识别的半影和梗塞核心hyperacute 41和灌注CT
文摘
目的:关联两种类型的早期缺血性改变41 CT (NCCT)(实质hypoattenuation (PH)和孤立的局部肿胀(IFS))并发脑灌注的评估和比较梗死的进展率。
方法:我们评估皮质区域NCCT早期缺血性改变。定量灌注值计算急性皮质区域的CT灌注(CTP)的地图脑血容量cb v()都未,血流量(CBF)、平均运输时间(MTT)。再灌注和梗死的存在从随访MRI测定。
结果:我们研究了增速低于患者40小时前循环缺血性中风;19日收到第四重组组织纤溶酶原激活物。202个地区的强烈hypoperfused CTP, 123是正常NCCT, 58 PH值,21 IFS。cb v急性低PH值地区,都未在IFS地区和高。在IFS地区急性CBF减少,但在PH值地区更是如此。发展为梗死发生在几乎所有PH值区域,但IFS区域梗死主要再灌注率要低得多。cb v急性hypoperfused正常NCCT地区都未包括升高,减少梗塞的风险大大不同。
结论:孤立的局部肿胀识别组织和半影实质hypoattenuation标识梗塞核心。虽然这有预后意义在评估病人是否适合溶栓治疗,大多数的强烈hypoperfused地区出现正常的41 CT。灌注CT可以分层的风险级别的后续梗死41 CT正常区域。
41 CT (NCCT)广泛用于急性中风。1 - 3阿尔伯塔中风项目早期CT评分(方面)提高了检测的可靠性微妙的早期缺血性改变大脑中动脉(MCA)的领土。4、5早期缺血性改变的程度(共同)NCCT与贫穷相关的临床结果,但共同的程度是否应该被用作选择标准溶栓是有争议的。2、3、6最常见的一种共同出现在NCCT是实质hypoattenuation (PH)。2这可能表明严重的大脑组织低灌注和不可逆转的缺血性损伤。3、7局部脑组织肿胀没有PH值不常见,及其预后的重要性是不确定的。8、9它最近暗示,这种孤立的局部肿胀(IFS)可能代表缺血半影或oligemic组织。9
多层螺旋CT扫描仪可以评估脑灌注和船舶状态,添加几分钟CT检查。10、11CT灌注成像(CTP)有两个可逆与不可逆缺血的优势通过生成参数的地图脑血容量cb v()都未,脑血流量(CBF)、和对比平均运输时间(MTT)。12随着后处理软件的进步,cb v绝对可以生成和CBF值。都未13因此,本研究的目的是1)关联区域早期缺血性变化与区域定量CT灌注值,和2)比较进步的利率为这些区域梗死,基于存在和启德和定量CTP值类型。
方法。
病人。
我们前瞻性研究连续前循环梗死患者呈现在6小时内出现症状。只实现了患者临床溶栓是入学的标准。14排除标准为CTP / CT血管造影(CTA)对比剂过敏或肾功能衰竭。病人接受NCCT / CTP / CTA在基线和随访(3天)MRI核磁共振,除非有禁忌症,在这种情况下NCCT / CTA执行。NIH卒中量表(署)之前立即进行急性CT,第三天成像,在第90天。这项研究是我们机构伦理委员会批准。
成像。
CT扫描获得经由扫描仪(16-slice飞利浦Mx8000)。全脑CT表现:41 120千伏、170毫安,2秒扫描一次,连续的6毫米轴向片。其次是灌注CT,组成两个系列40秒。每个系列包括一个图像每片每秒,开始5秒后静脉管理40毫升的非离子碘化对比5毫升/秒的速度通过一个注射器。采集参数80千伏峰值和120 mA。每个灌注系列涵盖了24毫米轴部分收购作为两个相邻12毫米片。第一部分是在基底节、内囊的水平,第二是上面直接放置到顶点。因此,两个相邻的两个灌注CT系列允许评估24毫米的大脑部分。
CTA CTP后进行,使用参数120千伏、125 mAs,切片厚度1.5毫米,1.5:1,第四螺旋扫描模式,管理70毫升的非离子对比以每秒4毫升。Bolus-tracking软件被用来最大化图像采集在高峰之下到来的机会。数据采集来自基地的头骨的侧脑室。
