建模阿尔茨海默病治疗的进展和成本
“更好的模型准确的预测成为可能的广告的影响和更大的理解广告的卫生保健系统。”
纽曼等人从财团建立登记的数据用于阿尔茨海默病估计每年过渡概率——一个病人的可能性将在给定的时间内从一个阶段到另一个时期的广告。过渡到一个先进国家的广告或养老院位置与年龄有关,男性,和行为障碍。
看到页面957年
卡罗等人利用马尔可夫模型的策略开发了一个pharmacoeconomic模型使用相对短暂的观察患者的广告发展长期结果的预测这一研究中,全职护理的必要性。应用该模型,Getsios等人估计,使用代理加兰他敏将全职护理的持续时间减少10%以及治疗费用。
社论,Mendiondo等人注意,广告模特等这些都是潜在的卫生资源分配和卫生保健规划的重要性。他们还指出,卡罗等人的节约成本计算不考虑照顾者负担的成本。
看到页面943年
一种可治疗的ALS-like障碍在艾滋病毒感染
两篇文章报告ALS复杂的感染艾滋病毒的患者的临床特征。Moulignier等人描述六个患者免疫抑制和快速进步的运动神经元疾病从一个肢体。抗逆转录病毒治疗逮捕或提高了疾病。MacGowan等人报告设置的迹象表明ALS患者最近的艾滋病发病。病人的运动神经元疾病提高抗逆转录病毒治疗。
社论,Jubelt和Berger指出这些文章的重要性和其他人表明艾滋病毒逆转录病毒引起肌萎缩性侧索硬化症的治疗形式,他们注意积累的证据表明,病毒感染可以引起肌萎缩性侧索硬化症。
看到页面945年
不稳定重复导致肌阵挛癫痫
