与正常受试者的脑造影术先生横向鼻窦脑脊液压力
文摘
流构件或静脉窦的解剖学变异常常让奥造影术(MRV)解释困难。作者调查了111年脑MRV科目与正常脑脊液压力识别最常见的流量异常的横向鼻窦(TS188金宝慱官网下载)。干扰静脉流出的横窦普遍观察到30%的主题而两TS流异常发生在111年的2个人。188金宝慱官网下载受试者在TS流差距应该进行腰椎穿刺排除脑脊液压力增加。
脑造影术先生(MRV)是选择非侵入性技术的可视化脑静脉窦。1信号流的工件或脑静脉窦的解剖变异2、3⇓经常使静脉造影照片先生的解释困难。因为阻塞静脉流出,特别是横向鼻窦(TS),会导致静脉高血压,进而导致增加颅内压,4研究旨在识别临床静脉流出的微不足道的障碍应该在主题与正常脑脊液压力。在目前的研究中,我们调查了在111例脑MRV正常脑脊液压力识别最常见的TS流异常。188金宝慱官网下载
方法。
科目。
共有111名受试者(3188金宝慱官网下载7岁男性,74名女性,年龄在16到68岁,平均40.1岁)为1999年1月至2002年11月患者承认Catanzaro神经学研究所。首页知情同意是获得所有科目。符合条件的患者包括慢性每日头痛或周围神经系统疾病或精神疾病进行腰椎穿刺(LP)用于诊断目的,和正常脑脊液压力。所有的受试者都接受先生和MRV的大脑。先生被排除在本研究之外的标准结构脑损伤的证据,脑积水或脑脊液异常成分、药物摄入量,或系统性疾病,所有这些都可能导致不正常脑脊液压力值。
结果。
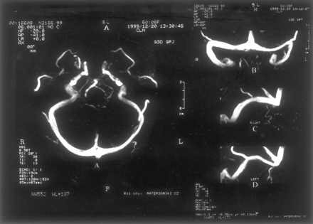
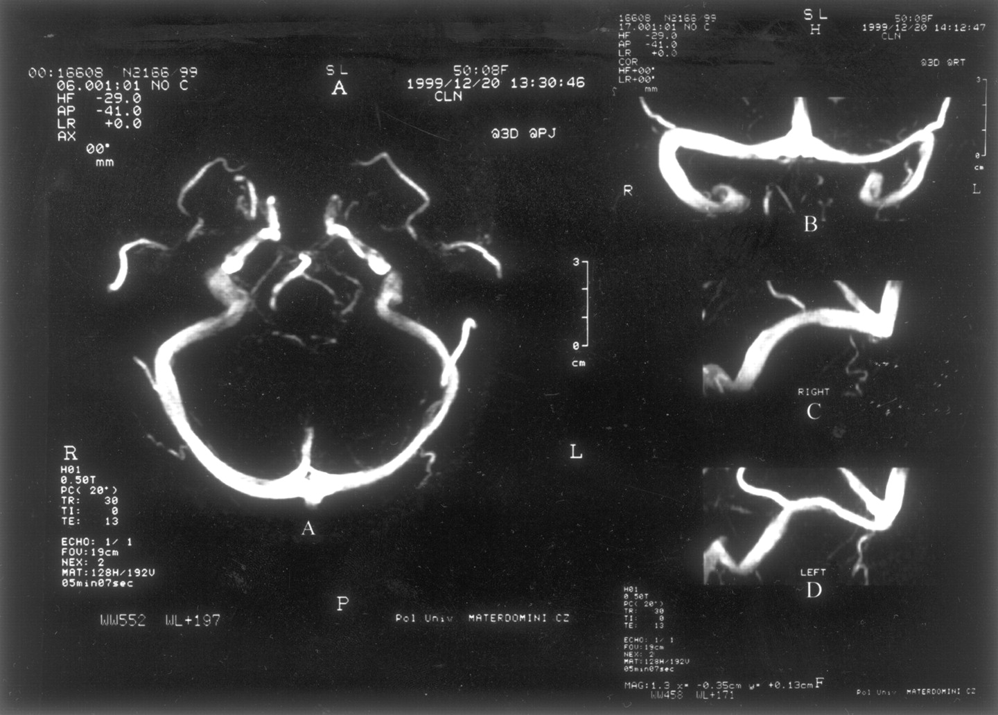
我们调查了111例正常脑脊液压力188金宝慱官网下载(60 - 192毫米范围H2O;意思是135;SD 33)。所有受试者正常的大脑直接上级矢状先生和鼻窦,盖伦的静脉,和内部脑静脉被认为在所有情况下,而枕窦是只有5%的病人。MRV显示正确,左,或共显性的TS在51%,18%,31%的病例。六十六例正常MRV (图1)而45主题显示干扰的一个或两个TS流。流的扰动分类为流动间隙如果缺乏信号流的长度小于或等于三分之一窦。在一个TS流差距观察静脉造影照片先生在29.7% (33/111);188金宝慱官网下载其中,36.4%(12/33)发生在占主导地位的TS。剩下的21例焦流缺口被认为在非惯用(42.4%,14/33)TS的窦或被认为是共显性的(21.2%,7/33)。流缺口位于近端部分TS在15%(5/33)的被试(图2),而流量差距mid-lateral部分TS中85%(28/33)的人(图3)。关于后个人,其中75%(21/28)有焦空白暗示蛛网膜颗粒的流动。缺乏信号流在一个整个TS在9%(10/111)的病例。188金宝慱官网下载值得注意的是,只有2个人(1.8%)焦TS流缺口。
讨论。
