视的临床课程neuromyelitis(德维克氏综合征)
文摘
目的:评估的光谱neuromyelitis视(动),包括特征索引的事件(视神经炎[在])和脊髓炎),神经影像,CSF,和血清学的研究,评估长期课程。
方法:回顾71年动评估梅奥诊所的患者在1950年和1997年之间。
结果:动是单相或复发。单相课程(n = 23)患者通常提供快速顺序索引事件(平均5天)和温和复苏。最具有复发(n = 48)有一个扩展指数事件之间的间隔(平均166天)后3年内的集群严重复发孤立的视觉神经和脊髓。大多数复发患者严重的残疾在逐步的方式开发,和三分之一因呼吸衰竭死亡。动有别于“典型”的特点包括女士> 50个细胞/毫米3CSF(通常是多形核的),正常的初始大脑核磁共振,病变扩展在三个或三个以上椎段脊髓磁共振成像。
结论:临床、实验室和成像特性通常区分视neuromyelitis女士复发患者视神经炎和骨髓炎可能视neuromyelitis女士而不是患者复发的neuromyelitis视不良预后,常常伴有呼吸衰竭在宫颈脊髓炎的攻击。
Neuromyelitis视(动)(德维克氏综合征)最初被视为组成的单相综合症急性严重(“横向”)脊髓炎和双边同时或顺序视神经炎(上)发生在关闭时间演替,导致截瘫和失明。1- - - - - -3然而,随后的研究包括不定地那么严重患者临床攻击,单边,症状相隔几个月或几年,或反复发作。4- - - - - -9光谱和自然历史(攻击的频率、死亡率和长期发病率)的动,特别是复发形式,仍然未定义。此外,是否动是女士的亚型或不同的疾病实体仍然是有争议的。5- - - - - -9我们描述了人口统计学、临床、脑脊液和71名患者的MRI特征动来解决这些问题。
方法。
情况确定。
我们回顾了所有的病人的医疗记录和MRI研究诊断为动,德维克的综合症,或者德维克梅奥诊所的病在1950年到1993年之间。我们亲自评估所有患者动看到女士在我们诊所或医院1993年至1997年之间。问卷被用来为病人获得长期数据没有跟随时间的研究。回顾性和前瞻性数据,包括那些通过问卷调查,集中进行分析。
情况下定义。
评估传统的诊断标准的重要性,我们认为两个回顾性的定义:“严格标准”(双边脊髓炎,索引的事件,发生在2年内的无症状疾病之外的视觉神经和脊髓)和“不符合严格标准”(单边或开发的第二个指数事件在一段时间内大于2年)。
数据收集。
我们记录的临床、脑脊液和磁共振成像数据。一个顺序量表设计量化视神经和脊髓损伤(表1)。
我们评估的结果脑脊液获得的4周内出现一个新的复发白细胞(WBC)计数和微分,因为只有“急性”CSF研究显示显著的脑脊液细胞增多。所有CSF研究被用来评估寡克隆条带和免疫球蛋白异常的存在。
异常的脑部核磁共振成像分为满意或不满意的放射标准。10病变长度、线肿胀、钆增强和萎缩记录脊髓病变。
统计方法。
因为大部分的定量数据的分布是倾斜的,中位数和范围提出了;Wilcoxon等级测试是用来评估和组织之间的区别。卡方或确切概率测试被用于二分变量。生存率较被用来比较组之间的生存。
结果。
病人确定和分类。
我们确定了93名患者被诊断为动,81年到诊所的医疗记录和12。22名患者被排除在分析之外,因为他们没有经历的两个指数事件类型或诊断后来改变了(n = 20),或不完整的数据(n = 2)。两名患者被诊断为后期;他们与亚临床视神经脊髓炎脱髓鞘发现尸检。
