协会的存在和MRI标记的模式与复发性脑出血脑小血管疾病
做出评论
看到评论
文摘
背景和目标复发性脑出血的风险评估(我)的临床重要性。mri脑小血管疾病(圣)标记可以帮助建立我病因学的亚型(包括不明原因引起的我)相关的复发风险。
方法我们研究了复发的风险,我在一个大的连续我幸存者可用MRI在基线。患者macrovascular、结构或其他识别次要原因(除了圣言)被排除在外。基于核磁共振发现,我病因被定义为可能的脑淀粉样血管病(CAA)根据波士顿2.0标准,小动脉硬化(nonlobar我小动脉硬化和额外的标记,没有大叶性出血性病变),混合圣言(混合深度和大叶性出血性变化),或不明原因引起的我(没有MRI圣言的标志)。复发我决定使用电子健康记录和证实了神经影像。数据从一个独立的多中心队列(CROMIS-2我)被用来证实核心发现。
结果443我的患者(平均年龄67±13年,41%的女性),我病因混合计算36.7%,小动脉硬化在23.6%,在23.0%的创新艺人经纪公司,不明原因引起的我在16.7%。平均随访5.7年期间(四分位范围2.9 - -10.0,2682(),我59中发现个别病人复发(13.3%)。复发率最高每100人每年检测患者的创新艺人经纪公司(8.5,95% CI 6.1 - -11.7),紧随其后的是,在那些混合圣言(1.8,95% CI 1.1 - -2.9)和小动脉硬化(0.6,95%可信区间0.3 - -1.5)。没有复发我发生在患者不明原因引起的我在510人每年随访(97.5% CI 0 - 0.7);这一发现被证实在一个独立队列(CROMIS-2我,n = 216),也没有复发的患者不明原因引起的我。在CAA患者,皮质表面铁尘肺是我复发相关的成像功能最强(危害比为5.7,95%可信区间2.4 - -13.6)。
讨论mri病原学的亚型是有用的在决定我的复发风险;创新艺人经纪公司最高的复发风险被发现时,复发风险低小动脉硬化和不明原因引起的我可以忽略不计。
术语表
- 创新艺人经纪公司=
- 脑淀粉样血管病;
- CMBs=
- 脑microbleeds;
- cSS=
- 大脑皮层表面的铁尘肺;
- ePVS=
- 扩大血管周的空间;
- 我=
- 脑内出血;
- 位差=
- 四分位范围;
- 圣言会=
- 小血管疾病;
- 研究负责人=
- 白质hyperintensities
介绍
自发性脑出血(我)通常是一个毁灭性的形式的中风导致高死亡率和伤残。1我重复事件的幸存者有巨大风险,这与更高风险的短期和长期死亡率,1年后估计为31%,75%,此前10年全国注册学习。2我复发的风险评估个人的不仅是重要的沟通对患者的长期预后和亲戚也为二级预防的管理策略,包括血栓形成(抗血小板或抗凝治疗)治疗,通常显示在我的幸存者。
早期的研究确定了缺血性中风的历史,3可怜的血压控制,4我和叶的位置5与复发的风险增加相关的因素我。大多数(65% - -80%)6,7我是由小血管疾病(计算),即要么小动脉硬化(深穿支动脉病)或脑淀粉样血管病(CAA),而10% -20%归因于次要病因,如macrovascular或结构性原因。7,8然而,相关的比例我(10% - -20%)仍然无法解释(即。,cryptogenic) after diagnostic workup, although this proportion is not well established and will depend on the extent of investigation including the type(s), frequency, and timing of brain and vascular imaging used.6,8
