教学视频的实验:眼球运动的失用症作为唯一的漫射内在脑桥的神经胶质瘤
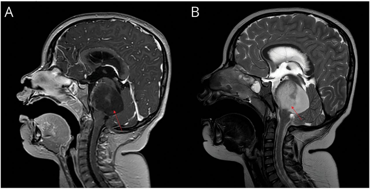
一个5岁的正常男孩看到一个四周移动他的头砸的历史对象由于不能移动他的眼睛。他的神经系统检查正常,除了这无法主动移动他的眼睛水平,符合动眼神经的失用症(视频1)。大脑的核磁共振显示桥的质量暗示扩散高级神经胶质瘤(DIPG) (图)。病人接受放射治疗,ventriculoperitoneal脑积水分流放置。
视频1
眼球运动的失用症无法移动眼睛的水平。显示的病人把他的头到对象进行补偿。下载补充视频1通过http://dx.doi.org/10.1212/207376_Video_1
大脑的磁共振t1加权图像(矢状视图)显示质量集中在脑桥(箭头)和显著的扩张和温和的扩展中脑以及消灭第四脑室后外生型的组件导致早期脑积水(a) t2加权图像显示高信号强度的肿瘤(B)。
在儿童患者中,眼球运动的失用症可能与动眼神经的失用症出现共济失调,根综合症,Joubert综合症,共济失调毛细管扩张。在我们的例子中,脑干肿瘤破坏额眼之间的结构连接字段和眼球运动的网络包括脑桥、上丘,尾状核导致动眼神经的失用症。1
DIPG咄咄逼人的儿科肿瘤9 - 12个月的中位生存。它与颅神经麻痹经典礼物,长径的迹象,共济失调。2
作者的贡献
f . Thabet:起草/修订手稿的内容,包括医学写作内容。穆罕默德Sawahreh:起草/修订手稿的内容,包括医学写作内容。d . Thaher:在数据的采集主要作用。碰头Maadid:主要作用在数据的采集。
研究资金
作者报告没有针对性的资金。
信息披露
作者报告没有相关的信息披露。去首页Neurology.org/N为充分披露。
脚注
去首页Neurology.org/N为充分披露。资金信息和披露认为作者相关的,如果有的话,年底提供这篇文章。
提交和外部同行评议。处理编辑器是居民和其他部分副主编Ariel Lyons-Warren,医学博士。
- 收到了2022年12月13日。
- 接受的最终形式2023年3月20日。
- 188金宝搏官网登录
引用
信:快速的网络通信
-
读者反应:教学视频杂志:眼球运动的失用症作为唯一的漫射内在脑桥的神经胶质瘤
- 大卫年代Zee,神经学家,约翰霍普金斯大学
2023年4月28日提交


