跳到主要内容
广告
  • 首页Neurology.org
  • 期刊
    • 首页
    • 临床实践
    • 教育
    • 遗传学
    • 神经免疫学与神经炎症
  • 在线部分
    • 首页神经病学视频杂志俱乐部
    • 多样性、公平和包容(DEI)
    • 护理服务的创新
    • 实践的嗡嗡声
    • 当前实践
    • 住院医师和研究员
    • 无国界
  • 188app官网下载
    • 新型冠状病毒肺炎
    • 争议与争论
    • 健康差异
    • 信息图
    • 首页神经学未来预测系列
    • 零假设
    • 188app苹果
    • 话题无所不包的
    • 翻译
  • 188bet官网app网址
  • 芝加哥商品交易所
  • 关于
    • 关于期刊
    • 1888博金宝
    • 188app
  • 作者
    • 提交新稿件
    • 提交修改稿
    • 作者中心

高级搜索

主菜单

  • 首页Neurology.org
  • 期刊
    • 首页
    • 临床实践
    • 教育
    • 遗传学
    • 神经免疫学与神经炎症
  • 在线部分
    • 首页神经病学视频杂志俱乐部
    • 多样性、公平和包容(DEI)
    • 护理服务的创新
    • 实践的嗡嗡声
    • 当前实践
    • 住院医师和研究员
    • 无国界
  • 188app官网下载
    • 新型冠状病毒肺炎
    • 争议与争论
    • 健康差异
    • 信息图
    • 首页神经学未来预测系列
    • 零假设
    • 188app苹果
    • 话题无所不包的
    • 翻译
  • 188bet官网app网址
  • 芝加哥商品交易所
  • 关于
    • 关于期刊
    • 1888博金宝
    • 188app
  • 作者
    • 提交新稿件
    • 提交修改稿
    • 作者中心
  • 首页
  • 最新文章
  • 最新一期
  • 过去的问题
  • 首页神经病学视频杂志俱乐部
  • 住院医师和研究员

用户菜单

  • 订阅
  • 我的提醒
  • 登录

搜索

  • 高级搜索
首页
首页
最广泛阅读和高度引用的同行评议神经学杂志首页
  • 订阅
  • 我的提醒
  • 登录
网站的标志
  • 首页
  • 最新文章
  • 最新一期
  • 过去的问题
  • 首页神经病学视频杂志俱乐部
  • 住院医师和研究员

分享

2023年2月21日 ;100 (8) 住院医师及研究员组

临床推理:37岁男性,出现间歇性头晕和短暂的舞蹈动作

查看ORCID配置文件吴本,Wenli张,方强说彭,Miaoyi张,Bo沈,新世,张曰
第一次出版2022年12月1日, DOI: https://doi.org/10.1212/WNL.0000000000201653
吴本
复旦大学附属华山医院神经内科(b.w., M.Z首页, b.s., Y.Z.)和核医学科(X.S.);上海东雷脑科医院神经内科(W.Z, 首页F.P.)。
  • 在谷歌Scholar网站上找到这位作者
  • 在PubMed上找到这位作者
  • 在这个网站上搜索这位作者
  • 吴斌的ORCID记录
Wenli张
复旦大学附属华山医院神经内科(b.w., M.Z首页, b.s., Y.Z.)和核医学科(X.S.);上海东雷脑科医院神经内科(W.Z, 首页F.P.)。
  • 在谷歌Scholar网站上找到这位作者
  • 在PubMed上找到这位作者
  • 在这个网站上搜索这位作者
方强说彭
复旦大学附属华山医院神经内科(b.w., M.Z首页, b.s., Y.Z.)和核医学科(X.S.);上海东雷脑科医院神经内科(W.Z, 首页F.P.)。
  • 在谷歌Scholar网站上找到这位作者
  • 在PubMed上找到这位作者
  • 在这个网站上搜索这位作者
Miaoyi张
复旦大学附属华山医院神经内科(b.w., M.Z首页, b.s., Y.Z.)和核医学科(X.S.);上海东雷脑科医院神经内科(W.Z, 首页F.P.)。
  • 在谷歌Scholar网站上找到这位作者
  • 在PubMed上找到这位作者
  • 在这个网站上搜索这位作者
Bo沈
复旦大学附属华山医院神经内科(b.w., M.Z首页, b.s., Y.Z.)和核医学科(X.S.);上海东雷脑科医院神经内科(W.Z, 首页F.P.)。
  • 在谷歌Scholar网站上找到这位作者
  • 在PubMed上找到这位作者
  • 在这个网站上搜索这位作者
新世
复旦大学附属华山医院神经内科(b.w., M.Z首页, b.s., Y.Z.)和核医学科(X.S.);上海东雷脑科医院神经内科(W.Z, 首页F.P.)。
  • 在谷歌Scholar网站上找到这位作者
  • 在PubMed上找到这位作者
  • 在这个网站上搜索这位作者
张曰
复旦大学附属华山医院神经内科(b.w., M.Z首页, b.s., Y.Z.)和核医学科(X.S.);上海东雷脑科医院神经内科(W.Z, 首页F.P.)。
  • 在谷歌Scholar网站上找到这位作者
  • 在PubMed上找到这位作者
  • 在这个网站上搜索这位作者
完整的PDF
引用
临床推理:37岁男性,出现间歇性头晕和短暂的舞蹈动作
箱子吴,Wenli张,方强说彭,Miaoyi张,薄沈,鑫史,悦张
首页 2023年2月, One hundred. (8) 389 - 396; DOI:10.1212 / WNL.0000000000201653

