头颅MRI自发颅内低血压的预测结果
文摘
自发性颅内低血压的结果已经不可预测。最初的核磁共振的结果相关的结果治疗33自发颅内低血压患者。得到一个好的结果在25 26(97%)患者异常MRI与只有1(14%)的患者7正常MRI (p= 0.00004)。这些发现表明正常初始MRI可怜的结果是可以预见的自发颅内低血压。
自发性颅内低血压越来越被认为是一个重要的原因的新每日持续头痛,尽管最初误诊仍然常见。1自发性颅内低血压的原因是一个自发的脊髓脑脊液漏常与一个潜在的广泛性结缔组织。2大多数情况下自发颅内低血压被认为是自限性的,和最初的治疗集中在一门课程的床靠背和水化。然而,持续的症状出现在大多数患者来就医;对于那些,各种各样的治疗方法是可用的,包括硬膜外血补丁,3经皮纤维蛋白胶位置,4和手术修复潜在的脑脊液漏。5各种治疗方法的报道结果一般都很好,但自发颅内低血压的结果是不可预测的,有些病人有持续的症状使人尽管最大的医疗和手术治疗。绝大多数的自发性颅内低血压患者接受颅磁振造影在临床过程早期之前任何治疗干预。我们的经验,顽固的患者症状通常有正常MRI发现。因此,我们调查了一大群自发颅内低血压患者是否在初始MRI异常可以预测的结果。
方法。
病人人口由一组连续33自发性脊髓脑脊液漏和颅内低血压患者是指我们的评估和治疗。23岁女性和10个男性的平均年龄是41岁(范围13到72岁)。症状是头痛位置在31个病人,nonpositional头痛的一个病人,nonpositional颈部疼痛病人。头颅MRI是用于所有的病人,这对颅内低血压的特点了。脊髓脑脊液漏的存在在所有患者经CT脊髓造影术。放射性核素脑池造影术只有少数患者因为CT脊髓造影术几乎已经完全取代了这个核医学研究在我们的实践。没有一个病人颅脑脊液漏。包括1)保守治疗措施如卧休息,口服水合作用,口服咖啡因,和腹部粘合剂的使用;2)高容量的硬膜外血补丁(80毫升)在胸腰椎结注入;3)经皮纤维蛋白胶的位置; or 4) surgical repair of the CSF leak. Follow-up was complete for all patients with a minimum duration of follow-up of 3 months from the time of last treatment. A good outcome was defined as complete or near-complete resolution of symptoms and a poor outcome as no or only minimal improvement with a continued search for effective treatments. The Fisher exact test was used for statistical analysis.
结果。
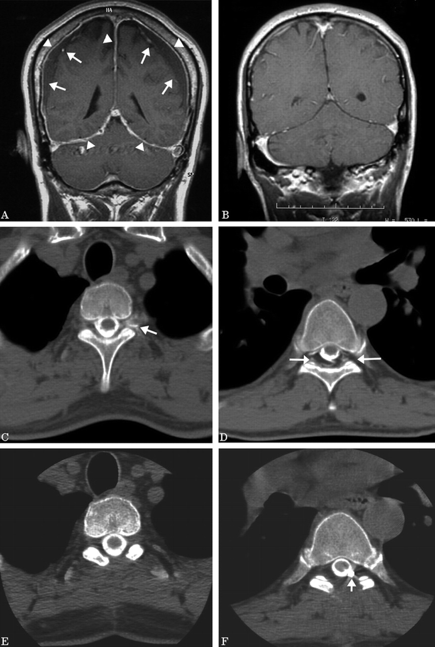
患者的临床和影像学特征进行了总结表。26(78%)的33名患者异常最初的核磁共振成像,和7例(22%)有一个正常的初始核磁共振。在24例MRI异常包括pachymeningeal增强,向下位移(松弛)大脑的17个病人,并在14个病人硬膜下流体集合。金宝搏188手机app得到一个好的结果在25 26(97%)患者异常MRI与只有1(14%)的患者7正常MRI (p= 0.00004)。患者最初的MRI是正常随访MRI研究从未开发的任何异常。所有患者正常初始核磁共振有多个脊髓CSF泄漏。这些患者接受了多种治疗干预措施包括手术用CT myelographic确认成功的所有可视化脑脊液漏的修复(图)。诊断鞘内注入生理盐水进行五的六名病人与正常MRI持久的症状。位置在四个五个病人症状解决盐水,表明存在一个持续的脑脊液漏的设置正常CT脊髓x光像。
讨论。
在这项研究中,最初的MRI结果高度预测的结果自发颅内低血压。异常患者MRI普遍良好的结果,而与正常MRI通常有一个糟糕的结果。这种二分法的原因尚不清楚。
核磁共振有重大影响的识别和理解自发颅内低血压。6核磁共振成像之前,腰椎穿刺是诊断评估的一个重要组成部分,和低开启压力必须被视为异常。此外,正常开启压力自发颅内低血压患者中并不罕见。典型的MRI发现颅内低血压更容易识别和包括pachymeningeal增强,硬膜下流体集合,脑静脉窦的重要性和垂体充血。金宝搏188手机app1、6、7这些异常被认为是与CSF容量的损失补偿机制。7、8另一个频繁的MRI发现大脑的向下位移,或脑下垂,CSF浮力损失的结果。1、6脑膜增强,尤其是在过去一直被认为是颅内低血压的必要条件,6但是它变得明显,脑膜加强或任何其他特性的颅内hypotension-may不在患者自发颅内低血压。9、10在我们的病人,大约五分之一的患者MRI正常。然而,值得注意的是,我们的病人人口倾向于难治性患者寻求手术修补脑脊液漏。自发的诊断颅内低血压患者人群中是无可争议的,因为所有的病人有明确证据的潜在脊髓CT与手术证实脊髓造影术脑脊液漏。
一个可能的解释在我们的研究结果是,患者正常MRI扫描更难以诊断,从而有更长的延迟,直到可以发起有效的治疗。然而,从出现症状的时间第一次磁共振成像和诊断是非常相似的两组患者中。另一种可能的解释是,脊髓脑脊液漏患者的正常MRI是不同的,更难以治疗。然而,该网站、多样性和射线出现脑脊液漏的CT脊髓造影术的两组患者非常相似。
我们假定自发颅内低血压患者和正常MRI缺乏能力来弥补损失的脑脊液体积,从而继续很小的CSF泄漏时症状持续,尽管最大的医疗和手术治疗。
进一步的调查在较大的患者群体需要证实或反驳研究结果在我们的研究中,一个正常的初始MRI是可怜的预测结果在自发颅内低血压。
脚注
收到2004年9月29日。2005年12月21日接受的最终形式。
引用
信:快速的网络通信
你可能也会感兴趣
相关文章
-
没有找到相关文章。
提醒我
推荐的文章
- 文章
自发性脊髓CSF泄漏的一个分类系统Wouter Schievink, m . Marcel玛雅斯泰西jean - pierre et al。
首页神经学,2016年7月20日 - 居民和其他部分
临床推理:underrecognized新每日持续头痛的病因她r·杜瓦尔凯莉·e·罗伯逊,马克Whealy et al。
首页神经学,2019年12月30日 - 文章
敏感的核磁共振脊柱与CT脊髓造影术在直立性头痛与脑脊液漏Amaal燕八哥,法蒂玛埃尔南德斯,约瑟夫·m·Hoxworth et al。
首页神经学,09年10月,2013年 - 简短的沟通
Pseudo-subarachnoid出血:CT-finding自发颅内低血压Wouter Schievink, m . Marcel玛雅詹姆斯Tourje et al。
首页神经学,2005年7月11日