后续成像使用1.5 T MRI(西门子愿景),除非有禁忌症;然后NCCT CTA是重复使用上述协议。总之,中风磁共振成像协议包括一个轴向旋转回声T2加权系列,一个轴向各向同性diffusion-weighted echoplanar旋转回声序列(驾车),飞行时间血管成像(MRA)先生和perfusion-weighted成像(预警指示器)与轴向T2 *三echoplanar序列。15
图像分析。
所有图片都是消除识别信息和编码,以便NCCT不能与CTP或MRI评估(评估者意识到半球影响)。首先,综述了NCCT图像数字化工作站(飞利浦MxView)。分析区域仅限于皮质方面(M1-M6),因为局部肿胀在大脑皮层灰质只能欣赏。5、9评估每个病人的CT扫描基线由二冲程神经学家独立执行。每个区域皮质方面记录为正常,PH值,或假设。实质hypoattenuation被定义为一个地区的异常降低衰减的其他部分相同的结构或对侧半球。5孤立的局部肿胀是定义为明显的不对称沟的没有皮质hypoattenuation抹杀。9口译员之间的分歧被一致决定。
去除了识别信息的CTP数据分析的两个独立中风神经学家。首先,cb v参数的地图,都未CBF和MTT生成与反褶积分析cb v使用商业软件生成,都未CBF和MTT地图(MIStar,阿波罗医学成像,墨尔本,澳大利亚)。12、16计算每个区域皮质方面定量灌注值,两个观察员然后概述了六个方面的区域(M1-6)两个半球的CTP源图像。4、5然而,只有皮质M1-6地区包括,基于更大的对比度增强皮质组织皮层下白质相比。17Hounsfield单位较低阈值被应用于消除任何剩余的白质(或脑脊液)像素从感兴趣的区域。急性灌注值被自动确定cb v从各自的皮层区域,都未CBF和MTT地图(如像素大小和位置是相同的CTP源图像)。减少血管的贡献像素,像素cb v与> 100 mL / g都未被淘汰的计算区域灌注值。18
评估存在的主要的再灌注,两个独立观察者测量急性CTP MTT损伤卷和第三天MR-PWI (MTT)病变卷。MR-MTT地图生成使用反褶积分析软件用于生成相同的CTP地图。16MR-MTT地图coregistered使用这个软件来获取相同的空间位置和轴取向CTP-MTT地图。然后,MR-MTT地图被维图对应的厚度和位置CTP-MTT地图。病变是概述了先生和CTP-MTT地图,然后自动阈值(对应于一个MTT延迟> 2秒侧半球相比)被用来计算损伤体积。急性CTA动脉环最大强度投影重建也没有复查并分级,部分或完整的血管闭塞。第三天MRA (CTA)也分级以同样的方式。这些评估也执行失明患者身份和其他成像数据。
确定梗死发生在大脑皮层区域方面,两种不同的观察者没有参与上述的评估基线扫描(中风神经学家和neuroradiologist)评估了消除识别信息第三天成像。半球的观察家们意识到影响。核磁共振,相对hyperintensity驾车被列为异常。表观扩散系数(ADC)图被认为同时确认hyperintensity最近醉酒驾车是由于梗塞而不是T2-shine从慢性梗塞或vasogenic水肿。19
统计分析。
以下分析被执行,Bonferroni调整申请多个比较在适当的地方,与占据(Version 7,大学城,TX, 2001)。
1。cb v意味着区域比较和CBF皮质方面都未在三NCCT类别(正常、PH值和IFS),以及与对侧的皮层区域,使用配对t测试。在这个分析,区域方面的缺血性病变没有hypoperfused急性CTP是分开对待正常区域NCCT CTP的低灌注。低灌注的定义是> 2秒的延迟在麻省理工方面地区相比,各自侧方面。MTT阈值选择,选择一个CBF阈值来定义hypoperfused地区会直接影响结果的关键study-absolute CBF值在不同的NCCT地区。此外,先前灌注先生和CT研究表明,肝癌和一个阈值最佳识别hypoperfused组织。13、20、21根据这个定义,正常区域NCCT在受影响的半球被定义为hypoperfused (hypoperfused正常)。
2。皮质的比例方面地区每个NCCT类别(正常、PH值和IFS)发展到梗死比较使用费舍尔测试。这对患者分别进行,在第三天没有再灌注。减少再灌注主要被定义为> 80%肝癌病灶体积从急性到第三天或恢复完整的血管再通的第三天。20.
