2006年8月22日
;67 (4)
居民和其他页面
单方面的肢端感觉异常
一个不寻常的急性中风的表现
盖美国罗,Olajide威廉姆斯
第一次出版2006年8月21日,
DOI: https://doi.org/10.1212/01.wnl.0000230143.34760.64
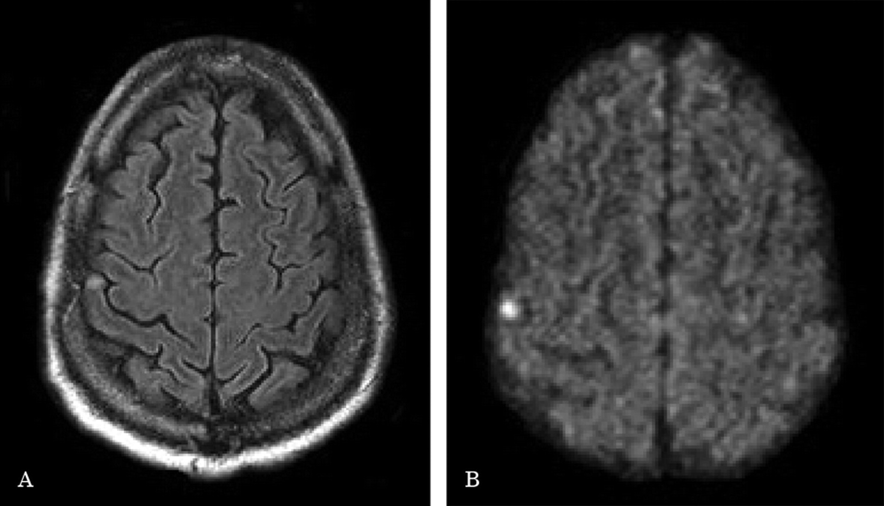
51岁的右撇子的人与高血压但没有药物呈现急性发作后的第二天在左手的指尖麻木。肢端感觉异常是局限于左第三和第四的手指远端方面。神经系统检查发现减少感觉轻触和针刺在左边第三和第四远端趾骨。两点歧视受到了损害,立体感觉和graphesthesia没有测试。剩下的考试是不正常。头部CT的表现是正常的。第二天,diffusion-weighted大脑的核磁共振显示限制高信号区正确的躯体感觉皮质。他的症状在3天内解决。颈动脉超声心电图,霍尔特监视和多角度是正常的。他于阿司匹林和美托洛尔日出院。
报告的纯感官中风的皮质病变是罕见的。1、2通常,模糊的感觉迟钝的投诉和涉及指尖和手的感觉异常是由于压腕管综合症等疾病,颈神经根病,远端周围神经病变或换气过度综合征。侧感觉赤字包括脸,胳膊,腿,主要是由于丘脑病变。当一个或两个部分的侧方,通过临床检查病变的定位更可疑。在这个病人,纯粹的感官中风是由于一个小梗死皮质区域的大脑中动脉造成的,据推测,由栓子来源。虽然没有为我们的病人的中风病因进一步评估,发现颈动脉栓子来源应该追求的,特别是在复发性感觉异常的设置(图)。
脚注
披露:作者报告没有利益冲突。
信:快速的网络通信
你可能也会感兴趣
广告
相关文章
-
没有找到相关文章。
主题讨论
提醒我
推荐的文章
- 文章
触觉空间分辨率在盲目的盲文读者以R.W. Van Boven,右汉密尔顿,t·考夫曼等。
首页神经学,2000年6月27日 - 居民和其他部分
临床推理:一个54岁的女人,手感觉迟钝许多维度的一个常见问题
j . Vijayan Ng以斯帖明沟,A. K. Therimadasamy et al.
首页神经学,2009年10月5日 - 简短的沟通
低剂量、短期口服强的松治疗腕管综合症史蒂文•赫斯科维兹艾伦·r·伯杰理查德·b·利普顿等。
首页神经学,1995年10月1日 - 文章
随机对照试验的手术和注射类固醇腕管综合症A.C.F.回族,c . h . s . Wong Leung et al。
首页神经学,2005年6月27日