引文管理器格式

  • 助理
  • 书挡
  • 值得
  • 尾注(标记)
  • EndNote 8 (xml)
  • 枸杞
  • Mendeley
  • 论文
  • RefWorks标记
  • Ref经理
  • RIS
  • Zotero
权限

做出评论

看到评论

下载
638

分享

  • 文章
  • 图表和数据
  • 信息和披露
加载

文章图片及数据

数据

  • 表
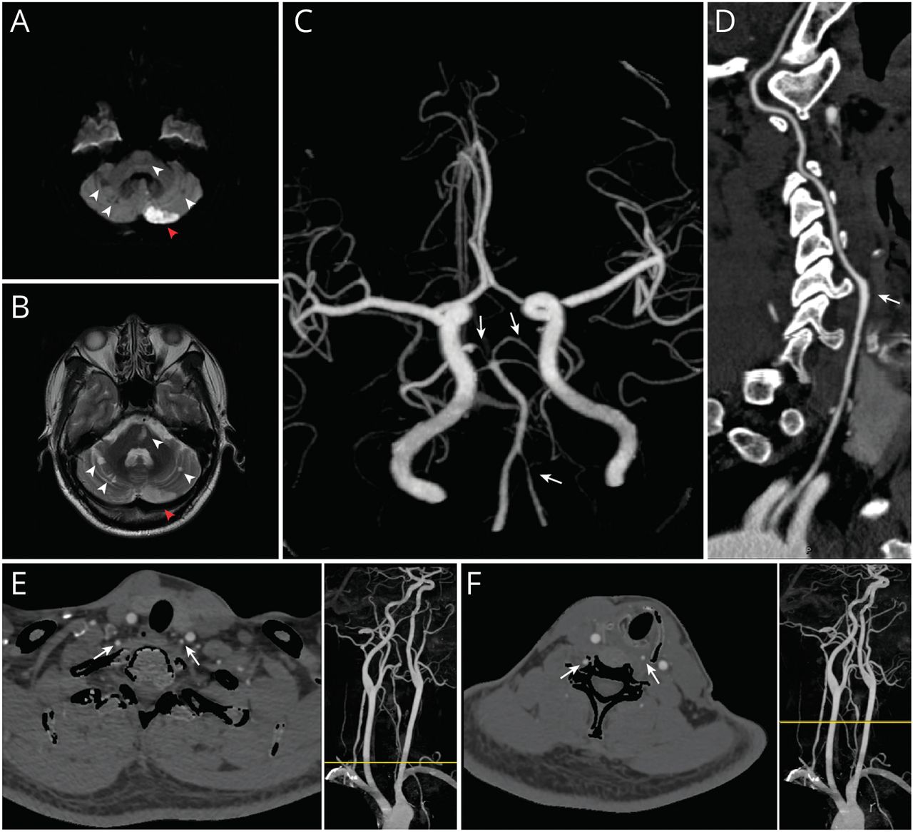
  • Brain MRI and CT Angiographies of the Patient Diffusion-weighted imaging showing diffusion restriction in the left cerebellar hemisphere suggestive of acute infarction (A, red arrowhead). T2-weighted image showing multiple areas of hyperintensity in the bilateral cerebellar hemispheres and pons suggestive of chronic ischemic changes (B, white arrowheads). Head CTA revealing a patent but hypoplastic left VA (C, leftward arrow) and dominant right VA in comparison. Note the stenosis in the P1 segment of the right posterior cerebral artery and in P1 and P2 segments of the left posterior cerebral artery (C, downward arrows). Neck CTA showing that the left VA aberrantly originates from the aortic arch between left carotid artery and left subclavian artery and dilates at the C5 cervical level (D, white arrow) then enters the C4 transverse foramen, rather than the typical C6 level. The axial planes of CTA showing asymmetrical VAs in either V1 segment (E, white arrow) or V2 segment (F, white arrow). Yellow lines in the right panels indicate the corresponding transverse levels.
    " data-icon-position="" data-hide-link-title="0">图1
    • 下载图
    • 在新标签页打开
    • 下载演示文稿
    图1 患者脑部MRI及CT血管造影术

