2023年1月31日
;100 (5)
住院医师及研究员组
神经影像教学:小脑蚓部卒中继发急性起病步态不稳和侧推
查看ORCID配置文件加林娜Gheihman,雅各Yomtoob,Anand Viswanathan
第一次出版2022年11月4日,
DOI: https://doi.org/10.1212/WNL.0000000000201557
加林娜Gheihman
来自布莱根妇女医院神经内科(g.g., J.Y首页.);和神经内科(g.g., j.y., 首页A.V.),麻省总医院,波士顿,马萨诸塞州。
雅各Yomtoob
来自布莱根妇女医院神经内科(g.g., J.Y首页.);和神经内科(g.g., j.y., 首页A.V.),麻省总医院,波士顿,马萨诸塞州。
Anand Viswanathan
来自布莱根妇女医院神经内科(g.g., J.Y首页.);和神经内科(g.g., j.y., 首页A.V.),麻省总医院,波士顿,马萨诸塞州。
例描述
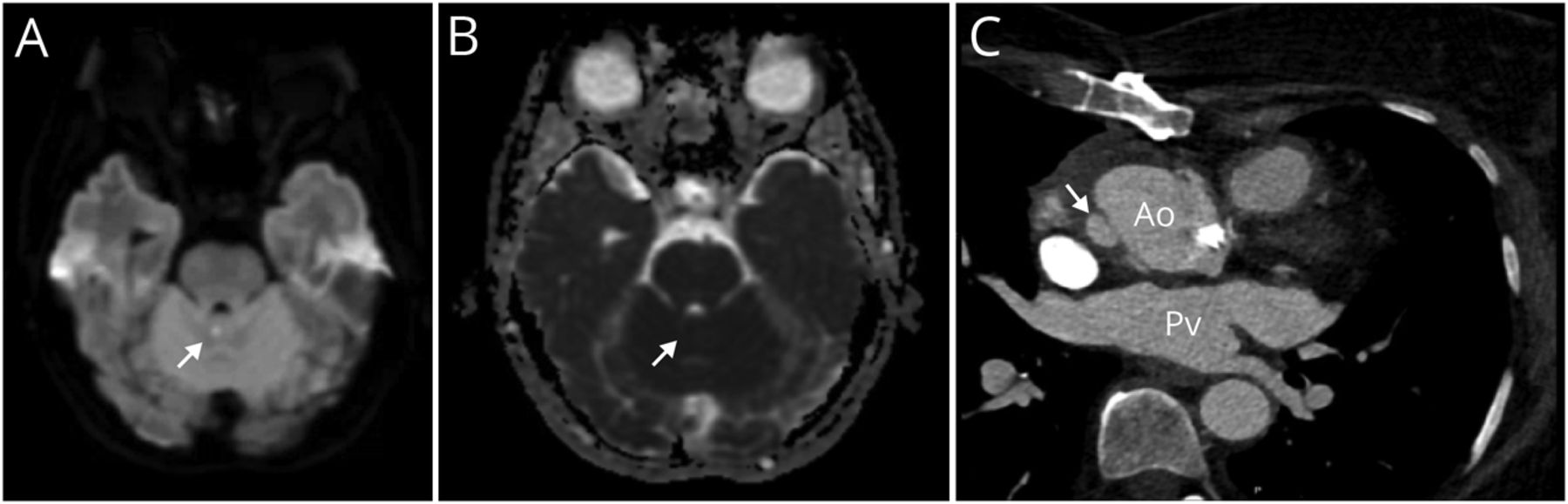
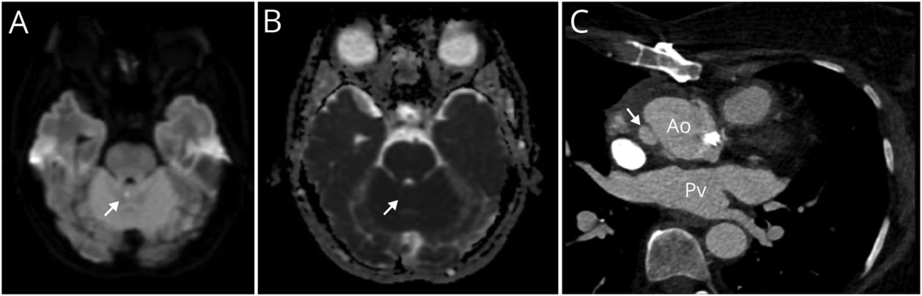
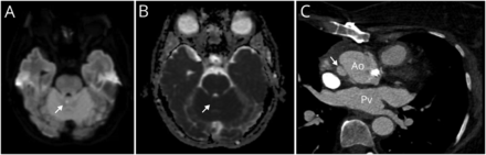
65岁女性,高血压、高脂血症、升主动脉瘤修补、瓣膜置换术、围术期房颤(未抗凝),出现突发性失衡。患者在跑步机上经历急性步态不稳,无眩晕。她抓住栏杆,保持在中线;除此之外,她向右倾斜。检查显示过去指向和步态共济失调,无构音障碍或眼震。脑MRI示小上蚓梗死。MRA未见明显狭窄。胸部CTA显示已知的主动脉假性动脉瘤增加(数字).这种假性动脉瘤不会形成血栓或成为栓塞源;她继续服用阿司匹林,没有抗凝。步态不稳和眩晕是小脑梗死的常见表现1;在累及蚓部的病变中可见孤立的侧推。2
研究资金
作者报告说没有针对性的资金。
信息披露
作者报告没有相关披露。去首页Neurology.org/N全面披露。
鸣谢
我们感谢患者同意我们分享这个案例用于教学目的。
附录的作者
脚注
去首页Neurology.org/N全面披露。
提交并经外部同行评审。处理编辑是Roy Strowd III,医学博士,医学博士,医学硕士。
- 收到了2022年4月26日。
- 最终接受2022年9月27日。
- ©2022美国神经病学学会首页
信件:快速在线通信
本文尚未发表评论。
需求
如果你要上传关于文章的信件:
您必须在六个月内更新您的披露:http://submit.首页neurology.org
您的合著者必须发送一份完整的出版协议表格来首页(对于主要/通讯作者不需要填写以下表格即可),然后再上传您的评论。
如果你在回复一篇关于你最初撰写的文章的评论:
您(和共同作者)不需要填写表格或检查披露,因为作者表格仍然有效
并适用于信件。
提交规格:
- 文章必须少于200字,参考文献少于5篇。参考文献1必须是你所评论的文章。
- 投稿者不得超过5人。(例外:原作者回复可以包括文章的所有原作者)
- 只可提交发稿日起6个月内发表的文章。
- 不要冗余。在提交之前阅读文章上已经发布的任何评论。
- 提交的意见在发表前须经过编辑和编辑审查。