剩余的71名患者分组使用两个标准:案例定义(严格的标准是否得到满足)和随后的临床课程(单相或复发)。患者复发的课程有进一步复发后指数事件,而那些有单相课程没有(至少3年随访)。图1说明了群体是如何划分的。单相疾病患者由于单边未能符合严格的标准而不是双边。复发组患者不符合严格的标准,因为他们有单边(n = 9)或超过2年时间间隔指数(n = 8)症状。六十一返回的69名患者(88%)联系后续的调查问卷。
诊断标准。
地址的有效性我们严格的定义,我们比较了患者与那些不符合严格的标准为单相和复发组。没有重要的人口统计上的差异,临床或paraclinical特性,或结果(数据未显示)。因此,我们之间的所有后续执行比较单相和复发组无论指数的事件间隔和视神经的数量(即。他们是否符合严格的标准)。
人口统计数据。
人口特征所示表2。单相和复发组发病年龄不同性别比例和趋势。有非白人(亚洲= 3,非裔美国人= 2,和印度= 1)只有在复发组。只有复发病人(n = 4)公布的家族史女士我们没有确定一个病人用单相自1988年以来。
前期和伴随的条件。
病毒性疾病之前动在少数病人在每组表2)。两名患者在单相组猪流感疫苗接种前开始动。自身免疫性疾病中三分之一的患者复发组,包括甲状腺功能减退(n = 9),干燥综合征(n = 4),恶性贫血(n = 3),溃疡性结肠炎(n = 1),原发性硬化性胆管炎(n = 1),和特发性血小板减少性紫癜(n = 1)。
指数的事件。
孤立的单边或骨髓炎是48例的展示功能在43个(90%)复发组和11的23个患者(48%)在单相集团(表3)。同时两国和脊髓炎(24小时内)的23名患者(30%)发生在7单相组但没有复发组。
第一个事件之间的时间,当所有的指数事件(脊髓炎和双边;原动定义)发生复发组的长度,比它在单相集团(中位数166和5天,范围2 - 730和0到151天;p= 0.0001)。
指数在单相组事件更严重(见表3)。单相组,21岁的39个受影响的眼睛(54%)定量信息是可以成为完全失明(没有光感知)与20 72(28%)复发组。十六23例(70%),单相课程在最低点而截瘫的15 48复发组(31%)。
大多数病人至少提高了一个水平的视觉尺度(单相组34 42眼(81%),复发组68例87眼[78%])。运动成绩提高了至少一个水平的23名(78%)患者在18个单相集团和42的48例(88%),复发组。最好的恢复(前进一步加重复发组)电动机单相组和括约肌功能明显恶化。
可依的症状(17/48,35%)、阵发性强直性痉挛(17/48,35%),和神经根疼痛(16/48,33%)经常伴随复发组的急性脊髓炎。神经根疼痛很少发生单相组(2/23,9%),和可依的症状和强直性痉挛没有记录在这一组。
复发组的特征。
复发仅限于复发或骨髓炎在除了五个病人,经历过面部麻木(n = 2),眩晕(n = 2),和小脑震颤(n = 1)。总每个病人复发的平均次数是五(范围1 - 18);47的48例(98%)有一个以上的复发。图2表明患者复发课程通常都有一段沉默点缀着频繁的攻击。最后指数事件之间的时间间隔和第一复发(定义一个复发)1年内发生在55%的患者中,在3年的78%,并在5年90%。
呼吸衰竭和死亡。
呼吸衰竭引起的急性颈椎骨髓炎发生19次在16个复发患者(33%),只有两次2单相病人(9%)。两个单相病人康复。十五16复发的患者(93%)呼吸衰竭死亡;3只恢复从第一集屈从于另一个。5年生存率(图3在单相集团)是90%,68%复发组(p= 0.06)。复发组的死亡都是由于呼吸衰竭。
长期的损害。
