珍珠和Oy-sters:顺序与视神经盘肿胀的双边听力和视力丧失由于蝶骨颅面纤维发育不良
文摘
双边视神经盘水肿是一种常见的寻找但很少与多发性颅神经病变有关。在这种情况下,一名18岁男子提出亚急性顺序听力损失亚急性顺序视力丧失。临床检查发现两国视神经盘肿胀。腰椎穿刺显示15而言不啻的正常开启压力2o。这种情况下,讨论了一种罕见的但重要的原因双边视神经盘肿胀的听力损失,不均衡,正常脑脊液开启压力。文献提供的概述,讨论治疗方案指导类似案件的进一步管理。
珍珠
颅面纤维发育异常可能影响颅底与多个压缩颅神经病变和现在。
与早期视力丧失是典型的视神经乳头水肿,应提高叠加视神经病变的问题。
任何视觉,听觉,和颅面纤维发育不良或前庭变化保证紧急评估考虑手术治疗。
糖皮质激素可能被认为是一个经验性治疗颅面纤维发育不良与颅神经压迫症状如果手术减压是不可能的。
Oy-sters
高水平的怀疑和神经成像时需要进一步审查临床征象与初始成像不相关报告。
双边视神经盘视神经肿胀由于局部压缩在视神经管将被关联到一个正常的CSF开启压力。
双边视觉和听力损失在一个年轻的成年人通常归因于线粒体或有毒的病因;然而,对称压缩颅病理学也必须被排除在外。
对所有疑似病例进行广泛调查的特发性颅内高血压与任何典型特征,包括一个正常的CSF开启压力,快速视觉恶化,男性,正常BMI,没有头痛。
病例报告
一名18岁男子看到一个3个月的历史逐渐离开,然后右侧听力损失与耳鸣和不均衡。两个月后,他指出进步无痛的离开,然后正确的视力丧失。没有相关的家庭或病史。临床检查发现三年级视神经盘肿胀双边。这是报告为增加视网膜神经纤维层厚度由于视神经乳头水肿在光学相干断层扫描。视力是0.52 logMAR logMAR右眼(20/66)和1.08(20/240)的左眼。伯格测试显示轻微的身体摇摆,和Unterberger步进测试是积极的,也有明显的偏差。这帮助本地化前庭神经系统症状。神经系统检查正常。听力图证实两国主要感音神经性听力损失(图1一个)。视觉诱发电位显示双边P100皮层电位的延长,所以左边(图1 c)。这些发现提出了怀疑的病理学涉及第二个和第八颅神经
(一)听力图证明感音神经性听力损失。(B)满意的听力图1个月(32天)在第二次手术同时还接受皮质类固醇。(C)术前视觉诱发电位显示双边P100皮层电位的延长,在左边。平均P100延迟165 ms左边和右边135 ms。
常规筛查血液都不起眼的。其中包括ESR、CRP、全血细胞计数和凝固屏幕;肝、肾和甲状腺功能测试;结缔组织疾病屏幕,ANCA,补充水平;血清电泳;和艾滋病、梅毒、乙肝和莱姆血清学。过敏反应性测试调查神经疾病是负面的。腰椎穿刺显示正常的成分和15而言不啻的开启压力2o。
核磁共振大脑与对比最初报告为对称双边视神经萎缩的突出perioptic CSF空间。报告还评论一个偶然牙周炎症过程,突出两国前床形的过程。遗传调查安排排除线粒体紊乱的亚急性顺序双边听力损失和视力损害。测试伯氏世袭视神经病变,Kearns-Sayre综合症,米拉(线粒体脑病、乳酸酸中毒和类似中风发作),和MERRF(与粗糙的红色纤维肌阵挛癫痫)所有返回负数。
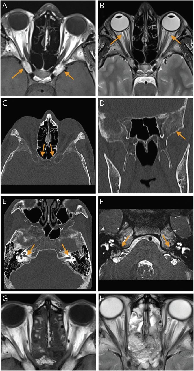
炎症视神经乳头炎也被考虑在内。病人接受实证脉冲静脉,其次是口服类固醇,视力改善(Snellen:左20/80与20/200,20/40的20/120)。进一步审查核磁共振成像的临床病史显示双边狭窄视神经运河导致脑脊液膨胀的视神经鞘和视力损害视神经乳头水肿的临床情况。这是继发于骨肥大前鞍突的过程(图2一个)。也有狭窄的内部听觉运河由于骨骨肥大的坚硬的颞骨压缩的第七和第八颅神经。CT扫描和随后的专用骨SPECT扫描排除任何证实多骨性纤维性结构不良的恶性过程涉及的头骨,头骨基地,下颌骨和也排除了任何恶性过程。垂体激素功能测试都是普通人。其中包括催乳素、生长激素、igf - 1皮质醇,ACTH、LH和FSH。
(一)轴向t1加权图像显示前鞍突骨肥大过程与双边视神经管狭窄。(B)轴向t2加权图像显示双边CSF膨胀的视神经鞘拔火罐的视神经头。CSF膨胀只后方延伸视觉运河。(C)轴向CT骨窗显示双边视神经管狭窄。(D)冠状CT重建显示骨骨肥大与“毛玻璃”中央颅底的变化,典型的纤维发育不良。(E)轴向CT扫描显示双边骨骨肥大的坚硬的颞骨内部听觉运河的狭窄。(F)严重核磁共振造影扫描内听道显示双边的第七和第八颅神经的压缩。(G)术后轴t1和t2加权(H)的图像显示双边减压视神经运河持续性脑脊液视神经鞘的膨胀。