3所示。从上面的执行定量CTP分析地区缺血性脑属于我)不是hypoperfused(没有延迟MTT比各自侧方面地区)。如果有低灌注(MTT >延迟2秒侧方面相比地区),那么这些地区分类根据cb v侧ii)都未减少CBV(超过2个标准差的意思是cb v侧)都未,iii)正常CBV (cb v意味着侧)都未在2个标准差,或iv)增加CBV(超过2个标准差以上意味着cb v侧)都未。皮质的比例每个量化CTP类别方面的地区发展使用费舍尔梗死比较测试。这对患者分别进行,在第三天没有再灌注。
4所示。逻辑回归分析用于预测的可能性皮质梗死区域发展方面,基于存在早期缺血性变化对NCCT或定量CTP分类。同样,这些分析分别对患者和没有重大的再灌注。
结果。
增速低于患者连续65小时临床疑似前循环中风,五个主要脑内出血。十缺血性中风患者溶栓临床除外。两名患者没有接受CTP / CTA由于对比过敏和肾功能衰竭。六个临床腔隙综合征患者,不损伤出现在CTP被排除在外。两个病人与后循环缺血性病变局限于成像被排除在外。因此,总共40缺血性中风患者中分析(平均年龄73岁,四分位范围(差)63到79年;20妇女)。平均基线署16岁(IQR 10到20)。从出现症状到严重的成像的平均时间为2.5小时(差1.5 - 4.0小时)。19个患者接受非盲与标准剂量静脉溶栓治疗重组组织纤溶酶原激活物(rt-PA)。 Fourteen patients were treated between 3 and 6 hours after stroke onset with standard dose IV rt-PA or placebo in an ongoing randomized double-blind trial (EPITHET).15日,21六名病人被排除在溶栓因为早期缺血性变化对基线CT被认为是太广泛了。进一步患者被排除在溶栓是基线CT显示一个小急性硬脑膜下血肿与急性灌注损伤也很大(CTP)。
23个患者主要在第三天再灌注。15这些患者接受非盲rt-PA,和八个收到蒙蔽rt-PA /安慰剂。33有40名患者可见急性血管闭塞的CTA (M1和M2的大脑中动脉)。23的主要患者再灌注在第三天,19日有急性血管闭塞;17这些完整的血管再通和2部分再通了天3。组中没有主要的再灌注,14对CTA有急性血管闭塞,只有一个部分再通的第三天。
早期缺血性改变亚型分析。
皮质方面地区15个40例正常扫描,17有正常和hypodense地区,2只hypodense地区,6正常和IFS的结合区域。按地区,有58 hypoattenuated地区21与孤立的局部肿胀,和123个正常地区hypoperfused CTP。也有进一步的38个区域没有低灌注CTP (表)。这些地区都是正常NCCT。值得注意的是,所有的IFS区域也hypoperfused CTP (MTT延迟> 2秒侧半球相比)。
cb v在受影响的半球,急性(平均都未2.39±0.46毫升/ 100 g)在hypoperfused但正常NCCT区域类似于侧半球CBV(平均2.32±0.21毫升/ 100克)。侧半球区域相比,CBV PH地区显著降低(平均0.87±0.37毫升/ 100克),和在IFS地区明显高于cb v(平均3.47±0.23都未100 mL / g)。
在受影响的半球,急性CBF hypoperfused但正常NCCT地区(平均20.55±3.69毫升/ 100克/分钟)类似于IFS的地区。急性CBF hypoperfused正常NCCT和IFS地区明显低于对侧半球CBF(平均47.90±5.62毫升/ 100克/分钟)。与其他地区相比,CBF PH值显著低于地区(平均10.22±3.79毫升/ 100克/分钟)。
