路易体痴呆与
信度和效度的临床和病理标准
文摘
和路易体痴呆临床标准(下文)已经提出,但是他们的配方,可靠性和有效性需要进一步研究。病理条件下文也接受进化论。进行了两项研究,目的是确定这些进化的组件标准可能受益于进一步细化;一项研究评估临床标准的组件,为下文另一项研究实施病理条件。24患者发病前的可能或可能的诊断阿尔茨海默病(AD) (n = 18),帕金森病(PD) (n = 5),或进行性核上的麻痹(PSP) (n = 1)进行了研究。两分的信度和效度的临床标准测定了回顾性的图表总结,由五个神经病学家,蒙蔽病理评估。该财团与路易体痴呆(CDLB)病理标准实施比较过去的标准和测试的有效性进化痴呆病人临床标准。三个或三个以上皮质字段(250 x放大)与许多(四个或更多)路易小体(磅)泛素免疫反应性的部分必须满足CDLB皮层得分> 6。十五的AD患者至少有一磅的皮质部分,四个有许多磅,而三个没有磅;所有运动障碍患者至少有一磅在皮质区。的敏感性和特异性比CDLB可能下文临床标准基于许多磅存在75% / 79%。 Reformulated clinical criteria that require the presence of extrapyramidal signs significantly predicted those patients with many LBs versus those with few or no LBs (chi squared = 5.48, p = 0.02) and increased clinical specificity to 100%. This preliminary study identifies components of the evolving clinical and pathologic criteria for DLB that require further refinement.
首页神经学1996;47:1403 - 1409
大脑从阿尔茨海默病(AD)患者类型皮质的变化揭示路易小体的存在(磅)在10 - 55%的患者。(1 - 7)尽管大多数痴呆患者磅也有广告病理学,有些病人有多个皮质病理磅,没有广告。[8]这些患者仅支持声称磅可能产生痴呆。在某种程度上与AD病理发生在许多认知完整的老年人,[12]磅被发现在131年只有2.3%的nondemented老人。[13]273年10岁和109岁之间认知的完整个体,磅的患病率为5.1%,在第九峰十年的12.8%。[14]虽然这个报告的低频率可能增加与穷举搜索磅和更敏感的免疫组织化学技术的使用在更广泛的人群,目前的数据表明,伦敦商学院是罕见的在正常老化的大脑。几磅的皮质的存在似乎并不产生痴呆;病理检查的100例帕金森病(PD)[15]显示至少有几个皮层磅每个病人但只有44%的病人痴呆综合征(三分之一的患者符合广告)病理诊断标准。
图表回顾伦敦商学院提供了患者临床资料,可以区分这些患者与其他广告。(5 9 16-27)解释这些研究是困难的,因为发展的临床资料与皮质磅没有测试常见病理条件。病理验证临床诊断有助于改善疾病的临床标准,从而提高了临死前的诊断的特异性。临床病理的相关性需要一个明确的病理标记,作为黄金标准的临床标准进行了比较。由于缺乏临床和病理标准协议障碍,或一组疾病,与皮质磅,一个财团与路易体痴呆(CDLB)建立指南路易体痴呆的临床和病理诊断(下文)。[28]CDLB指南下文之前至少有三个不同的病理条件和两套备用的临床标准。提出病理标准包括小坂,[25]佩里et al .,[24]和汉森et al。[5]两组的临床标准也提出CDLB标准派生(表1):麦基斯标准[26]和使用的标准财团建立注册为阿尔茨海默氏症(CERAD)。[29]
评估发展的临床和病理条件下文我们评估这些标准的敏感性和特异性neurobehavior诊所病人的样本。我们进行了两项研究:(1)临床研究评价的评分者间信度三组临床标准;和(2)一个病理研究,以确定诊断敏感性和特异性的临床标准。我们有替代临床和病理标准应用于这种比较的目的,确定组件的标准,需要进一步细化。
方法。
病人。