核磁共振是一个非常敏感的方法来可视化几个标记的圣言,包括脑microbleeds (CMBs),皮质表面铁尘肺(cSS),可见,白质hyperintensities(负责人),和大血管周的空间(ePVS)。9这些标记允许评估存在的类型和严重程度的潜在计算包括创新艺人经纪公司,与潜在我复发风险的相关性。可能的创新艺人经纪公司与更高的年度利率有关复发我而我不满足诊断标准患者可能CAA (7.4% vs 1.1%)。10
此外,高叶的CMBs的负担10和cSS11,12都伴随着我CAA患者复发的风险更高。然而,很少有大型队列研究系统地调查潜在的因果arteriopathy-and患者预后的相关性的全谱我由于圣言会使用MRI长随访期间定义的。我们不知道数据隐我诊断后的预后与核磁共振成像系统的调查。因此,我们进行了详细的观察单中心,医院预后相关性的队列研究MRI-defined SVD-associated我的病因学的子类型,包括不明原因引起的我,在长期随访。我们还在独立的外部验证我们的主要发现CROMIS-2我英国前瞻性多中心队列研究。
方法
病人的选择
我们回顾性所有患者首次我对待2008年和2021年之间在格拉茨大学医院,奥地利(n = 1372)。我们中心作为主要中风中心格拉茨市及其周边地区,三级护理中心施第里尔的联邦国家。筛选了使用icd - 10诊断(I61的组合。X或I62.9)和自由文本搜索在放电的文章包括放射报告。识别和排除的患者是由一个训练有素的神经与血管的专家基于电子健康记录(S.F.H.)。在我们中心,MRI表现为标准治疗的住院检查我病因在整个研究期间,除非有禁忌症或高依赖性。还包括CT血管造影术诊断评估所有患者和CT血管造影术造影术先生或先生造影术对疑似脑静脉窦血栓形成。数字减影血管造影、MRI重复或两人都经常在患者不明原因(隐)基于每周我神经与血管的会议,包括血管神经,神经放射,神经外科医生。
我们排除了所有病人住院后21天内死亡,在90天内没有MRI诊断质量的承认,或者后续是不可能的如果病人移动的排水区以外的电子健康记录。我们排除所有患者证明macrovascular,结构或其他“次要”的原因我(详情,请参阅研究流程图图1)。
数据评估
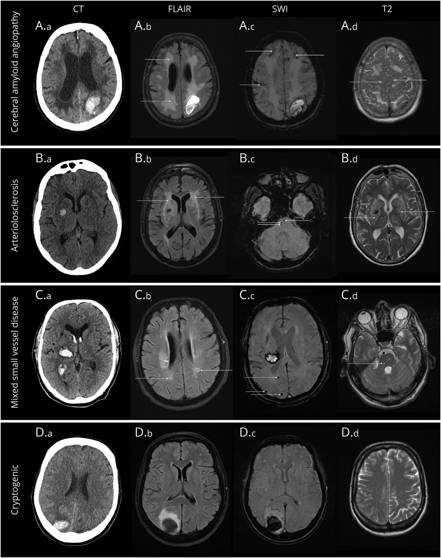
人口统计学和临床数据提取的全电子openMEDocs医院信息系统,已自1999年以来,用于大行政区。由一个训练有素的核磁共振扫描被评为神经与血管的专家(S.F.H.)额外审查的不确定性的高级神经与血管的专家(T.G.或D.J.W.)。核磁共振成像协议包括至少1 blood-sensitive序列(T2 * gradient-echo或susceptibility-weighted成像),T2加权fluid-attenuated反转恢复,T2加权和diffusion-weighted图像。包含在这项研究中,至少1诊断质量blood-sensitive序列和至少1 t2加权序列必须是可用的。根据我们调查血肿位置脑出血解剖评级工具(图表)13和trichotomized叶的,深(包括脑干)和小脑。在不确定的情况下,我们假定震中的位置确定的轴向片最大的直径我未受影响,并与相应的解剖学的半球13并进一步用CT、后续成像,或两者区分血肿位置。我们评估了血肿大小、伴随的蛛网膜下腔和脑室出血,皮质表面铁尘肺的存在和严重性(定义为传播如果影响> 3沟),14沉默的颅内出血或老旧的证据领土缺血性梗塞,和圣言会根据标记标准报告血管神经影像学变化(努力)标准。9脑的严重程度和分布microbleeds被评为Microbleed解剖评定量表,15室和深度研究负责人根据法泽卡斯规模,16和扩大血管周的空间根据分制评分进行验证17在椎体semiovale和基底神经节。负责人根据法泽卡斯范围被定义为严重的2 - 3在3 - 4的得分和ePVS严重视觉评定量表。