珍珠和Oy-sters:纯合子的补充因素我不足提出重型复发Complement-Mediated中枢神经系统血管炎
文摘
一名36岁的男子提出多次发烧、头痛、精神状态的改变,局部神经赤字。MRI显示广泛的白质病变,部分情节之间的逆转。检查显示持续补充因素C3低、因子B,和补体旁路缺席活动。活组织检查显示中性血管炎。基因测试显示纯合子的变体在补充因素我(CFI),这被认为是致病性。CFI调节complement-mediated炎症,缺乏这个因素会导致无节制的替代途径活性和C3和因子B通过减少消费。病人IL-1β抑制开始以来一直保持稳定。我补充因素是一种罕见的疾病,应考虑患者的非典型复发神经疾病与嗜中性白血球增多有关。
珍珠
补充因素我缺(CFI)变量的演讲,和遗传评估应该考虑在复发,严重的神经炎症补充畸变和嗜中性白血球增多。
补体级联中断可能导致情景不存在。
IL-1β补体级联激活诱导的分泌,可以选择性地抑制抑制剂如eculizumab anakinra或补充。
Oy-sters
基因检查不应忽视早期疾病严重的中枢神经系统炎症的原因不明的病因。
理解complement-mediated障碍的病理生理学允许有针对性的治疗选择。
病例报告
一名36岁的男子beta-thalassemia的病史和治疗幽门螺旋杆菌感染与咳嗽就医,高档发烧(39.4°C)、头痛和呕吐。他从阿富汗移民到美国3年以前也报道每年上呼吸道感染(URI)从小持续数周。在演讲的时候,他最近没有旅行,除了他的孩子有一个轻微的URI,没有明显的感染风险。
在考试,没有假性脑膜炎。他止住不打眼球震颤,双边限制向右的目光,和构音障碍。磁共振成像的大脑了双边、不对称,主要白质hyperintensities vasogenic水肿,片状实质postcontrast增强不限制扩散(图1一个)。没有证据表明血管受累,包括没有梗塞或microbleeds,并与MRA没有狭窄血管成像。脊髓液是著名的367年的白血细胞(正常< 5)和微分显示65%中性粒细胞和淋巴细胞的32%。蛋白质是106 mg / dL(正常15-60 mg / dL)和葡萄糖是83毫克/ 100毫升(正常50 - 80 mg / dL)。革兰氏染色剂显示3 + WBC但没有生物。
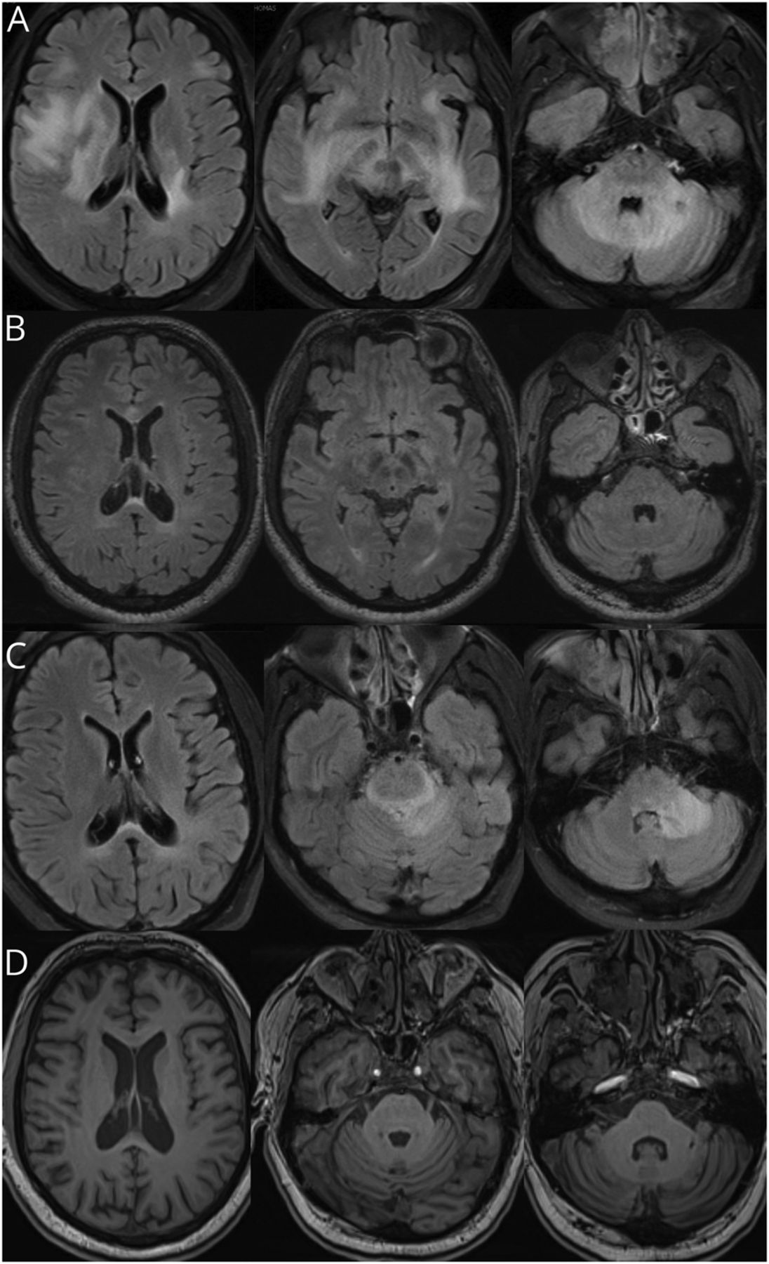
(A)表现出广泛的幕上的和infratentorial白质参与大脑核磁共振T2 /天赋的病人的初始序列复发。(B)复苏从最初的复发。(C)最近3个月后复发和(D)恢复。随时间也明显是发达的脑萎缩(模拟)。
临床表现发烧、头痛、和亚急性神经赤字建议脑膜脑炎,感染或免疫介导的。脊髓液与深刻的传染病病原学嗜中性白血球增多的担忧,他与广谱抗生素和无环鸟苷治疗经验,没有临床改善。脑脊液文化是负的,除了常规病毒和自身免疫性抗体面板测试。
在医院,他的精神状态下降,发达进步的构音障碍和颅神经VI-VIII麻痹导致ICU转移。由于缺乏应对经验治疗,典型的炎症和病毒病因被认为。Arboviral东部马脑炎病毒等感染和Powassan被认为,肠道病毒和疱疹病毒;尽管淋巴细胞性脑脊液细胞增多是更常见的在这些条件下,中性粒细胞可以在疾病早期占主导地位。炎症条件出现嗜中性白血球增多被认为包括neuromyelitis视(NMOSD)遗传病疾病,自身免疫性脑炎的情况并不常见。中枢神经系统血管炎通常呈现淋巴细胞白血球增多,急性脱髓鞘性脑脊髓炎(ADEM)一样,因此被认为不太可能。他表现出显著的临床改善后5天的大剂量甲基强的松龙(IVMP)每天1克,紧随其后的是5天的静脉注射免疫球蛋白(丙种球蛋白),0.4克/公斤/ d。放电时,检查发现残余凝视麻痹。重复MRI显示戏剧性的白质病变的分辨率和对比度增强(图1 b)。
