教学实验:隐球菌脑膜脑炎切除和凝胶状的假性囊肿
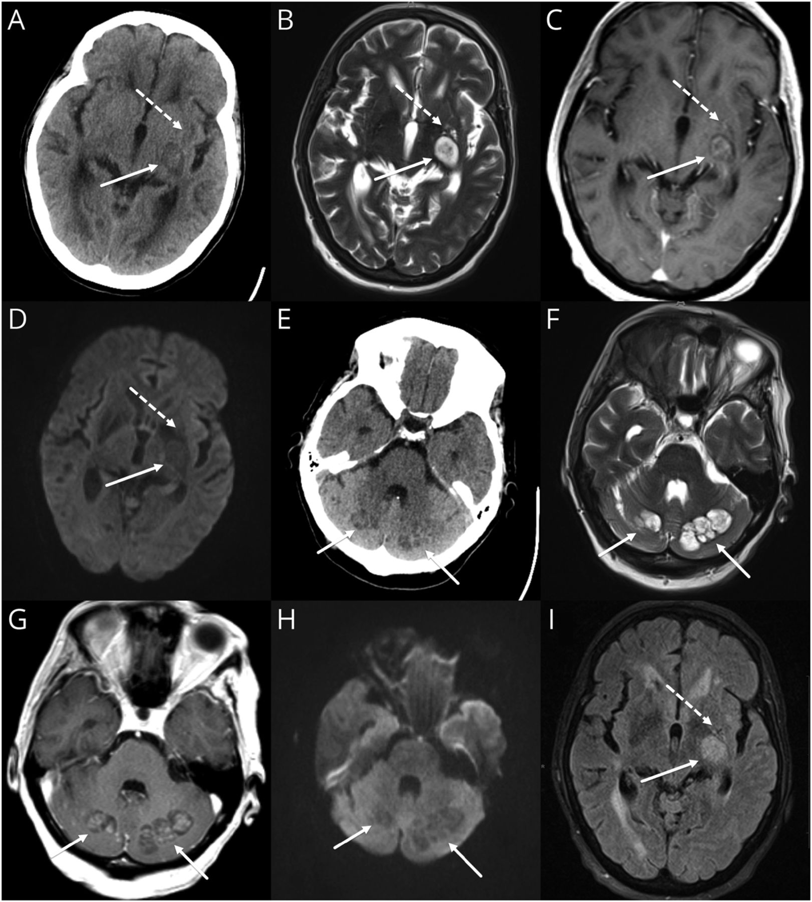
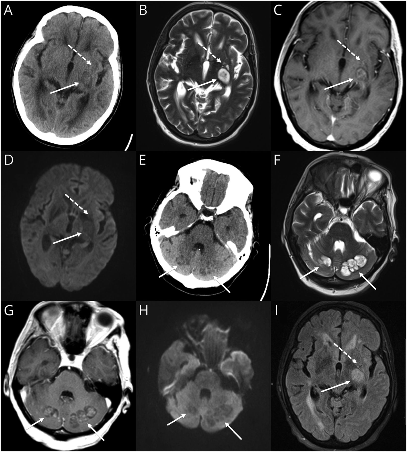
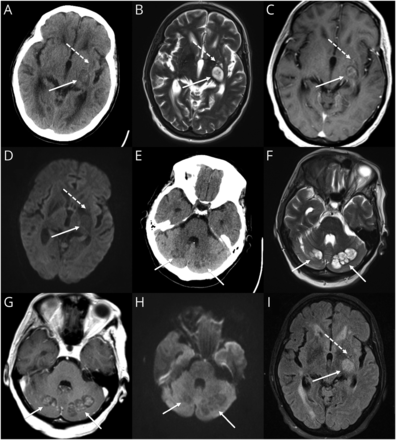
一个66岁的女人从委内瑞拉与糖尿病和无免疫缺陷出现头痛、头晕、下肢无力。Hypodense脑转移病灶在CT的担忧(图A和E),但全身CTs未能揭示主站点。脑磁共振成像(外:我的身材,罪犯)建议颅内cryptococcosus似的质量cerebelli切除,左基底神经节,右颞叶,右枕叶和凝胶状的假性囊肿表现为新扩张的血管周的空间在左侧基底神经节。证实了诊断脑脊液抗原检测。
41 CT (E)、MRI T2 (B和F), postcontrast T1 (C和G),醉酒驾车(D和H), T2天赋(I)大脑的图像。切除(实心箭头)合并感染、出现异构hypodense病变在CT。在MRI上,分“脏”T2是典型的外观与内部增强。相比一个典型的脓肿,没有内部限制扩散。假性囊肿在CT(虚线箭头)是糟糕,出现hypodensity的模糊区域。MRI上表现为新扩张血管周的空间。片状增强postcontrast图像和周围水肿才能区别于正常血管周的空间如果成像之前不可用。醉酒驾车= diffusion-weighted成像;天赋= fluid-attenuated反转恢复。
虽然隐球菌病一直被视为一种疾病的免疫力低下,很少免疫活性的个人可以影响(特别是隐球菌gattii)。成像,3表现可能是:(1)脑膜疾病显示脑膜增强,(2)脑膜疾病扩展到血管周的空间,导致膨胀和囊性区(假性囊肿形成),和(3)感染性材料的聚结到弗兰克实质集合(切除)。金宝搏188手机app1
作者的贡献
k .陈:起草/修订手稿的内容,包括医学写作内容;在数据的采集主要作用;研究或设计概念;数据的分析和解释。d . Le:起草/修订手稿的内容,包括医学写作内容;在数据的采集主要作用;研究或设计概念;数据的分析和解释。郭:起草/修订手稿的内容,包括医学写作内容;在数据的采集主要作用; study concept or design; analysis or interpretation of data.
研究资金
没有针对性的资金报告。
信息披露
作者报告没有披露相关的手稿。去首页Neurology.org/N为充分披露。
脚注
去首页Neurology.org/N为充分披露。资金信息和披露认为作者相关的,如果有的话,年底提供这篇文章。
提交和外部同行评议。处理编辑器是居民和其他部分编辑Whitley阿莫德医学博士英里。
- 收到了2022年10月30日。
- 接受的最终形式2023年3月15日。
- 188金宝搏官网登录
信:快速的网络通信
-
作者回复:教学实验:隐球菌脑膜脑炎切除和凝胶状的假性囊肿
- 安德森郭,放射科医生,米德兰纪念医院
- 凯利陈,医科学生,德州理工大学健康科学中心
- Duc勒,医科学生,德州理工大学健康科学中心
2023年5月16日提交 -
读者反应:教学实验:隐球菌脑膜脑炎切除和凝胶状的假性囊肿
- 钱冯,神经内科医生,神经学部门,到南京医科大学附首页属苏州医院,苏州,中国
- Ruyang张,神经内科医生,神经学部门、苏州吴中人民医院首页、苏州、中国;
2023年5月10日提交


