2005年7月26日,
;65 (2)
神经图片
克雅二氏症表现为后皮质性痴呆
h . Nodera,答:森,y和泉,t .坂本,r .个性
第一次出版2005年7月25日,
DOI: https://doi.org/10.1212/01.WNL.0000158698.35834.0D
h . Nodera
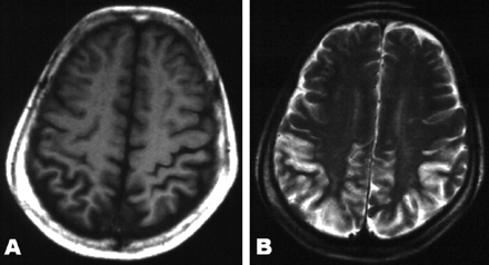
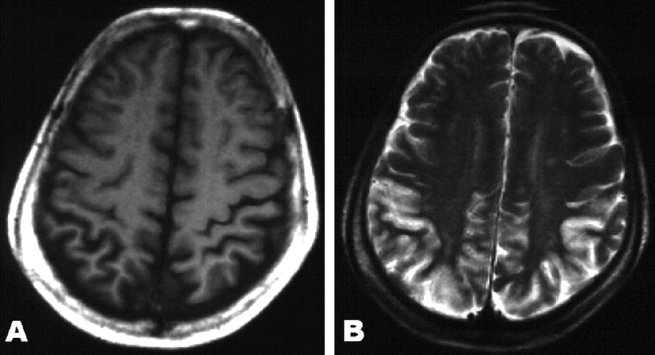
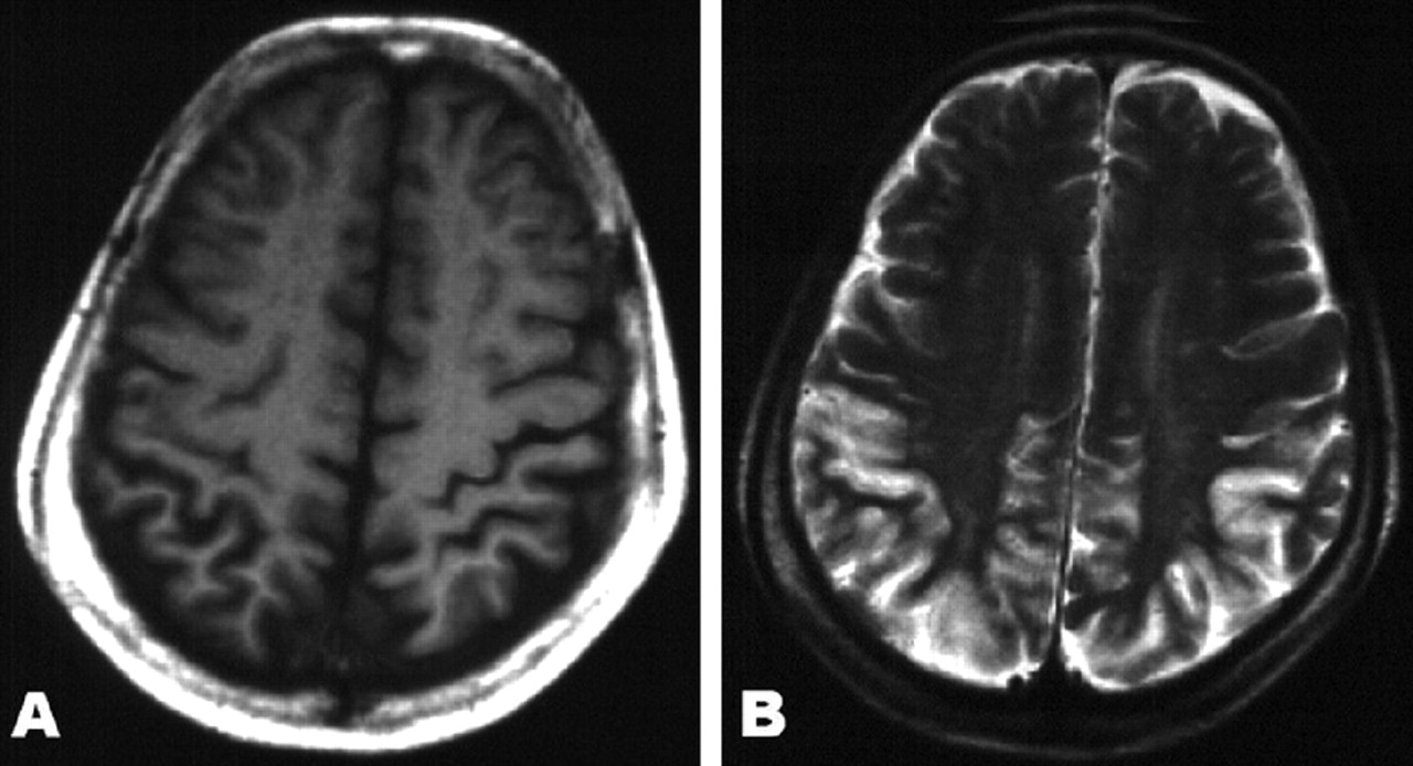
一个70岁的右手女人离开hemineglect开发。她的记忆、洞察力和判断力是正常的,但是穿衣失用症,计算力缺失,观察和Balint综合症,符合后皮质性痴呆(PCD)。1MRI显示parieto-occipital皮质的萎缩(图,一个),皮质hyperintensity diffusion-weighted成像(驾车)共存(见图B)。2可能的诊断克雅氏病(CJD)由世界卫生组织的标准是由脑脊液的14-3-3蛋白升高,随后无着丝粒的缄默症,和脑电图变化。阿尔茨海默病以来,库贾氏症等神经退行性疾病可能表现为PCD,醉酒驾车的MRI和CSF 14-3-3蛋白可能有助于区分这些病因,避免从一个病人传播库贾氏症的风险。
1。雷纳是的,烧伤JM,侯CE、麦基尔? DW, Storandt JM,莫里斯JC。进步后皮质功能障碍:一个临床病理的系列。首页2004年;63年:1175年-1180年。OpenUrl文摘/免费的全文
2。志贺Y, Miyazawa K,佐藤年代,et al。Diffusion-weighted MRI异常作为克雅二氏症的早期诊断标志物。首页2004年;63年:443年-449年。OpenUrl文摘/免费的全文
脚注
参见页面329年
信:快速的网络通信
你可能也会感兴趣
广告
相关文章
提醒我
推荐的文章
- 文章
Diffusion-weighted MRI异常作为克雅二氏症的早期诊断标志物佐藤y志贺k . Miyazawa s . et al。
首页神经学,09年8月,2004年 - 编辑
修订诊断协议增加了零星的克雅二氏症的早期诊断Alberto Bizzi Katell Peoc是什么等。
首页神经学,2018年6月22日 - 简短的沟通
克雅二氏症与尸体硬脑膜移植在日本k法师,h吉野,j .浦田et al。
首页神经学,2000年9月12日 - 文章
实验克雅氏病疾病的传播和相关疾病的啮齿动物霍克j . Tateishi t . Kitamoto m z . et al。
首页神经学,1996年2月1日


