约翰·n·芬克MBChB,布鲁克林,MA
在脑干不同sneeze-evoking中心的存在已经证明了猫,表示双边沿腹内侧脊髓三叉神经核和相邻pontomedullary横向网状结构。1在人类中,单方面破坏打喷嚏中心在侧髓综合症导致的情况下不能打喷嚏。2这里给出的案例展示了本地化打喷嚏中心的人类更精确。
一个23岁的女人面对10天的进步麻木的脸和手臂,复视,振动幻视,吞咽困难。她不能打喷嚏或打哈欠,吃饭之后5分钟的问题。她有静脉血栓形成史和家族史的系统性红斑狼疮(SLE)。一般检查是非凡的颧骨皮疹。神经系统检查有乐观的眼球震颤,但眼睛运动的正常范围。左面部感觉减少。面部运动和听力都是正常的。腭感觉完整,但是运动是缺席。咳嗽、吞咽,舌头运动受损。触摸和销感觉减少武器但是没有其他long-tract迹象。 MRI revealed evidence of extensive brainstem demyelination, but no other abnormalities (图)。系统性红斑狼疮的诊断是由积极的安娜和anti-Ro抗体。CSF非细胞;寡克隆乐队没有礼物。她对待四甲基强的松龙,紧随其后的是口服强的松。八个月后她唯一症状是持久不能打喷嚏。鼻过敏导致的强烈欲望打喷嚏,她能主动模仿打喷嚏,但没有缓解症状。否则考试是正常的。重复MRI(参见图)演示了一个小型剩余异常延髓吻背外侧,“打喷嚏中心”的预测。1、2
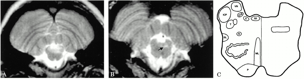
图。(一)t2加权MRI在初始演示展示了一个广泛的脑干低信号异常与髓鞘脱失一致。后续图像8个月后(B)显示了一个小型残余面积增加T2信号只在“打喷嚏中心”(箭头所指)。根据解剖图像显示,而不是放射,公约(背方面的)。(C)图演示了病变的位置在“打喷嚏中心”在延髓吻背外侧(右)和主要的脑干核和大片的近似位置(左)。ICP =小脑下脚,毫升=内侧丘系,N =核ambiguus, P =金字塔,S =孤束核和呼吸道,SL =脊髓丘系,T =三叉神经束和核(相邻),VN =前庭神经核,X =迷走神经背核,十二=舌下神经核。
1。野中郁次郎年代,班次T,太Y, Mori S Sneeze-evoking地区在脑干。大脑Res 511:265 1990; 270年。
2。Hersch m .丧失能力打喷嚏侧髓综合症。首页神经学2000;54:520 - 521。
信:快速的网络通信
你可能也会感兴趣
相关文章
-
没有找到相关文章。
提醒我
推荐的文章
- 简短的沟通
内侧髓梗死:眼部运动异常发现j·金-秀,k - d。崔,s - y。哦,等。
首页神经学,2005年10月24日 - 文章
在单边髓梗死吞咽困难外侧和内侧病变
Miseon Kwon Kim Jae h . Lee Jong s . et al。
首页神经学,2005年9月12日 - 简短的沟通
topodiagnostic调查在髓梗塞身体横行f . Thomke j·j·马克思,gdp Iannetti et al。
首页神经学,2005年2月22日 - 文章
拓扑的脑干病变与主观视觉垂直倾斜8,暎哦,kichan夸克等。
首页神经学,2014年5月2日


