2006年8月08
;67 (3)
神经图片
吸入后海洛因海绵状白质脑病的MRI特征
Wei-Chou常,Chung-Ping瞧,总理花王,程毓陈
第一次出版2006年8月7日,
DOI: https://doi.org/10.1212/01.wnl.0000216155.52411.6e
一名26岁的男子海洛因吸入了受损的运动的历史,演讲,和认知功能,降低肌肉力量,活跃深部腱反射,和完整的轻度,振动和针刺的敏感性。
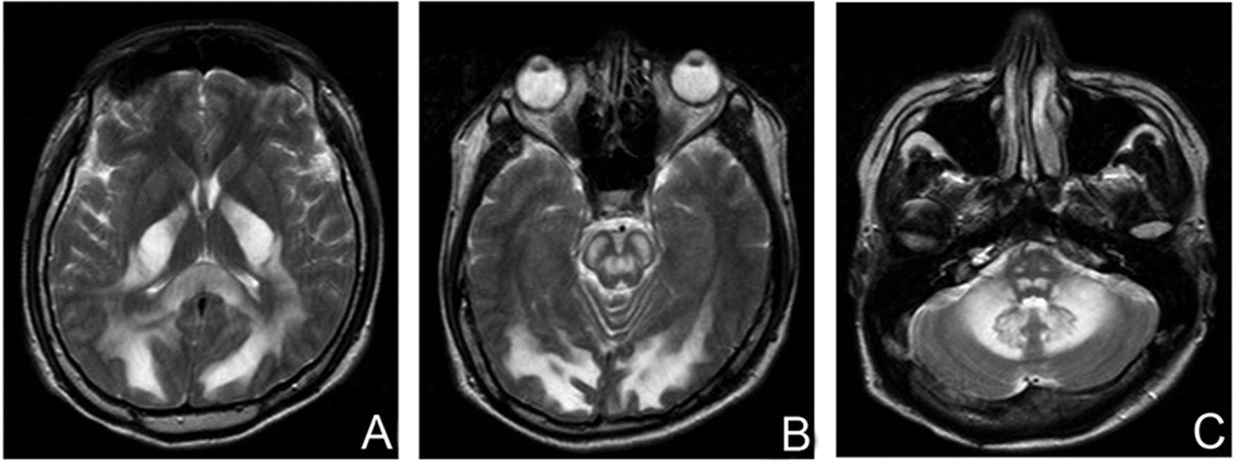
t2加权MRI显示对称hyperintensity白质束符合海绵状变性和髓鞘脱失(图1)。1参与这些白质束和内囊后肢,抽出的皮层和基底神经节,在heroin-induced特征发现脑白质病,有助于区别于其它原因造成的脑白质病。1H夫人透露N-acetylaspartate /肌酐下降(乙酰天冬氨酸/ Cr)比和紧身上衣乳酸峰(图2),表明线粒体功能障碍和神经毒性。2MRI可以准确揭示白质异常的分布heroin-induced患者脑白质病,和1H夫人,虽然不是必不可少的诊断,有助于进一步阐明条件。
图1所示。轴向t2加权图像先生(重复时间/回波时间:4000/99)对称hyperintensity受影响的大脑(A)后,脑桥(B)和小脑白质(C)。大脑皮层、基底神经节和花托幸免于难。
1。基奥CF,安德鲁斯GT,史派西SD, Forkheim客,Graeb哒。神经影像学特点的海洛因吸入毒性:“追龙”。杂志是J Roentgenol2003年;180年:847年-850年。OpenUrlPubMed
2。克里斯坦AR, Shungu DC,米勒WS,等。脑白质病和脑乳酸从海洛因吸入蒸汽(“追龙”)。首页1999年;53:1765年-1773年。OpenUrl文摘/免费的全文
脚注
披露:作者报告没有利益冲突。
信:快速的网络通信
你可能也会感兴趣
广告
相关文章
-
没有找到相关文章。
提醒我
推荐的文章
- 文章
脑白质病和脑乳酸从海洛因吸入蒸汽(“追龙”)境,克里斯坦特区Shungu,至此米勒等。
首页神经学,1999年11月1日 - 文章
Biallelic变体LARS2和卡尔斯引起耳聋和脑白质营养不良(ovario)Marjo s . van der Knaap玛丽安娜Bugiani,玛丽莎。门德斯et al。
首页神经学、08年2月,2019年 - 文章
神经影像学的过氧物酶体生物起源疾病(齐薇格谱)和长期生存p·g·巴斯,c . B.L.M. Majoie, j . Gootjes et al。
首页神经学,09年2月,2004年 - 文章
亨廷顿氏舞蹈症的1 h核磁共振光谱学研究相关性与CAG重复数字
b·g·詹金斯h·d·罗萨斯研究。陈等人。
首页神经学,1998年5月1日


