脑出血后缺血性中风的动脉内的溶栓
PROACT II试验
做出评论
看到评论
文摘
摘要目的:分析频率、症状性脑出血的临床特点,预测(我)后经(IA)溶栓与重组pro-urokinase (r-proUK)在急性缺血性中风。
方法:作者进行了一项探索性分析出血症状的随机、对照临床试验的IA溶栓与r-proUK血管摄影记录大脑中动脉闭塞患者中风发病6小时内。(n = 180)患者被随机分配在2:1的比率IA r-proUK 9毫克/ 120分钟+固定剂量肝素或IV固定剂量肝素。而不是意图来治疗,这种分析是基于“治疗”,包括110名患者给予r-proUK和64人没有收到任何溶解血栓的代理。剩下的六名病人收到out-of-protocol尿激酶和被排除在分析。作者分析了中央裁决我与相关神经功能恶化(增加NIH卒中量表(署)≥4分)的36个小时内开始治疗。
结果:出血症状发生在110年的12个病人(10.9%)接受r-proUK和64年的两个(3.1%)接受肝素。我r-proUK-treated患者症状发生在平均10.2±7.4小时后开始治疗。出血症状后死亡率为83%(10/12例)。只有血糖显著相关的症状我r-proUK-treated患者基于24个变量的单变量分析:患者基线葡萄糖> 200毫克/分升了36%出血症状的风险为9%那些≤200 mg / dL (p= 0.022;相对风险,4.2;95%可信区间,1.04 - 11.7)。
结论:出血症状与r-proUK IA溶栓后发生急性缺血性中风的治疗后早期高死亡率。出血症状的风险可能增加患者的血糖> 200 mg / dL在中风发病。
溶栓与第四组织纤溶酶原激活物(t-PA)发病3小时内的是治疗急性缺血性中风患者。1这种疗法的主要缺点是症状性脑出血的发生(我),已观察到的频率之间的3.3%2和16%3接受治疗的患者。我在此设置的风险因素包括梗塞的早期迹象的存在在基线CT扫描和临床的严重性赤字与美国国立卫生研究院卒中量表测量(署)得分。4最近,高血糖时中风表示和糖尿病史后被确定为我额外的风险因素,第四t-PA治疗。5
经选择性溶栓(IA)急性中风患者大脑中动脉(MCA)闭塞血管摄影记录发病6小时内的测试在两个PROACT(急性脑血栓PROlyse)试验。6、7⇓最近报道PROACT II的功效研究表明IA方法通过记录一个更高频率的功能独立性(测量作为改良Rankin量表评分≤2)在受试者治疗3个月重组pro-urokinase (r-proUK)与对照组相比。7主要的安全参数评估PROACT II是出血症状。这份报告包括一个探索性的分析频率、出血症状的临床特点,预测PROACT II审判。
对象和方法。
PROACT II试验的研究设计已经详细描述了其他地方。7总之,受试者急性缺血性中风发病不到6小时都有资格如果他们血管造影文档M1和M2的闭塞段MCA,出血的CT扫描,没有证据或急性梗塞包括超过三分之一的MCA领土,和一个署得分4至30随机化的时候。知情同意后,合格的受试者被随机分配到IA r-proUK 9毫克的总剂量直接交付到凝块通过microcatheter在120分钟的时间内,连同固定剂量静脉注射肝素(2000 U初始丸紧随其后的500 U / h 4小时,开始一起r-proUK注入),或独自固定剂量静脉注射肝素(对照组)。IA r-proUK注入完成后,受试者被转移到重症监护室的密切监测血压和神经功能。无论临床状况,所有患者头部CT扫描r-proUK灌注后24小时内,如果发生临床恶化或更早。
主要的安全参数是我神经功能恶化,定义为四个或更多的增加分署得分与preangiography分数相比,36小时内开始治疗。所有案件的裁决是由三个神经病学家(C.S.K.组成的一个独立委员会,R.G.H.,G.F.M.) and a member of the Neuroradiology Core facility (H.A.R.), who evaluated all cases reported by the sites as serious adverse events, as well as all procedural complications and deaths, and all instances of any clinical or CT evidence of intracranial bleeding, either symptomatic or asymptomatic. The detailed analysis of each case was done during a total of 14 periodic meetings in which the clinical and imaging data were reviewed by the four members of the committee who were blinded to treatment assignment. To ensure that the reviewers were fully blinded to treatment assignment, angiographic films that contained evidence of randomization group, such as the presence of a microcatheter, were omitted from review. This study incorporated a formal safety “stopping rule” that was to be applied if IA r-proUK was associated with an unacceptably high rate of ICH with neurologic deterioration after any of the periodic reviews. This particular safety review was performed after each successive group of 15 patients was enrolled. Based on reported data from the literature on the frequency of symptomatic ICH in trials or clinical series of thrombolysis in patients with acute ischemic stroke, the stopping rule was set at a rate of symptomatic ICH that exceeded 15% as the lower limit of the 95% CI of the current point estimate. In the event of symptomatic ICH surpassing this limit, the trial would temporarily (pending review of the data) stop further patient accrual. To maintain blinding within the committee, the calculations were performed by one of the statistical consultants (M.G.), who was required to simply report whether the “stopping rule” was met (i.e., there was no disclosure of interim data if the stopping guideline was not met).