Mazarib等人发现了一个家族的阿拉伯家庭与Unverricht-Lundborg的疾病,一种隐性,进行性肌阵挛癫痫引起的扩张dodecamer重复的半胱氨酸蛋白酶抑制物B基因。近亲繁殖造成pseudodominant继承和允许的示范模式不稳定,两小扩张和收缩,重复单元。
看到页面1050年
在母亲患有唐氏综合症的风险增加广告
研究唐氏综合症的家族聚集性和广告,Schupf等人发现,五倍的风险增加广告在< 35岁母亲患有唐氏综合症的孩子出生的时候没有看到其它痴呆或其它老年性退行性疾病。可能有特定漏洞的广告显然健康的母亲唐氏综合症患者。
看到页面979年
在印度北部农村发病率的广告
钱德勒等人跟着一个社区样本2698年长的印度人2年,发现广告的发病率是3.24每1000人每年在这些年龄≥65和1.74每1000人每年在这些年龄≥55岁。这些利率是世界上最低的报道。
看到页面985年
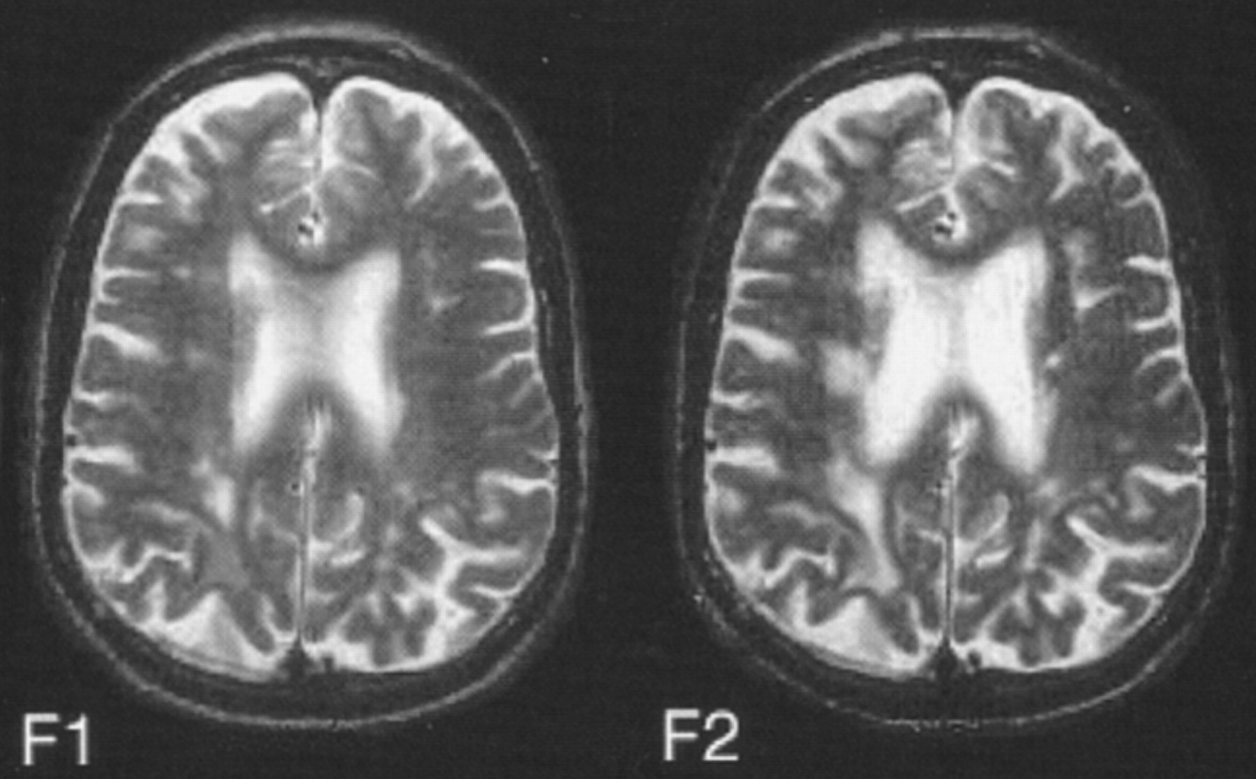
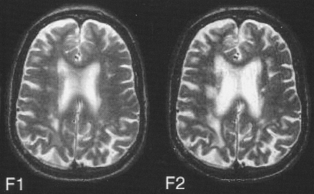
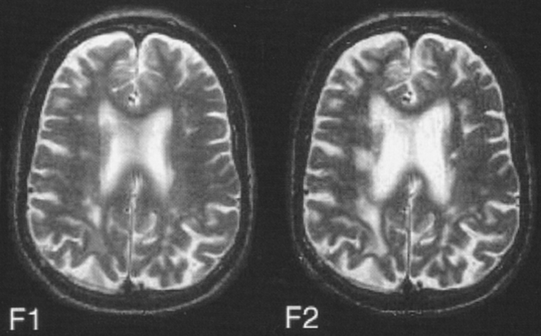
白质hyperintensities和平衡失调
惠特曼et al。跟踪调查了70名健康的老年人,发现一个重要的体积关系恶化的平衡和增加白质高密度核磁共振。这是第一个纵向研究表明hyperintensity体积变化与老年人步态和平衡的变化。
看到页面990年
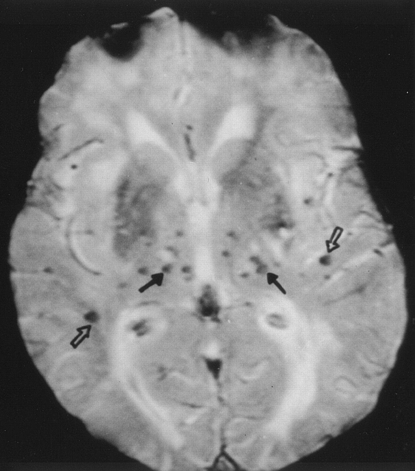
