儿童脑瘫的诊断评估
长实践参数Ashwal等人肯定,脑瘫的诊断是由历史和神经系统检查。神经影像学建议但代谢和遗传研究不应该经常获得。诊断检测凝血障碍应该考虑在偏瘫的孩子。筛查有关赤字的精神发育迟滞,眼科和听力障碍,语言障碍,和oral-motor障碍应该被包括在评估。
看到页面851年
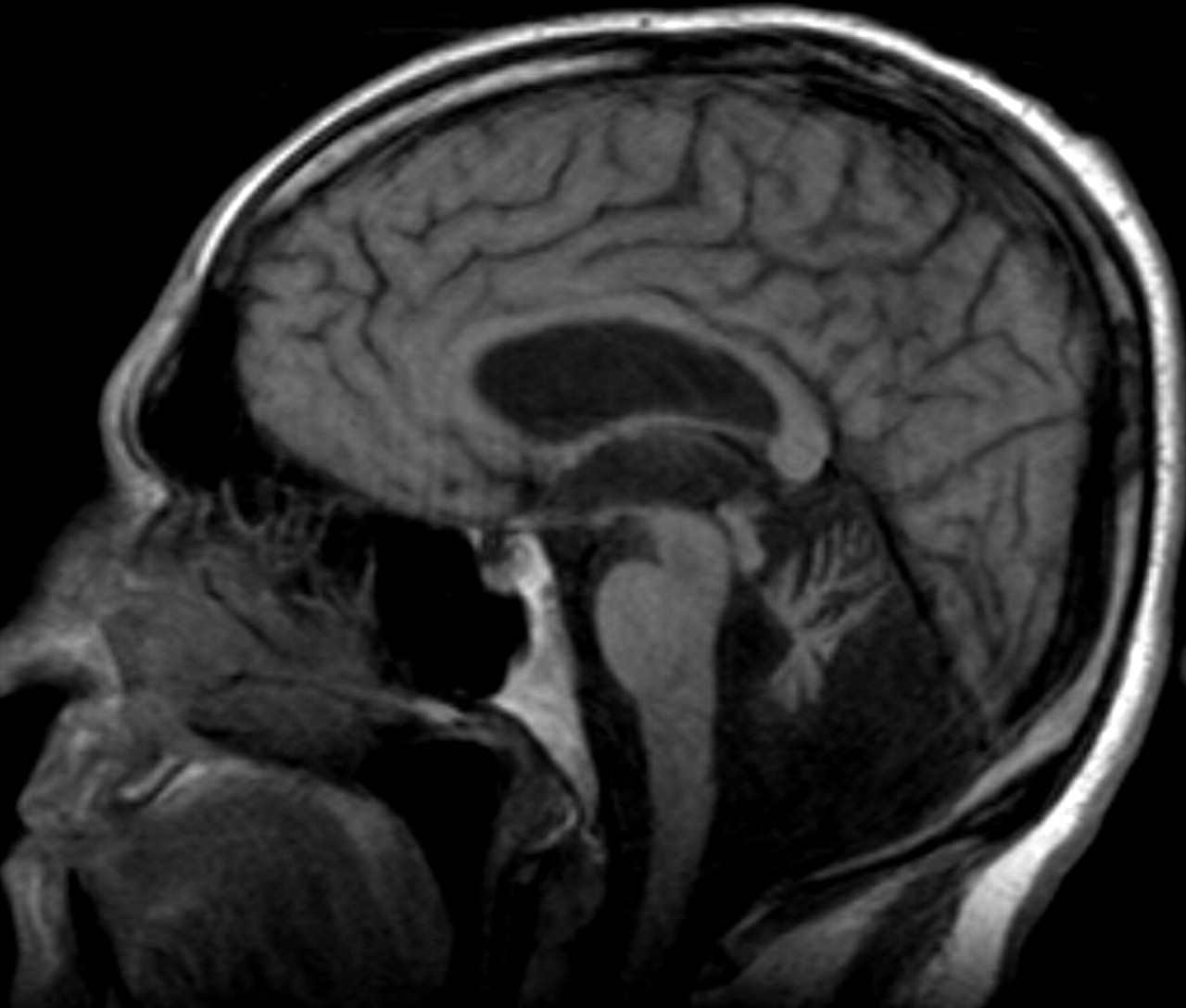
MLC1突变在印度megalencephalic脑白质营养不良的病人
Gorospe等人研究了33名患者的临床和MRI演示符合megalencephalic脑白质病与囊肿(多层陶瓷)。除了一个突变MLC1基因。病人与megalencephaly和广泛的白质改变囊肿应该筛查MLC1基因突变。
看到页面878年
社论的作者迈克尔·j·Noetzel探讨基因组技术先进的能力描述以前未确诊的脑白质营养不良,导致表型的扩张包括不典型的患者。四个例子(表),包括Gorospe等人的报告MLC1突变导致megalencephaly与脑白质病囊肿,是著名的成人疾病的识别最初似乎是早发性疾病的孩子。磁共振成像已经被证明是非常有用的在定义脑白质营养不良,基于其敏感性展示髓鞘的畸形发展。扩散张量磁共振成像和光谱先生可提高诊断脑白质病变的能力,尤其是在成年人谁特异性的白质异常频繁。
看到页面847年
偶然发现在成人大脑核磁共振研究对象
回顾性研究151名成人的研究大脑核磁共振,Illes等人发现6.6%的健康志愿者有病变需要转诊。需要他们的研究结果表明,标准的实践指导调查人员在管理和沟通这样意想不到的发现异常。
看到页面888年
社论的作者格罗斯曼和Bernat Illes等人研究中指出,大多数的研究结果不一定报参与者。这个问题与成像研究相关的突出问题。首先,一些先生research-particularly fMRI-is由科学家们并不擅长图像判读。因此偶然发现可能不被发现在设计协议。增加的费用是什么有一个成像仪视图和报告结果?看来小相比价格支付不检测重要的病变。第二,什么是标准技术研究员成像仪可能是不够的。这种限制应该知情同意的声明。第三,如果检测到异常时,谁应该获得的结果和设置他们应该讨论什么?第四,调查人员必须受过教育的有关偶然发现。 Finally, rules of ethics require that disclosure in the consent to enter a study include those relative to finding incidental pathology. In a brain fMRI study, the risks are not simply the trivial risks of undergoing an fMRI.