在复习期间,委员会成员分类所有病例类型的事件,关系过程(造影),研究药物和潜在的关系。此外,所有例出血性病变在CT扫描被标记出血性梗死(不规则、斑驳hyperintensity,有时汇合的,背景的hypodensity梗死)或实质出血(hyperintensity密度和均匀的地区,质量效应取决于大小有关,与潜在的脑室扩展),有或没有临床恶化。这些例出血性病变的清单和所有那些导致死亡不管机制被转发到医疗监控(L.S.F.),他们反过来又提供了一个选取清单的统计顾问(M.G.)监控微分我利率在一个正在进行的基础上。这种分析后,委员会赞助,被告知是否情况登记到网站应该继续学习。没有定期评审所需的出血症状的研究停止招聘。
总共24基线患者人口统计学和临床特征被认为是与出血症状。一个postrandomization变量,目标血管的再通(基于120分钟的血管造影),也包括在内。这些因素既包括定量(如年龄、署分数)和定性(如性别、糖尿病史)变量。每个变量分别是检查与出血症状;为定性变量,这是实现通过确切概率法8和定量变量通过线性逻辑回归。9探索性分析,统计学意义被接受在0.05级,没有调整为多个比较。患者之间的速度我比较IA r-proUK确切概率法和控制。所有p价值观是双面的。
结果。
共有180名受试者的试验中,121被随机分配接受r-proUK, 59被随机分为对照组。出于各种原因,13个病人随机r-proUK组没有收到药物(不符合血管造影条件[4];超过6小时窗口[3];由于技术上的困难[2];和极端的风潮,post-angiogram神经恶化,药店错误,和知情同意(分别)不当),而两名患者随机分为对照组收到r-proUK(在两个实例由于药店错误)。三的13个受试者随机r-proUK组未接受药物,还有三个对照组,收到out-of-protocol IA尿激酶和这项研究被排除在分析之外。这导致110名患者接受治疗和r-proUK 64不接受任何溶栓代理(图1)。本研究的重点是r-proUK治疗的病例110例。
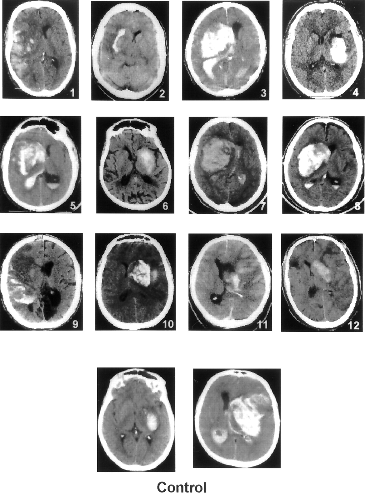
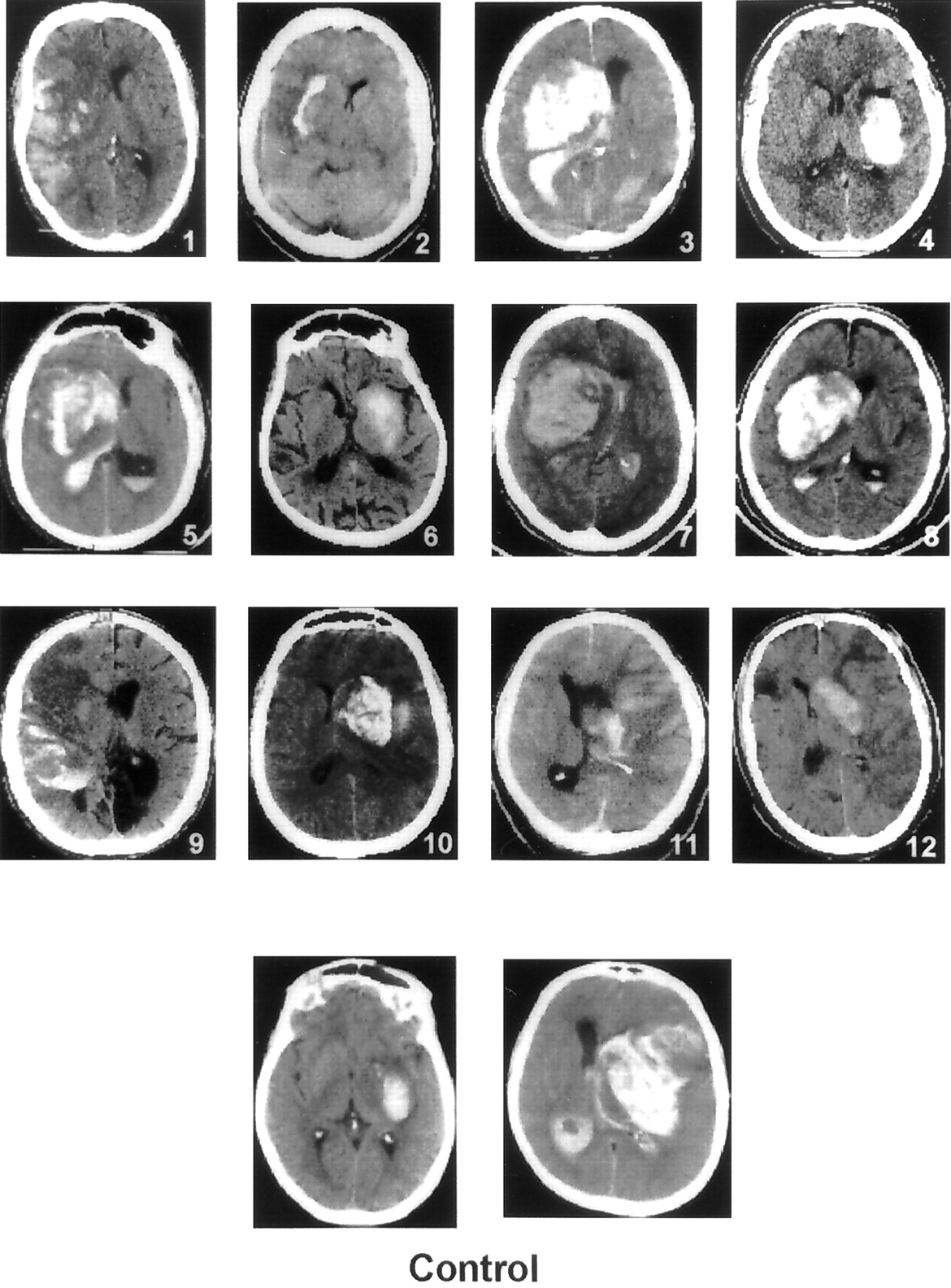
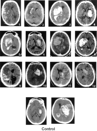
出血症状发生在110年的12个病人(10.9%)接受r-proUK和64年的两个(3.1%)接受静脉注射肝素。这种差异不显著(p= 0.086;相对危险度(RR) 3.5;95%可信区间,0.8 - 31.5)。这些14的CT扫描我的实例所示图2。r-proUK-treated病人的出血与两大支流出血性梗塞(例1、9和11)或大型深半球血肿(例3至8和10),而其他人则相对较小的出血性区域内大型hypodense水肿MCA梗塞分布(例2和12)。所有这些出血发生在前面的梗塞的面积,第一我的症状出现在平均10.2±7.4小时后开始治疗。治疗中风发作的间隔和时间与r-proUK 12出血症状的患者(5.17±0.9小时)不同,剩下的98名患者没有出现出血症状(5.14±0.8小时)。