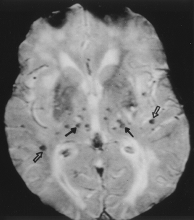
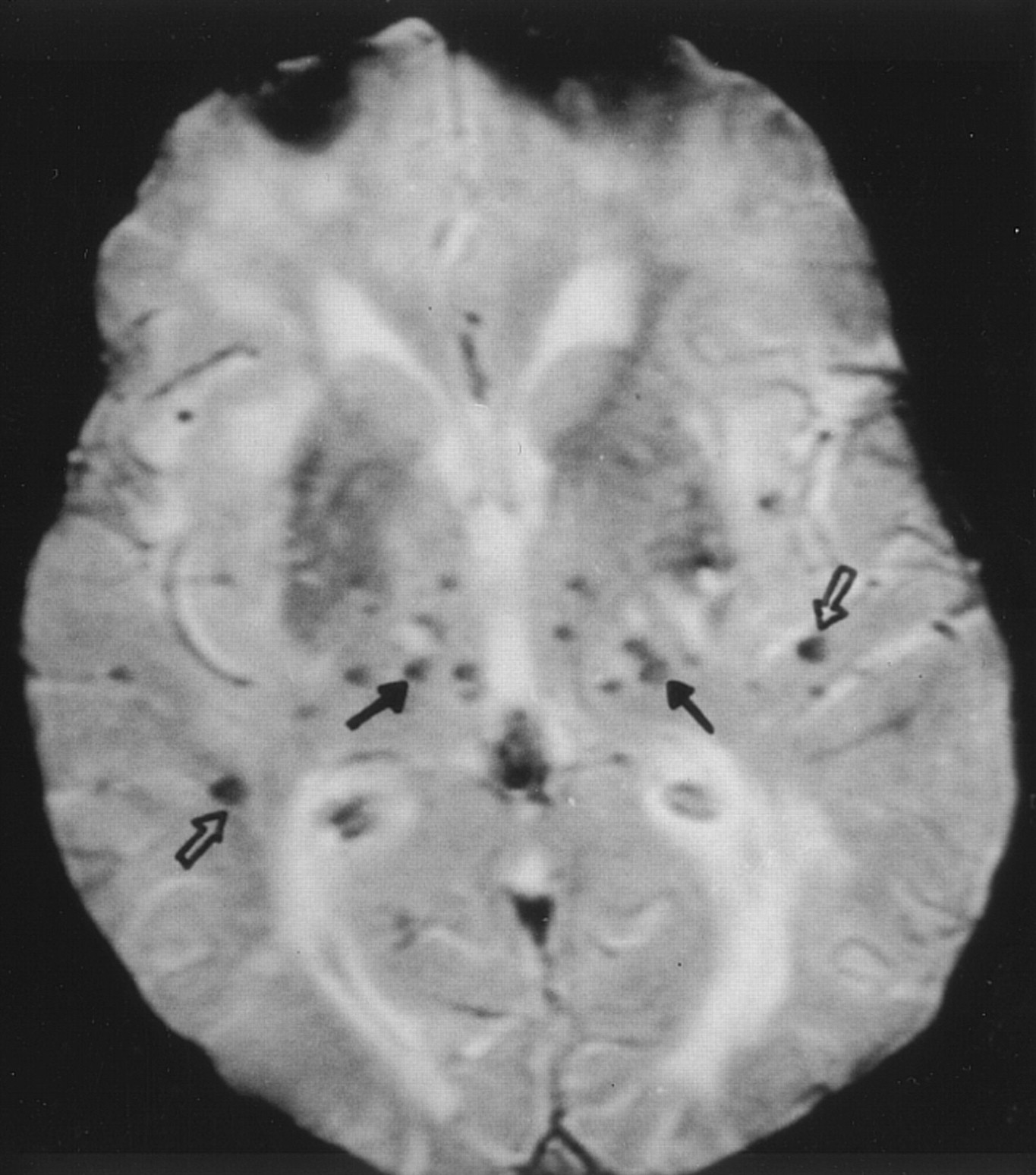
大脑在CADASIL microbleeds
Lesnik Oberstein et al。获得15个成员的t2加权MRI梯度回波荷兰CADASIL家庭确定脑microbleeds发生缺血性血管病变。Microbleeds CADASIL突变携带者症状出现在31%,暗示可能颅内出血的风险增加。
看到页面1066年
信:快速的网络通信
你可能也会感兴趣
相关文章
-
没有找到相关文章。
提醒我
推荐的文章
- 文章
精炼Unverricht-Lundborg疾病的表型(EPM1)全民芬兰的一项研究
伊莲娜海波伦,马里加Aikia, Tarja Joensuu et al。
首页神经学,2015年3月13日 - 文章
在阿拉伯家庭家族Unverricht-Lundborg疾病不稳定的dodecamer重复
a . Mazarib l .熊'这本书等。
首页神经学,2001年9月25日 - 临床/科学的笔记
骨肥大额的interna作为小说在Unverricht-Lundborg找到疾病m . Korja诉Kaasinen Lamusuo et al。
首页神经学,2007年3月26日 - 居民和其他部分
临床推理:青少年神经认知下降一个阴险的诊断
尼古拉斯·m·艾伦,联盟秘书长Shahwan,凯西马迪根et al。
首页神经学,2015年11月30日