六个月后,他提出与回归热(38.7°C)和改变精神状态。脊髓液这一次是著名的733年的白细胞(淋巴细胞中性粒细胞75%,21%),高蛋白质194.2 mg / dL,正常葡萄糖100 80 mg / dL。革兰氏染色剂、文化和病毒测试呈阴性。核磁共振成像的大脑显示广泛,汇合的T2 /天赋白质hyperintensities增强双边和不完整的。经验又抗菌素产生没有临床反应。考虑到周期性发热和中性白血球增多,对非典型感染,如支原体肺炎、结核分枝杆菌,Q热病或单核细胞增多性李斯特氏菌。这些结果均呈阴性。他收到的第二个课程IVMP,其次是丙种球蛋白的以前的响应。他再一次证明了显著改善,在数周内回到工作岗位。再次重复MRI显示几乎完全解决白质病变。
白质病变的快速改善血管炎的MRI被认为是典型的。中枢神经系统自身免疫性面板又消极和多种疾病的CT成像技术来寻找来源是负的。Bickerstaff脑炎被认为在这一点上,尽管这是不太可能给幕上的广泛参与和消极GQ1b抗体。Neuro-Sweet综合症也不太可能,因为病人没有急性中性皮肤病。1疾病实体包括狼疮大脑炎感到不太可能考虑到正常的安娜。他没有特点皮肤/生殖器病变的遗传病疾病;没有脑缺血或皮肤的系统性血管炎的表现却综合症。家族性地中海热等周期性发热症状强烈认为,但基因检测是模糊的。他第二次住院期间检查并揭示低补体C3的59 (88 - 201 mg / dL)正常,与正常C4在33(正常15-45 mg / dL)。
在接下来的6个月,他说进步认知症状和接受门诊检查包括CSF分析、显示7的白细胞(87%的淋巴细胞,单核细胞13%),蛋白质38.0 mg / dL,葡萄糖100 66 mg / dL。免疫球蛋白g指数为0.46 mg / dL(正常0.0 - -0.7 mg / dL)寡克隆乐队(时常)没有发现,和传染性研究都是负面的。CSF分析的时候,他说一个URI。五天后,他表现为头痛和共济失调。MRI显示一个新的T2 /天赋在左侧小脑半球病变相关的对比度增强(图1 c)。CSF有1750的白细胞(91%的中性粒细胞,4%的淋巴细胞,单核细胞5%),蛋白质248.8 mg / dL,葡萄糖100 62 mg / dL。免疫球蛋白g指数1.16 mg / dL,没有油断路器。革兰氏染色剂、文化和传染病和自体免疫抗体面板是负面的。宏基因组测试后没有产生非典型传染性生物体的证据,和真菌和分枝杆菌培养结果为阴性。
由于病情的复发性本质,他接受了大脑实质活检诊断。病理显示急性vasculitic过程,多病灶的血管壁和脑实质内中性粒细胞与分散血管周的CD68-positive巨噬细胞(图2 b)。没有证据表明脱髓鞘和一些T细胞。血清分析显示持续低补体C3、C4正常补,和低因子B (11.0;正常13.3 - -31.5 mg / dL)。此外,因子H是在正常范围内(55.2;参考37.0 - -68.0 mg / dL)和因子H自身抗体是负数(< 22.0;参考< 22.0单位/毫升)。因素我正常的低端(2.6;参考2.4 - -4.9 mg / dL)。有缺席补体旁路(AH50) (0; normal 77–159 U/mL) and persistently low classical complement pathway (CH50) (33.5; normal >41 U/mL). He underwent genetic analysis, revealing a homozygous variant affecting the initiator codon (c.1A > G) of the complement factor I gene of unknown significance. Given the serum complement abnormalities and abnormalities in the alternative and direct complement pathway, this variant was thought to be disease-causing. During a period of disease quiescence, CFI was low-normal; he was therefore felt to have a partial deficiency of CFI resulting in recurrent bouts of autoinflammation.