与初始临床赤字各种结果的严重性,基线署得分是分层的三组:4到10,11日至20日和21到30。的所有12 r-proUK-related出血症状发生在患者署得分高于10 75名患者(12%)中(9我11到20署分数层和三个我在23名患者(12%)在21到30层)。
我的主要症状发作12 r-proUK-related患者出血症状包括的意识水平下降(75%),血压突然上升(25%),头痛和呕吐(17%)、增加呈现局部神经功能缺陷的严重程度(17%),和癫痫发作(7%)。经历出血症状的患者的死亡率为83%,12例(10)。
为了评估预测出血症状的12个受试者接受r-proUK,我们评估了基线和一个治疗后的变量(血管造影再通)。单变量的各种人口和临床因素和症状之间的联系我了表1(定性因素)和表2(定量因素)。只有三个变量考虑,高胆固醇血症的历史,CT梗塞体积,和血清葡萄糖,显示较强的统计与出血症状的证据。最有力的证据被发现与血清葡萄糖的关系,在一个名义p值为0.014。postrandomization变量血管造影再通,评估在治疗开始后120分钟,不增加出血症状的风险。
因为只有一个相对强劲的预后变量被确定通过单变量分析,多变量逻辑模型是不必要的。物流模型预测出血症状从血清葡萄糖测量(包括在模型作为定量变量)显示出血症状的几率增加1.3%,体重每增加1 mg / dL血清中葡萄糖。调整基线署得分,预测的风险thrombolysis-related我,1没有改变协会:未经调整的回归系数为0.0128,p值为0.014的物流模式成为了0.0124和0.018,分别调整后的基线署得分。血清葡萄糖分层分类时增加的高血糖水平,这些学科的值> 200 mg / dL出血症状的风险为36% (图3)。
没有一个变量记录出现症状的时候我与价值观得到类似的时间点在那些没有出血症状被发现明显不同r-proUK-treated主体之间,没有出血症状。其中包括收缩压和舒张压、平均动脉压、最大局部血栓形成质激活时间(aPTT)(数据未显示)。
讨论。
溶栓后症状性颅内出血的风险对急性缺血性中风是很大的,无论代理由静脉注入或IA路线。我已经有相当大的数据风险与t-PA静脉治疗后临床试验1,10 - 13⇓⇓⇓⇓在社区和它的使用。2、3、14、15⇓⇓⇓使用IV t-PA各研究有一些差异,可能占我的不同利率,包括t-PA剂量、治疗窗口的长度,,可能偏离t-PA管理指南14、15⇓尽管这一因素没有影响我在最近公布的两项研究。2、3⇓潜在的本地IV t-PA治疗后血管因素与我相关的风险是未知的,因为这个代理是没有前血管造影术常规管理。研究如PROACT II,包括血管造影术,提供一个独特的机会来研究当地的潜在作用血管畸形在出血性并发症的发病机理。