24痴呆或运动障碍患者neurobehavior诊所治疗的加州大学洛杉矶或西洛杉矶退伍军人医疗中心,其大脑被用于后续neuropathologic评价进行了研究。premortem这些病人的诊断包括可能或可能的广告定义的国家研究所的神经和交际障碍和中风/阿尔茨海默病及相关疾病协会(NINCDS-ADRDA)[30](n = 18),进行性核上的麻痹(PSP) (n = 1),和PD (n = 5)。入选标准为痴呆包括获得持续下降至少涉及三个以下领域:语言、记忆、视觉空间的技能、认知(计算、抽象、判断等),和情感或人格。[31]我们包括所有的临床研究痴呆患者运动障碍,评估临床医生的能力来检测可靠的症状和体征的临床标准。在病理研究中,我们只包括18患者发病前的诊断可能的可能的广告,因为它是这个人口直接病理的临床有效性标准。
Neuropathologic评估。
大脑缓冲福尔马林固定在10% 7到10天。染色6至8-micro m石蜡包埋的苏木精和伊红())以及免疫组织化学分析,由immunoperoxidase先前所描述的方法,[32]针对泛素抗体对所有的病人。部分检查包括大脑皮层(额叶,顶叶和颞),海马体,嗅皮质、扣带皮层,基底核、中脑。广告是使用CERAD病理的诊断标准[33]在遇到的患者临床标准的广告。[31]
先前提出的病理条件包括小坂[25]:5个或更多磅/ 100 x领域H&E-stained部分没有AD病理下文disease-pure形式),或与AD病理下文身上常见形式);佩里et al。[24]:“温和的数字边缘皮层…与不同的变量分布在皮层叶”广告病理学(老年性痴呆磅类型);和汉森et al。[5]:“大脑必须至少有一个磅”[34]公元脑干和大脑皮层病理(磅变体的广告),这组标准要求脑干评价是以H&E-stained准备一个皮层区域,颞回,是使用泛素免疫组织化学检查。CDLB病理指南采用半定量的范围从0到2,为皮层(时间、额叶或顶叶)或边缘(transentorhinal或扣带)面积未指明的视野,磅也指望)——或者ubiquitin-stained部分。得分为0 =没有磅,1 = 5磅,2 = > 5磅为每个区域。患者的总得分0到2被认为是脑干占主导地位的情况下,大量的3到6边缘(或临时)情况下,和皮层情况下如果他们的分数是7到10。
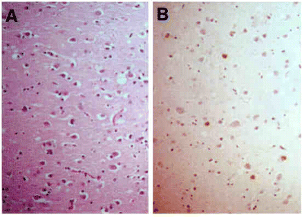
允许所有病理条件的比较我们使用半定量的方法。关于磅的发生,小坂的病理标准和汉森是明确的;佩里的标准,然而,在边缘皮层(“温和数字…变量分布在皮层叶”)留下了一些不确定什么构成一个“温和”的磅。CDLB得分只有模糊的尺寸到达一个地区使用的部分的得分;一些中心切大块和山x 75 - 38毫米幻灯片。控制字段的大小,我们使用半定量的评估在250 x放大(25 x客观/ 10 x接目镜),为每个病人的存在几磅=至少一磅,和许多磅=至少三个字段有四个或更多的磅。符合标准的佩里许多磅(至少三个250 x皮质字段与许多磅)是必需的。以满足CDLB 3到6分几磅需要发现;实现分数> 6许多磅需要发现。 The duration of search of a slide needed to find the single LB is not clear. In patients with few LBs and AD changes, the greatest difficulty is to distinguish a LB from a rounded neurofibrillary tangle (NFT), a structure that is also ubiquitin-immunoreactive. In these patients, we doublelabeled equivocal sections with antibodies against tau, which labels NFTs, as well as ubiquitin using an immunohistochemical system according to methods previously described (图1)。[32]这双标记过程帮助消除可能出现的假阳性的发生磅瞄准时只有ubiquitin-immunoreactive准备工作进行了研究。
统计分析。