目前的研究表明,在一个TS流差距MRV是一种常见的发现在主题与正常脑脊液压力。的确,在我们的系列在一个TS流差距发生在29.7%的受试者,表明在一个TS流缺口出现在MRV可能往往缺乏病理意义。我们的研究结果还表明,在21个33个科目(63.6%)的流量差距的非惯用或共显性的TS,而在12的33(36.4%)例发生在占主导地位的TS流差距。在方差与我们的研究结果,一些作者3发现流差距在MRV从未见过在健康受试者的占主导地位的TS。我们的数据和上述研究之间的差异可能是由于不同的技术。我们使用一个三维相位对比MRV而其他作者3使用一个二维TOF MRV,可能低估了流的干扰技术在脑静脉窦。6有趣的是,在当前的研究中只有2 111例(1.8%)显示在TS流差距,表明两国流扰动的TS很188金宝慱官网下载少发生在个体与正常脑脊液压力。同意这个结果,我们先前表明,大多数科目与慢性每日头痛两TS流有差距的三维相位对比MRV也孤立颅内高血压有或没有视神经乳头水肿。5、7⇓这一发现也证实了最近的一项研究8特发性颅内高血压患者中显示,三维相位对比MRV, TS流差距。在这个病人,静脉造影术和测压法显示障碍物的远端部分TS的近端阻塞,提高压力和膨胀的TS支架减少压力梯度和脑脊液压力。最近的一项研究中,使用auto-triggered elliptic-centric-ordered三维gadolinium-enhanced先生造影术(ATECO MRV),表明两国sinovenous狭窄发生在特发性颅内高血压患者的93%。9虽然ATECO MRV可以提供相当大的好处/飞行时间技术先生,ATECO MRV方法的一个缺点是,它依赖于丸造影剂管理,使过程更加复杂。总的来说,这些发现表明,TS的双边障碍,通过改变大脑静脉引流,可导致静脉高血压,轮流增加脑脊液压力。
值得注意的是流差距主要被发现在TS的mid-lateral部分85%的个体,而只有15%的情况下显示的近端部分TS流差距。因为蛛网膜颗粒通常发生在TS的mid-lateral部分,可以假设在某些个人突出蛛网膜颗粒(或血栓形成在这些解剖结构)可能产生相对腔妥协从而导致压力梯度或扰流。同意这个结果,一些作者10显示硬脑膜的鼻窦的小型或大型蛛网膜颗粒19 29尸体标本;这些发现的绝大多数在TS左侧优势和优惠的本地化mid-lateral窦的一部分。同意这个结果,增强对比度MRV或对比增强CT脑鼻窦的研究显示蛛网膜颗粒的发生在13%和24%的主题。10不同于差距发生在mid-lateral部分TS流,流缺口位于鼻窦的近端部分可能是由于近端发育不全的TS。最后,10 111例(9%)受试者缺乏流信号在整个TS。整个TS的发育不全可能解释这一发现。188金宝慱官网下载
- 收到了2003年5月5日。
- 接受2003年7月26日。
引用
信:快速的网络通信
你可能也会感兴趣
相关文章
-
没有找到相关文章。
提醒我
推荐的文章
- 居民和其他部分
儿童神经病学首页:模仿脑sinovenous血栓形成一个儿科病例分析
伊丽莎白·Kouzmitcheva Pradeep Krishnan, Dlamini Nomazulu et al。
首页神经学,2018年10月15日 - 文章
血管内治疗特发性颅内高血压10个病人的临床和影像学结果
a . Donnet p . Metellus o . Levrier et al。
首页神经学,2008年2月19日 - 文章
脑造影术和测压法在特发性颅内高血压J.O.国王,P.J.米切尔,投资者汤姆森et al。
首页神经学,1995年12月1日 - 文章
测压法结合宫颈穿刺在特发性颅内高血压j . o .国王,p . j .米切尔k·r·汤姆森et al。
首页神经学,08年1月,2002年