10.9%的出血症状的110例接受IA r-proUK PROACT II审判高于大多数利率IV t-PA试验的报道:6.4%国家神经疾病和中风研究所的研究中,18.8%的出口信贷机构二世,12在亚特兰蒂斯和7.2%。13我率越高PROACT二世和PROACT我(15%)6反映这种并发症的发生在一个定义良好的、同质组患者的血管摄影记录闭塞M1和M2的MCA的片段。相反,IV t-PA研究包括更多的异构组患者的缺血性中风的机制(大型船,cardioembolic或腔隙),其中一些有大幅降低出血的风险,特别是那些微不足道的倾向发展二级出血性转换作为自然历史的一部分腔隙梗塞等机制。16相反,高频率的出血性转换特征cardioembolic中风,17主要亚型的PROACT二世和被最近报道的一个危险因素post-IV t-PA出血症状。18此外,更高的利率的出血症状PROACT II审判可能会从大基线中风的严重程度署PROACT II评分(中位数的17中7相比之下,11在eca II12亚特兰提斯,13和14个国家神经疾病和中风研究所的试验1)。基线署得分明显被发现与我风险在国家神经疾病和中风研究所的试验。4额外增加我的风险相关因素在两个PROACT试验可能会更长时间的治疗窗(6小时)3小时相比国家神经疾病和中风研究所的研究。1早期经验IV t-PA建议再治疗窗口与较高的出血症状显著相关:在血管造影研究治疗8小时的窗口,10那些开发出血性病变治疗的受试者明显比那些没有开发后颅内出血性并发症(6.1±1.5和5.3±1.7小时;p= 0.006)。
12出血症状PROACT II试验发生在排位赛缺血性梗塞的面积,这表明局部血管因素,可能与异常的渗透性血脑屏障或其他机制缺血性血管的损伤,在其发病机制中扮演了一个角色。这种情况显然是不同于我,发生在第四的设置t-PA用于急性心肌梗死患者在我大脑中随机发生的实质和没有急性脑循环异常。月19 - 21日⇓⇓使用溶栓后急性脑梗塞,IV或IA,结果很可能会导致出血急性局部血管的变化。再灌注出血的现象由于血栓溶解和再循环缺血性和异常透水血管床,认为是出血性梗死机制的脑栓塞后,22需要被视为一个可能的解释观察到的我的PROACT II审判。尽管程度之间没有关联显示post-r-proUK血管造影再通(120分钟从开始治疗)和我(的风险参见表1),推迟的可能性(120分钟)后再通与我不能因为没有血管再通的数据得到过去的时间点。也有可能我观察溶栓后不对应于血栓lysis-related再灌注的机制,23而是他们开发的一个不同的机制通过逆行络脉的reperfusion-that发生脑缺血的面积,出血性转化的机制,不需要近端血栓溶解。24络脉MCA的领土问题在基线血管造影PROACT II试验目前正在调查。使用静脉注射肝素的作用这些我的发病机理是有可能的,因为全IV肝素化的立即使用显著增加在PROACT我我的速度,6以及研究第四t-PA +肝素在急性颈动脉中风。25然而,肝素的影响不太可能因为抗凝水平在PROACT II用于预防动脉reocclusion的目的是开始,没有延长的aPTT超出正常范围、低和固定肝素剂量相同的一段4小时r-proUK-treated病人和控制。
