教学实验:钙化假瘤的神经轴设置遗传性出血性毛细血管扩张和癫痫发作
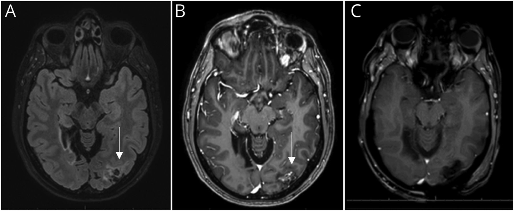
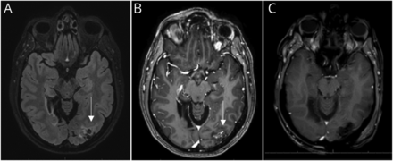
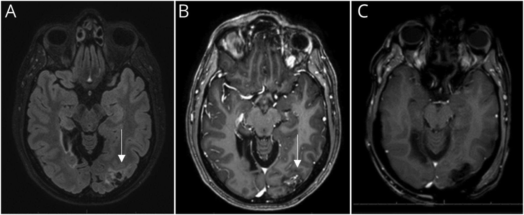
我们报告一个50岁的男人出现癫痫大发作癫痫发作。检查包括核磁共振大脑的展示不同类地加强重点,可能出血性,在左枕叶区域(图1)。血管病因可能是由于患者的遗传性出血性毛细血管扩张的历史。此外,数字减影血管造影显示一个不规则的脸红与早期静脉引流的没有显示动静脉畸形(AVM)。手术切除的标本显示大量钙化(图2)。最终病理诊断的钙化假瘤神经轴(CAPNON),可能起源于一个AVM遗迹。1他们是罕见的,生长缓慢的病变认为形成二次组织的侮辱。这个发现在AVM的好处是2倍;脑自动调整维护,和未来的监测血管造影是可避免的。CAPNONs曾被观察到在创伤、感染、肿瘤、炎症。2完整切除术术中证实了血管造影和术后MRI。病人没有并发症,回到他控制发作神经基线。
术前和术后MRI。(A)术前轴T2 fluid-attenuated反转恢复和(B)术前轴与对比说明提高病变T1(箭头所指)在左侧枕叶与周围水肿。(C)术后轴T1与对比展示总计切除。
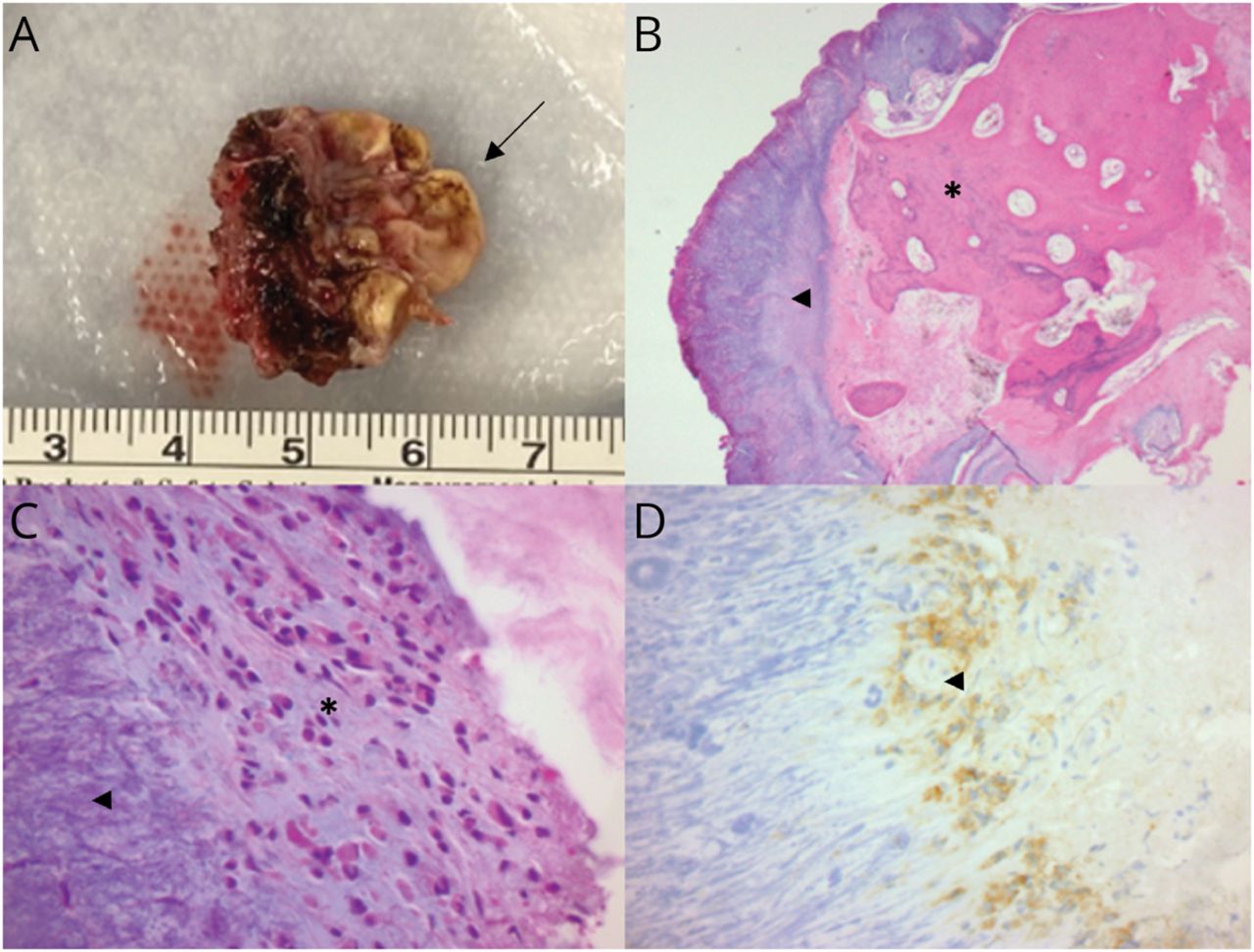
病理学总值(厘米),显示钙化(箭头所指)。组织学部分展示的结节状病灶hypocellular有原纤维的嗜碱性的物质(箭头)和相邻成熟骨(*)(B,放大2×)和外围的边缘表面轴和上皮细胞(*)嵌入在一个chondromyxoid矩阵(箭头)(C,放大40×)与上皮膜抗原积极性(箭头)(D,放大40×)。
作者的贡献
L.H.德布斯:起草/修订手稿的内容,包括医学写作内容;在数据的采集主要作用;研究或设计概念;数据的分析和解释。答:(Helton起草/修订手稿的内容,包括医学写作内容;数据的分析和解释。美国Belakhlef:起草/修订手稿的内容,包括医学写作内容;研究或设计概念。美国沙玛:主要作用在数据的采集;研究或设计概念。 S.Y. Rahimi: major role in the acquisition of data; study concept or design; analysis or interpretation of data.
研究资金
没有针对性的资金报告。
信息披露
作者报告没有相关的信息披露。去首页Neurology.org/N为充分披露。
脚注
去首页Neurology.org/N为充分披露。资金信息和披露认为作者相关的,如果有的话,年底提供这篇文章。
提交和外部同行评议。处理编辑器是居民和其他部分副主编凯瑟琳·傅。
- 收到了2022年12月12日。
- 接受的最终形式2023年3月21日。
- 188金宝搏官网登录
信:快速的网络通信
你可能也会感兴趣
相关文章
-
没有找到相关文章。