意味着疾病持续时间最后单相组随访16.9年和7.7年复发组。终于可以评估、视力、运动强度、复发组和感官功能更糟糕比单相组(见表3)。复发患者的百分之六十(26/43)和完整的考试信息功能性失明(敏锐度20/200或更糟)至少在一个眼睛与单相(5/23)的患者的22% (p= 0.014,双面的等级和测试)。永久单瘫或截瘫发生在25的48例(52%),复发组和7的23个患者(31%)在单相集团(p= 0.086)。十一17幸存的单相病人(65%)能走路没有或单方面的援助与17 32复发患者相比(53%)。
实验室研究。
抗核抗体(效价> 1)出席在12个25复发病人测试(48%)和0 6单相患者(p= 0.059)。可推断出的核抗原的抗体存在于四个干燥综合征患者。
CSF。
二十23单相48复发患者的病人(87%)和47(98%)至少有一个脑脊液检查(表4)。脑脊液细胞增多(> 5 WBC /毫米315)出现在11单相病人(73%)和31 38复发组(82%)。大于50细胞/毫米3观察五14例(36%)在单相组和13的38例复发组(34%)。中性粒细胞中至少一个7的14单相患者的CSF研究35(50%)和21复发患者(60%)。只有脑脊液蛋白质单相和复发组之间的差距显著。
MRI:大脑。
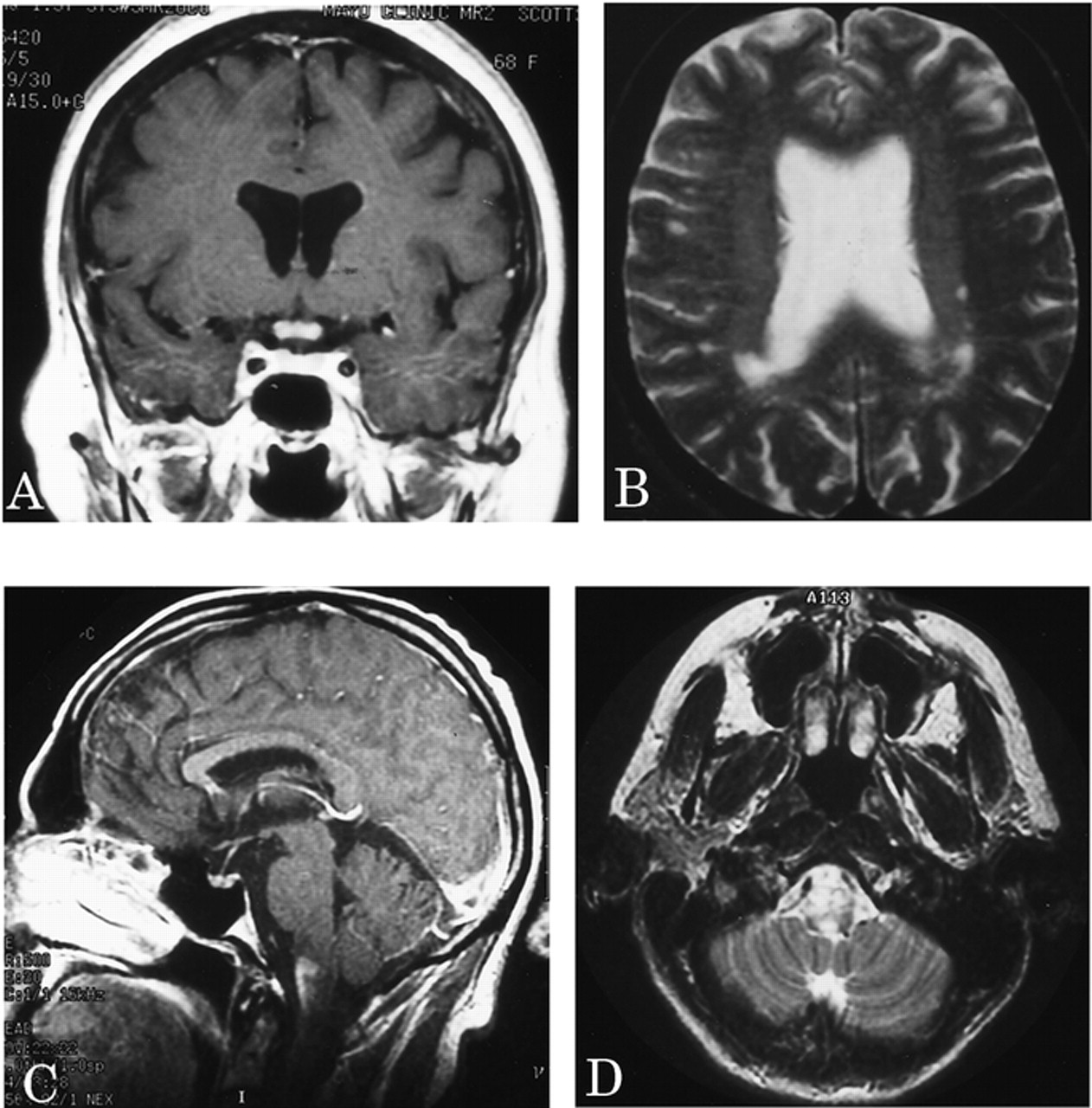
特征典型的或明显的动了图4。脑部核磁共振进行了28 patients-27复发和1单相。中间间隔从第一个索引事件最初的大脑核磁共振是7.5个月(范围0.5 - 194)。视神经增强被认为在5 6例(83%)在2周内学习的一集。大脑实质是正常的在22个28初始扫描(79%);只有3 28(11%)满意的标准徽章等。10女士三个病人增加了T2信号在相邻的髓质纵向广泛的上颈椎脊髓损伤(见图4中,C和D)。
图4。选择先生大脑的图像。(A)扩散增强视神经交叉的gadolinium-enhanced t1日冕图像。(B)几室周的病变中看到一个病人在t2加权图像轴。(C和D)损伤扩展的吻侧颈绳在髓质gadolinium-enhanced t1矢状轴向和t2加权图像。
十六个复发患者多个大脑核磁共振;最初的扫描是正常14。后续核磁共振成像显示,7仍然正常(第一个和最后一个MRI的平均时间间隔,11个月;范围1 - 39)6开发了非特异性异常,不符合标准的徽章等。10女士(平均间隔23个月,范围3 - 85),和1个病人“转换”来满足女士标准103个月后。
MRI:脊髓。
23复发患者共50脊髓磁共振表现在8周内发病的骨髓炎的情景;47 50(94%)不正常。44 50(88%)、纵向、融合性的损伤扩展在3或更多(通常是6到10)椎段(图5)。索肿胀(25/50扫描,50%)和钆增强(32/50扫描,64%)通常观察到。五23例(22%)与后续线成像发达焦线萎缩。
治疗。
糖皮质激素与改进有关69年55急性发作(80%),可用的数据。五个复发患者皮质类固醇依赖性,复发性脊髓炎或减少药物剂量时停止。血浆置换与改善四个六steroid-unresponsive病人。攻击频率下降与β干扰素治疗后三9名患者(平均时间4.5个月)和硫唑嘌呤、环磷酰胺在三的9名患者(平均持续时间4个月)。
讨论。
Allbutt11公认的视力丧失和脊髓疾病的协会,1870年和Erb12提供了1880年第一次彻底的描述正常时差。德维克的1回顾1894年的16例+ 1例致命的自己导致了他eponymic与动。最初始的报告动描述严重,单相障碍。然而,在1927年贝克5报道,一名15岁女孩和四个视觉神经或脊髓攻击在13个月,干预时间的缓解持续几个月。麦艾尔派恩13回顾了1938年22例,指出,7一个或更多的缓解,但尽管如此,经历了一个致命的结果。尽管复发形式的动已经公认,其区别单相类型不清楚。这份报告明确区分两种亚型的动,并提供长期的临床过程和结果数据。
