教学实验:径向压缩神经病变继发于辅助腹部肱三头肌的肌肉
一名43岁男子提出了5个月的左手疼痛,伸肌无力,背感觉损失。没有历史的创伤、感染或状况的症状。神经系统检查显示萎缩和软弱的医学研究委员会规模)(4/5左肱桡肌,手腕和手指伸肌的肌肉。针刺和触摸感觉减少背部的左手。神经传导速度显示减少复合肌肉动作电位(1.0 mV)和感觉神经动作电位(14μV)振幅在左桡神经。没有导电块或焦放缓都被记录下来。肌电图也显示出积极的去神经肱桡肌和前臂伸肌的肌肉,使肱三头肌。一个轴突径向感觉运动神经病变近端肱桡肌肌肉被诊断。左臂磁共振成像、超声和外科探索显示的截留在上臂桡神经由于肱三头肌辅助肌肉腹部(图1和图2)。肌肉夹桡神经的解剖变异是一个罕见的原因,和图像识别这病因是至关重要的。1,2
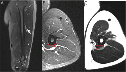
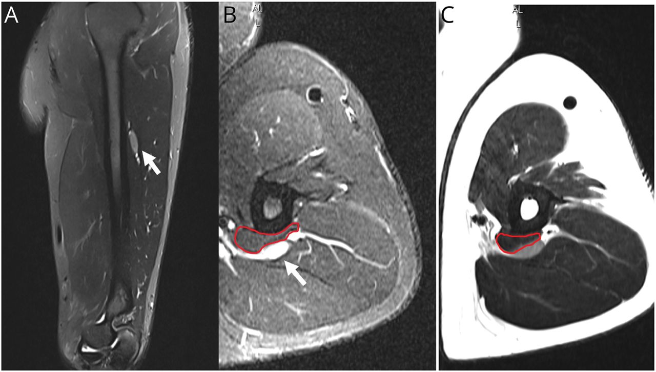
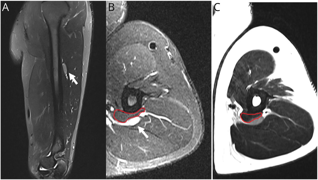
(一)矢状搅拌轴向搅拌(B)和(C)轴向T2图像。桡神经(白色箭头)局部增厚和增加信号的中间三分之一的肱骨。一个附属肱三头肌的肌腹(红线;B, C)是可视化压缩桡神经。搅拌=短τ反转恢复。
左桡神经(沃特。)超声波(A)。沃特。(星号)增加了回声,在中间三分之一的肱骨横截面积;肱三头肌的辅助腹部肌肉(点)。手术减压pre-R.n。释放(B)和post-R.n。释放(C)证实了这一圈套病因。
作者的贡献
p .巴斯蒂亚:起草/修订手稿的内容,包括医学写作内容;在数据的采集主要作用;研究或设计概念;数据的分析和解释。r .甜瓜:起草/修订手稿的内容,包括医学写作内容;数据的分析和解释。J.M. Matamala:起草/修订手稿的内容,包括医学写作内容;数据的分析和解释。n·厄尔:起草/修订手稿的内容,包括医学写作内容;数据的分析和解释。 I. Acosta: drafting/revision of the manuscript for content, including medical writing for content; major role in the acquisition of data; study concept or design; analysis or interpretation of data.
研究资金
没有针对性的资金报告。
信息披露
作者报告没有相关的信息披露。去首页Neurology.org/N为充分披露。
脚注
去首页Neurology.org/N为充分披露。资金信息和披露认为作者相关的,如果有的话,年底提供这篇文章。
提交和外部同行评议。处理编辑器是居民和其他部分编辑Whitley阿莫德医学博士英里。
- 收到了2022年10月4日。
- 接受的最终形式2023年3月23日。
- 188金宝搏官网登录