(一)简要示意图补体和补充因素(CFI)的抑制作用。CFI负调节激活补体替代和一定程度上的经典的绝大C3b和C4 C3转化酶并不成立。5这反过来阻止发展为C5转化酶替代和补充的经典途径,防止进一步放大级联。(B)从大脑病理活检)染色显示多病灶的血管壁内中性粒细胞,符合血管炎(箭头),400×放大。创建BioRender.com。
他最近复发后,我们的病人开始anakinra,受体拮抗剂,块IL-1β的活动及IL-1α。2补充诱发IL-1β分泌通过NLRP-1 inflammasome,3和抑制IL-1β改善着促炎细胞因子的影响。此外,IL-1β抑制可能缓慢补充生产和膜攻击复杂(MAC)的形成,限制了进一步补充诱发炎症。4anakinra开始以来,他一直在临床和放射学复发免费20个月。顺序核磁共振脑成像显示萎缩,可能复发性炎症的结果模拟(图1)。其他治疗注意事项包括补充与eculizumab抑制。
讨论
CFI是一个消极的调节血浆丝氨酸蛋白酶相替代和古典补通路的绝大C3b和C4 C3转化酶并不成立。5这可以防止发展为C5转化酶在两种途径,阻止补体级联的进一步放大。替代途径的激活涉及C3转化酶的形成,需要C3b,系数B,因子D (图2一个)。
遗传缺陷的CFI常染色体隐性遗传。5失去功能的CFI从而会导致无节制的C3补体的激活,导致增加过敏毒素C3a和调理素C3b生产,减少循环C3和因子B通过消费,和AH50缺席。4,6,7纯合子的部分CFI缺乏与autoinflammatory有关流程,这通常是一组疾病特点是情景性炎症的病原体的先天免疫系统没有,自身抗体或抗原T细胞。8,9这种病人的疾病过程的反复性是好奇的猜测,也许解释的慢性替代途径激活CFI不足造成的损耗是有限的C3。10,11C3的激增可以引起的压力源,如病毒性疾病。飙升,另一种途径是不再衬底有限,可以挂载暴发性无节制的炎症反应。虽然组织没有彩色补充沉积,可能我们的病人的血管炎是由免疫复合物的沉积,局部炎症反应的引发是负责对大脑中观察到的病变活检。7,12
这个例子强调了一个不寻常的的一种罕见的疾病和一个独特的机会,混合与特定的生物标志物指导疾病的病理生理学知识管理。尽管这种情况下并不直接提供证据表明anakinra CFI缺乏症患者将受益,它提出了这种可能性,并建议进一步研究的必要性。
信息披露
E。levit has no disclosures. J. Leon has no disclosures. M.R. Lincoln is supported by a Career Transition Fellowship from the Consortium of MS Centers and the National MS Society and an Early Career Award from the Waugh Foundation. Go to首页Neurology.org/N为充分披露。
附录的作者
脚注
去首页Neurology.org/N为充分披露。资金信息和披露认为作者相关的,如果有的话,年底提供这篇文章。
提交和外部同行评议。处理编辑器是副主编罗伊Strowd三世,医学博士,地中海,女士。
- 收到了2022年5月27日。
- 接受的最终形式2023年1月5日。
- 188金宝搏官网登录


