大脑后动脉空气栓塞esophagogastroscopy:一个案例报告
脑血管事件在内镜并不常见。空气栓塞应考虑的鉴别诊断中风,尤其是如果它发展期间或之后一个内窥镜手术。我们报告这个不同寻常的并发症在空中一个女人,她有一个脑动脉栓塞在esophagogastroscopy过程。
病例报告。
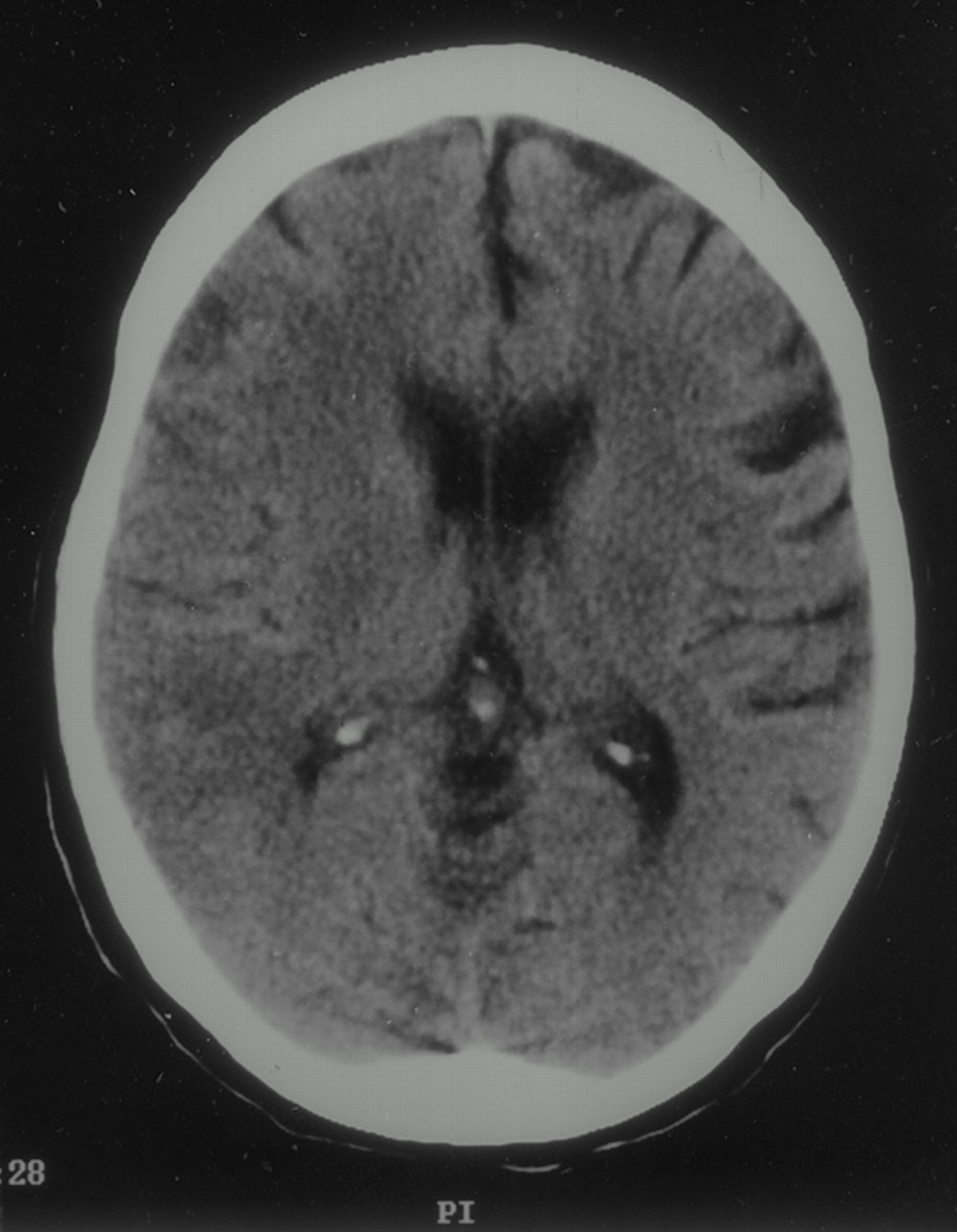
一位80岁的老妇人出现进行性吞咽困难的历史,最初为液体,固体食物,后来和严重的体重在过去的6个月。她正在卡托普利对高血压。初步调查显示食管恶性狭窄的存在。她接受了选修软式内镜下有意识的镇静,证实了恶性狭窄esophagogastric结,连同一个小esophagotracheal瘘。多个小活检是,证实食管癌的存在。她的意识水平恶化后立即手术。她变得反应迟钝,但仍血液流动稳定。检查发现左轻偏瘫的脸,胳膊,腿,弯曲右上肢疼痛的反应。头部的一个紧急unenhanced CT扫描显示右半脑实质的空气(图)。右侧沟被抹去,提示急性大脑中动脉梗塞。被诊断为脑空气栓塞。她是保守治疗,100%的氧气治疗。经胸廓的超声心动图与泡沫的对比显示,没有证据表明从右到左的心脏内的分流。她出院了处于植物人状态2周后入学。
讨论。
脑与气压性创伤可能发生空气栓塞1在外科手术,2特别是表现在坐姿。这也被报道为心导管的并发症,以及其他诊断andtherapeutic程序。3少数病例在没有心脏内的缺陷。穿透十二指肠溃疡可能形成与结肠瘘管,胰胆管或主动脉。其他病例duodenocaval瘘管后创伤和当地的辐射。4
因为独特的肝静脉引流,系统性空气栓塞与胃肠内镜程序并不常见。静脉空气栓塞发生只有当肝脏是绕过,例如,与门体静脉的分流术在门静脉高压。空气栓塞动脉更罕见,因为毛细过滤在肺部。在某些情况下,这个过滤器是通过从右到左的绕过心脏内的分流。5然而,在我们的病人,这样一个分流器没有发现。一个小气管食管瘘狭窄周围观察。