国家法律在pv患者营养和水分
Larriviere和邦妮发现超过三分之二的州的现行法律促进人工营养与水分撤出处于植物人状态的患者,但等待立法在几个州,如果获得通过,使它更加困难。
看到页面1624年
这篇社论Bernat和贝雷斯福德讨论特丽·夏沃的悲惨的情况下如何提高公共意识的问题是否合法的代理授权拒绝人工水分和营养(安)代表一个病人持续性植物状态(PVS)基于偏好她口头表达,而主管。本文说明了为什么神经学家应该了解国家法律规范医疗practice-particularly神经病学家的重要,因为1999年的一项调查发现了一个普遍缺乏相关的法律和伦理问题的理解生命的停止和扣缴的支持。第二,它可以刺激神经学家支持国家法律,保护患者控制治疗的权利一旦失去了能力,同意或拒绝。此外,本文强调是多么重要神经学家鼓励病人执行预先指示,明确指定谁将成为他们的代理人的能力并指定治疗他们想要或不想要什么,包括安。
看到页面1618年
部分癫痫发作症状定义遗传研究
标准化方法分类是重要的表型定义的癫痫病。蔡等人开发的标准化定义41局部癫痫症状用于基因研究。对于大多数定义,两分的分类的可靠性两个神经病学家“实质性”或“近乎完美”。
看到页面1648年
社论Gurnett和特瓦珊首先考虑失望之间缺乏一致性我们当前分类的癫痫,新兴的遗传关联。他们认为,反思我们的分类是必要的;通过合并症状的工具由崔al.-and治疗结果,新发现的基因可以更容易与癫痫综合征有关,从而使临床医生更好的预后和治疗的基础。
看到页面1622年
Levetiracetam患儿部分发作
尽早双盲安慰剂对照研究的198名患者,底盘等人发现levetiracetam辅助治疗60毫克/公斤/天是有效的,同时(4 - 16岁)儿童难治性部分癫痫发作。
看到页面1654年
基因型和化学敏感性oligodendroglial肿瘤
沃克等人研究了基因型的预测和预后价值oligodendroglial肿瘤在常规临床环境。1 p / 19问损失与PCV化疗后化学敏感性和良好的结果,支持使用遗传分析来指导临床管理。然而,29%的病例与完整1 p / 19问也回应道。
看到页面1661年
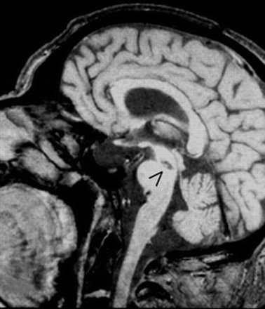
尾靠近中央的中脑综合症
尾中脑病变涉及整个十字交叉的小脑上总花梗非常罕见,但有一种独特的临床征象。偶尔,单方面病变可能产生类似的图片。路易吉Mossuto-Agatiello报告临床和神经影像的光谱发现单边尾中脑梗塞患者。
图。T1 MRI:矢状切面显示尾中脑梗塞。
看到页面1668年
晚发型心因性nonepileptic攻击
这项研究由邓肯等人发现了一个亚组病人与晚发型心因性nonepileptic攻击(PNEA),在他严重的身体健康问题和健康相关的创伤经历很常见。更频繁地发生在男性,健康心理创伤PNEA的发展中发挥了重要的作用。
看到页面1644年
心因性nonepileptic诊断癫痫持续状态
Holtkamp等人证明年轻,静脉端口系统的存在,政府大量的苯二氮卓类,正常肌酸激酶水平是有帮助的标记支持心因性而不是“真正”的诊断癫痫持续状态。
图。的心因性nonepileptic癫痫持续状态(PNESE)和耐火材料广义抽搐的癫痫持续状态(RGCSE)。
看到页面1727年
闭目nonepileptic预测癫痫发作
钟等人报告协会在癫痫发作和pn闭目。闭目高度预测pn而眼睛打开预测真正的癫痫发作。
看到页面1730年
这篇社论,LaFrance Benbadis对这三篇文章讨论了症状和体征的价值,可以帮助之间的鉴别诊断心因性non-epileptic攻击(pn)和癫痫发作。使用这些符号和video-EEG监测将有助于使pn的早期诊断,从而减轻巨大的个人和社会成本的货币和psychosocial-attendant控制癫痫的诊断和治疗。
看到页面1620年
Friedreich共济失调的有效性的措施
(merrill Lynch)等人发现多个度量两个基于神经系统检查和定量性能任务捕获Friedreich共济失调的疾病特征。
看到页面1711年和1717年
一个新的评定量表共济失调
Schmitz-Hubsch等人测试了新开发的规模评估和评级的共济失调(SARA)在167年和119年的两个试验患者脊髓小脑的共济失调。莎拉很容易应用和满足接受标准的可靠性。进一步分析了线性和规模的有效性。
看到页面1717年和1711年
信:快速的网络通信
你可能也会感兴趣
相关文章
-
没有找到相关文章。
提醒我
推荐的文章
- 文章
测量脑干和小脑损伤使用扩散张量磁共振成像在帕金森综合症C.R.V.痘痘,g·j·巴克,j . m . Jarosz et al。
首页神经学,2006年12月26日 - 文章
少突神经胶质瘤的长期预后c . Lebrun d。方丹Ramaioli et al。
首页神经学,2004年5月24日 - 文章
反应率和预后因素间胶质瘤复发的治疗甲苄肼,CCNU,长春新碱化疗m . j . van den弯曲,j . m . kro j·j·海曼等。
首页神经学,1998年10月1日 - 特殊物品:邀请的文章
邀请文章:分子生物学的扩大影响神经胶质瘤的诊断和治疗沃伦·梅森j . Gregory Cairncross et al。
首页神经学,2008年7月28日