溶栓治疗后出血症状的危险因素研究了急性缺血性中风后使用IV t-PA,4日,25日,26日⇓⇓静脉溶栓酶,27和IA r-proUK。6在留置针的研究中,4、25日- 27日⇓⇓⇓一个一致的27出血症状的危险因素是一个大型的迹象的存在对基线CT梗塞,而神经功能缺陷的严重程度在条目也与我这四个研究的三个风险。4日,25日,26日⇓⇓遇到的其他因素在一些研究中,但不是在别人,包括先进的年龄,26糖尿病,27和使用高剂量肝素。6日,25⇓大多数这些没有发现我在PROACT II的风险增加相关。尽管一些,比如大梗死体积CT和高署分数,显示趋势表明增加我风险有关,它们的值没有达到意义,几乎肯定会反映出少量的情况下包括在分析中。有可能是一个更大的数据集可能已经建立了一个重要的这些因素之间的相关性和增加出血症状的风险。
达到标称的唯一因素意义与我协会风险在我们的探索性分析基线血糖水平。然而,由于我们对24潜在预后变量,甚至是一个名义p值为0.014时应判断为弱关联的证据。糖尿病和高血糖的存在,然而,与我在其他几个研究风险。在国家神经疾病和中风研究所的试验中,承认葡萄糖> 300 mg / dL在单变量分析与我风险增加有关,但该变量没有显著相关症状我在多变量分析。4另一项研究27记录历史的糖尿病的作用(而不是进一步定义)在基线变量的多变量分析,OR为3.0 (95% CI, 1.1 - 7.9)p= 0.03。最近报道的经验使用IV t-PA社区3与出血症状表明受试者基线血糖水平高于病人没有我(198.6±85.1和150.5±61.1 mg / dL;p= 0.03)。最后,另一项研究5发现基线血清葡萄糖作为一个独立的预测出血症状在一群13患者静脉t-PA治疗后出血症状。糖尿病和基线升高血清葡萄糖是增加我的风险的独立预测指标,观察到25%的我与血清葡萄糖> 11.1更易/ L(相当于大约200 mg / dL)。5这些作者发现或为1.008 (95% CI, 1.000 - 1.015)出血症状的血清葡萄糖增加1.0 mg / dL,这类似于我们计算出一个PROACT II数据(OR, 1.013;95%可信区间,1.003 - 1.023)。基线升高血清葡萄糖作为预后不良的因素预测建立了独立于中风严重性。28我们证实了这一发现,葡萄糖协会的力量在我们的数据没有被调整基线署分数,从而表明血清葡萄糖似乎作为一个独立的影响出血症状的风险,而不仅仅是作为一个中风的严重程度相关。