因此,PH值区域cb v明显减少,CBF都未和地区与IFS CBF减少但cb v升高。都未正常的区域出现在与低灌注NCCT CTP CBF减少但cb v相对正常,都未和正常区域NCCT没有低灌注CTP cb v CBF和正常(都未图1)。
进展NCCT地区梗塞。
对所有病人,65 161(40%)的所有正常区域发展到梗塞,但这包括38个正常区域没有hypoperfused CTP。排除这些区域,没有发展到梗塞,意味着65 123 hypoperfused但正常NCCT地区随后梗塞的(53%),对57的58例(98%)PH值区域,21(29%)和6 IFS地区。对于那些主要在第三天再灌注,35 79 (44%)hypoperfused正常NCCT地区发展到梗塞,所有13 PH值区域相比,只有1 14 (7%)IFS地区(图2)。hypoperfused正常和IFS地区比PH值没有出现梗死区域(p< 0.001,Fisher精确)。IFS地区发展到梗塞的比例也低于正常hypoperfused区域(p= 0.01,Fisher精确)。因此,当主要的再灌注发生,发展为梗死率非常高PH值地区,温和的正常NCCT区域也hypoperfused CTP,和低IFS地区。
图2。百分比hypoperfused地区的41 CT (NCCT)组(上)和CT灌注(CTP)组(底部)发展到梗塞。患者的注意,后续再灌注(左),主要有减少梗死的发病几率从实质hypoattenuation (PH)地区,正常NCCT地区,孤立的局部肿胀(IFS)地区。这也是类似的CTP类别,减少梗塞的风险hypoperfused脑血容量减少cb v()都未地区,cb v hypoperfused正常地区,都未cb v hypoperfused增加地区。都未然而,由于缺乏主要的再灌注(右),大部分地区进步梗塞,不管NCCT或CTP类别。
对于那些没有主要的再灌注,44(68%)的30 hypoperfused正常NCCT地区发展,而44 45 PH值(98%)地区和5 6 IFS(83%)地区(图2)。Hypoperfused正常区域比PH值没有出现梗死区域(p< 0.01,Fisher精确),但是相对于主要的再灌注组没有显著差异hypoperfused正常和IFS地区之间发展到梗塞。因此,在患者没有主要的再灌注,发展为梗死率很高NCCT地区hypoperfused的CTP。
定量CTP亚型分析。
cb v基于cb v侧区域,都未正常是都未定义为1.91到2.75毫升/ 100 g。受影响的240个地区的半球,38(16%)没有hypoperfused(无MTT延迟影响半球相比)。有202个地区受影响的半球与低灌注(MTT延迟> 2秒而影响半球)。其中,66年(27%)hypoperfused cb v与正常,都未cb v 82 (34%) hypoperfused减少,都未和54 (23%)hypoperfused cb v增加。都未hypoperfused地区正常NCCT, 66 (54%) cb v正常,都未24 cb v(20%)降低了,都未和cb v 33(26%)增加了。都未所有58 PH值区域cb v降低了,都未cb v和21 IFS的地区都有增加。都未因此,在hypoperfused地区,cb v的可能是在正常范围内,都未增加,或减少而影响半球。值得注意的是,在hypoperfused但正常NCCT地区,同样的cb v广泛的增加(减少)都未见过。
发展量化CTP梗死区域。