    扩散加权成像显示左小脑半球扩散受限,提示急性梗死(A,红色箭头)。t2加权图像显示双侧小脑半球和脑桥多发高强度区,提示慢性缺血性改变(B,白色箭头)。头部CTA显示未发育但发育不良的左VA (C,左箭头)和显性右VA。注意右侧大脑后动脉P1段和左侧大脑后动脉P1和P2段的狭窄(C,向下箭头)。颈部CTA显示,左VA异常起源于左颈动脉和左锁骨下动脉之间的主动脉弓,在C5颈段(D,白色箭头)扩张,然后进入C4横孔,而不是典型的C6颈段。CTA轴向面显示V1段(E,白色箭头)或V2段(F,白色箭头)VAs不对称。右侧面板中的黄线表示相应的横向水平。

  • A Comprehensive Diagnostic Workup In the neutral head position (A), SPECT demonstrates adequate blood flow in the left cerebellar hemisphere (B, dashed frame); TCD displays a normal spectrum with blunt peaks and gentle slopes (C, white arrow), and the pulsatility index (PI) is 0.94. When the patient turns his head 45° to the left (D), the blood flow in left cerebellar hemisphere is decreased (E, dashed frame); the peaks of TCD spectrum become sharp (F, white arrow), and PI is increased to 1.64, indicating a higher flow resistance. In the neutral head position shown in the reconstructed CTA (G), there is no occlusion of the left VA except for a vessel dilation at the C5 cervical vertebral level. During leftward head rotation to approximately 45° (H) or 90° (I), a clear stenosis could be seen along the dilation of the left VA at the transverse process of C5 cervical vertebral level. The area framed in red are enlarged and reconstructed in the insets, and the narrowing sites are indicated by white arrows. The results of the CTA shown in G and I are confirmed by reconstructed DSA performed in the neutral head position (J, black arrow) and 90° head rotations leftward (K, black arrow), respectively.
    " data-icon-position="" data-hide-link-title="0">图2
    • 下载图
    • 在新标签页打开
    • 下载演示文稿
    图2 综合诊断检查

    在头部中立位(A), SPECT显示左小脑半球血流充足(B,虚线框);TCD表现为峰钝斜率平缓的正常谱(C,白色箭头),脉动指数(PI)为0.94。当患者把头向左转45°(D)时,左小脑半球血流量减少(E,虚线框);TCD谱峰变尖(F,白色箭头),PI增大到1.64,流动阻力增大。在重建CTA所示的中立头位(G)中,除了C5颈椎水平的血管扩张外,左侧VA没有闭塞。当头部向左旋转至大约45°(H)或90°(I)时,可在C5颈椎横突处沿左VA扩张处看到明显狭窄。在插图中,用红色框起的区域被放大并重建,变窄的部位用白色箭头表示。G和I所示的CTA结果分别在头部中立位置(J,黑色箭头)和头部向左旋转90°(K,黑色箭头)时进行重建DSA确认。

