2023年2月14日
;100 (7)
住院医师及研究员组
教学视频神经影像:迟发性放射引起的单侧舌肌无力
Gianmaria Senerchia,Valentina Virginia Iuzzolino,查看ORCID配置文件斯特凡诺Zoccolella,洛伦佐Ugga,罗莎Iodice,百花大教堂Manganelli,拉斐尔Dubbioso
第一次出版2022年11月29日
DOI: https://doi.org/10.1212/WNL.0000000000201607
Gianmaria Senerchia
来自那不勒斯费德里科二世大学生殖科学和口腔医学神经科学系(g.s., v.i., r.i., f.m., R.D.);巴里圣保罗医院临床神经生理科(S.Z.);意大利那不勒斯费德里科二世大学高级生物医学科学系。
Valentina Virginia Iuzzolino
来自那不勒斯费德里科二世大学生殖科学和口腔医学神经科学系(g.s., v.i., r.i., f.m., R.D.);巴里圣保罗医院临床神经生理科(S.Z.);意大利那不勒斯费德里科二世大学高级生物医学科学系。
斯特凡诺Zoccolella
来自那不勒斯费德里科二世大学生殖科学和口腔医学神经科学系(g.s., v.i., r.i., f.m., R.D.);巴里圣保罗医院临床神经生理科(S.Z.);意大利那不勒斯费德里科二世大学高级生物医学科学系。
洛伦佐Ugga
来自那不勒斯费德里科二世大学生殖科学和口腔医学神经科学系(g.s., v.i., r.i., f.m., R.D.);巴里圣保罗医院临床神经生理科(S.Z.);意大利那不勒斯费德里科二世大学高级生物医学科学系。
罗莎Iodice
来自那不勒斯费德里科二世大学生殖科学和口腔医学神经科学系(g.s., v.i., r.i., f.m., R.D.);巴里圣保罗医院临床神经生理科(S.Z.);意大利那不勒斯费德里科二世大学高级生物医学科学系。
百花大教堂Manganelli
来自那不勒斯费德里科二世大学生殖科学和口腔医学神经科学系(g.s., v.i., r.i., f.m., R.D.);巴里圣保罗医院临床神经生理科(S.Z.);意大利那不勒斯费德里科二世大学高级生物医学科学系。
拉斐尔Dubbioso
来自那不勒斯费德里科二世大学生殖科学和口腔医学神经科学系(g.s., v.i., r.i., f.m., R.D.);巴里圣保罗医院临床神经生理科(S.Z.);意大利那不勒斯费德里科二世大学高级生物医学科学系。
