2006年7月25日
;67 (2)
神经图片
Methotrexate-induced encephaloclastic囊肿:脑室化疗的并发症
Sajeel Chowdhary,丽莎·m·查尔默斯,p·a·马克·张伯伦
第一次出版2006年7月24日,
DOI: https://doi.org/10.1212/01.wnl.0000218285.66074.45
丽莎·m·查尔默斯
一名36岁的男子与急性淋巴细胞白血病发达复发接受白消安和氟达拉滨移植紧随其后。
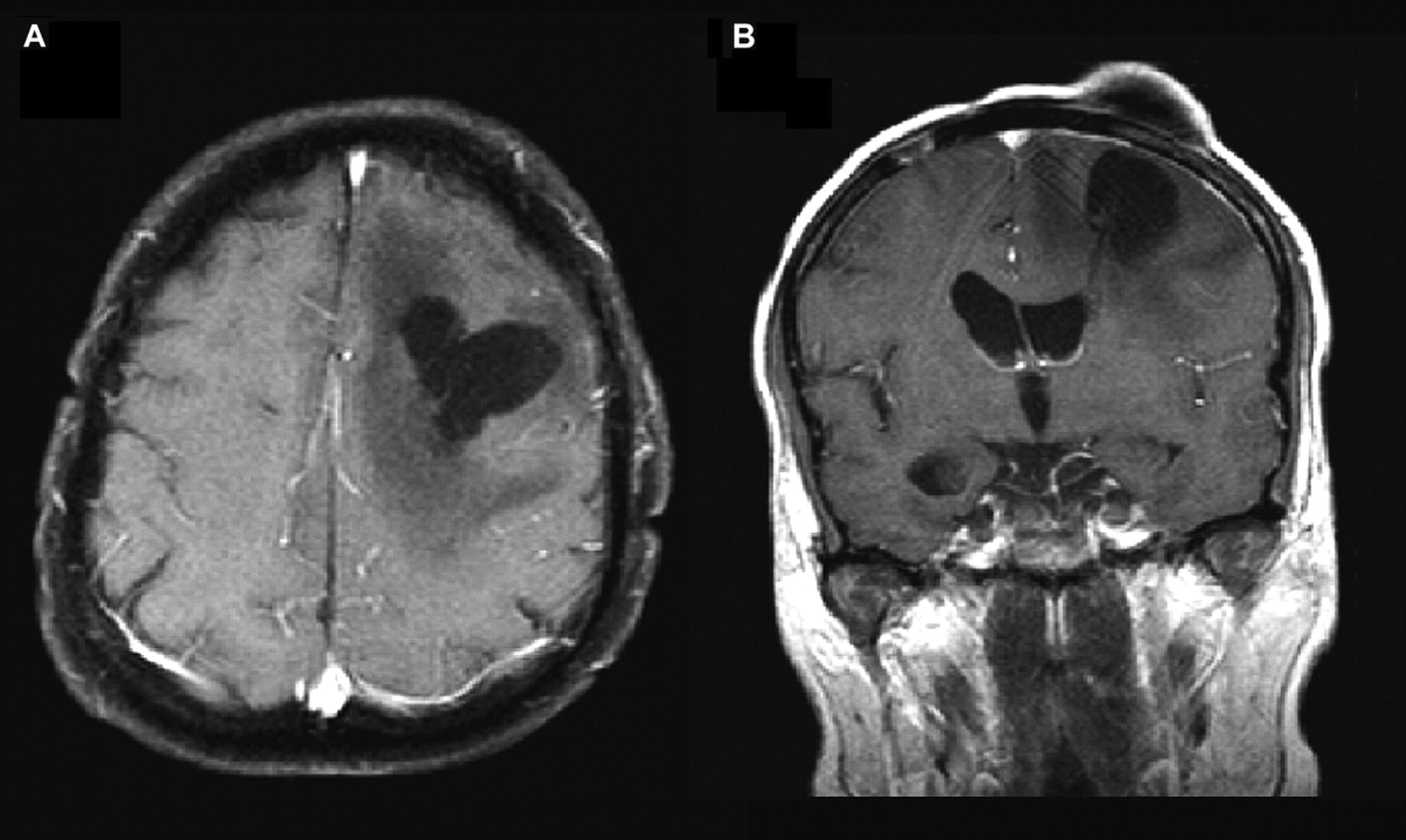
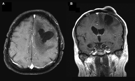
疾病复发白血病Ommaya水库是放置的脑膜炎。第六脑室甲氨蝶呤治疗后,病人急性混乱和进行性加重。颅先生(图)显示一个encephaloclastic囊肿脑室与甲氨蝶呤化疗的并发症通过Ommaya水库。
图。(A) t1轴先生形象对比演示了一个nonenhancing左额囊性空腔周围的脑室导管周围水肿。(B) t1日冕图像与对比度先生再次描述了质量效应的囊性空腔。植入奥马耶水库注意位置和脑室导管穿过囊性空腔的腔。
水库被除去,囊肿内容显示淋巴细胞和巨噬细胞的组织病理学炎症外加剂。囊肿内容是细菌学的无菌和恶性肿瘤的囊肿是负数。随后,病人完成神经康复了。
Ommaya水库经常用于癌症患者化疗提供脑室leptomeningeal转移。1Methotrexate-induced encephaloclastic脑室囊肿很少是一个描述的并发症化疗等并发症,如无菌性脑膜炎(化学)和导管相关性感染。2发病机理推测是由于沿导管逆行流束的脑室化疗。
1。桑德伯格DI, Bilsky MH、Souweidane毫米Bzdil J, Gutin博士Ommaya水库leptomeningeal转移的治疗。神经外科2000年;47:49-55年。OpenUrlCrossRefPubMed
2。张伯伦MC, Kormanik PA,胡须d .并发症脑室化疗患者leptomeningeal转移。J Neurosurg1997年;87年:694年-699年。OpenUrlCrossRefPubMed
脚注
披露:作者报告没有利益冲突。
信:快速的网络通信
你可能也会感兴趣
广告
相关文章
-
没有找到相关文章。
主题讨论
提醒我
推荐的文章
- 文章
Leptomeningeal转移的MRI的时代J.L.克拉克H.R. Perez L.M.千斤顶等。
首页神经学,2010年5月03日 - 简短的沟通
Non-AIDS-related淋巴瘤的脑膜炎:联合疗法马克·c·张伯伦,帕蒂Kormanik et al。
首页神经学,1997年12月1日 - 文章
预后的意义一口111 leptomeningeal Indiu188金宝慱官网下载m-DTPA CSF流研究转移马克·c·张伯伦,帕蒂Kormanik et al。
首页神经学,1996年6月1日 - 简短的沟通
CSF水平angiogenesis-related leptomeningeal转移患者的蛋白质d . Brandsma w . j . c . Reijneveld Boogerd et al。
首页神经学,2005年10月10日