  • 表

    • 数据
    • 表格

    信件:快速在线通信

    本文尚未发表评论。
    评论

    需求

    如果你要上传关于文章的信件:
    您必须在六个月内更新您的披露:http://submit.首页neurology.org

    您的合著者必须发送一份完整的出版协议表格来首页(对于主要/通讯作者不需要填写以下表格即可),然后再上传您的评论。

    如果你在回复一篇关于你最初撰写的文章的评论:
    您(和共同作者)不需要填写表格或检查披露,因为作者表格仍然有效
    并适用于信件。

    提交规格:

    • 文章必须少于200字,参考文献少于5篇。参考文献1必须是你所评论的文章。
    • 投稿者不得超过5人。(例外:原作者回复可以包括文章的所有原作者)
    • 只可提交发稿日起6个月内发表的文章。
    • 不要冗余。在提交之前阅读文章上已经发布的任何评论。
    • 提交的意见在发表前须经过编辑和编辑审查。

    更多关于争议和辩论的指南和信息

    写评论

    更多关于文本格式的信息

    纯文本

    • 不允许使用HTML标记。
    • 网页地址和电子邮件地址会自动变成链接。
    • 行和段自动中断。
    作者信息
    注意:第一作者必须是注释的通讯作者。
    名字,名,名“彼得”。
    你的姓或姓。“MacMoody”。
    你的电子邮件地址,例如higgs-boson@gmail.com
    你的角色和/或职业。“整形外科医生”。
    所属机构或机构(如适用),例如"皇家自由医院"
    出版协议
    注意:除第一作者/通讯作者外,所有作者必须单独填写一份出版协议表格并在发表评论之前通过电子邮件提供给编辑部。
    验证码
    这个问题是为了测试你是否是一个人类访问者,并防止自动发送垃圾邮件。

    垂直制表符

    你可能也感兴趣

    回到顶部
    • 文章
      • 摘要
      • 第一节
      • 第二节
      • 第三节
      • 第四节
      • 讨论
      • 研究资金
      • 信息披露
      • 鸣谢
      • 附录的作者
      • 脚注
      • 参考文献
    • 图表和数据
    • 信息和披露
    广告

    全基因组测序在线粒体疾病诊断中的应用

    罗伯特·皮特西利医生和威廉·麦肯医生

    ►看

    相关文章

    • 没有相关文章。

    主题讨论

    • 所有成像
    • 梗死
    • 青年人中风
    • 其他脑血管疾病/中风

    提醒我

    • 信件发表时通知我
    首页神经学:100 (11)

    文章

    • 印刷前
    • 最新一期
    • 过去的问题
    • 受欢迎的文章
    • 翻译

    关于

    • 关于期刊
    • 道德政策
    • 188app
    • 1888博金宝
    • 做广告

    提交

    • 作者中心
    • 提交手稿
    • 审稿人信息
    • 河畔的指导方针
    • 权限

    用户

    • 订阅
    • 激活订阅
    • 注册eAlerts
    • RSS提要
    网站的标志
    • 访问Face首页book上的neurology Template
    • 在Twitte首页r上关注neurology Template
    • 在YouTu首页be上访问神经病学
    • 首页
    • 首页神经学:临床实践
    • 首页神经学:教育
    • 首页神经学:遗传学
    • 首页神经学:神经免疫学与神经炎症学
    • AAN.com
    • AANnews
    • 连续体
    • 大脑与生命
    • 首页今天神经学

    威科集团标志

    首页神经学|打印ISSN:0028-3878
    在线ISSN: 1526 - 632 x

    188金宝搏官网登录

    • 隐私政策
    • 反馈
    • 做广告
    Baidu
    map