珍珠和牡蛎:迟发性钴胺素C缺乏表现为亚急性合并变性
摘要
钴胺素C (CblC)缺乏是一种罕见的先天性钴胺素(维生素B12)代谢错误,导致膳食维生素B12的细胞内处理受损。这导致了广泛的临床表现,包括认知障碍、精神症状、脊髓病、血栓性事件、肾小球肾炎和肺动脉高压。CblC缺乏症通常出现在儿科人群中,但也可能出现在成年期。由于这种情况的罕见性及其无数的临床表现,在成人中的诊断可能具有挑战性。CblC缺乏症是可以治疗的,因此早期诊断对预防永久性神经损伤很重要。虽然CblC缺乏是由维生素B12代谢缺陷引起的,但B12水平仍然正常。诊断依赖于检测由维生素B12功能障碍改变的代谢物,如甲基丙二酸(MMA)和同型半胱氨酸。我们提出了一个20岁的女性谁提出了慢性进行性下肢无力和感觉改变的情况。由于CblC缺乏,最终被诊断为亚急性联合变性,并得到有效治疗。该病例强调了考虑成年患者先天性代谢错误的重要性,包括在怀疑维生素B12功能障碍时检测MMA和同型半胱氨酸等代谢物。
珍珠
钴胺素C (CblC)缺乏是成人脊髓病的罕见原因。
CblC缺乏症可表现为一系列神经、精神和全身症状。
CblC缺乏症是可以治疗的,早期诊断有助于预防永久性神经损伤。
Oy-sters
仅检测维生素B12而不检测甲基丙二酸(MMA)和同型半胱氨酸会遗漏先天性代谢错误,如CblC缺乏。
病例报告
一名健康的20岁女性,出现9个月的逐渐进行性下肢无力和麻木。她的症状开始于轻微的腿部无力,表现为间歇性的膝盖屈曲和从椅子上站起来困难。几个月后,患者出现下肢麻木和感觉异常。她的虚弱逐渐加重,直到她在没有帮助的情况下无法行走。在整个治疗过程中,患者否认出现上肢症状、认知改变、精神症状、视力问题、血凝块或膀胱/肠道功能障碍。在症状出现之前,没有可识别的疾病、疫苗接种或生理应激源。她否认饮食限制(如素食主义)或娱乐性药物的使用,包括一氧化二氮。无血缘或神经疾病家族史。她接种了最新的疫苗,出生时她的新生儿筛查正常。
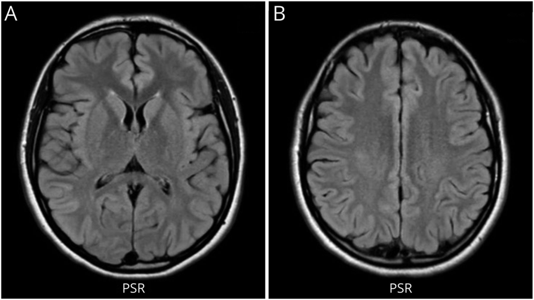
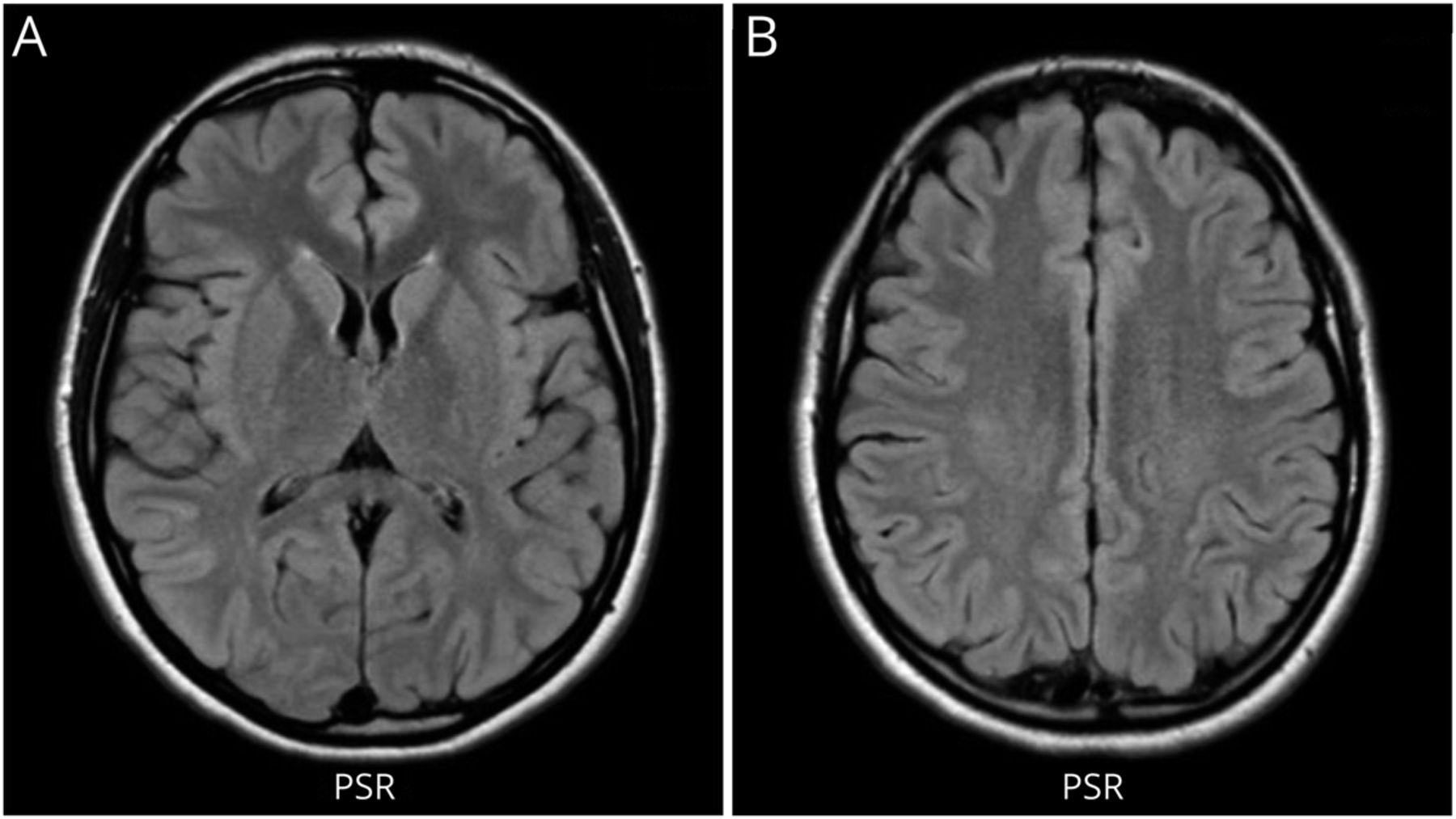