明显的基线高血糖和增加我的风险之间的联系生物合理性,由实验数据支持。高血糖在实验中风模型被证明能增加对血脑屏障的破坏29日增加出血性转化率和再灌注后出血尺寸。30、31日⇓高血糖的机制发挥其在急性中风的不利影响可能是多个,但很可能集中在它的微循环的影响,造成损伤,进而促进缺血32和提高本地缺血性损伤的影响,31日可能促进再灌注血管破裂的事件。
探索性分析未能清楚地识别其他因素影响出血症状的风险并不意味着没有真正的存在。PROACT二世是一个相对较小的研究,因此未能检测一个或多个其他重要变量。基线高血糖的重要性作为一个预测的风险增加出血症状及其潜在影响急性缺血性中风患者的管理需要进一步评估更大的数据库研究前瞻性在第四组患者或IA溶栓药物。这个观察的确认可以导致高血糖的管理更积极的方法在溶栓药物的管理。
脚注
提出了第52届美国神经病学学会的年度会议;首页圣地亚哥,CA;5月3日,2000年。
- 收到了2001年1月19日。
- 接受2001年6月26日。
引用
- ↵
- ↵
- ↵
- ↵
- ↵
- ↵
- ↵
- ↵
马修斯德,告别VT。使用和理解医学统计,第二版》。纽约:Karger,1988年。
- ↵
Pagano M, Gauvreau生物统计学原理。CA:贝尔克斯伯里出版社,1993年。
- ↵
- ↵
- ↵
- ↵
- ↵
- ↵
Lopez-Yunez,布鲁诺,Zurru C, et al。协议违反社区rt-PA使用与颅内出血症状有关。中风。1999;30.:264年。抽象的。
- ↵
费舍尔厘米。底层可见动脉病变。Acta Neuropathol。1969;12:1-15年。
- ↵
- ↵
- ↵
- ↵
马斯隆,尸罗CA Mahaffey千瓦,et al。临床和影像学与死亡率相关的因素对急性心肌梗死溶栓后颅内出血后。中风。1996;27:183年。抽象的。
- ↵
- ↵
- ↵
- ↵
- ↵
- ↵
- ↵
- ↵
- ↵
- ↵
- ↵
- ↵
信:快速的网络通信
你可能也会感兴趣
相关文章
-
没有找到相关文章。
主题讨论
提醒我
推荐的文章
- 文章
这顶帽子的分数一个简单的评分量表预测溶栓后出血
m·卢a . Safdar m . Mehdiratta et al。
首页神经学,2008年10月27日 - 文章
在非常严重的静脉溶栓和严重的缺血性中风结果SITS-ISTR注册表
迈克尔•诉Mazya肯尼迪r·李,大卫阿胶等。
首页神经学,2015年11月6日 - 治疗
可收回支架,“stentrievers”,血管内急性缺血性中风的治疗罗伯塔l . Novakovic伽柏托斯,桑德拉Narayanan et al。
首页神经学,2012年9月24日 - 文章
在急性中风溶栓的临床相关性microbleeds全面的分析
Andreas Charidimou, Ashkan Shoamanesh国际META-MICROBLEEDS行动等。
首页神经学,2016年9月14日


