临床推理:一位14岁的女孩与可逆的周围神经病变和脑病
文摘
一个14岁的女孩出现急性上行,对称的麻木,弛缓性麻痹3周后疑似胃肠道感染。她经历过厌食症因为这胃肠道事件。肌电图显示感觉运动轴突多神经病。常规CSF分析和serum-specific抗体(Ranvier-associated抗体antiganglioside和节点)都是负面的。实验室调查可能的病因仅显示轻微代谢扰动。在她住院期间,她轻微认知障碍。脑部MRI显示双边对称的基底神经节病变与hyperintensity T2 fluid-attenuated反转恢复,diffusion-weighted成像hyperintensity,和相应的表观扩散系数hypointensity,但没有对比度增强。更全面和详细的历史表明运动不耐受,随后和特定的检查显示一个潜在的病因。本案例演示讨论具体病因急性发作时的分散和对称神经病变在十几岁时获得受伤后,强调了在这种情况下需要一个广泛的鉴别诊断。
第一节
一个14岁的女孩被我们神经内科,因为为期10天的肢体无力和麻木的历史。首页最初,她面对急性发作时对称的弱点和远端上、下肢麻木在几个小时之内。症状发展到近端肢体和一周内达到顶峰。六天前,她还开发了球症状,声音嘶哑、吞咽困难和令人窒息的咳嗽而饮用水。前三周开始,女孩抱怨腹痛,严重呕吐和腹泻吃剩下的食物后在室温下放置过夜。消化系统症状的改善与左氧氟沙星联合治疗后,胃复安,和蒙脱石,但仍厌食症。她否认其他药物的接触史,重金属、农药、毒物和辐射。
当时她的神经系统检查,她面向警报和完整的注意力和记忆力。呕吐反射是双边减弱。她表现出减少肤浅和本体感觉stocking-glove模式,远端肢体肌肉力量,1/5和2/5在她的四肢近端肌肉力量。深部腱反射缺席,巴宾斯基没有引起迹象。
第二节
对称在远端肢体感觉障碍(stocking-glove感觉减退)和下运动神经元瘫痪(弛缓性四肢瘫痪和球麻痹)是典型的表现多神经病局部周围神经系统。鉴于急性发作的临床过程和快速发展,病因被认为被收购。鉴别诊断包括传染病、谷蛋白炎症(格林-巴利综合征(GBS)将是一个主要考虑基于疑似有前驱症状的感染空肠弯曲杆菌),代谢障碍(如维生素B12缺乏症摄入不足导致周围神经病变)、中毒(受限于缺乏相应的接触史),和多种的症状之前(可能性不大可能,因为她是一个健康的青少年)。
常规筛查对这些病因透露半胱氨酸(27.4μmol / L,参考范围5 - 15μmol / L), hyperlactatemia(2.7更易/ L,参考范围0.5 - -1.7更易/ L),和低钾血(3.2更易/ L,参考范围3.5 - -5.5更易/ L)。结果其他检查,包括血常规检查后,血清生化、炎症指标,甲状腺功能,抗核抗体谱,反核胞质抗体,anticyclic citrullinated肽抗体,类风湿因子、维生素检测,微量元素测试,血浆铜蓝蛋白,重金属分析,肿瘤标志物,心电图、肺CT和腹部超声检查在正常范围。