教学实验:葡萄糖代谢亢进在基底神经节
决定性的一场不同寻常的Anti-LGI1脑炎的诊断线索
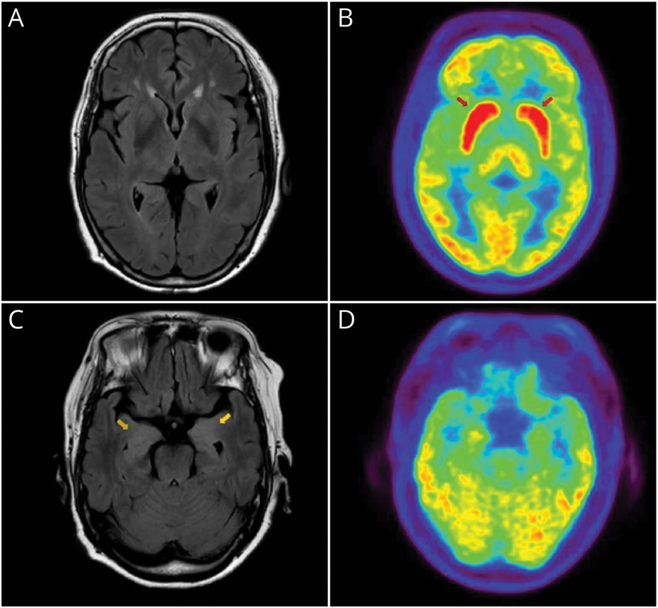
一个61岁的女人面对亚急性过度出汗,头晕,和认知障碍。细微精神状态检查神经检查是不起眼的,分数是13定向障碍和计算障碍。广泛的检查只显示轻度低钠血症(132更易与钠/ L)和神经异常多汗和直立性低血压。大脑MRI fluid-attenuated反转恢复显示轻微hyperintensities在内侧颞叶,但fludeoxyglucose (FDG) pet显示代谢亢进在基底神经节(最大标准单位值[SUVmax] 10.57/9.83)和轻度右内侧颞叶(SUVmax 5.64) (图1和图2)。CSF研究显示没有脑脊液细胞增多(白血球4细胞/μL,葡萄糖92 mg / dL,和蛋白质58.6 mg / dL)和anti-leucine-rich glioma-inactivated 1 (LGI1)抗体检测。她的症状显著改善静脉免疫球蛋白。
我们与轴向削减显示基底神经节(A和B)和内侧颞叶(C和D) fluid-attenuated反转恢复(天赋)的MRI和18F-FDG-PET。摄影图像显示突出的葡萄糖代谢亢进在双边基底神经节(B,红色箭头)。天赋的图像显示微妙hyperintensities在内侧颞叶(C,黄色箭头)。
我们与轴向削减显示基底神经节(A和B)和内侧颞叶(C和D) diffusion-weighted成像(驾车)和表观扩散系数(ADC)的MRI序列。没有扩散限制损伤。
大多数anti-LGI1脑炎病例表现为认知功能障碍、精神症状,或癫痫发作。自主功能障碍很少触发器及时anti-LGI1脑炎的诊断。1我们进行了anti-LGI1抗体测试,由于特征正发现。这种情况下说明基底神经节和内侧颞叶代谢亢进anti-LGI1脑炎是两个不同的目标,虽然可以找到类似的发现在其他类型的自身免疫性脑炎(例如,anti-NMDA anti-IgLON5)或自身免疫性舞蹈病。2,3
作者的贡献
Y.E.金:起草/修订手稿的内容,包括医学写作内容;在数据的采集主要作用;分析或解释数据;第一作者。js。Lim:起草/修订手稿的内容,包括医学写作内容;在数据的采集主要作用;数据的分析和解释。y李:分析或解释的数据。黄永发。 Lee: drafting/revision of the manuscript for content, including medical writing for content; major role in the acquisition of data; study concept or design; analysis or interpretation of data.
研究资金
没有针对性的资金报告。
信息披露
作者报告没有相关的信息披露。去首页Neurology.org/N为充分披露。
脚注
去首页Neurology.org/N为充分披露。资金信息和披露认为作者相关的,如果有的话,年底提供这篇文章。
提交和外部同行评议。处理编辑器是居民和其他部分编辑Whitley阿莫德医学博士英里。
- 收到了2022年8月31日。
- 接受的最终形式2023年1月17日。
- 188金宝搏官网登录