在临床研究中两分的五个神经病学家之间可靠性(所有与培训在老年神经病学)应用临床标准确定了回顾性的图表总结。首页11个临床特征共同提取三个临床标准,提供一个清单表评论家。这些11体征和症状包括主要和次要临床特征的临床标准。图表评论家被要求显示“是”或“不”如果这些特性存在或缺失或“?”如果没有足够的信息在表格中。之间的协议和kappa评分反应百分比计算每个评论家和其他所有到达两分的成绩可靠性为每个迹象或症状。两分的回顾性的图表回顾可靠性分析24例,不管premortem诊断,评估临床医生检测症状和体征的能力的标准。敏感性和特异性值是基于共识协议版本(> = 5的评级机构)为每个迹象和症状得分由五个图表评论家。症状和体征的共识被根据三个临床中发现算法相结合表1。
在第二项研究中病理标准被用来测试的有效性临床标准只有公元18临床上可能或可能的病人。运动障碍患者并没有包括在这个病理研究以来众所周知,磅发生在所有PD[15]和一些PSP的病人。(35-38)
结果。
临床可靠性研究。
协议和百分比kappa评分对个人的三个临床症状和体征标准所示表2。波动测试结果,日常生活活动(ADLs),和混乱是最难以达成一致的标准。识别波动是必要的一个积极的诊断基于麦基斯,但不是CERAD或CDLB,标准。
病理研究的有效性。
十六岁的18可能或可能AD患者符合广告,病理诊断标准[33]和两个病人没有所需数量的ageadjusted病理符合广告标准(患者8和18)。应用三种病理的可靠性标准为有问题的部分是确保到达两个评论者之间的共识协议(M.S.M.和H.V.V.);可疑的磅和圆形的非功能性测试患者double-labeled也受到审查达成共识。的病理标准CDLB transitionaltype会在患者几磅,汉森的标准可以在病人会见了一些或许多磅,而佩里的标准和CDLB neocortical-type只会实现很多患者磅。没有病人遇到小坂的标准;我们无法确定自信皮质磅)准备即使相邻部分显示多个磅ubiquitin-immunostained准备(图2)。的CDLB过渡类型发生在11个病人,CDLB neocortical-type佩里(符合标准)发生在四个可能或可能AD患者;没有发现在三磅的可能或可能AD患者。两个痴呆患者不符合病理标准广告没有磅(病人18)或只有少数病人(8)。所有六个运动障碍患者(PSP = 1, PD = 5)磅出现在大脑皮层。病人的人口统计,临床标准结果(基于共识的症状和体征)和共识磅发现(很多,很少,没有)18痴呆病人所示表3。
与临床病理特征的相关性。
(表4)提供了一种比较的敏感性和特异性结果麦基斯,CERAD,可能CDLB临床标准(来源于共识症状和体征)基于至少一个(一些)或四个或更多(许多)磅250年至少有三个x皮质字段。使用两分的结果可靠性的最佳实施结合体征和症状是提取。这些包括:幻觉、齿轮硬度,动作迟缓,抑制神经的敏感性,和情景测试性能(即的证据。、认知的波动);应用共识只有三个患者症状和体征四个六症状和体征。这组新配方标准测试使用x平方分布(chi的平方)测试线性趋势和预测显示显著磅患者负担许多磅与那些很少或根本没有磅(x²= 5.48, df = 1, p = 0.02)。这些新配方的特异性临床标准(100%)优于所需的其他标准,许多磅病理诊断及其敏感性(75%)等于CERAD和CDLB标准。患者4有许多磅和伴随的AD病理但符合下文的临床诊断标准。这个病人不符合CERAD标准因为没有EPS或原因不明的意识下降/暗晦documented-one需要的除了他的历史幻想(唯一主CERAD症状存在)和他的“支持功能”的减肥和沮丧的情绪。病人不符合麦基斯标准,因为没有记录的波动。病人不符合可能CDLB标准,或者我们重新制定的标准,因为没有主要症状是礼物。 The patient did, however, have dyskinesia of the fingers during stressed gait. One might interpret this finding as evidence of a movement disorder. Another patient in this study with multiple LBs (patient 1) first presented with restless legs syndrome. Meige syndrome has also been reported as the presenting sign in a patient with subcortical LBs.[39]