对所有病人,78 82 (95%)cb v hypoperfused减少地区都未发展到梗塞,相比66年34 (52%)cb v hypoperfused正常地区,都未和16的54 (30%)cb v hypoperfused增加地区都未。发展为梗死不发生在任何没有hypoperfused CTP的38个地区。主要的再灌注组,34/35 (97%)cb v hypoperfused减少地区都未发展到梗塞,相比14 34 (41%)cb v hypoperfused正常地区,都未和1 38 (3%)hypoperfused cb v增加区域(都未图2)。有不同的地区发展到梗塞的比例在所有三组(Fisher精确,p< 0.001)。因此,CTP hypoperfused地区,发展为梗死率是非常高的cb v减少地区,都未温和cb v正常地区,都未和cb v低增长地区,都未当主要发生再灌注。
对于那些没有主要的再灌注,44/47 (94%)cb v hypoperfused减少地区都未发展到梗塞,vs 20/32 (63%) cb v hypoperfused正常地区,都未和15/16 (94%)hypoperfused cb v增加区域(都未图2)。在这一组,cb v hypoperfused减少地区发展到梗塞都未超过hypoperfused cb v正常区域(都未p= 0.001,Fisher精确)。有一个区别cb v hypoperfused正常cb v和hypoperfused增加地区都未进步都未梗死(p= 0.04,Fisher精确),但这并不重要,当纠正为多个比较。因此,在患者没有主要的再灌注,发展为梗死率很高hypoperfused地区,cb v不管水平都未。
逻辑回归来预测进展NCCT或CTP组梗死。
主要患者再灌注,NCCT集团发展预测梗死,梗死的几率是非常高的PH值比正常或IFS地区(或= 30.6,95%可信区间4.1到230.1,p= 0.001)。然而,NCCT类别的预测强度相对较低(R2= 0.18),反映出,尽管hypodensity NCCT预测梗死和IFS防止梗死,也有大量的正常区域在NCCT极其变量梗死的发病几率。定量CTP组患者主要再灌注也进展的预测梗死,梗死的几率是非常高的cb v hypoperfused减少地区相比都未hypoperfused cb v正常,都未hypoperfused cb v增加,都未或non-hypoperfused地区(或= 37.1,95%可信区间9.1到150.9,p< 0.001)。CTP类别的预测强度远远大于NCCT类别(R2= 0.63)。当评估NCCT组和定量CTP组在一个回归方程相结合,只有CTP组梗死预测进展,再次与梗死的几率很高cb v hypoperfused减少地区相比,其他都未CTP类别(或= 46.4,95%可信区间6.5到333.9,p< 0.001)。相比之下,NCCT集团并不是一个独立的预测梗死的结合方程(或= 0.6,95%可信区间0.04到9.8,p= 0.72)。合并后的回归方程的预测强度不变的CTP类别(R2= 0.63)。这是因为CTP类别分层的优势NCCT梗死正常区域的风险。而且,考虑到所有PH值区域NCCT cb v在减少类别都未CTP(即。,high risk of infarction), and that all IFS regions were in the increased CBV category (low risk), then it follows that NCCT category does not provide any additional predictive accuracy over CTP category.