单方面无法区分这些患者两国。同样,病人的间隔发达市场指数事件没有诊断意义;相反,它有助于预测患者是否会遵循一个单相和复发。因此,患者动可能单方面,偶尔之间的间隔大于2年的前两个指数集。
特征与复发相关课程包括女性、年龄,发病年龄指数事件之间的时间间隔长,存在系统性自身免疫。双边和骨髓炎发生在1月通常预测单相课程。相反,几乎所有的复发患者伴有孤立或骨髓炎,然后其他指数的事件在一段时间内超过3个月。
我们的数据与广泛持有的信念相一致的临床表现动更严重的“典型”。14MS患者经常输入一个渐进阶段的疾病,15而动恶化与后遗症的攻击,也许是因为升值攻击是如此严重,以致妨碍进步的轴突退化。单相患者更多的障碍攻击比复发患者,但其长期的结果是更好的。大多数单相病人保留足够的视觉功能和动态最后评估,而大多数复发患者至少在一个眼睛和nonambulatory失明。加重导致完全失明或截瘫女士严重残余赤字并不常见。呼吸衰竭、死亡的原因复发组的三分之一,几乎是未知的。
CSF和核磁共振结果也区分动校正和嗜中性白血球增多或女士> 50有核细胞/毫米3CSF是常见的在动但罕见的经典女士。16,17在脑脊液寡克隆乐队,现在多达90%的病人,女士18常见的动;其他人也有这个观察。8,9
脑MRI是正常的或非特异性,还被别人。8,9,19有些病人于串行成像白质病变,但很少做这些满足辐射条件对复发缓和女士的女士,大约5%的病人不能满足标准MRI的标准,只有1%是正常的。所述患者被别人动,8,9,20.我们观察到纵向广泛的脊髓损伤。相比之下,索病变椎体节段很少超过一个女士。21,22
我们用我们的研究结果为基于设计诊断标准表5)。诊断标准是必要的前瞻性评估是否某些高风险演示(例如,上、脊髓炎和消极的脑部MRI)预示着动。早期诊断至关重要,如果有效的长期治疗以防止攻击可用,因为许多患者出现严重的不可逆损伤在疾病的早期。三个绝对标准(急性脊髓炎,和没有临床表现的疾病之外的视觉神经和脊髓)和六个支持歧视价值(见标准表5)。核磁共振和CSF标准用于支持动如果存在的诊断,但不排除诊断如果缺席。这些标准,虽然随意,来自我们的数据。他们需要前瞻性验证。
复发的预后动是相对贫穷而复发女士几乎完全由脊髓炎。发生早,在集群中,在不可预测的时间间隔图2)。强的松和咪唑硫嘌呤减少攻击频率的组合在一个不受控制的系列。23
动女士及其关系的发病机制仍不确定。在病理学发现炎症坏死可能反映了炎症反应的严重程度,而不是它的本质。增厚、变透明脊髓和视神经血管在动,已报告8,24但是调查的患者数量很小。血管病变是否病理学或二次反应的重要组成部分是未知的。除了它的临床过程,其他观察结果表明,动明显不同于女士自身抗体的高患病率9,25和无数的报道炎性opticospinal疾病和结缔组织疾病有关9,26- - - - - -28建议在b细胞自身免疫缺陷。不像女士,有一个种族偏爱非白人。9,29日日本“opticospinal”女士的行为类似于患者复发动病人30.- - - - - -32和不同immunogenetically日本与西方女士,一直被HLA DR2负面的。33
我们承认这个回顾性研究的局限性。确定和转诊偏见可能影响结果。有些病人我们可能分为动可能被诊断为多发性硬化症和错过了我们的搜索记录。我们最初的动定义,虽然随意,是基于之前的研究。然而,我们客观地评估和丢弃的双边的概念和骨髓炎发生在一个特定的短时间间隔的诊断至关重要。我们相信,动是更广泛的比先前公认的谱,和这种病很可能诊断不足。诊断标准来源于这些数据需要前瞻性评价“高风险”的病人,如与双边和正常的大脑核磁共振成像,以确定其有效性在歧视患者“典型”的女士一般预后差的动。