她最初看的是一位神经学家。当时的检查显示认知正常,颅神经完整,眼底正常,上肢力量正常。她的下肢弥漫性无力,全身力量为4/5。上肢反射正常,双侧髌骨有反射,双侧踝关节有阵挛。她的感觉检查显示双侧腿部振动感和本体感觉下降。温度和针刺感幸免。步态宽,需要助行器行走。颈椎和胸椎MRI显示从C5延伸至T11的脊背纵行广泛的T2高强度(图1).肌电图显示多处肌切面出现主动去神经。她的大脑核磁共振成像(图2)和实验室检查结果均不显著,包括正常的维生素B12 (625 pg/mL,参考范围232 - 1245 pg/mL),水通道蛋白4 (AQP4 Ab)阴性,髓鞘少突胶质细胞糖蛋白(抗MOG Ab)抗体阴性。此时未检测MMA和同型半胱氨酸。
她被转到三级护理中心进行进一步评估。腰椎穿刺显示脑脊液剖面正常,低克隆带阴性,脑膜脑炎面板阴性。感染病原体的血清研究均为阴性,包括艾滋病毒、HTLVI/II、梅毒和结核病。风湿学检查正常,包括CRP、ESR、ANA、ANCA、RF、SSA和SSB。最初的营养研究结果并不显著,包括维生素B12 (765 pg/mL)、叶酸、铜和α -生育酚。然而,MMA和总同型半胱氨酸最终分别升高到85.23 umol/L(参考范围0.0-0.40 umol/L)和165 umol/L(参考范围0-14 umol/L)。这引起了对先天性代谢错误的怀疑,因此患者根据经验开始治疗CblC缺乏:羟钴胺素每日5mg IM,甜菜碱1g每日3次,叶酸15mg每日2次,左卡尼汀660 mg每日3次。基因测试证实了复合杂合变异MMACHC基因,c271dupA(病理)和c449T>A(变异意义未知)。她的父母接受了基因检测,确认每人携带1个突变等位基因。由于CblC缺乏,诊断为亚急性合并变性。在开始治疗后5个月的随访中,患者完全能行走,仅髋关节屈肌微弱无力,双侧振动感觉轻度丧失。
讨论
CblC缺乏症是维生素B12代谢的先天性错误,可表现为广泛的神经系统症状,包括脊髓病。虽然这种情况很罕见,但认识到它很重要,因为它很容易治疗。该病例说明了考虑成人先天性代谢错误(如CblC缺乏)的重要性,并在怀疑维生素B12缺乏时将MMA和同型半胱氨酸作为评估的一部分。
CblC缺乏症,也称为合并甲基丙二酸血症和同型半胱氨酸尿(CblC型),是一种罕见的先天性钴胺素(维生素B12)代谢错误,由常染色体隐性变异引起MMACHC染色体1p34.1上的基因。1基因产物,MMACHC(CblC),作为一种分子伴侣,催化膳食B12减少到一种可用于合成功能性辅酶的形式。1的缺陷MMACHC导致膳食中的B12在细胞内转化为腺苷钴胺素(AdoCbl)和甲基钴胺素(MeCbl)的能力受损。这些辅因子的缺失导致甲基丙二酸辅酶a突变酶和蛋氨酸合酶的酶功能受损,这两个酶分别参与甲基丙二酸(MMA)降解和同型半胱氨酸再甲基化成蛋氨酸。2这导致MMA和同型半胱氨酸水平升高,蛋氨酸水平下降,随后出现系统功能障碍。1