讨论。
这项研究提供了一个新的视角下文的新兴实体。我们比较了可靠性,在五个神经病学家,确定下文的临床特征。临床标准的发展已经改变了权重给这些特性而不是自己的特性。在一个单独的病理研究我们确定发展的敏感性和特异性的临床标准,基于存在的许多皮质磅。我们实施CDLB[28]病理标准过渡和皮层下文通过定义一个视野,许多(四个或更多)磅在至少三个皮质250 x ubiquitin-immunoreactive部分字段将满足CDLB皮层下文的标准。虽然我们搜索多个脑区我们从来没有发现“很多磅”在皮层区域类似的数量没有出现在边缘皮质。这一发现是在协议与他人和支持CDLB边缘(或过渡)阶段的早期表现磅负担。我们赞成的病理诊断下文被发现只有当许多磅在边缘和大脑皮层(CDLB皮层阶段)。
这项研究表明下文的进一步细化的临床标准。我们两分的体征和症状的评估可靠性下文已经确定需要改进的一些特性来最大化他们的应用程序在临床设置。百分比之间的协议5神经学家下文的体征和症状的存在反映了这些临床特征(见难以识别表3)。最困难的特征来识别波动。很难同意要么ADLs波动的存在,测试性能,或混淆的主要缺点是麦基斯标准。CDLB标准应对这个困难,不需要诊断的波动。每日波动不应该包括“太阳喝”症状,如麦基斯et al。[26]指出,但明确的实施标准区分异常fluctuation-different日常变化的“典型的广告”病人仍然缺乏。照顾者可能不准确的报告。我们同意,波动是重要的在确定路易体痴呆包括波动测试性能作为一个项目在我们的新配方因为测试结果可以量化的标准。自“典型的广告“病人失去细微精神状态检查约3[40]每年(MMSE)点,(41、42)我们建议在细微精神状态检查中分数波动5或更多的点在三政府在6个月时间内可以达到这一标准。一半的患者目前达成一致协议测试性能波动5或更大的变化对患者的6个月(另外50%的波动的关注或单词列表内存)。未来临床标准的细化将达到一个更好的波动标准的标准化,使其临床应用更可靠。
CERAD标准展示了可怜的特异性,部分零花钱的错觉作为主要标准。错觉是常见的广告,影响40 - 70%的病人。(43-50)虽然幻想很容易检测,显示一个两分的92%的可靠性,可能CDLB标准排除它们。视觉幻觉是包含在CDLB标准。少比错觉、幻觉的形态影响3 - 49%[44,47-54]广告的病人和并不总是与妄想。[50]麦基斯等。[26]包括“视觉或听觉幻觉通常伴随着二级偏执妄想”作为第二项标准。在他们的有效性和可靠性的评价标准,麦基斯等。[55]允许存在的“幻觉或错觉”来满足这一标准回顾性的图表总结。我们应用的麦基斯标准最初是描述和不允许错觉来满足幻觉标准。这有助于增加麦基斯的特异性(71%)和CDLB(79%)标准在CERAD的标准(50%)。
要求的出现锥体束外的迹象(EPS)早期的一个“典型的广告“病人似乎最大化的敏感性检测下文。每股收益的存在应该是自发的,而不是二次精神安定剂,CDLB所强调的。CDLB的优越的敏感性(75%)和CERAD标准(75%)(50%)是由于在麦基斯标准,在某种程度上,强调EPS的配方。四个新配方标准的6个症状和体征每股收益(EPS包括安定的敏感性)。满足这些新配方标准的患者会有至少两个每股收益。这更加强调EPS导致新配方的改进的特异性标准(100%)在CDLB标准(79%)。图表回顾“典型的广告”患者临床症状的EPS显示速度的功能下降,(56、57)早些时候,冷漠等神经精神症状[53]功能也由下文共享病人。未来的研究将确定EPS,或其他运动障碍,应该是下文的诊断要求。在下文的早期诊断非常重要,因为一个可能的微分病人对治疗的反应,可能区分下文从病人与纯粹的广告。下文患者似乎比患者更大的胆碱能减少广告(58 59),可能有一个更好的响应比AD患者胆碱能治疗。[60]下文也有更多的不良反应患者dopamine-blocking代理。[61]
我们已经提出了一个比较进化的临床和病理条件下文。我们已经提出了一个改进的方向CDLB标准揭示了组件的临床和病理标准很难实施。这项研究受到小样本大小和回顾性设计。尽管有这些缺点这个研究支持下文的概念作为一个可识别的临床病理的障碍。下文AD和PD的关系还有待进一步明确。
- 版权1996年Advanstar通信公司。
引用
- 1。↵
- 2。