在病人没有主要的再灌注,类似的结果的主要再灌注患者看到个人回归方程,虽然预测强度方程和口服补液盐比较每组梗死之间的类别的风险要低得多。这表明较高的后续梗死正常NCCT (cb v或hypoperfused,正常)都未和IFS (cb v或hypoperfused,增加)都未地区。NCCT组,或PH值地区进步梗死与正常或IFS地区为5.0 (95% CI 2.0至12.5,pR < 0.001,2= 0.13)。CTP集团,cb v或hypoperfused减少地区都未发展到梗塞相比其他CTP组为3.3 (95% CI 2.0至5.5,pR < 0.001,2= 0.23)。再次,在合并后的回归方程,CTP集团是一个独立的预测发展为梗死(或= 3.0,95%可信区间1.6到5.8,p= 0.001),而NCCT集团没有(或= 1.3,95%可信区间0.4到4.3,p= 0.67)。同样,合并后的回归方程的预测强度不变的CTP类别(R2= 0.23)。
讨论。
本研究相关早期缺血性变化对NCCT立即评估脑灌注(图3)。我们已经证明了IFS的病理生理学是明显不同于博士的地区cb v PH值大大降低,CBF都未和不可逆转地受伤。IFS的地区减少了cb v CBF但升高,都未和可能抢救的梗死主要再灌注,指示界限不明的组织。然而,大多数的敏锐地正常出现在NCCT hypoperfused区域。正常区域出现在NCCT与CTP评估时可能会不可逆的缺血cb v(减少)都未,或hypoperfused和梗死的发病几率(cb v或增加)都未正常与否hypoperfused。出于这个原因,灌注CT提供改进预测精度在NCCT孤单。
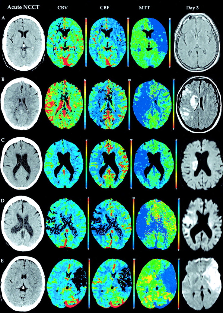
图3。病人答:孤立的局部肿胀(IFS) 41 CT (NCCT),低灌注在平均运输时间(MTT)和脑血容量增加cb v()都未对急性CT灌注(CTP)地图,也没有进展与后续梗死主要再灌注。病人B: IFS NCCT,低灌注在麻省理工,cb v和增加急性CTP地图上都未,但梗死发生没有重大进展再灌注。患者C:低灌注MTT和cb v增加急性CTP地图上都未急性NCCT没有任何变化明显。没有在皮质梗死区域主要在后续再灌注。病人D:低灌注在cb v MTT和减少急性CTP地图上都未NCCT没有任何明显变化。随后梗死出现在cb v减少区域都未随访患者E先生:深刻的cb v下降和CBF急性CTP地图,都未与相关实质hypoattenuation NCCT。在后续先生广泛梗塞。
当前的研究扩展了知识早期脑缺血的病理生理学改变。8、9、22最近的一项研究表明,cb v IFS与增加灌注先生,都未但NCCT之间有相当大的延迟和MRI在大多数病人。9这项研究表明,如果可能是良性的血量减少,或界限不明的组织,但没有控制后续再灌注,由于技术,只能提供相对CBF值。我们的结果与直接灌注成像证实IFS cb v增加,都未但表明IFS地区有大量绝对CBF减少,可能在界限不明的(即。15到25毫升/ 100克/分钟),而不是oligemic,范围(表)。第23 - 25此外,所有IFS地区>的MTT延迟2秒正常半球相比,这是一个相当准确的灌注阈值区分关键低灌注和血量减少。20、21尽管如此,我们不能完全排除一些IFS地区反映良性血量减少而不是像IFS缺血半影区域梗死主要再灌注发生时的风险很低。然而,在缺乏主要的再灌注的情况下,大多数的IFS地区进步梗塞,表明IFS通常不是一个良性的现象。
脑灌注的变化发生在这两种类型的启德强调他们明显不同的病理生理学。强烈的相关性与cb v增加表明IFS都未与脑充血由于代偿血管舒张,是减少脑灌注的最初反应。26相反,PH值是与cb v大幅减少和CBF都未联系在一起。已经认识一段时间,PH值发生严重,可能不可逆的缺血。27日、28日事实上,它已被接受后,PH值与缺血水肿的病理生理学严重CBF减少。27我们的研究证实,PH值只与深刻的CBF减少发生,在这些地区用平均值低于接受为不可逆的缺血阈值(即。,< 15毫升/ 100克/分钟)。第23 - 25然而,推测缺血水肿不一定是完整的解释的PH值,而灰质hypoattenuation也反映了损失之间的cb v正常梯度都未灰色和白色物质。29日我们的研究增加了这有趣的假说的份量,PH值区域cb v明显减少与其他地区相比都未。因此,PH值和IFS cb v反映极端的改变都未在缺血。IFS似乎直接从补偿结果血管舒张(区域血液中导致大幅增加内容),和PH值可能导致缺血水肿和血液相对减少区域的内容。