90%以上的CblC缺乏症患者在婴儿期出现发育迟缓、发育迟缓、张力减退和癫痫。2一些患者出现在婴儿期(>12个月)之外,被称为迟发性CblC缺乏症。2这些患者成年后可出现广泛的表现,包括认知障碍、精神症状、脊髓病、血栓性事件、肾小球肾炎和肺动脉高压。2,-,4疾病的严重程度和发病年龄取决于基础疾病MMACHC变异。然而,迟发性疾病的临床表现在相同的变异中是高度可变的。3.c271dupA和c331C>T在纯合或复合杂合状态下与更严重的早发型疾病相关。5迟发性疾病与c394C>T和c482G>A变异相关,即使在与c271dupA等更有害变异的复合杂合状态下也表现为迟发性疾病。5,6还描述了其他多种不太常见的变体,但超出了本文的范围。5我们的患者是c271dupA和另一个先前描述的变异c449T> a (pIle150Lys)的复合杂合。后者编码一个带电氨基酸(赖氨酸),而不是一个非极性氨基酸(异亮氨酸)。这是氨基酸性质的一个显著变化,可以改变蛋白质的功能。由于CblC是一种常染色体隐性遗传病,因此可以推断c449T>A变异是病理性的,并且与我们患者晚期表现为c271dupA复合杂合状态相对应。
自21世纪初以来,CblC缺陷一直是美国新生儿筛查的一部分,并于2005年在加利福尼亚州引入。7,8根据病人的年龄,她出生时就没有做过筛查。新生儿筛查有助于早期发现和治疗许多患有这种疾病的人。7早期治疗可提高生存率,并预防许多严重并发症,如溶血性尿毒症综合征和血液学异常。然而,无论治疗如何,患有早发性疾病的个体往往会出现认知障碍和视力丧失。5迟发病例往往做得更好,可以完全解决缺陷的治疗。5尽管新生儿筛查取得了成功,但目前尚不清楚目前的筛查方法是否对较轻微的CblC缺乏症敏感,因为有几例病例被新生儿筛查遗漏了。6,9
脊髓病是迟发性CblC缺乏症的常见表现。Huemer等人在58例病例中发现了12例脊髓病,Wang等人在16例病例中发现了脊髓病。2,3.患者表现为孤立的亚急性合并变性和周围神经病变。最初,根据病史和影像学检查结果,怀疑缺乏维生素B12。然而,在最初的接触中,维生素B12被单独检查,没有MMA或同型半胱氨酸。这导致了不存在维生素B12功能障碍的过早结论,并最终推迟了诊断。B12代谢障碍仅在MMA和同型半胱氨酸检查后才被发现。这说明了在脊髓病的鉴别诊断中包括CblC缺乏以及在怀疑维生素B12缺乏时检测MMA和同型半胱氨酸的重要性。