说SM, Mirra党卫军。Neuropathologic帕金森病的临床特征在阿尔茨海默氏症患者。首页1987年;37:754 - 760。
- 3所示。
约阿希姆CL,莫里斯JH,阿兹DJ。临床诊断阿尔茨海默氏症:在150例尸检结果。安神经1988年;24:50-60。
- 4所示。
定形k .帕金森病的病理新发展。:Streifler MB, Korczyn广告,Melamad E, Youdim MBH, eds。帕金森病:解剖学、病理学和治疗。纽约:乌鸦出版社,神经病学的发展首页1990年;53:1-16年。
- 5。↵
- 6。
- 7所示。
- 8。↵
冈崎H,利普金勒,Aronson SM。扩散胞浆内神经节的夹杂物(路易类型)与进行性痴呆和弯曲四肢瘫痪。J Neuropathol Exp神经1961年;20.:237 - 244。
- 9。
吉布WRG Esiri MM,利兹AJ。弥漫性皮质路易身体疾病的临床和病理特征(路易体痴呆)。大脑1985年;110年:1131 - 1153。
- 10。
硅镁层空军联队,克拉克啊,斯特恩伯格NA,斯特恩伯格。路易体痴呆没有老年痴呆症的变化。可以J神经Sci 1986; 13(增刊):490 - 497。
- 11。
- 12。↵
- 13。↵
佩里RH,欧文·D,汤姆林森。路易身体衰老的大脑的患病率:神经精神障碍的关系,Alzheimer-type病理学和含有儿茶酚胺的细胞核。J神经科学1990年;One hundred.:223 - 233。
- 14。↵
吉布WRG曼DMA,蒙特乔伊CQ,利兹AJ。病理研究路易身体疾病和阿尔茨海默病之间的关系。:Streifler MB, Korczyn广告,Melamad E, Youdim MBH,帕金森病:解剖学、病理学、治疗。纽约:乌鸦出版社,神经病学的发展首页1990年;53:55-59。
- 15。↵
休斯AJ,丹尼尔,Blankson年代,利兹AJ。100例帕金森病的临床病理的研究。拱神经1993年;50:140 - 148。
- 16。
鲍勒F,弘水谷T Roessmann U, Gambetti p .帕金森病痴呆和阿尔茨海默病:临床病理的相关性。安神经1980年;7:329 - 335。
- 17所示。
Yoshimura m .帕金森脑皮层变化:贡献的描述漫射路易的身体疾病。“J神经1983;229:17-32。
- 18岁。
- 19所示。
- 20.
- 21。
Rinne乔Rummukainen J, Paljarvi L,等。在黑质神经元损失阿尔茨海默氏症患者与锥体外系症状和痴呆。掠夺生物物1989年;317年:325 - 332。
- 22。
莫里斯JC, Drazner M,缩绒K,格兰特EA,一同J。帕金森症的临床和病理方面阿尔茨海默氏症:一个角色extranigral因素?拱神经1989年;46:651 - 657。
- 23。
- 24。↵
佩里RH,欧文·D,祝福G,费尔贝恩,佩里埃克。老年性痴呆的路易体型:临床和神经病理不同形式的路易体痴呆的老人。J神经科学1990年;95年:119 - 139。
- 25。↵
- 26岁。↵
麦基斯GI,佩里RH,费尔贝恩房颤,Jabeen年代,佩里埃克。路易体类型的操作标准老年性痴呆(SDLT)。Psychol地中海1992年;22:911 - 922。
- 27。
凯恩斯Forstl H,烧伤,Luthert P, N,利维·r·阿尔茨海默病的路易体变体:临床和病理结果。Br J精神病学1993年;162年:385 - 392。
- 28。↵
- 29。↵
CERAD指南阿尔茨海默病和其它痴呆的临床评估。(信息、联系阿尔伯特·海曼博士盒3203年,杜克大学医学中心,达勒姆数控27710。)
- 30.↵
McKhann称G, Drachman D, Folstein M,卡兹曼R,价格D, Stadlan。阿尔茨海默病的临床诊断:NINCDS-ADRDA工作组的报告,卫生和人类服务部工作小组在阿尔茨海默氏症。首页1984年;34:939 - 944。
- 31日。↵
本森DF,卡明斯JL LoVerme s可逆痴呆:说明情况下,定义,和审查。《美国医学会杂志》1980年;243年:2434 - 2439。
- 32。↵
