2023年4月18日
;100(16补充1)
认知和行为神经学首页
开放获取
教学神经图片原发性进行性失语:迟滞型变体
一种独特的clinico-anatomical综合症
查尔斯·r·马歇尔,克里斯托弗J.D.哈迪,马丁·n·Rossor,杰森·d·沃伦
第一次出版2023年4月21日,
DOI: https://doi.org/10.1212/WNL.0000000000206915
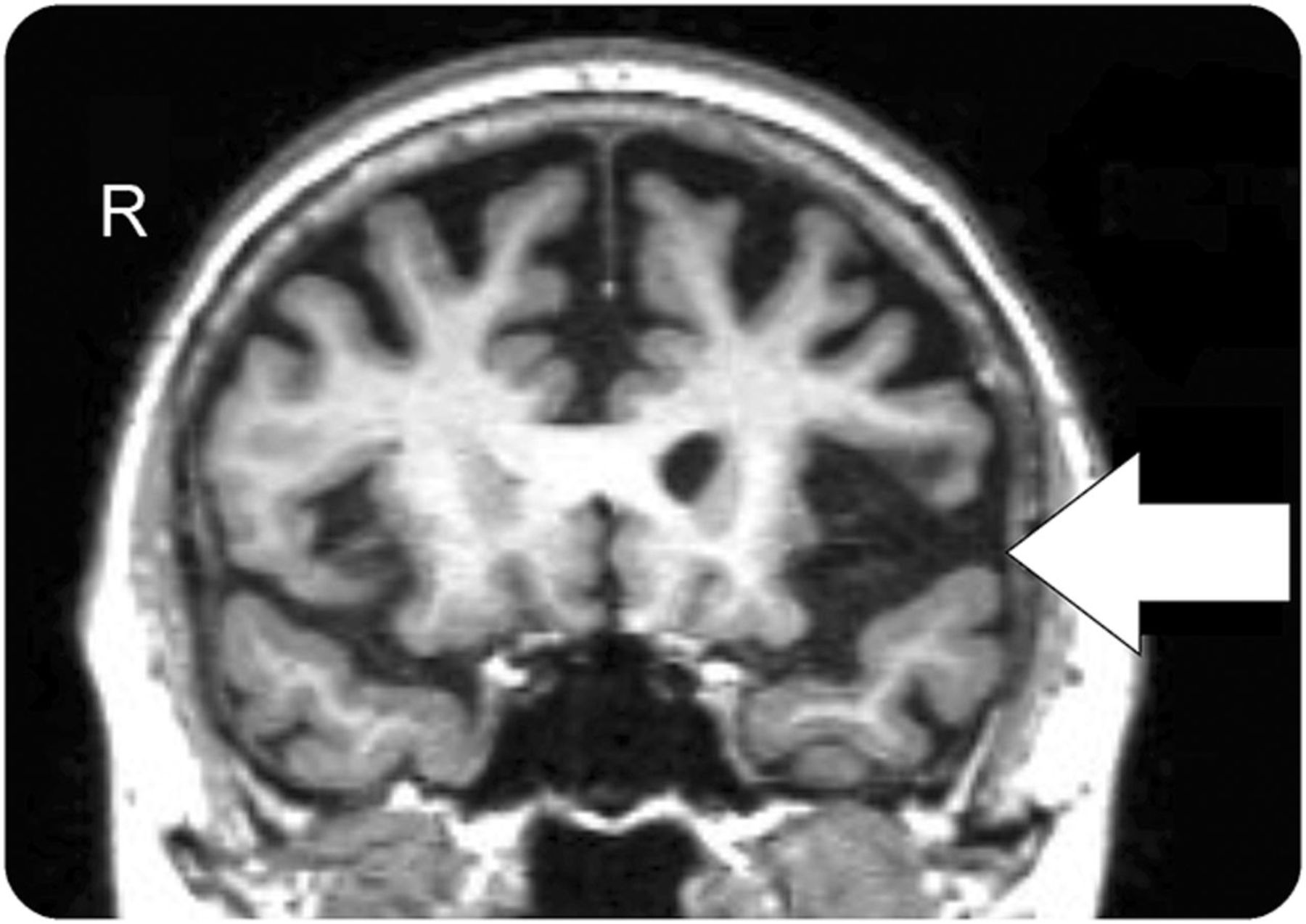
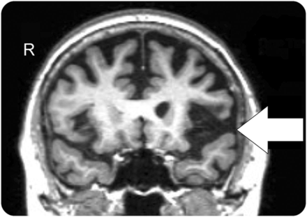
一个66岁的女人面对四年的进步言语困难。她迟滞型语音音素的错误但完整的单字原图理解知识和对象。她的语法是在语音和文字受损,她表现出orofacial失用症。clinico-radiologic(见图)诊断原发性进行性失语迟滞型变体。
迟滞型原发性进行性失语变体在额颞叶痴呆的频谱是一种神经退行性疾病,特点是典型的语言和脑萎缩模式。1最常由于τ病理学,临床医生应该警惕潜在的发展进步的核上的麻痹或corticobasal综合症。2
作者的贡献
C.R.M.:image selection and drafting of the manuscript. C.J.D.H., M.N.R., J.D.W.: critical revisions of the manuscript.
研究资金
老年痴呆症研究中心的感谢的支持NIHR女王广场痴呆生物医学研究单位。这篇文章加工费是由威康信托基金会支付。
信息披露
马歇尔是由神经学临床奖学金的伦纳德沃尔夫森实验中心在伦敦大学学院。首页c·哈迪持有MRC博士奖学金。m . Rossor NIHR调查员。j·沃伦维尔康姆基金会高级研究员。去首页Neurology.org为充分披露。
脚注
转载自首页2011;87 (23):e283。doi: 10.1212 / WNL.0000000000003408
下载教学幻灯片:首页Neurology.org
- ©2016美国神经病学学会的首页
这是一个开放的分布式根据文章Creative Commons归因执照4.0 (CC),它允许无限制的使用、分配和复制在任何媒介,提供最初的工作是正确引用。


