教学视频神经影像:PURA综合征的定格舞蹈
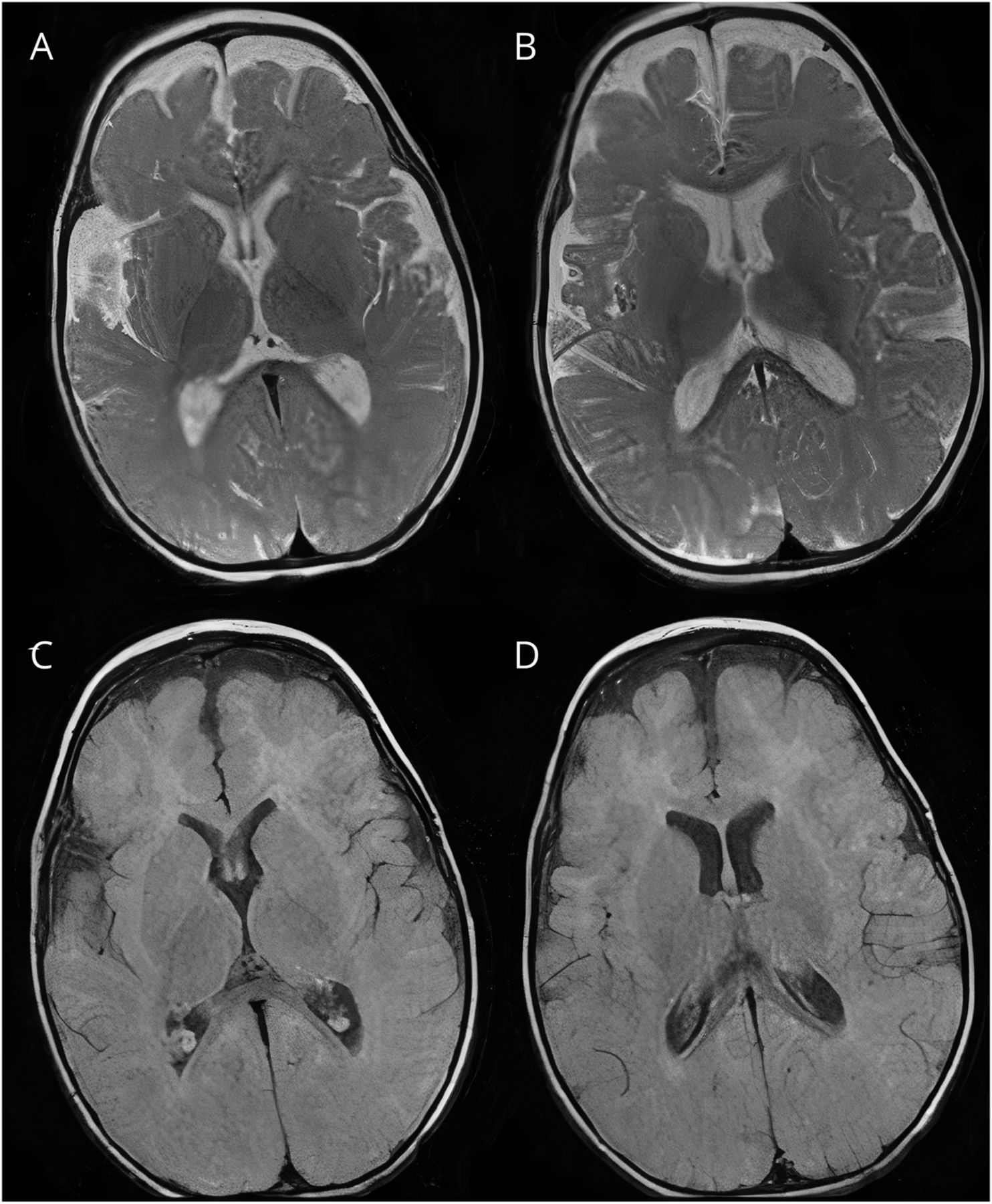
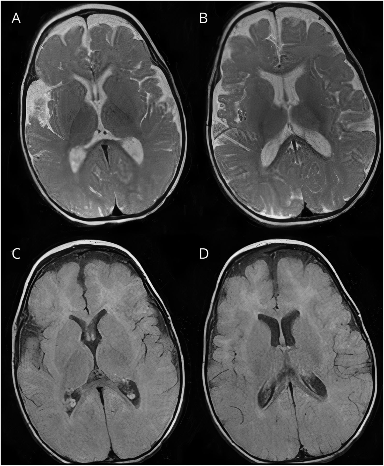
一名5岁女孩,面部特征异常,斜视,水平眼震,张力减退,有嗜睡史,癫痫发作和发育迟缓,开始出现全身性复杂运动障碍。临床表现为混合性多动性运动障碍,包括舞蹈症、肌张力障碍、肌阵挛和手部定型。广义抽搐的出现,与那些复杂的动作穿插在一起,就像定格动画(视频1),类似于动画技术,在动画技术中,物体以小幅度的物理操作和逐帧拍摄。脑部核磁共振显示轻度额叶皮质萎缩(数字).进行遗传调查,进行CGH阵列,在PURA基因中发现一个致病变异arr[GRCh37]5q31.2q31.3(139033279_140058893)x1,与PURA综合征相容。1在有全面发育迟缓的婴儿中出现复杂的多动力运动障碍可能是诊断PURA综合征的重要线索。如果不进行遗传研究,受影响的患者可能被误诊为动力障碍脑瘫。2
视频1
患者运动障碍:患者表现为轴性低张力障碍和混合性多动力运动障碍,包括舞蹈病、肌张力障碍、肌痉挛和手部定型,给人以“定格”舞蹈病的印象。下载补充视频1通过http://dx.doi.org/10.1212/201605_Video_1
研究资金
作者报告说没有针对性的资金。
信息披露
所有作者均报告未披露与稿件相关的信息。去首页Neurology.org/N全面披露。
附录的作者
脚注
去首页Neurology.org/N全面披露。
提交并经外部同行评审。处理编辑是副主编Roy Strowd III,医学博士,医学博士,医学硕士。
- 收到了2022年5月7日。
- 最终接受2022年10月11日。
- ©2022美国神经病学学会首页
信件:快速在线通信
需求
如果你要上传关于文章的信件:
您必须在六个月内更新您的披露:http://submit.首页neurology.org
您的合著者必须发送一份完整的出版协议表格来首页(对于主要/通讯作者不需要填写以下表格即可),然后再上传您的评论。
如果你在回复一篇关于你最初撰写的文章的评论:
您(和共同作者)不需要填写表格或检查披露,因为作者表格仍然有效
并适用于信件。
提交规格:
- 文章必须少于200字,参考文献少于5篇。参考文献1必须是你所评论的文章。
- 投稿者不得超过5人。(例外:原作者回复可以包括文章的所有原作者)
- 只可提交发稿日起6个月内发表的文章。
- 不要冗余。在提交之前阅读文章上已经发布的任何评论。
- 提交的意见在发表前须经过编辑和编辑审查。


