文摘/免费的全文
  12. 12。↵
    1. 奥康纳KC,
    2. 麦克劳林卡,
    3. De JagerPL,
    4. 等
    。自体抗原四聚体区分髓磷脂自身抗体本机或变性蛋白。Nat地中海2007年;13:211年- - - - - -217年。
    OpenUrl CrossRef PubMed
  13. 13。↵
    1. Probstel正义与发展党,
    2. DornmairK,
    3. BittnerR,
    4. 等
    。抗体MOG瞬态在儿童急性播散性脑脊髓炎。首页2011年;77年:580年- - - - - -588年。
    OpenUrl 文摘/免费的全文
  14. 14。↵
    1. Reindl米,
    2. Di泡利F,
    3. RostasyK,
    4. 伯杰T
    。MOG的光谱autoantibody-associated脱髓鞘疾病。Nat牧师神经2013年;9:455年- - - - - -461年。
    OpenUrl CrossRef PubMed

信:快速的网络通信

  • 回应:Anti-MOG +:一个神秘的未知
    • 道格拉斯·K。佐藤,神经学家,东北大学医学院douglas.sato@med.tohoku.ac.jp
    • 道格拉斯Kazutoshi Sato、仙台、日本;继同行工人达戈贝托- Callegaro -,圣保罗,巴西;Marco Aurelio Lana-Peixoto贝洛奥里藏特、巴西;一郎中岛美嘉、仙台、日本;Kazuo藤、仙台、日本
    2014年5月12日提交
  • Anti-MOG +:一个神秘的未知
    • Xueqiang胡,医生,多发性硬化症中心、神经学、中山大学第三附属医院首页huxueqiangzssy@qq.com
    • 锋毛,Zhengqi Lu Xueqiang胡锦涛
    2014年3月11日,提交
  • 应对“存在anti-AQP4 +和anti-MOG + neuromyelitis视严重复发性视神经炎”
    • 道格拉斯·K。佐藤,神经学家,东北大学医学院douglas.sato@med.tohoku.ac.jp
    • 道格拉斯Kazutoshi Sato、仙台、日本;Toshiyuki高桥、仙台、日本;Patrick j .水域,牛津大学,英国;Kazuo藤、仙台、日本
    2014年2月报告,提交
  • 存在anti-AQP4 +和anti-MOG + neuromyelitis视与严重的复发性视神经炎
    • 武Kezuka,副教授,东京医科大学眼科学系tkezuka@tokyo-med.ac.jp
    • 武Kezuka、东京、日本;Keiko田中,石川,日本;Yoshimishi Matsunaga、东京、日本;Hiroshi Goto,东京,日本
    2014年1月28日提交
评论

需求

你必须确保披露已经过去6个月内更新。请到我们的提交网站添加或更新你的披露信息。

你的合作者必须发送完成出版协议形式来首页员工(不是必要的领导/通讯作者如下表单就足够了)在你上传你的评论。

如果你回复评论,写过一篇文章你最初撰写:
你(和合作者)不需要填写表单或检查信息披露作为作者形式仍然有效
和申请信。

提交规格:

  • 提交必须与< < 200字5引用。参考1必须你评论的文章。
  • 提交不应该超过5作者。(例外:原作者回复可以包括所有原始作者的文章)
  • 6个月内提交只在文章发表日期的问题。
  • 不会是多余的。读任何评论已经张贴在本文之前提交。
  • 提交评论编辑和编辑审查发布之前。

更多的指导方针和信息在争议和辩论

写评论

关于文本格式的更多信息

纯文本

  • 不允许HTML标记。
  • 网页地址和电子邮件地址自动转化为链接。
  • 行和段落自动打破。
作者信息
注:第一作者的作者也必须相应的评论。
第一次或名字,如。“彼得”。
最后,或家庭,名字,如。“MacMoody”。
你的电子邮件地址,例如higgs-boson@gmail.com
你的角色和/或职业。“整形外科医生”。
您的组织或机构(如果适用),例如:“皇家自由医院”。
出版协议
注意:所有作者,除了第一/通讯作者,必须完成一个独立的出版协议形式前向编辑部提供通过电子邮件可以发表评论。
验证码
这个问题测试你是否人类访问者,并防止自动垃圾邮件提交。

垂直制表符

你可能也会感兴趣

回到顶部
  • 文章
    • 文摘
    • 术语表
    • 方法
    • 结果
    • 讨论
    • 作者的贡献
    • 研究资金
    • 信息披露
    • 承认
    • 脚注
    • 引用
  • 数据与数据
  • 信息与信息披露
  • CME过程

更多的网上

CME过程

前瞻性群组研究抑郁症的孕期和产后女性癫痫与对照组

Andres Kanner博士和拉奎尔·洛佩兹

►看

相关文章

  • 视neuromyelitis的两副面孔

主题讨论

  • 所有的脱髓鞘疾病(中枢神经系统)
  • 德维克氏综合征
  • 急性播散性脑脊髓炎
  • 横向脊髓炎

提醒我

  • 提醒我当eletters出版

推荐的文章

  • 文章
    髓鞘少突细胞糖蛋白抗体在双边和复发性视神经炎
    Ramanathan Sudarshini斯蒂芬·w·Reddel安德鲁·亨德森et al。
    首页神经病学,神经免疫学神经炎症,2014年10月29日
  • 观点和评论
    国际共识视neuromyelitis谱系障碍的诊断标准
    迪恩·m·Wingerchuk Brenda Banwell,班纳特Jeffrey l . et al。
    首页神经学,2015年6月19日
  • 文章
    视Neuromyelitis谱系障碍在儿童和青少年
    西尔维亚Tenembaum, Tanuja Chitnis,铃木一郎中岛美嘉et al。
    首页神经学,2016年8月29日
  • 文章
    小儿视神经炎
    大肠安叶,詹妮弗·s .坟墓,莱斯利·a·本森et al。
    首页神经学,2016年8月29日
首页神经学:100 (20)

文章

  • 提前打印
  • 最新一期
  • 过去的问题
  • 受欢迎的文章
  • 188app下载

关于

  • 关于期刊
  • 道德政策
  • 188app
  • 1888博金宝
  • 做广告

提交

  • 作者中心
  • 提交一份手稿
  • 信息审核人员
  • 河畔的指导方针
  • 权限

用户

  • 订阅
  • 激活订阅
  • 报名参加eAlerts
  • RSS提要
网站的标志
  • 神经学访问模首页板在Facebook上
  • 在Twitte首页r上关注神经病学模板
  • 访问YouT首页ube上的神经学
  • 首页
  • 首页神经学:临床实践
  • 首页神经学:教育
  • 首页神经学:遗传学
  • 首页神经学:神经免疫学和神经炎症
  • AAN.com
  • AANnews
  • 连续体
  • 大脑和生活
  • 首页今天神经学

Wolters Kluwer标志

首页神经病学|打印ISSN:0028年- - - - - -3878年
在线ISSN: 1526 - 632 x

188金宝搏官网登录

  • 隐私政策
  • 反馈
  • 做广告
Baidu
map