EMG评估显示广泛的去神经,符合轴突的感觉和运动神经病变(eTable 1,links.lww.com/WNL/C758)。腰椎穿刺进行住院的第三天(从发病2周)。CSF分析显示4.4毫米汞柱的压力(参考范围5.1 - -13.2毫米汞柱);0×106/ L和2×106分别/ L白、红细胞计数;0.25 g / L(参考范围0.15 - -0.45 g / L)的蛋白质;3.87更易/ L(参考范围2.5 - -4.5更易/ L)葡萄糖;和正常免疫球蛋白的水平。此外,antiganglioside和节点Ranvier-associated血清抗体测试是负面的。
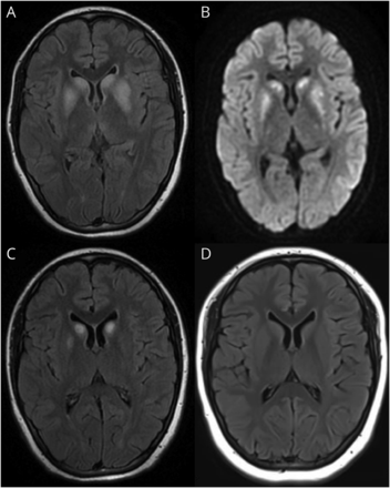
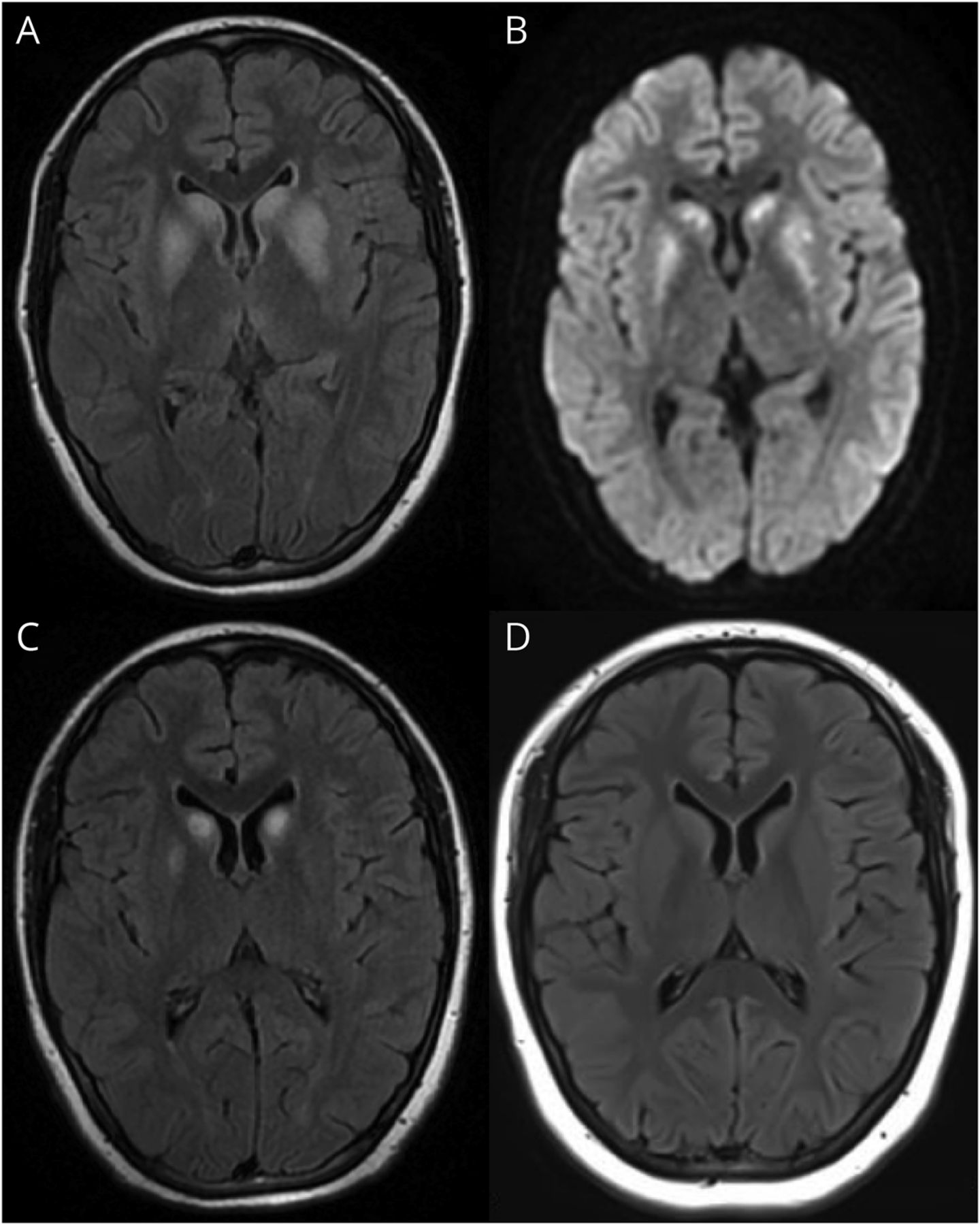
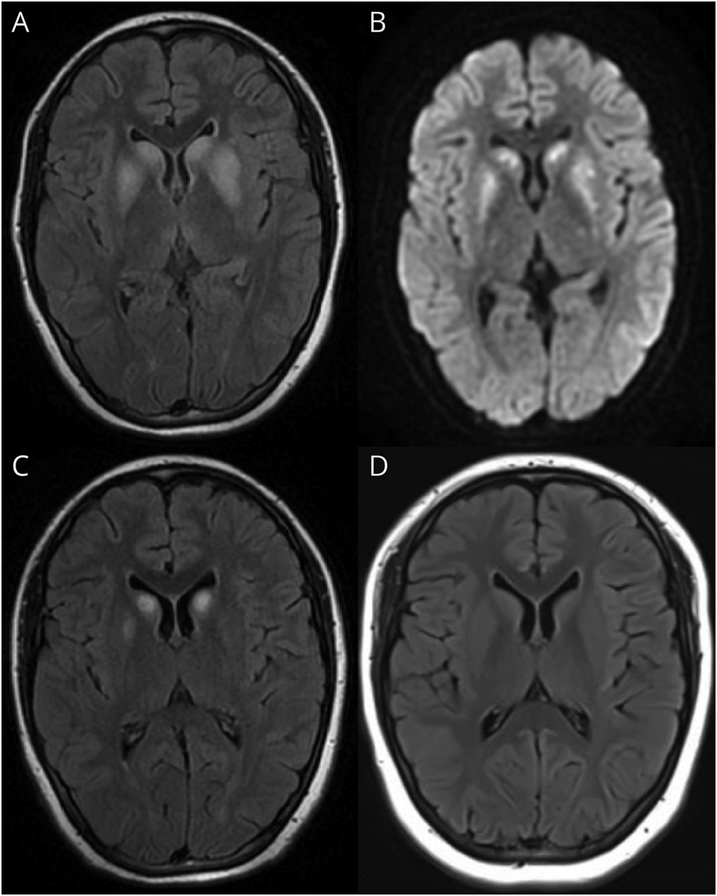
住院期间,我们观察到轻微受损的短期记忆力和稍微延长反应时间在病人相比,指出在入学。随后的认知评估揭示了注意力,轻度损伤计算,和记忆领域,评价语言和执行功能域还没有因为构音障碍和肢体的弱点。认知障碍提出脑功能障碍;因此,脑MRI表现。对称双边基底神经节的损伤被发现与hyperintensity T2 fluid-attenuated反转恢复,diffusion-weighted成像(驾车)hyperintensity,相应的表观扩散系数hypointensity,没有对比增强(图1中,A和B)。
(A, B)的大脑图像T2-FLAIR和驾车在发病。大脑图像T2-FLAIR (C)后1个月和1年(D)核黄素治疗。醉酒驾车= diffusion-weighted成像;天赋= fluid-attenuated反转恢复。
第三节
急性升弛缓性麻痹、认知障碍和相应的肌电图和核磁共振的发现建议广泛和对称的神经受累,包括中枢神经系统和周围神经系统的参与。时间的关系这两个症状使我们喜欢相同的病因。中毒和副肿瘤综合征被基于-接触史和筛查。GBS结合中枢神经系统脱髓鞘可能代表一个相对合理的炎症引起广泛的神经病变,尽管少见。1然而,患者缺乏CSF albumin-cytologic离解和antiganglioside或anti-Ranvier节点抗体,特殊性强烈支持GBS的诊断。2此外,基底神经节脱髓鞘并不常见,很少只表现为双边对称的病变。3这种急性发作时表现更表明毒性,代谢,缺血,血管或传染性脑病。3,4
在这个时候,我们觉得代谢障碍是最可能的病因。类似的发现在我们的病人,它可能导致对称中心和周边病变由于轴突和基底神经节都对这些变化高度敏感。5,6此外,营养摄入不足导致紊乱引起的血清代谢物建议病人的代谢紊乱的存在。然而,代谢物的改变水平发现似乎与神经病变的临床严重程度不一致。对于一个青少年,重要的交替的一个潜在的代谢因素时可能会涉及其他因素没有或无关紧要的变化在同样的条件下。这个因素的改变与不明原因hyperlactatemia建议先天性缺陷。