尽管NCCT cb v可以识别外的变更都未在急性缺血,cb v大幅但不那么极端的变化没有明显都未NCCT。凸显了这个更大的预测精度为后续由定量梗死急性CTP分类相比NCCT分类。在hypoperfused但正常NCCT地区,cb v的范围是广泛而都未对侧的区域(图1)。显然,CTP的另一个优点是区分hypoperfused但正常NCCT地区和NCCT区域是正常的因为他们没有缺血。因此,定量CTP评估允许分层梗塞的风险几乎肯定cb v (hypoperfused减少)都未为零(无灌注不足)。在这些极端之间,有组织梗死的发病几率,cb v和风险水平都取决于水平都未和后续是否主要发生再灌注。Hypoperfused cb v增加的地区,有一个非常低的概率都未梗死主要再灌注,cb v和Hypoperfused区域与正常有更高的风险都未cb v(尽管远低于减少地区)都未发展为梗死的主要再灌注。相比之下,两个hypoperfused cb v区域与正常和hypoperfused地区都未与cb v增加了类似的和非常高的利率都未发展为梗死没有主要的再灌注。因此,hypoperfused cb v减少的地区是不可逆转地都未受伤(缺血性核心),和hypoperfused区域与正常cb v或增加界限不明的。都未毫无疑问,cb v增加是一个很好的预后的标志都未保护梗死主要再灌注。再一次,可能是使用的MTT延迟> 2秒定义低灌注可能包括一些oligemic cb v的地区增加。都未然而,85%的hypoperfused cb v增加的地区发展到梗塞都未没有主要的再灌注。 Therefore, increased CBV in the presence of hypoperfusion is not a benign finding, and (similar to our IFS findings) these regions are still at considerable risk of infarction without major reperfusion.
重要的是要注意潜在的本研究的局限性。首先,我们认为进一步的工作是需要与CTP完全验证绝对灌注值生成。然而,绝对的CT灌注值之前已被证明是类似于氙气CT和PET的价值观。10、11实际上,这是本研究的一个主要优势的评估脑灌注紧随NCCT技术,可以提供绝对的灌注值,而不是相对的值(例如,bolus-tracking MRI)。不知道正是主要的再灌注发生时也是本研究的一个限制。然而,主要的存在再灌注在第三天与广泛的打捞的半影梗死密切相关,对溶栓的一个优秀指标。15、20另一个潜在的缺陷是,治疗病人分配到14 (rt-PA或安慰剂)仍然蒙蔽。然而,随后再灌注状态比治疗更关键的解释我们的结果。尽管增加主要再灌注溶栓治疗,这是否会发生在个别病人无法预测。15日,16日,20因此,临床医生需要知道什么做决定关于主要的再灌注治疗可以增加机会,但有相当大的风险,是否有实质性的不同组织的命运,没有重大的再灌注。
承认
作者感谢在他们医院CT和MR摘录。
脚注
评论,看到页面717年
由澳大利亚国家健康与医学研究委员会项目授予351155年(ID)。
披露:作者报告没有利益冲突。
收到2006年7月10日。2006年11月13日接受的最终形式。
引用
信:快速的网络通信
你可能也会感兴趣
主题讨论
提醒我
推荐的文章
- 神经影像学
神经影像学的标记出血性中风的风险再灌注治疗兰德尔·c·Edgell Nirav Vora et al。
首页神经学,2012年9月24日 - 神经影像学
使用神经影像引导治疗的患者超过8个小时的时间窗口萨他等。
首页神经学,2012年9月24日 - 文章
动脉粥样硬化的作用,凝程度和半影卷在缺血性中风的头痛Hendrikus J.A. van Os,英奇a穆德,艾琳c . van der Schaaf et al。
首页神经学,2016年8月17日 - 文章
中风溶栓效果预测的远端血管闭塞检测沃尔夫冈•g . Kunz马提亚·Fabritius维兰德·h·萨默et al。
首页神经学,2018年4月20日