我病因分为创新艺人经纪公司时的标准可能的创新艺人经纪公司根据最近发表的波士顿2.0版标准18已经实现。我们分类引起小动脉硬化患者non-lobar我和相应的适当的圣言的迹象(至少1缝隙,中度或严重的负责人,microbleeds深处,或严重扩大基底神经节血管周的空间),没有任何证据,大叶性microbleeds或叶的我。患者重要的圣言的迹象不合适的创新艺人经纪公司或小动脉硬化的标准(例如,混合了大叶性和深度计算的迹象被分组为混合计算。病人没有任何MRI可见圣言的迹象(没有microbleeds,可见,中度/重度的负责人,也严重扩大血管周的空格)被定义为不明原因引起的。4组的例子所示图2。
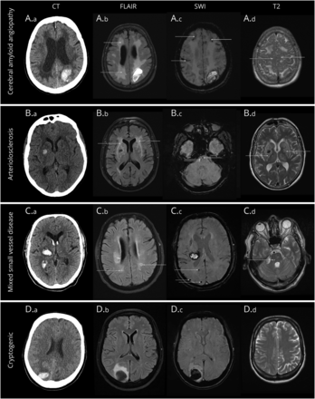
绿色箭头表示不同功能的脑小血管疾病(计算)。上面一行:大叶性患者枕我由于可能的脑淀粉样血管病(一位)。MRI显示广泛的融合性的白质hyperintensities (A.b),传播皮质表面铁尘肺,无数大叶性microbleeds(交流),和严重扩大血管周的空间在中枢semiovale(公元)。这个病人有反复大叶性指数我。我2个月后第二行:患者深我在基底神经节(本科)由于小动脉硬化。MRI显示汇合的白质hyperintensities(反方向),深microbleeds(公元前)和严重扩大血管周的空间的基底神经节(B.d)。第三行:病人丘脑我(一个)和混合计算功能。MRI描绘了早期汇合的白质hyperintensities (C.b),可见(C。b, C.d),和几个大叶性microbleeds (C。c,进一步深microbleeds没有显示)。底下一行:患者不明原因引起的大叶性枕我(地方检察官)没有任何迹象的圣言(除了一些点状的白质hyperintensities D.b)。详细的检查包括重复MRI和数字减血管病排除结构或macrovascular原因。
我们进行了详细的后续使用电子健康记录,由所有医院提供共享通用和/或神经大行政区的急救护理。复发事件被确定通过电子健康记录的详细手册评审所有的病人(执行)和确认在案例的基础上由一位训练有素的神经与血管的专家(S.F.H.)。我复发的诊断,神经成像的证据我是强制性的。死亡率和死亡时间也从电子健康记录中提取。
验证组
验证关键发现的主要研究对象、我们使用的数据CROMIS 2我研究对象、前瞻性多中心研究之前详细描述。19,20.总之,患者imaging-confirmed nontraumatic后我被包括在这项研究排除macrovascular或结构性原因,大约3年的随访复发事件。对于这个工作,我们用的子集中的所有患者CROMIS-2我研究提供基线MRI包括所有相关的计算速度标记序列。
统计分析
我们进行统计分析使用IBM SPSS统计为Windows版本28 (、IBM、纽约Armonk)和占据,16 (StataCorp LLC学院站)版本。由皮尔森χ分类变量进行比较2测试。经过评估的连续变量的分布,正态分布连续变量被未配对的学生相比t测试;其他发行版,非参数测试,比如Mann-WhitneyU测试,使用了。
一年、三年、五年复发风险和复发率每100人每年计算为所有患者根据假定的病因。用来估计kaplan - meier曲线和自由从复发的风险我考虑死亡率作为审查的事件。比例风险假设证实了双对数图的可视化分析和测试基于Schoenfeld残差在使用Cox回归估计风险比率的因素可能与(第一次)我复发的风险。p值小于0.05被认为是具有统计学意义。
标准协议的审批、登记和病人同意
伦理委员会批准的这项研究是格拉茨医科大学的(批准文号32 - 265 19/20交货)。回顾性队列研究,需要个人知情同意放弃。批准的CROMIS-2我研究是国家科研伦理服务(ira参考10 / H0716/61)。
