动脉内溶栓治疗围手术期的童年cardioembolic中风
文摘
文章摘要局部动脉内的溶解使用重组组织纤溶酶原激活物(rTPA)中执行6和2/3-year-old主要cardioembolic缺血性中风患者心脏手术后48小时。选择性应用2.5毫克rTPA(0.11毫克/公斤体重)导致闭塞大脑血管的再通具有良好的神经功能恢复。
脑血管疾病的底层童年缺血性中风(是)最近了。1儿童与心脏异常,心脏内的手术围手术期cardioembolic可能是复杂的。为了避免出血性并发症,全身静脉溶栓通常不是在2周内进行大手术。为了克服这个限制,技术允许快速、选择性的最小剂量的clot-specific溶栓药物是必需的。
我们报告一个选择性的局部动脉内的溶解(点燃)使用重组组织纤溶酶原激活物(rTPA;溶栓;Actilyse、勃林格殷格翰集团、德国)6和2/3-year-old cardioembolic患者右大脑中动脉(MCA)闭塞体外循环下心脏手术后48小时。
病例报告。
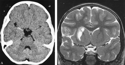
我们的病人,手术后神经完好,有阵发性发作,其中涉及左胳膊和腿术后48小时。发作停止在5分钟内,随后postictal意识障碍,左面部神经麻痹,左半身不遂。因为这些赤字没有开始发病60分钟内解决,头部CT扫描。这些CT扫描未能证明急性脑缺血的早期迹象,但积极披露”中签署“正确的MCA干线(图1一个)。血管造影进行120分钟后出现了MCA闭塞(图2一个)。使用一个施行,guidewire-controlled flow-independent microcatheter(成功之路10;波士顿科学/目标疗法,弗里蒙特,CA)是采用通过15 f造影导管引入正确的MCA干线。microcatheter当时先进的进一步允许选择性与导管尖端嵌入到血栓点燃。选择性应用2.5毫克rTPA(0.11毫克/公斤体重)重复小丸和机械破坏的凝块导导致血管再通的MCA领土(图2中,B和C症状出现后150分钟。CT扫描获得之后没有显示颅内出血的迹象,和胸部x射线显示缺乏心包积血。
图1所示。(A)术前CT扫描显示积极的高密度的大脑中动脉(MCA)标志正确的MCA干线。(B)术后t2加权MRI 2周后动脉内的溶菌作用显示正常流动孔隙MCA干线,也是纹状体梗塞影响壳核和尾状核,保留内部胶囊。
图2。(一)右颈内动脉血管造影披露血栓栓塞大脑中动脉(MCA)阻塞。(B)血管造影在动脉内的溶解(约20分钟后血管造影获得2 a所示)显示了MCA干线的血管再通和纹状体外动脉增外侧。(C) Postinterventional MR血管造影显示血管再通整个MCA的领土。
病人气管切开后的第二天点燃,能够将第二天左胳膊和腿。一周后,这个孩子被动态。点燃了两周后,病人没有残疾在日常生活活动或休闲活动。她经历了一个最小的干扰,同时保持一个较高的位置左胳膊。考试成绩的运动强度(手测功器)和finger-hand协调(手指敲击,将挂钩孔)是在正常范围内。神经心理学评估显示没有语言障碍的迹象,认知或行为。MRI显示一个小纹状体梗死保留内囊(图1 b)。时间进程和振幅的电位诱发外展digiti最小的经颅磁刺激肌肉的皮质是在正常范围内,表示对称完整锥体束功能(延时的左臂,13.8毫秒;延迟的右臂,11.2毫秒)。灌注加权核磁共振没能证明正确的MCA血流动力学妥协领土(图3)。
讨论。
治疗方法对脑2包括cerebroprotective代理,hypervolemic血液稀释,抗血栓形成的代理或阿司匹林,溶栓在选定的情况下。3- - - - - -4虽然自发的闭塞血管再通动脉被描述在17%的情况下,5这个事件可能发生太迟的临床受益。溶栓再通闭塞大脑血管的前景的治疗,如果治疗症状出现后不久执行。