Duong T·德·罗莎MJ, Poukens V, Vinters高压,费舍尔RS。神经元细胞骨架异常在人类脑皮质发育不良。Acta Neuropathol (Berl)1994年;87年:493 - 503。
- 33。↵
Mirra党卫军,海曼,麦基尔? D,等。该财团建立注册为阿尔茨海默氏症(CERAD)。第二部分。标准化neuropathologic评估的阿尔茨海默氏症。首页1991年;41:479 - 486。
- 34。↵
- 35。↵
Mori H, Yoshimura M, Tomonaga M,我去地狱谷野生猴园H .进行性核上的麻痹与路易小体。Acta Neuropathol (Berl)1986年;71年:344 - 346。
- 36。
- 37岁。
- 38。
熊先生VMSde,利兹AJ,丹尼尔。扩散路易身体疾病出现核上的凝视麻痹,帕金森症,和痴呆:病例报告。Mov Disord1992年;7:355 - 358。
- 39岁。↵
- 40。↵
- 41岁。↵
贝克尔JT,发怒陆地、内RD、荷兰,鲍勒r·阿尔茨海默病神经心理功能:损伤和利率的发展模式。拱神经1988年;45:263 - 268。
- 42。
烧伤,雅各比R,利维R .发展认知障碍的阿尔茨海默氏症。J是Geriatr Soc1991年;39:39-45。
- 43。↵
- 44岁。↵
卡明斯杰,米勒B,希尔马,Neshkes r .神经精神方面的multi-infarct痴呆和阿尔茨海默型痴呆。拱神经1987年;44:389 - 393。
- 45岁。
- 46岁。
- 47岁。
杰斯特Wragg再保险、DV。抑郁和精神病在阿尔茨海默氏症的概述。是J精神病学1989年;45:577 - 587。
- 48。
铜JK Mungas D,维勒PG。关系的认知状态和异常行为在阿尔茨海默氏症。J是Geriatr Soc1990年;38:867 - 870。
- 49。
科恩D, Eisdorfer C, Gorelick P, et al。精神病理学与阿尔茨海默病及相关疾病有关。J Gerontol1993年;48:米255 - m260。
- 50。↵
- 51。
鲁宾呃,Drevets WC,伯克WJ。精神病症状的本质在老年性痴呆阿尔茨海默氏症的类型。J Geriatr精神病学神经1988年;1:16 20。
- 52岁。
贝里奥通用电气,小溪p .视觉幻觉和感官错觉在老年人中。Br J精神病学1984年;144年:662 - 664。
- 53岁。↵
杜林DW,威尔逊RS,贝内特哒,伯纳德英航,福克斯JH。预测行为障碍的阿尔茨海默氏症。J Gerontol1991年;46:362 - 371。
- 54。
Sinha D, Zemlan FP,尼尔森,等。一种新的量表评估行为风潮痴呆。精神病学Res1992年;41:73 - 88。
- 55。↵
麦基斯搞笑,费尔贝恩房颤,博思韦尔RA, et al。预测效度的评价和两分的治疗老年性痴呆的临床诊断标准的可靠性路易的身体类型。首页1994年;44:872 - 877。
- 56。↵
麦克斯R,斯特恩Y, Spanto s异质性在阿尔茨海默型痴呆:子组的证据。首页1985年;35:453 - 461。
- 57。
- 58岁。↵
- 59。
- 60。↵
- 61年。↵
- 62年。
休斯CP, Berg L, Danziger西城,科本,马丁RL。一个新的临床分期的痴呆。Br J精神病学1982年;140年:566 - 572。
- 63年。
Berg l .临床痴呆评定。Psychopharmacol牛1988年;24:637 - 639。
信:快速的网络通信
你可能也会感兴趣
相关文章
-
没有找到相关文章。
提醒我
推荐的文章
- 文章
REM睡眠行为障碍和痴呆认知差异与广告相比
背面T.J. Ferman Boeve,史密斯ge等。
首页神经学,1999年3月1日 - 文章
临床诊断标准的有效性和路易体痴呆j . Verghese H.A.水晶,D.W.迪克森等。
首页神经学,1999年12月1日 - 文章
认知障碍的严重程度与路易小体和广告的临床诊断环洛佩兹,R.L.汉密尔顿,j.t贝克尔等。
首页神经学,2000年5月9日 - 文章
临床和定量病理关联和路易体痴呆e . Gomez-Tortosa k . Newell贝拉伊等。
首页神经学,1999年10月1日