为了进一步证明这个概念,我们再次评估家族病史和详细的病史。病人增长和发展相对正常,报告只简单易疲劳性和糟糕的机动性能,揭示潜在运动不耐受的迹象。
第四节
运动不耐受的发现支持一种遗传性代谢疾病的可能性。因此,肌肉活检和基因检测进行。肌肉活检显示增加了线粒体在某些subsarcolemmal区域(图2)。病理变化和运动不耐受最有可能指出线粒体紊乱,尽管病理水平的典型的粗糙的红色和蓝色纤维没有观察到。Whole-exome测序显示病人在反式复合杂合变异体ACAD9基因,c。943C>T (p.L315F) and c.1297C>T (p.R433W), which were confirmed to be respectively inherited from the healthy parents through Sanger sequencing, but the mitochondrial genome did not harbor any abnormalities. These missense variants not previously reported were predicted as damaging by multiple protein function prediction software and classified as variants of undetermined significance according to the American College of Medical Genetics and Genomics guidelines.7后续功能测试显示显著减少患者通过比较复杂我活动OD 450海里和国防部/分钟的变化观察到病人的肌肉和健康的控制时间,支持这些变化的致病性(eFigure 1,links.lww.com/WNL/C757)。
(一)苏木精和伊红染色显示大小不一的肌纤维。增加线粒体在某些subsarcolemmal地区观察基于(B)修改Gomori三色的染色和(C)琥珀酸脱氢酶染色(放大200×)。
正常心脏超声排除心肌参与。核黄素(20毫克/公斤/天)推荐的治疗。8经过一个月,她的肌肉力量回到大约3/5,她能够独立行走。MRI复审显示较小的病变,符合改进的内存(图1 c)。1年的随访之后,她的症状,包括肢体麻木和弱点,认知功能受损和颅内病变,几乎完全解决(图1 d),而运动耐力恶化超过preonset指出。
讨论
ACAD9缺陷是一种罕见的常染色体隐性线粒体紊乱,影响呼吸链的装配复杂的我。9在大多数报告、核黄素、黄素腺嘌呤二核苷酸的前体(时尚),可以改善症状,因此患者受益。10对于一个潜在的机制,补充核黄素可能促进复杂我组装通过增加线粒体时尚浓度和改善ACAD9稳定。8,10
