2007年4月17日
;68 (16)
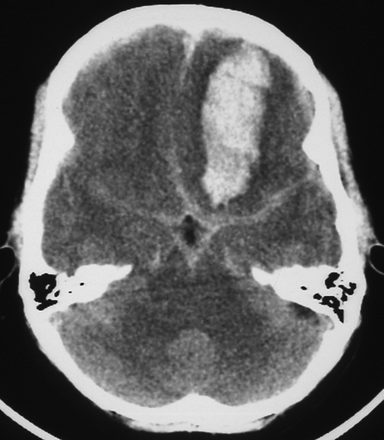
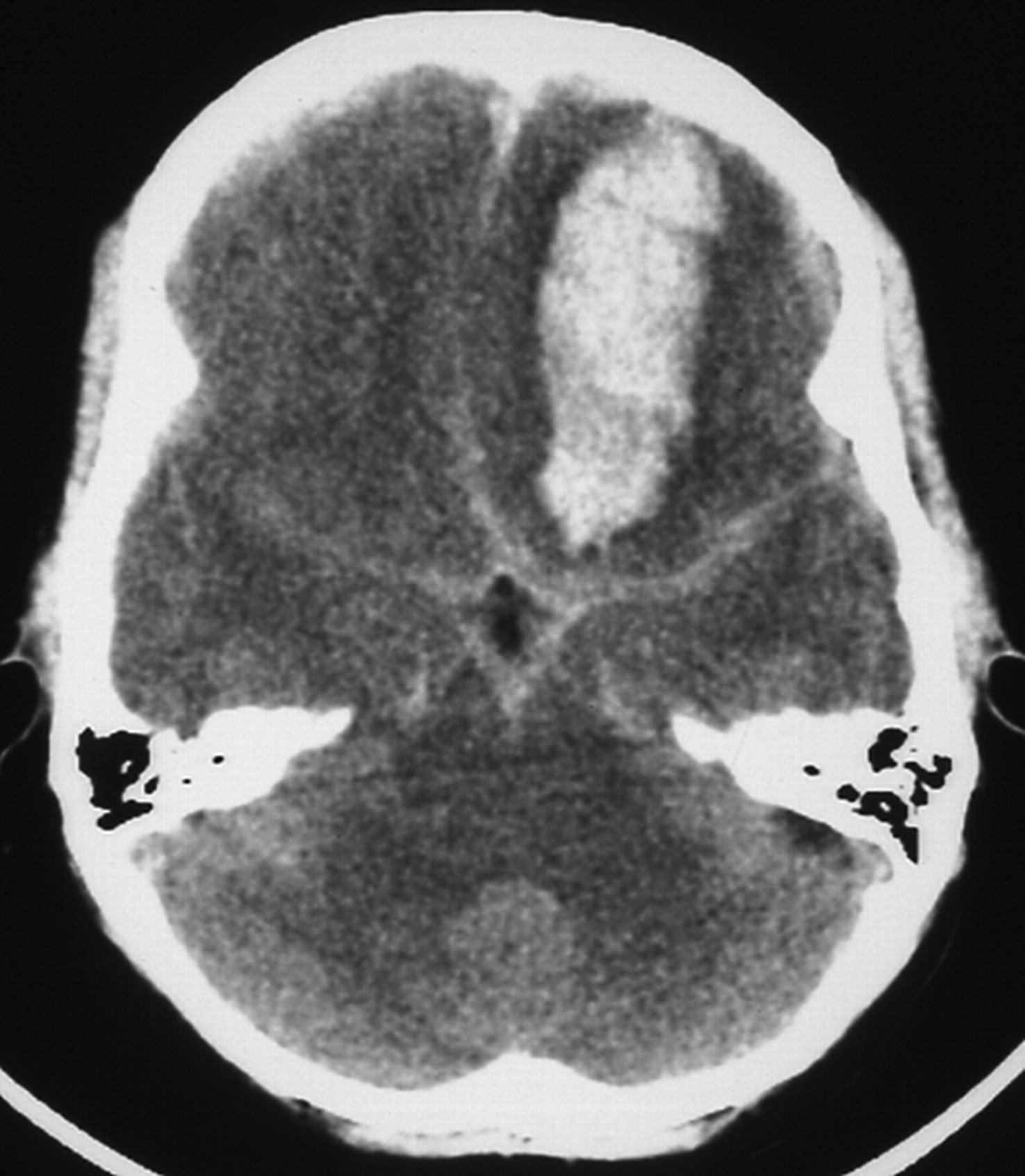
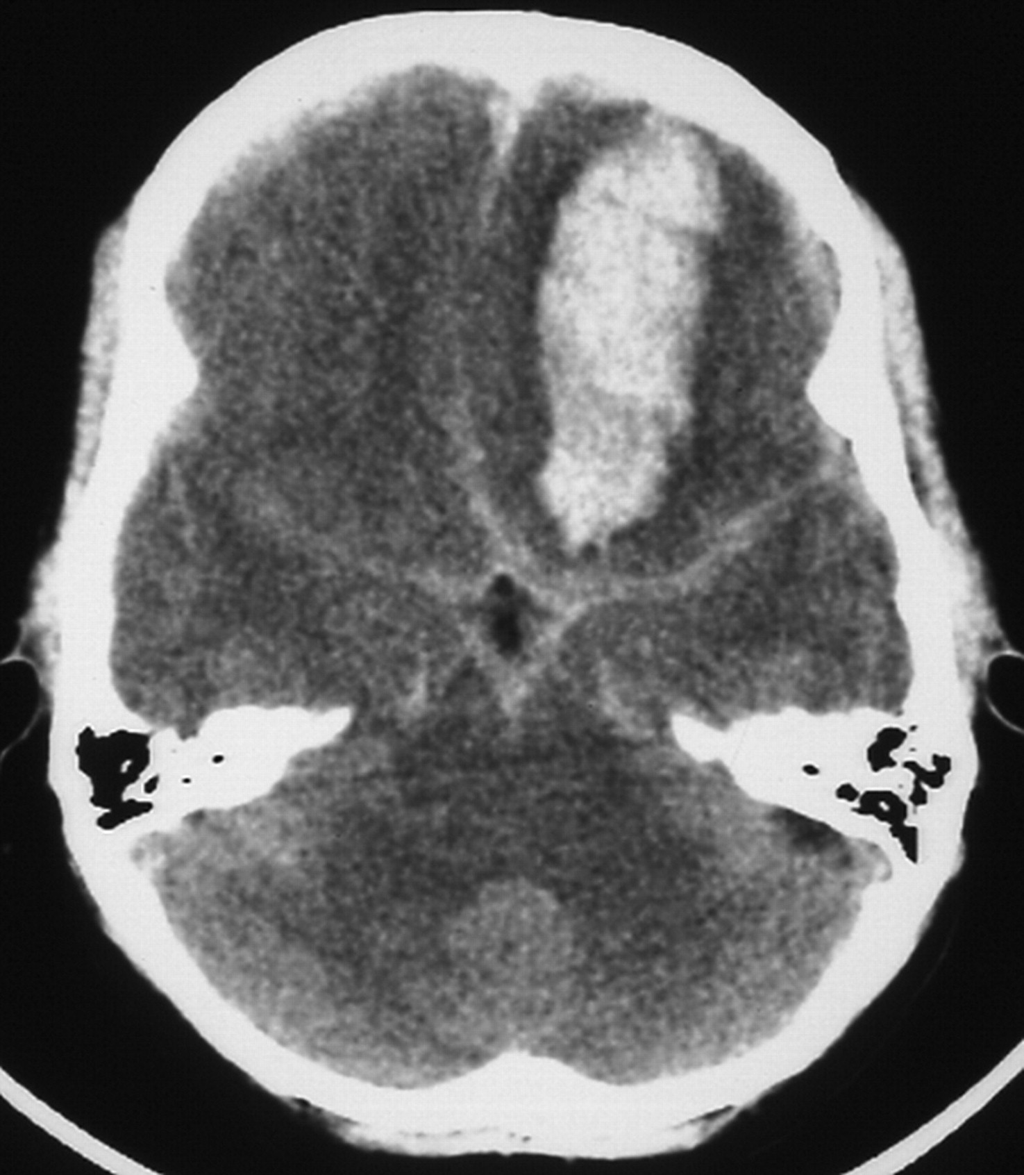
神经图片
脑死亡后瞬态双边手指震颤
玛丽亚Leticia c Araullo,杰弗里。弗兰克,费尔南多·d·戈登伯格,阿克塞尔·j·Rosengart
第一次出版2007年4月16日,
DOI: https://doi.org/10.1212/01.wnl.0000260227.36359.18
玛丽亚Leticia c Araullo
杰弗里。弗兰克
费尔南多·d·戈登伯格
阿克塞尔·j·Rosengart
信:快速的网络通信
你可能也会感兴趣
广告
提醒我
推荐的文章
- 文章
第二个脑死亡考试可能负面影响器官捐赠d . Lustbader d·奥哈拉E.F.M. Wijdicks et al。
首页神经学,2010年12月15日 - 评论
实践电流:当你订单辅助测试来确定脑死亡?纳撒尼尔·m·罗宾斯詹姆斯l . Bernat et al。
首页神经学:临床实践,2018年5月23日 - 特殊的文章
成人循证指南更新:确定脑死亡质量标准委员会的报告,美国神经病学学会首页
科Eelco F.M. Wijdicks,帕诺什·n·万利拉,加里Gronseth et al。
首页神经学、07年6月,2010年 - 观点和评论
脑死亡和法院克里斯托弗·m·伯克尔艾格尼丝·m·Schipper Eelco F.M. Wijdicks et al。
首页神经学,2011年2月28日