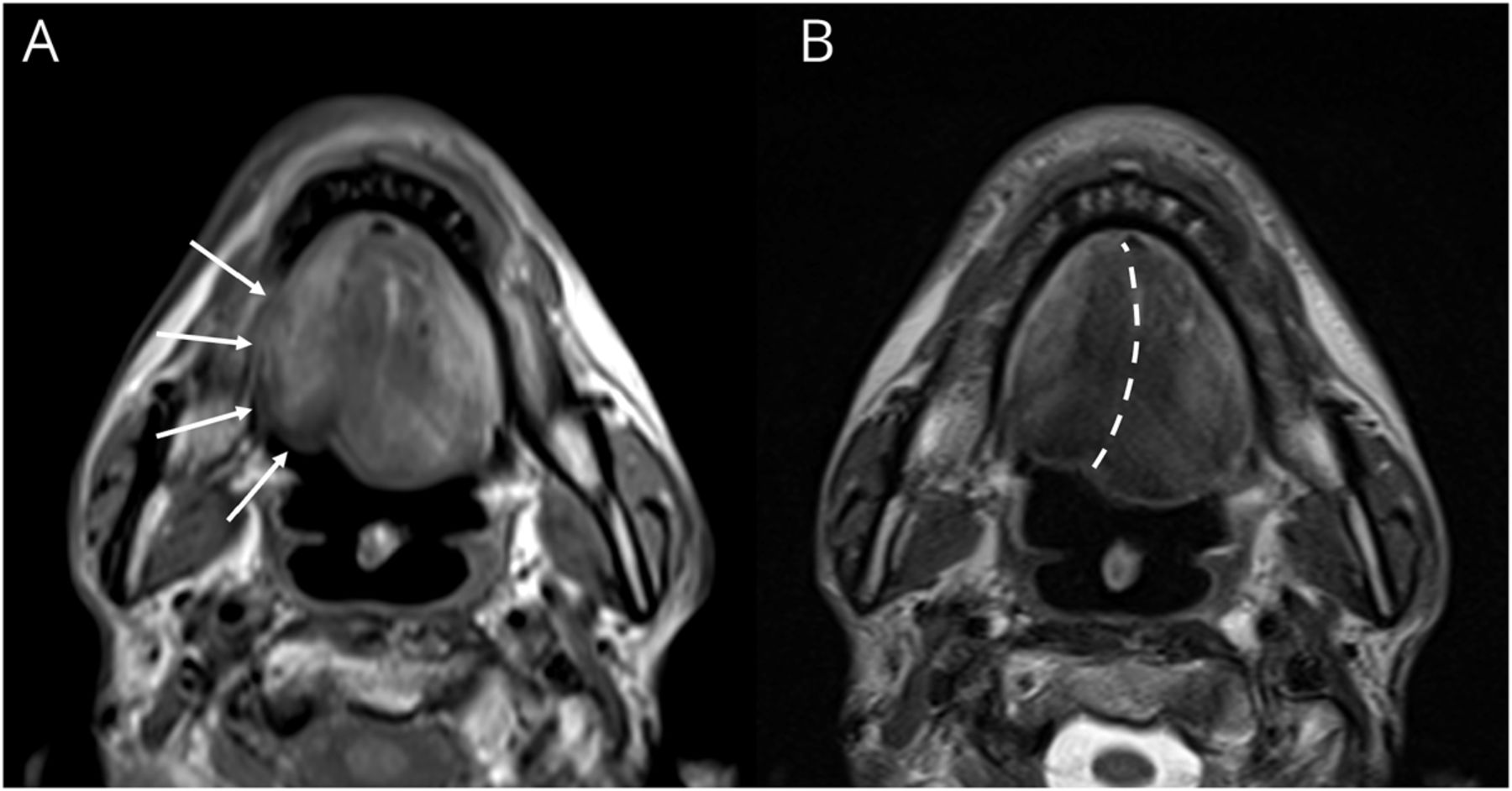
一位49岁的未分化鼻咽癌患者接受了2个周期的化疗,随后进行了右侧头颈部放射治疗。13年后,他出现了进行性吞咽困难和构音障碍。神经学检查显示萎缩伴波状运动及右侧舌部明显波纹;针刺肌电图显示右侧颏舌肌(视频1)。头颈部MRI证实孤立单侧舌萎缩(数字),而喉镜检查显示吞咽开始延迟和喉抬高降低。
视频1
右侧舌萎缩和肌萎缩(第1部分)。右侧颏舌肌的针刺肌电图显示,肌萎缩性放电由单个运动单位电位的重复爆发组成,以规律的间隔(每秒3次)发生,内爆发频率约为50 Hz(第2部分)。下载补充短片1通过http://dx.doi.org/10.1212/201607_Video_1
放射治疗的延迟效应甚至可以在几十年后看到,并且与放射剂量直接相关。1舌肌张力放电可能是由于微血管损伤和纤维化引起舌下神经损伤,并伴随轴突膜的高兴奋性。1在肿瘤患者中,肌萎缩症通常与放射诱导的神经病变有关,而不是与癌症复发有关。2
研究资金
没有报告有针对性的资金。
信息披露
作者未报告相关披露。去首页Neurology.org/N完整的信息披露。
附录的作者
脚注
去首页Neurology.org/N完整的信息披露。
提交和外部同行评审。处理编辑是Whitley Aamodt,医学博士,公共卫生硕士。
- 收到了2022年7月22日。
- 接受最终形式2022年10月11日。
- ©2022美国神经病学学会首页
信件:快速在线通信
本文没有发表评论。
需求
如果你上传的是与文章有关的信件:
您必须在六个月内更新您的信息披露:http://submit.首页neurology.org
您的共同作者必须发送一份完整的出版协议表格来首页在您上传您的评论之前,员工(不需要主要/通讯作者,因为下面的表格就足够了)。
如果你是在回复一篇关于你原创文章的评论:
您(和共同作者)不需要填写表格或检查披露信息,因为作者表格仍然有效
并适用于信件。
提交规格:
- 投稿必须少于200字,参考文献少于5篇。参考文献1必须是你正在评论的文章。
- 投稿者不得超过5人。(例外:原作者回复可以包括文章的所有原作者)
- 只可提交6个月内发表的文章。
- 不要多余。在提交之前,阅读任何已经张贴在文章上的评论。
- 提交的评论在发布之前要经过编辑和编辑的审查。