在潜在的溶栓药物,rTPA,丝氨酸蛋白酶催化激活纤溶酶原血纤维蛋白溶酶,物的已经被广泛接受。在人类和实验动物,rTPA可以产生一个相对clot-specific溶菌作用有限的病理性血栓系统性的纤溶酶原激活物。6全身静脉溶栓使用rTPA增加患者的数量好神经的结果在国家神经疾病和中风研究所(研究所)试验,4而欧洲合作急性中风研究发现改善神经结果仅在定义子组。3
在医疗中心基础设施和neurointerventional功能来执行这些程序在紧急基础上,我们认为点燃一个可行的治疗选择主要围手术期患者脑。流独立microcatheter系统允许选择性药物输送和显著的剂量减少与全身静脉应用程序相比,和clot-specific rTPA溶解的特性7可以减少全身出血性并发症的风险。
当前情况下证实了这个假设,作为选择性点燃在48小时内获得心内直视手术,症状出现的120分钟内,没有颅内或全身出血性并发症。点燃导致大脑血管闭塞血管再通和神经功能恢复好。最近的病例报告描述点燃治疗围手术期脑rTPA使用25到50毫克,观察局部血管再通和中度神经功能恢复。8在当前情况下,我们能够recanalize一个阻挡MCA大手术后48小时使用2.5毫克rTPA(0.11毫克/公斤体重)。成功的治疗完成了10倍rTPA剂量低于以前的报告中确认。8
因为我们报告一个儿科情况下,重要的是要注意,低的结合,功能缺陷纤溶酶原水平和增强物血纤维蛋白溶酶抑制剂婴儿血浆浓度9可以使溶栓在儿科人口更加困难。此外,我们的研究结果一致与先前的报告10表明儿童基底节梗塞通常有较大的动脉血管遮挡与二次射孔分支闭塞而不是小血管疾病。
rTPA剂量局部应用于我们的病人(0.11毫克/公斤体重)大约与rTPA的数量达到全身静脉溶栓后颈动脉系统使用研究所试验剂量(0.9毫克/公斤体重)。4更具体地说,20%的心输出量将达到脑循环(0.18毫克/公斤体重后全身静脉应用程序),并至少有一半的剂量(0.09毫克/公斤体重后全身静脉应用程序)将达到颈动脉系统。溶栓因此发生的时间框架内的“本地”rTPA剂量研究所试验报告,但体循环容易出血性并发症的主要手术后急性期没有消散。纹状体梗塞的发生并不能否定这一发现,而是表明太长时间间隔从开始到完成裂解。
我们不报告修改技术点燃,但描述的情况下实现裂解rTPA剂量很低。这个临床经验是同等重要的,因为它强烈地演示了点燃的治疗效果治疗脑在重大手术后急性期和扩展了此经验儿科人口。虽然不可预测的个案,我们的经验表明,rTPA成功点燃所需剂量可以在选定的情况下低于预期。点燃这种潜在的知识可能导致更多的患者的早期治疗围手术期更可接受的风险效益比。在最坏情况下,试图点燃使用rTPA最低剂量不会产生足够的血管再通和过程仍将是失败的。针对这一发现,点燃应被视为可以接受的治疗选择主要围手术期患者脑。
确认
承认
作者感谢教授阔少教育和技术指导。
- 收到了1999年9月7日。
- 接受2000年1月12日。
引用
信:快速的网络通信
你可能也会感兴趣
相关文章
-
没有找到相关文章。
提醒我
推荐的文章
- 基础科学
应该血栓成分影响血管内治疗的选择?Brijesh p·梅塔劳尔g . Nogueira et al。
首页神经学,2012年9月24日 - 文章
早期CT在急性大脑中动脉梗死的迹象预测价值为后续梗塞位置和结果
t .冰川锅穴,f . Cattin Crepin-Leblond et al。
首页神经学,1996年8月1日 - 周期性管理
急性缺血性中风的周期性管理干预尼古拉斯•Tarlov Yih林粘、奥萨马o . Zaidat et al。
首页神经学,2012年9月24日 - 居民和其他部分
珍珠和Oy-sters:高密度或pseudohyperdense MCA的迹象一把达摩克利斯剑吗?
Bhawna Jha, Milind Kothari et al。
首页神经学、08年6月,2009年


