动脉内溶栓对心内直视手术后围手术期中风
文摘
文章摘要最近的大手术是一种排除标准溶栓。六急性缺血性中风患者接受动脉内溶栓后最近的心内直视手术在临床上没有明显的出血并发症,虽然一个病人开发了一个小型的,无症状的小脑出血。动脉内溶栓可能是一个选项脑栓塞患者的围手术期处理。
在急性缺血性中风患者,2周内大手术是一种排除标准3小时静脉组织纤溶酶原激活物(tPA)。虽然动脉内的(IA)溶栓可能比静脉溶栓全身出血的风险较小,安全的IA溶栓在术后中风病人是未知的。我们报告我们的经验与IA溶栓6例(表)最近的心内直视手术后急性缺血性中风。
案例报告。
患者1。
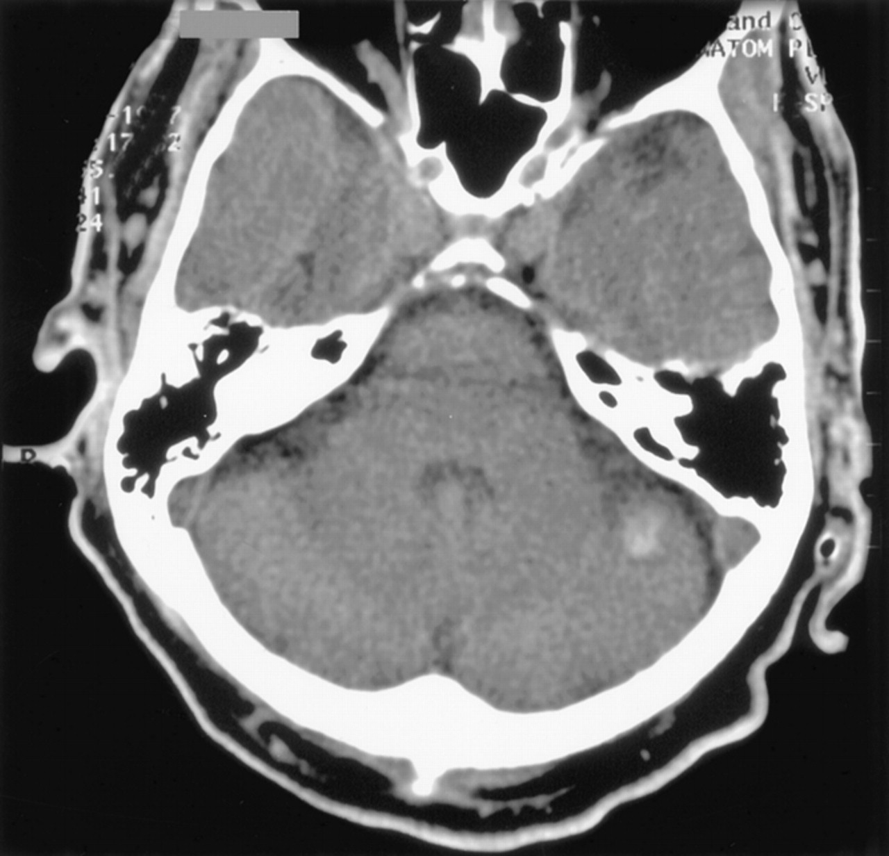
一个63岁的男人有权利M1大脑中动脉(MCA)闭塞后13天紧急冠状动脉旁路移植(CABG)对急性心肌梗死。心房扑动转换药物的前一天。他左半身不遂,视野受损的感觉在他的四肢。他最初的美国国立卫生研究院的中风尺度(署)得分是15。头部CT是正常的。被注入尿激酶200000台60分钟直接进入症状出现后血栓4小时。有良好的近端血管再通残余填充缺陷在某些M3分支(图1)。尽管国际标准化比率(INR) 1.4当天早些时候,重复INR立即过程是4.8之前完成。他得到10毫克维生素k IV肝素溶栓后开始2天。他开始他的左后立即手术。他只有一个提示视觉忽视在6周,是神经正常的病人在8个月。
患者3。
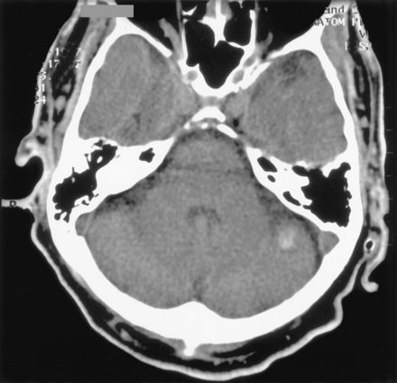
一个76岁的老人有着悠久历史的冠状动脉疾病有M1 MCA闭塞冠脉搭桥术后2天。头部CT显示,没有证据表明急性缺血性梗塞或出血。他最初署得分19岁与全球失语症和右半身不遂。四个小时从症状出现,tPA 25 mg注入超过90分钟到血栓恢复只有最小流。头部CT做1天0.5 cc溶栓后显示无症状左小脑出血(图2)。静脉注射肝素溶栓后开始3天。他没有收到任何输血,尽管他在5天内从38比容下降到20%。署的分数在7天内提高11。出院时11 postprocedure天,他能够遵循简单指令但说只有单音节的词。右侧力量改善了4级(0到5医学研究委员会规模)在手臂和4.5的腿。在5个月他继续有一个明显的迟滞型失语症但能够独立执行最活动的日常生活。
所有的病人有一个最初的头部CT排除出血或广泛的早期缺血性改变。心脏栓塞在所有患者中风的可能病因。每个病人的血小板收缩压> 100000和160毫米汞柱。溶栓融合简而言之是“破裂”剂量超过1到2小时。用于机械破坏凝块置入导丝在所有情况下。标准肝素冲(1000 U / L)血管造影过程中使用程序。静脉注射肝素开始没有丸从0到3天与目标激活局部溶栓后血栓形成质次的45到60秒。未使用抗血小板药物直接post-thrombolysis时期。没有系统性的出血并发症和一个无症状的小脑出血。两个患者的红细胞比容下降,但没有任何证据表明积极出血外科网站。禁忌症患者1中溶栓,除了最近的手术,包括一个(意外)升高INR和最近的心肌梗死。
讨论。
溶栓的主要最近手术禁忌症。然而,心内直视手术后急性脑栓塞是一个灾难性的事件发生在医院环境和快速访问干预。没有临床重要的大脑或全身性出血在我们六名病人接受IA溶栓的意思是心内直视手术后6天。血管再通完成在一个病人,部分在三个病人,和最小的两个。4名患者改善神经。一个病人死于脑水肿(见表)。