病人接受了紧急内镜双边视神经减压。术后视力开始显著恶化,尽管高度满意的术后出现在成像。这可能是由于术后肿胀视神经导致局部筋膜室综合征在视神经管的剩余部分。提示第二内镜程序进行删除的剩余部分蝶骨远侧地扩展到视交叉。腹部脂肪组织被插入的减压,防止脑脊液漏。视力3天之后第二个程序是1.26 logMAR(20/360)在1米的眼睛和手的运动,接近的脸,左眼。视力1个月(38天)后,第二个过程是1.06 logMAR logMAR右眼(20/230)和1.56(20/720)的左眼。重复听力图32天后正常报道(图1 b)。这个建议改善听力得到和大剂量糖皮质激素逐渐锥形未来3个月。
讨论
我们报告一罕见的颅面纤维发育不良导致双边听力和视力丧失最初的视神经盘肿胀与糖皮质激素略有改善。我们相信这是第一种情况描述文献的颅面纤维发育不良导致症状的双边压缩视神经和蜗颅神经。纤维发育不良是一个non-neoplastic先天性的过程导致的骨替代异常纤维组织。条件可以monostotic或polyostotic,分别影响到单个或多个骨。有明显的偏爱长骨头,肋骨和颅面骨骼。大多数病变通常是偶然和monostotic,无症状,只需要临床观察和耐心教育。
在分子水平上,纤维发育不良与GNAS1的激活突变基因位于20 q13.2 - 13.3并将G蛋白的α亚基编码(鸟嘌呤nucleotide-binding蛋白质)。1G蛋白有助于刺激腺苷酸环化酶,进而调节各种激素的分泌和骨生成的信号通路。有趣的是,纤维性发育不良不继承,因为基因突变总是发生在怀孕。Lesional组织活检具有最高的灵敏度(80%)相比,血清淋巴细胞对pcr基因诊断方法(20% - -30%)。2
颅面发育不良的头骨基地有各种各样的演讲包括非典型面部疼痛、头痛、鼻窦问题突出,复视,斜视,视觉变化,听力损失,面部麻木。3磷酸盐有可能试着减少疼痛和缓慢的速度增长,但还需要进一步的研究。恶性转变是非常罕见的,和转换骨肉瘤和其他肉瘤发生在不到1%的情况下。4
单中心案例系列10颅面纤维发育不良患者视力下降2个人,一个共存侧前庭神经综合征,和其他客观听力损失。5进一步检查66例纤维发育不良影响颞骨确定2最常见的抱怨头痛(59%)和听力损失(29%)。6在另一个系列,30纤维发育不良患者影响斜坡出现头痛或颅神经赤字;这些体现各种症状包括耳鸣、眩晕、不均衡和复视。7
斜坡(拉丁语斜率)靠近脑干的中心,可能会影响到各种各样的囊性,肿瘤,脑膜、感染、外伤、和发育异常的疾病。手术方法以前依赖显微外科经颅技术前,后,和横向方向;然而,内窥镜底transclival方法越来越青睐。8症状性颅面纤维发育不良的管理不是建立但如果通常被认为是得到。241年全面分析纤维发育不良患者86例临床视神经受损确认手术后的改善视觉功能大约三分之二,但无症状神经术后视觉显著恶化。9这种风险的恶化可能是由于增加的敏感性已经受损的视觉神经外科的侮辱。长期随访的无症状神经包裹纤维发育不良建议视神经病变的低风险,尤其是在缺乏生长激素过剩是一个统计上显著的危险因素,可能表明一个病理生理的相关性。10
最初我们的例子中演示了一个可以衡量的改善视力和糖皮质激素。唯一的报告了类似的改进涉及一个22岁的女人单方面的视力丧失和视神经病变,最初改善轨道减压。视力丧失进一步复发发生在15个月后没有任何放射的变化,然后完全反应逐渐减少剂量的口服强的松。据报道,她仍远为9个月后停用类固醇。11持续改善的确切机制仍然未知。糖皮质激素可能施加的影响通过减缓纤维组织的增生或减少任何本地化视神经水肿。回顾我们的案例和其他文献中强调了手术后的恶化的风险。这可以减轻通过倡导单方面减压最神经症状在第一个实例。实证糖皮质激素的作用尚不清楚,但我们建议考虑他们的使用作为一项紧急衔接策略unamenable手术围手术期或病变。
研究资金
作者报告没有针对性的资金。
信息披露
作者报告没有相关的信息披露。去首页Neurology.org/N为充分披露。
附录的作者
脚注
去首页Neurology.org/N为充分披露。资金信息和披露认为作者相关的,如果有的话,年底提供这篇文章。
提交和外部同行评议。处理编辑器是惠特利Aamodt博士英里。
- 收到了2022年7月26日。
- 接受的最终形式2022年10月24日。
- ©2022美国神经病学学会的首页
引用
信:快速的网络通信
需求
如果你上传一个字母有关的一篇文章:
你必须在六个月内更新你的信息披露:http://submit.首页neurology.org
你的合作者必须发送完成出版协议形式来首页员工(不是必要的领导/通讯作者如下表单就足够了)在你上传你的评论。
如果你回复评论,写过一篇文章你最初撰写:
你(和合作者)不需要填写表单或检查信息披露作为作者形式仍然有效
和申请信。
提交规格:
- 提交必须与< < 200字5引用。参考1必须你评论的文章。
- 提交不应该超过5作者。(例外:原作者回复可以包括所有原始作者的文章)
- 6个月内提交只在文章发表日期的问题。
- 不会是多余的。读任何评论已经张贴在本文之前提交。
- 提交评论编辑和编辑审查发布之前。