数据可用性
匿名数据没有公布在本文将会被要求提供任何合格的调查员。
结果
在应用所有的纳入和排除标准(图1与我),我们包括443名患者(平均年龄67±13年,41%女性)。我的最常见危险因素是高血压(82.6%)、入学和平均血压是175±32/96±19毫米汞柱,从住院到核磁共振的平均时间为3天(四分位范围(差)1 - 8天)。调查的出血性病变,瑞士序列有62.5%的患者,37.5%的人调查使用T2 * gradient-echo扫描。
我在深的位置在46.6%,大叶性在45.7%,7.7%的病人的小脑。中间我成交9毫升(IQR 3-21 mL)。关于我的病因,23%的患者分为创新艺人经纪公司,23.6%为小动脉硬化,36.7%,混合的圣言,和16.7%,因不明原因引起的我表1)。
复发性脑出血
平均随访期为5.7年(四分位范围2.9 - -10.0),在这期间有80我复发事件记录在59个别病人。在递归过程中,大多数患者没有服用抗凝或抗血小板治疗(79.7%),仅3例(5.1%)患者服用抗凝和9(15.3%)采取单一的抗血小板治疗(乙酰水杨酸,没有联合疗法)。
叶的位置,蛛网膜下腔扩展索引的血肿,cSS,招商银行的存在,和叶的CMBs数量,和我病因都与我(所有复发密切相关p< 0.001)(表1)。进一步的神经影像学研究结果与复发有关我是严重的负责人(深,p= 0.01;室周的,p= 0.02),ePVS中枢semiovale (p= 0.01,表1)和年龄(p= 0.03)。
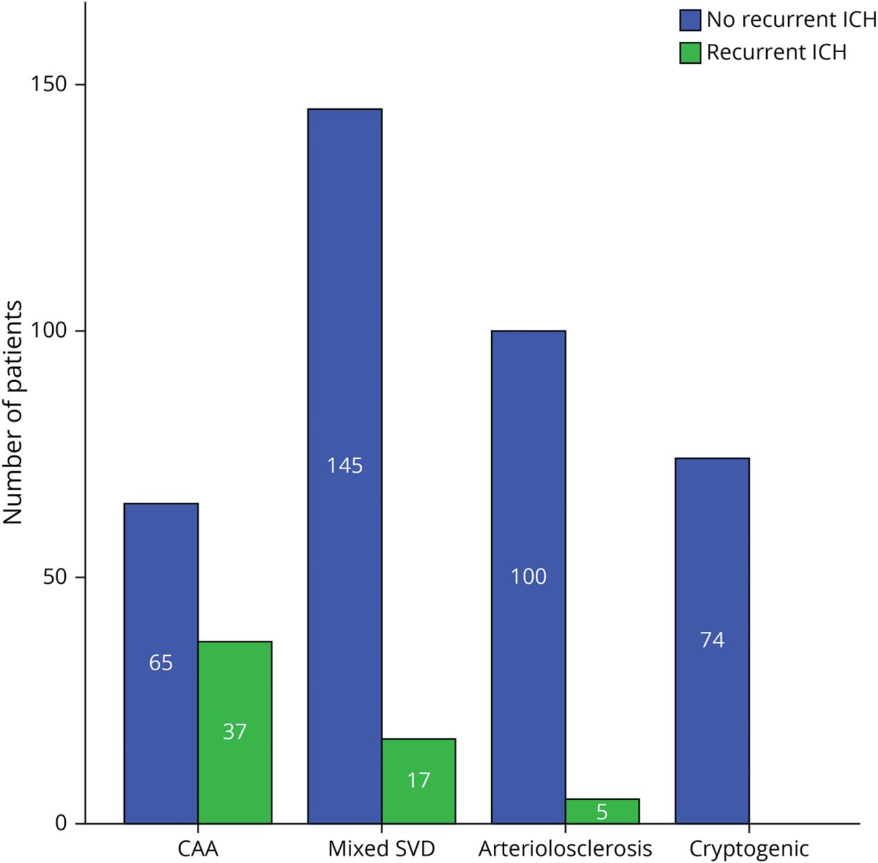
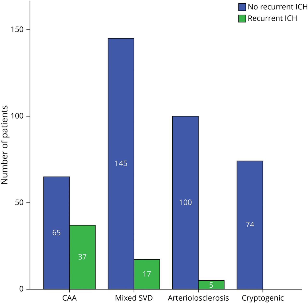
1 -,3 -和5年复发风险是5%,8%,和13%,分别用一个总体复发率2.2 / 100(白细胞数量表2)。CAA患者复发率最高(8.5每100人每年),其次是混合圣言(每100人每年1.8)和小动脉硬化(0.6每100人每年)。没有患者不明原因引起的我一个反复出现的我。图3根据基线可视化复发的频率我我病因。图4显示一个kaplan meier曲线我复发的风险,显示了不同的风险随着时间的推移,不同病原学的子组(p< 0.001)。在随访期间,有15.1%的患者死亡。CAA患者死亡率最高(21.6%),紧随其后的是,在那些混合圣言(18.5%)、小动脉硬化(11.4%),和不明原因引起的我(4.1%)。
脑淀粉样血管病
1 -,3 -,5年我CAA患者复发的风险是17%,25%,和41%,分别为(表2)。的存在和严重性cSS是我与复发密切相关(存在:风险比为5.7,95%置信区间2.4 - -13.6;传播:风险比为3.9,95%置信区间2.0 - -7.9,两者兼而有之p< 0.001)。CAA患者和传播CSS 1 -, 3 -,和5年风险36% (95% CI 23 - 52%)、44%(95%可信区间31% - -61%),和分别为61%(95%可信区间45% - -77%)。CAA患者复发我有更高的蛛网膜下腔的延伸率指数我(p= 0.04,表3)。
混合小血管疾病和小动脉硬化
我是复发的风险降低动脉硬化患者(1 -,3 -和5年1%的风险)与患者混合圣言(1 -,3 -和5年风险为3%,6%,和10%,分别表2)。患者的混合计算,总CMBs的数字(p= 0.002),叶的CMBs (p= 0.04)和深CMBs (p= 0.03)与我复发的风险更高(表3)。我们没有进行亚组分析的小动脉硬化患者,因为数量少,复发组(n = 5)我。
不明原因引起的我