有报道称,一个致命的脑动脉气体栓塞引起的静脉气体栓塞,尽管没有心脏内的缺陷或分流机制可以证明。3另一种机制paradoxic空气embolism-intrapulmonary分流术以及transcapillary路线与大型空气emboli-has被提出。6这在我们的病人最好解释机制。
神经系统表现是无数,包括改变意识,癫痫发作,和焦赤字。CT扫描是有价值的在这个如果进行早期检测,IV空气迅速吸收和延迟会导致诊断的失败。中枢神经系统功能障碍的结果机械小动脉的阻塞,导致脑缺血和air-injured上皮的thrombotic-inflammatory响应。这导致一个短暂的脑血流量下降和神经功能。治疗应该开始就有一种强烈的临床怀疑诊断,包括去除空气源,100%的氧气面罩,高压氧。这种治疗的目的是快速减少的体积空气栓子。最近的实验数据表明,代理与抗凝和抗炎作用可能的潜在好处在受试者的风险给予预防性脑空气栓塞。5、6⇓
- 收到了2000年6月6日。
- 接受2000年8月24日。
引用
信:快速的网络通信
你可能也会感兴趣
相关文章
-
没有找到相关文章。
提醒我
推荐的文章
- 居民和其他部分
珍珠和Oy-sters:脑静脉空气栓塞后中央导管移除太多的空气可以杀死
凯萨琳Luca Bartolini汉堡等。
首页神经学,2015年3月30日 - 居民和其他部分
珍珠和Oy-sters:提高警惕检测脑空气栓塞从晕厥到死亡
Dimitre Mirtchev, Tapan梅赫塔安妮丹尼尔et al。
首页神经学,08年10月,2018年 - 临床/科学的笔记
脑空气栓塞在心脏导管插入术是中风的一个原因克里斯汀•交流Wijman爱丽丝卡洛斯·s·凯斯·k·雅各布斯et al。
首页神经学,1998年7月1日 - 临床/科学的笔记
MRI脑从静脉空气栓塞源的特征a·芬利·考尔菲德·m·p·m·g·Lansberg标志等。
首页神经学,2006年3月27日