看到页面849年
鼻舒马曲坦在小儿偏头痛是有效的
在安慰剂对照交叉试验,Ahonen等人研究了94年鼻舒马曲坦功效偏头痛患者8岁至17岁。舒马曲坦在30分钟postdose优于安慰剂。他们的研究结果表明,鼻舒马曲坦是一种有效和耐受治疗偏头痛发作在孩子8岁。
看到页面883年
成像技术对颈动脉内膜切除手术
肯尼迪等人使用一个专家小组来确定动脉成像对各种颈动脉内膜切除手术的适当性场景。尽管使用非侵入性成像的趋势,血管造影术仍然是黄金标准和单一的研究认为适合严重症状性狭窄。
看到页面901年
抑郁症和中风
Verdelho等人发现,43%的中风患者抑郁症状在6个月、12个月,36%在24个月24%,18%在36个月。赤字的年龄、严重性和位置的病变影响抑郁症患者的比例。症状的时间进程依赖于认知状态。
看到页面905年
认知变化和中风
Sachdev等人研究了170名中风或TIA患者vs 96控制获得神经心理评估和核磁共振扫描(67%)。血管性痴呆的认知缺陷和血管性认知障碍被额叶功能障碍为特征,以更少的口头记忆障碍。VaD和VCI不同严重程度但不干扰模式。最好的脑损伤占这些赤字noninfarct缺血皮层下灰质和白质的变化。
看到页面912年
吸烟,在老年认知能力下降
奥特等人在11003年测试认知nondemented老年人,重新测试受试者的平均2.3年。他们报告的调整意味着细微精神状态检查下降明显高于吸烟者比不吸烟者(0.16 /年)(0.03 /年)。在两性的区别是相似的。cigarette-dose-dependent程度的下降。
看到页面920年
信:快速的网络通信
你可能也会感兴趣
相关文章
-
没有找到相关文章。
提醒我
推荐的文章
- 文章
支原体感染后急性运动轴突的神经病变分子拟态的证据
k . Susuki m .小高的m·森等。
首页神经学,2004年3月22日 - 文章
前期的光谱格林-巴利́感染综合症一个病例对照研究
b·c·雅各布斯p h . Rothbarth F.G.A. van der Meche et al。
首页神经学,1998年10月1日 - 文章
印度阿加瓦尔megalencephalic脑白质营养不良与囊肿是由共同的MLC1突变引起的j . r . Gorospe b . s . Singhal Kainu et al。
首页神经学,2004年3月22日 - 社论
诊断确诊脑白质营养不良分子遗传学的角色
迈克尔·j·Noetzel et al。
首页神经学,2004年3月22日