患者患者不明原因引起的我年轻的时候比我定义的病因(58.1±15.7 vs 69.3±11.3年,p< 0.001)。没有发现显著差异关于性,我的风险因素,或之前抗凝抗血小板治疗。这些病人主要我位置是大叶性(51.4%),其次是深(40.5%)和小脑(8.1%)。在510人年的观察期,没有我发生复发(对应的速度每100人每年0,0 - 0.7,97.5%可信区间图3和4)。
验证组复发风险包括不明原因引起的我
确认小说发现患者的复发率很低的不明原因引起的我,我们从一个独立的外部验证包括数据队列的多中心CROMIS-2我前瞻性队列研究。216患者完整的数据,包括基线MRI和3年随访(总随访时间:532组),41个(19.0%)有不明原因引起的我(48.1%有复杂的计算,19.4%有创新艺人经纪公司,13.4%有小动脉硬化)。随访一段107(没有复发我发生在患者不明原因引起的我(CI计算为研究人群:0 - 0.6每100人每年)。其他病因学的类别的复发率也观察到类似我们的主要研究对象(创新艺人经纪公司:6.0每100人每年,混合圣言:2.3每100人每年,和小动脉硬化:没有复发)。
讨论
在这个单中心研究调查连续患者的复发率与自发的我接受了脑部MRI对根本原因进行分类,我们做了2个新的观测与潜在的临床意义。首先,我们已经确认mri病原学的基础计算类型的分类(CAA vs non-CAA以外)是一个关键因素在评估我的复发风险。其次,在不明原因引起的我(即患者。,我without a macrovascular, structural, or other secondary cause and no evidence of SVD on MRI), not a single recurrent ICH occurred over a long follow-up period (510 person-years); this finding was also confirmed in a well-defined external validation cohort.
复发的风险可以忽略不计的发现不明原因引起的我(经过认真调查圣言,macrovascular,结构,和我的其他原因)是一种新型的直接适用性可以为日常临床实践。我们的数据提供预后信息,有利于患者,护理人员,医疗保健专业人士在讨论可能的复发风险。虽然我们的数据不允许治疗如何修改这个低风险,评估基线复发风险还是能够告知临床决策,例如,在关系(重新)启动抗血小板或抗凝治疗。令人惊讶的是,很少有之前的研究调查不明原因引起的深度我使用详细和系统的调查包括大脑和包括核磁共振血管成像。最近的一项荟萃分析发现平均汇集流行不明原因引起的我的18%,6对应的频率中观察到我们的主要研究对象为17%。然而,由于我们排除了患者二次(macrovascular,结构,或其他)的原因分析,实际的患病率在我们最初没有我群有点低(13%),这可能是因为利用MRI在所有患者评估计算的结果,其中的一些(如CMBs, cSS)不能可靠地评估CT。不明原因引起的我的根本原因是未知的。可能分摊因素不明原因引起的我可能包括以下单独或组合:瞬时危险因素(例如,突然严重的高血压由于环境压力峰值、休闲、或非处方药物使用如拟交感的代理);早期的圣言太温和的传统结构的MRI可以探测到;瞬态或难以捉摸的macrovascular病变(如microarteriovenous畸形太小,被检测到的血管造影形态使用或被破坏作用产生的急性我);可逆的动脉病(例如,可逆的血管收缩综合症,可以错过没有早期和重复脑血管造影术);或出血性缺血性梗塞的转换。然而,我们的研究结果表明,尽管很大程度上是未知的,可能不同的可能原因不明原因引起的我(经过仔细调查圣言,macrovascular,结构,和其他原因),似乎都共享相同的极低的复发风险。