通常,最常见的临床表型ACAD9缺乏心肌病,肌肉无力,运动不耐受。早些时候与更严重的症状出现,降低生存,尤其是在生命的第一年。8心肌病主宰疾病负担和大多数病人死亡的原因,但少数例外没有观察到心脏介入。11
神经系统研究相对少见,一般温和。在线粒体疾病,周围神经病变通常不是观察作为初始或主要症状,而是伴随轻微或亚临床状态。12慢性感觉运动轴突多神经病的主要类型,因为内容丰富的线粒体和高能源需求在长轴突。13神经影像学变化多样化,包括基底神经节病变,如Leigh-like综合征,脑白质病,全球脑萎缩,孤立的小脑萎缩,太太和乳酸峰严重神经系统表型通常是结合Leigh-like在脑部MRI异常复杂的不足,并限制扩散对醉酒驾车指示大大受损的线粒体功能和穷人生存结果对患者在急性期。14,15
幸运的是,我们的病人表现出轻微的症状。她只体现运动不耐受没有心肌病;因此,她成长和发展相对正常。然而,建立早期诊断的机会错过了,因为未被欣赏的微妙的症状。在缺乏早期直接干预的情况下,这个病人目前温和代谢扰动后遭受了一次严重的神经病变。遗憾的是,她没能回到preonset锻炼耐力尽管核黄素治疗的条件。
这个案例展示了一个罕见的ACAD9不足,引发了急性发作和快速进步的临床过程,深刻但可逆的周围神经病变和脑病。值得注意的是,遗传性代谢病会有急性恶化,偶尔甚至会出现新的症状的环境因素,如感染或饮食变化。及时补充必需的营养可以改善甚至扭转损伤。此外,这种情况下建议的重要性遗传性代谢病的早期识别和管理。尽管次级代谢扰动可能会容忍到普通人,可能导致严重伤害患者先天性代谢缺陷。
研究资金
中国国家重点研发项目(2021号yfc1005305),中国国家自然科学基金(81974206),和湖南省自然科学基金(2022号jj30945)。
信息披露
作者报告没有披露相关的手稿。去首页Neurology.org/N为充分披露。
承认
作者感谢病人和家人的协作。
附录的作者
脚注
去首页Neurology.org/N为充分披露。资金信息和披露认为作者相关的,如果有的话,年底提供这篇文章。
提交和外部同行评议。处理编辑器是居民和其他副主编凯瑟琳·傅。
- 收到了2022年10月12日。
- 接受的最终形式2023年2月22日。
- 188金宝搏官网登录
引用
- 1。↵
- 侯X,
- 梁Y,
- 崔P,
- 郝J
- 2。↵
- 3所示。↵
- 4所示。↵
- 5。↵
- 6。↵
- 7所示。↵
- 8。↵
- 棱纹平布BM,
- MastantuonoE,
- 阿尔斯通CL,等
- 9。↵
- 10。↵
- 11。↵
- 12。↵
- 13。↵
- 14。↵
- 15。↵
- Lim阿兹,
- Ngy,
- 痘痘一个,等