患者接受羟钴胺素、甜菜碱和叶酸治疗,症状有所改善。目前的指南建议,一旦怀疑CblC缺乏,就开始静脉注射羟钴胺素和口服甜菜碱。1,5羟钴胺素肌注(IM)起始剂量为每天1 mg或0.3 mg/kg。1,5配方是重要的,因为静脉注射羟钴胺素已被证明比口服氰钴胺素更有效。1,5甜菜碱开始口服250 mg/kg/d,每日分三次。1,5羟钴胺素和甜菜碱均有临床疗效。叶酸、蛋氨酸和左旋肉碱缺乏强有力的证据,只能从理论上推荐。1,5治疗调整为目标维生素B12水平高于1,000,000 pg/mL,蛋氨酸正常化,MMA和总同型半胱氨酸减少。1长期监测的指导方针有限,但监测维生素B12、MMA、总同型半胱氨酸、肾功能和血液学参数是常见的。5所有CblC缺乏症患者在诊断时应由眼科医生检查,无论症状如何。5应建议患者避免蛋白质限制和一氧化二氮暴露,如牙科麻醉。5结果是可变的,从完全恢复到死亡,部分取决于遗传特征和疾病未经治疗的持续时间。迟发性疾病患者往往病情好转,如果及早治疗,病情会有显著改善。1,5
研究资金
作者报告说没有针对性的资金。
信息披露
作者C. Goyne和L. Kansal报告没有披露与手稿相关的信息。去首页Neurology.org/N全面披露。
附录的作者
脚注
去首页Neurology.org/N全面披露。作者认为相关的资金信息和披露(如果有的话)将在文章末尾提供。
提交并经外部同行评审。处理编辑是Roy Strowd III,医学博士,医学博士,医学硕士。
- 收到了2021年10月21日。
- 最终接受2022年11月1日。
- ©2022美国神经病学学会首页
参考文献
信件:快速在线通信
需求
如果你要上传关于文章的信件:
您必须在六个月内更新您的披露:http://submit.首页neurology.org
您的合著者必须发送一份完整的出版协议表格来首页(对于主要/通讯作者不需要填写以下表格即可),然后再上传您的评论。
如果你在回复一篇关于你最初撰写的文章的评论:
您(和共同作者)不需要填写表格或检查披露,因为作者表格仍然有效
并适用于信件。
提交规格:
- 文章必须少于200字,参考文献少于5篇。参考文献1必须是你所评论的文章。
- 投稿者不得超过5人。(例外:原作者回复可以包括文章的所有原作者)
- 只可提交发稿日起6个月内发表的文章。
- 不要冗余。在提交之前阅读文章上已经发布的任何评论。
- 提交的意见在发表前须经过编辑和编辑审查。