相比之下,CAA患者我复发的风险最高。虽然这(连同我叶的患者复发的风险更高我)前所述,详细分析MRI发现创新艺人经纪公司和其他圣言亚型很少被执行在一个大群体的长期随访。符合之前的队列研究,我们发现皮质表面铁尘肺主要神经影像CAA患者复发风险的风险因素,大量增加的风险传播cSS(即。在≥3沟)。11,12
我小动脉硬化患者复发的风险或混合圣言很少系统地调查。我们发现一个更明显的混合计算患者的复发风险的价格相比那些“纯”小动脉硬化,具有更高的负担microbleeds指示我复发的风险增加。最近的两项研究也发现我患者复发的风险更高混合计算的价格相比那些小动脉硬化,但并没有特定的神经成像研究协会的调查患者复发性我的风险。21,22这些发现可能可以解释为2的一个机制,单独或组合:首先,CAA和某种程度的患者小动脉硬化(“真正的”混合计算可能会有更高的我复发风险与创新艺人经纪公司;第二,患者的高负担microbleeds深和叶的位置由于小动脉硬化可能比那些只有更严重的血管病变的MRI表现圣言。这两个研究调查患者不明原因引起的我作为一个单独的类别(而不是把病人没有额外的圣言的结果的另一个组仅根据我位置),但我们的研究表明,这重要的预后意义。21,22
与之前的研究相比调查我的复发风险,我们在研究中发现了类似的风险率。10十多个研究的荟萃分析(大部分是单中心医院研究)发现平均每年7.4% CAA患者和1.1%的风险non-CAA患者(分别我们的研究发现,8.5%和1.0%)异质性高。然而,平均随访期间包括研究(1 - 3年)与我们的研究相比要低得多,这将导致更高的整体风险率(由于高速率的早期我在CAA患者复发,在我们的研究还发现与一年复发风险为17%)。这表明我们确定复发我可能完成,影响了失踪随访数据。高复发的发现我也可以由于广泛的连续MRI-investigated病人包含在我们的研究与之前的研究显示一些降低复发率,可能占在年轻的选择倾向进行MRI扫描,减少严重残疾患者我),检测复发性我有限,或两者兼而有之。
然而,回顾性单中心研究设置的基础上,我们不能完全排除选择性偏差,虽然我们中心作为主要中风中心大型排水区。的比例严重残疾或禁忌症患者没有接受核磁共振成像,因此不被包括在这项研究中,这可能导致偏见。抗凝和/或抗血小板药物的使用索引后我也可以发挥相关作用复发的风险,无法可靠地评估整个随访期间在这项研究中。然而,在我复发患者抗凝治疗的比例相当低(20%)。因为我们常规MRI扫描用于评估患者,有一些变化在研究期间使用扫描仪和协议(包括T2 *执行而不是瑞士在少数病人),这也是本研究的一个限制。尽管如此,小说我们可以验证一个关键发现的——非常低的复发率患者不明原因引起的ICH-in一个独立的多中心验证群体有不同的研究。
总之,我们发现mri表现型的我根据可能的潜在因果动脉病是非常有用的分层复发风险,风险最高的CAA患者(特别是那些传播CSS),中度风险在那些复杂的计算,更低风险小动脉硬化患者,患者不明原因引起的风险显然微不足道的我后系统的诊断评价。
研究资金
作者报告没有针对性的资金。
信息披露
作者报告没有相关的信息披露。去首页Neurology.org/N为充分披露。
附录的作者
脚注
去首页Neurology.org/N为充分披露。资金信息和披露认为作者相关的,如果有的话,年底提供这篇文章。
这篇文章加工费由格拉茨医科大学的资助。
提交和外部同行评议。处理编辑主编穆美利奴,医学博士,硕士,FAAN。
- 收到了2023年1月26日。
- 接受的最终形式2023年4月24日。
- 版权©2023年作者(年代)。发表的Wolters Kluwer健康,公司代表美国神经病学学会。首页
这是一个开放的分布式根据文章Creative Commons Attribution-NonCommercial-NoDerivatives许可证4.0 (CC BY-NC-ND),它允许下载和共享工作提供适当的引用。不能改变的工作以任何方式或使用未经许可的商业杂志。