有几个病人的报告进行静脉溶栓门静脉血栓形成1和肺栓塞2在最近的手术。IA溶栓在术后患者安全也已完成。吉拉德等。3报告两个患者肺栓塞肺切除术后2天。他们收到1200000单位链激酶或80毫克tPA直接进入右心房和静脉注射肝素。患者直接临床和血流动力学改善,尽管一个需要输血比容下降从36到20。莫利纳et al。4报道13例术后肺栓塞(平均9.6天),发生在两个后品质,接受2200 U /公斤尿激酶进入肺动脉长达24小时与静脉注射肝素500 U /小时。没有出血并发症。
当地IA在第四政府溶栓有几个优点。血管再通与IA与静脉输液率更高。5IA政府需要溶解剂低剂量,减少出血并发症的风险。同时,出血与溶栓治疗的一个主要原因是既存的裂解止血插头而不是系统性的纤维蛋白溶解的生产。6IA溶栓,阻塞血栓可能防止溶解剂达到先前存在的系统性血栓。
IA溶栓疗法对中风没有被标准化。辅助肝素通常被使用,这可能影响出血风险和再通疗效。5机械操作中使用我们所有的病人,以实现尽可能使用最低数量的溶栓再通。没有显示的优越性tPA或为当地IA尿激酶溶栓在急性中风。我们选择溶解血栓的代理是基于代理的可用性和医生的偏好。心肌梗死与tPA试验证明更高的再灌注率7但也较高的颅内出血。8尽管tPA clot-specific比尿激酶,它有一个类似的影响手术后的止血插头。7
溶栓后体外循环(CPB)提出了特殊的出血风险。Postcardiac手术患者的风险增加,心包填塞。最近的一个病例报告描述心包积血患者接受冠状动脉绕道手术IV tPA 16天。9CPB期间有一个减少凝血因子和纤溶活性的增加。相反,在术后期间tPA含量的减少,还有增加纤溶酶原激活物抑制剂水平,形成相对hypercoagulable状态。10CPB后血小板功能障碍也会发生。IV TIMI-II审判的tPA对心肌梗死患者血小板计数< 100000 7.5倍大的出血风险。6
当地IA溶栓是一个潜在的治疗选择peri-open心脏手术中风患者否则满足接受包含和排除标准。IA溶栓的临床疗效和安全性,尤其是超过3个小时,是未经证实的。5措施,减少出血的风险可能包括使用溶解剂的最低剂量,避免辅助肝素和抗血小板治疗,明智地控制高血压,如血小板凝结和监视测量。
确认
披露。安东尼可•福尔兰正博士已经雅培公司的顾问(尿激酶)在过去的5年,已收到两Genentech谢礼,Inc . (tPA)和雅培公司。凯茜博士尸罗已经收到从Genentech谢礼,Inc .博士约翰Perl二世是一个顾问Microtherapeutics Inc .的外围溶栓与雅培公司的关系。
- 收到了1998年6月19日。
- 接受1998年11月21日。
引用
信:快速的网络通信
你可能也会感兴趣
相关文章
-
没有找到相关文章。
提醒我
推荐的文章
- 观点和评论
动脉内的治疗急性缺血性中风Pitchaiah Mandava托马斯·a·肯特et al。
首页神经学,2007年6月11日 - 治疗
可收回支架,“stentrievers”,血管内急性缺血性中风的治疗罗伯塔l . Novakovic伽柏托斯,桑德拉Narayanan et al。
首页神经学,2012年9月24日 - 培训、认证和实践标准
开发实践对血管内重建术对急性缺血性中风的建议马克·a·一员,罗伯塔l . Novakovic安德烈诉Alexandrov et al。
首页神经学,2012年9月24日 - 周期性管理
在介入治疗急性缺血性中风周期性抗血栓形成的策略Fadi Nahab,塔里克·Kass-Hout,哈西姆·m·Shaltoni et al。
首页神经学,2012年9月24日