确认
梅奥诊所和梅奥基金会的支持。
承认
凯瑟琳·阿彻,黎明灯芯,Tischa Agnessi辅助数据录入和统计分析。劳拉Irlbeck协助手稿准备。
脚注
48年会上提出了部分美国神经病学学会;首页旧金山,CA;1996年3月。
- 收到了1998年9月15日。
- 接受1999年4月24日。
引用
- ↵
德维克大肠Myelite subaigue compliquee de神经突optique。牛地中海1894;8:1033年-1034年。
-
Gault f . De la neuromyelite optique aigue。里昂:论文,1894年。
- ↵
德维克大肠Myelite aigue dorse-lombaire de神经突optique, autopsie。国会法语医学(首映会话,里昂)。1895;1:434 - 439。
- ↵
Goulden c .视神经炎和骨髓炎。眼科牧师1914;34:193年-209年。
- ↵
-
斯坦伯FC。视Neuromyelitis(德维克氏病)。报告5例病理研究和文献之回顾。角膜切削42:292 1949;335年,465 - 501。
- ↵
- ↵
- ↵
- ↵
Allbutt TC。在用检眼镜检查的脊柱疾病的迹象。《柳叶刀》1870;1:76年-78年。
- ↵
视Erb w . Ueber das zusammenvorkommen冯神经炎和脊髓炎subacuta。拱Psychiatrie Neureu1880;10:146年-157年。
- ↵
- ↵
- ↵
- ↵
- ↵
拉姆斯登多发性硬化症的临床病理学。第三部分。C:麦艾尔派恩D,拉姆斯登,艾奇逊ED, eds。多发性硬化:重新评价。第二版》。伦敦:丘吉尔利文斯顿1972:311年-621年。
- ↵
- ↵
法泽卡斯F,奥芬巴赫H,视neuromyelitis Strasser-Fuchs s MRI:证据截然不同的实体。J神经Neurosurg精神病学1994;59:1140年-1142年。
- ↵
- ↵
- ↵
- ↵
- ↵
- ↵
- ↵
- ↵
高盛M Herode伯伦斯坦年代,Zanen A .视神经炎,横向脊髓炎,anti-DNA抗体对重症肌无力胸腺切除术后九年。拱感冒1984;27:701年-703年。
- ↵
- ↵
- ↵
- ↵
信:快速的网络通信
你可能也会感兴趣
相关文章
-
没有找到相关文章。
提醒我
推荐的文章
- 文章
髓鞘少突细胞糖蛋白抗体在双边和复发性视神经炎Ramanathan Sudarshini斯蒂芬·w·Reddel安德鲁·亨德森et al。
首页神经病学,神经免疫学神经炎症,2014年10月29日 - 文章
视Neuromyelitis的临床预测复发和生存
院长m . Wingerchuk布莱恩·g·Weinshenker et al。
首页2003年3月11日,神经学, - 文章
区分MOG抗体阳性和AQP4抗体阳性动谱系障碍继同行工人达戈贝托- Callegaro -道格拉斯Kazutoshi佐藤,Marco Aurelio Lana-Peixoto et al。
首页神经学,2014年1月10日 - 观点和评论
国际共识视neuromyelitis谱系障碍的诊断标准迪恩·m·Wingerchuk Brenda Banwell,班纳特Jeffrey l . et al。
首页神经学,2015年6月19日


