2006年1月24日
;66 (2)
神经图片
阵发性眩晕Fabry疾病的症状
h . Pruss,g . bohn,r . Zschenderlein
第一次出版2006年1月24日,
DOI: https://doi.org/10.1212/01.wnl.0000195280.30895.21
h . Pruss
g . bohn
r . Zschenderlein
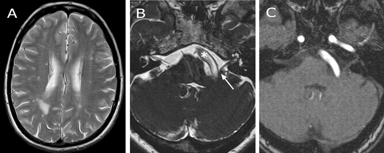
一个50岁的女人面对10-year-history阵发性发作的严重的旋转性眩晕持续秒没有听力损失或耳鸣,发生大约每月一次。MRI显示megadolichobasilar动脉和白质病变(图,一个)。
图。(一)轴向t2加权MRI显示不对称,广泛,hyperintense白质病变。(B, C) Three-dimensional-CISS成像(B,在稳态三维傅里叶变换相长干涉)和三维飞行时间MR-angiography (C)证明左第8脑神经压缩(箭头)的基底动脉因脑中风(星号)。
考虑积极Fabry疾病家族史,α-galactosidase-A基因点突变被发现。这种酶缺乏症是一种罕见的x连锁鞘糖脂代谢的紊乱导致血管角质瘤,神经病变,角膜verticillata、中风、肾脏或心脏衰竭死亡率高的男人。1X-chromosomal失活导致女性杂合子不具体的症状和局部形式。我们的病人显示角膜verticillata,但血管扩张性疣和肢端感觉异常。
脑血管衬底沉积通常影响vertebrobasilar系统导致脑中风。2阵发性眩晕最可能导致megadolichobasilar压缩的蜗神经(图中,B和C),尽管在Fabry眩晕发生疾病的其他原因。
1。Desnick RJ, loannou丫,Eng CM。Alpha-galactosidase不足:Fabry疾病。:Scriver CR、Beaudet,狡猾的WS,山谷D, eds。代谢和遗传疾病的分子基础。纽约:麦格劳-希尔;1995年:2741年-2784年。
2。老Mitsias P,莱文脑血管并发症的法布瑞氏症。安神经1996年;40:8-17年。OpenUrlCrossRefPubMed
脚注
披露:作者报告没有利益冲突。
信:快速的网络通信
你可能也会感兴趣
广告
相关文章
-
没有找到相关文章。
提醒我
推荐的文章
- 文章
前庭paroxysmia诊断功能和治疗
k . Hufner d . Barresi m·格拉泽et al。
首页神经学,2008年9月22日 - 居民和其他部分
临床推理:复杂的出血一个不寻常的外围眩晕的病因
Simy k·帕里克说,塞缪尔·a·弗兰克et al。
首页神经学,09年1月,2017年 - 文章
捕捉急性眩晕前庭事件监视器
Allison美国年轻,科琳娜莱希,安德鲁·p·布拉德肖et al。
首页神经学,2019年5月15日 - 简短的沟通
眩晕女士:效用的位置参数和粒子重新定位策略E.M. Frohman,杜威R.B. h . Zhang et al。
首页神经学,2000年11月28日


