珍珠和Oy-sters:二尖瓣环钙化是缺血性中风的一个原因
一个案例报告
文摘
评价卒中病因是中风的一个重要方面影响二级预防保健措施。尽管最近的进步诊断检测,确定中风病因可能仍然是一个挑战性的任务特别是减少中风的常见原因如二尖瓣环钙化。这种情况下将审查的好处血栓切除术后病理血栓评估确定栓塞性中风的常见原因变更管理。
珍珠
插子的二尖瓣环钙化(MAC)可以是一个罕见,underrecognized缺血性中风的原因。
病理评价提取血栓可能发挥重要作用在确定缺血性中风患者的病因。
Oy-sters
插子的MAC可以从其他atheroembolic或临床上很难区分cardioembolic病因,可能需要病理检查。
病例报告
一个66岁的老妇人被带到我们的三级医疗中心后发现了一个未知的时间。她的病史是著名的为高血压、高脂血症、非胰岛素依赖糖尿病和之前的烟草使用。大脑的核磁共振显示区域的扩散限制涉及左侧尾状核和豆状核与瘀斑的出血性转换(图1中,A和B)。先生血管造影和灌注成像,值得注意的是,左大脑中动脉闭塞与关联的半影。患者接受血管内血栓切除术证实左大脑中动脉闭塞的得分与脑梗死溶栓2 b(图1中,C和D)。血管造影表现血栓切除术时显示左侧颈内动脉狭窄60%在其起源的北美症状性颈动脉内膜切除手术标准(图1 e)。基于她的栓塞中风侧温和的左颈内动脉狭窄,动脉到动脉atheroembolism被认为是最可能的病因,对颈动脉内膜切除手术和规划。
(A)增加diffusion-weighted信号成像领域突出核心梗塞。(B)的地区减少信号susceptibility-weighted成像突出瘀点。大脑中动脉闭塞(C)(白色箭头)。(D)恢复流post-thrombectomy(黑色箭头)。(E)左颈内动脉狭窄(白色箭头)。
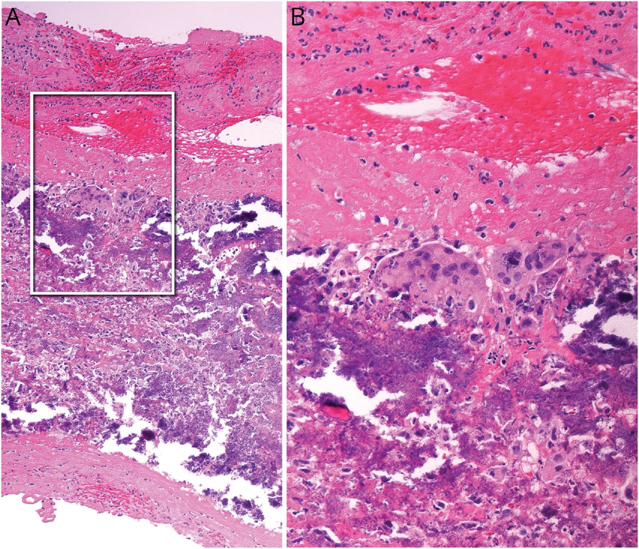
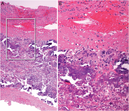
总值的血栓被送往病理标本常规显微分析最终证明纤维素材料核破裂多形核白细胞和嗜酸性粒细胞(图2一个)覆盖的核心嗜碱性的钙化物质与巨噬细胞和异物类型多核巨细胞(图2 b)。这种组织学模式是发人深省的栓塞干酪的二尖瓣环钙化(MAC)。经胸廓的技术和超声心动图,值得注意的是,后二尖瓣环钙化。这一发现,中风病因被认为是栓子从二尖瓣环钙化导致变化管理计划从颈动脉血管再生医疗管理的MAC。与心脏病磋商后,双重抗血小板治疗的病人出院81毫克阿司匹林和氯吡格雷75毫克每天6周。
讨论
在这个病例报告中,我们展示的证据栓塞中风二级通过病理检查MAC。
Cardioembolic梗塞是缺血性梗塞的主要分类根据审判组织10172年急性中风治疗分类包括所有缺血性梗塞的第二大原因。1最常见的与cardioembolic梗塞相关的因素包括机械阀,心房纤维性颤动,左心耳血栓和感染性心内膜炎。1苹果被认为是一个中等栓塞的风险来源。1检测不到发炎MAC是一种慢性,迹象退化过程钙沉积发生在二尖瓣的纤维环和发生在女性比男性更常见。2它一直伴随着许多常见的心血管危险因素如高血压、肥胖、肾脏功能障碍,和心房纤颤。2的心血管健康研究中,MAC被发现在老年患者最普遍,与糟糕的总体心血管、肾脏、和代谢。3MAC通常被描述为一个echo-dense,不规则结构与二尖瓣环和最常发现在超声心动图时意外发现的。4电子束计算机断层扫描和多层螺旋计算机断层扫描是无创性和有效模式进一步量化MAC的严重性,虽然这是很少有必要的。3,4虽然MAC的血流动力学影响往往是最小的,传导异常似乎更与MAC的存在有关,包括房颤、房室块,和束支块。1,4综上所述,当前文学提供了证据表明,MAC的存在会增加心血管并发症的风险,和MAC的发现应该提高对患者的认识总体心血管和代谢健康为了识别患者心血管疾病的风险升高。
MAC与缺血性中风协会并不强劲。生活在2013年研究表明,MAC是中风的独立预测指标(风险比1.81 - -2.01,p< 0.01)。5没有已知的病人共病心血管疾病、中风的发病率显著升高患者的MAC(相对危险度3.12;1.77 - -5.25)。5
总之,尽管MAC已经被很好的描述在心血管文学,它是一种罕见的cardioembolic中风时,可能会被认为是更常见的cardioembolic中风病因是排除。组织病理检查血栓可能是有用的在评估和诊断中风的病因常见和罕见出现大血管闭塞。在这种情况下,尽管中风最初被归因于大型船atheroembolic疾病,在确定中风的病因病理证明有用MAC。没有当前的循证管理指南cardioembolic二次中风预防中风与MAC在未来的研究需要进一步探讨。神经病学和心脏病之间的一个跨学科的管理方法必须与MAC和相关的中风患者进行进一步的评估和管理并存心首页血管和代谢疾病的可能。
研究资金
没有针对性的资金报告。
信息披露
作者报告没有披露相关的手稿。去首页Neurology.org/N为充分披露。
附录的作者
脚注
去首页Neurology.org/N为充分披露。资金信息和披露认为作者相关的,如果有的话,年底提供这篇文章。
提交和外部同行评议。处理编辑器是副主编罗伊Strowd三世,医学博士,地中海,女士。
- 收到了2022年6月16日。
- 接受的最终形式2023年2月16日。
- 188金宝搏官网登录


