2002年7月23日
;59 (2)
科学杂志
脑花梗的梗死
k . Ikeda,答:Kuwajima,y Iwasaki,m .木下光男,k . Hosozawa,m (,n Samejima,y塞其
第一次出版2002年7月23日,
DOI: https://doi.org/10.1212/WNL.59.2.183
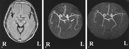
一个65岁的老人与高血压发达轻微程度的构音障碍和右手的疲弱。神经系统检查显示中央麻痹性痴呆的右脸,舌头,上肢无共济失调。Fluid-attenuated反转恢复成像(1.5特斯拉,日立医疗层云II)显示标记hyperintensity信号在左大脑脚(图,一个)。先生血管造影术(MRA),使用一个三维飞行时间序列,披露违规左侧基底动脉狭窄的环境(P2)段(见图B岁),与之前相比MRA(参见61年图中,C)。
图。(一)轴向fluid-attenuated反转恢复成像。(B)崩溃成像的大脑血管成像(MRA)显示狭窄左先生P2段(箭头所指)。(C)崩溃以前大脑血管摄影的成像。
腔隙性梗死大脑脚很少发生,可能导致dysarthria-one-hand弱点。1大脑脚的循环是由沟通后的穿支动脉和花梗的穿通动脉和大脑后动脉弯曲的树枝。那些射孔和圆周分支源自precommunical (P1)或P2的大脑后动脉。2我们的图片表明身体的同侧的P2的狭窄段可能导致脑花梗的梗死病人。
信:快速的网络通信
你可能也会感兴趣
广告
相关文章
-
没有找到相关文章。


