11月14日了
实践参数:小儿癫痫持续状态的诊断评估
河畔循证审查,里维耶洛等人认为是电解质的诊断效用,血培养,腰椎穿刺,抗癫痫药物的水平,毒理学,代谢的研究中,脑电图,神经影像学在1859名儿童和2093名儿童病因。大多数建议水平C(可能支持)或U(数据不足)和前瞻性研究是必要的。
看到页面1542年
一生中铅剂量和认知功能
施等人研究了协会的终身铅剂量,目前的铅浓度的测量胫骨骨,991年与认知功能社区城市成年人。胫骨铅水平与降低相关性能在所有七个认知领域评估。所谓正常的一些与年龄相关的认知功能下降可能是由于无处不在的神经中毒如铅。
看到页面1556年
这篇社论Weisskopf和迈尔斯指出,施等人发现与规范性老化研究的结果一致,表明高骨铅浓度和更差的下降之间的显著联系随着时间的推移visuomotor /视觉空间的测试。累积暴露在低水平的铅水平我们大多数人可能会暴露在我们生活有不良神经作用。这些研究表明,我们可以不再依赖于当前血铅暴露测量。然而,还需要更多的工作来建立,微妙的认知衰退确实接触铅累积的结果。
看到页面1536年
Erythermalgia: channelopathy钠
继承erythermalgia,灼痛轻微的温暖,Nav1.7钠离子通道是由基因突变引起的。这个通道是有选择地表达交感神经节和背根神经节神经元包括热痛觉受器。现在蔡等人描述一个erythermalgia Nav1.7电压传感器内的突变。
看到页面1563年
社论Schorge和Paček指出继承erythermalgia是一个情景障碍,就像许多其他情景性神经系统疾病,患者通常正常之间的攻击。在继承erythermalgia,症状包括强烈的外围灼痛,通常由热激活或运动。Nav1.7的重要性在疼痛的传播最早是由遗传协会明确表示,几乎同时继承erythermalgia和以鼠标的一拳。现在有七个突变与继承erythermalgia和到目前为止其功能特性表明,增加钠的活动V1.7特别增加了DRG神经元的活动导致增加疼痛的感觉。的变化研究了蔡等人并不影响任何研究带电残基的S4跨膜段。这种变化具有重大意义的控制通道:打开前,关闭后,一般反应较小的刺激。灼痛的heat-triggered集描述继承erthermalgia (SCN9A)平行热对其他钠离子通道基因突变的影响。
看到页面1538年
运动皮层经颅磁刺激对慢性神经性疼痛的影响
Lefaucheur等人发现gaba ergic抑制过程中有缺陷的运动皮层对应痛苦的慢性神经性疼痛患者的手。皮层抑制恢复后经颅磁刺激的运动皮层。这种效应与缓解疼痛。
看到页面1568年
血管危险因素和认知下降男性双胞胎
熊等人发现,在老年男性双胞胎不和谐的糖尿病糖尿病显示更大的认知衰退比非糖尿病的孪生兄弟。双胞胎不整合为高血压、体重指数升高,或高胆固醇血症并没有显示在双胞胎不同的认知能力下降。
看到页面1586年
体内的淀粉积累的评估患者的广告
Kemppainen等人amyloid-binding宠物配体的吸收相比,c[11]加以,AD患者和健康对照组。分布分析覆盖整个大脑显示广泛分布的增加吸收患者的广告。最显著的增加和控制的额叶皮质。
看到页面1575年
瘤旁梗死为脑瘤手术后
乌尔姆等人发现,胶质母细胞瘤手术后肿瘤前期梗塞是常见的和可以解释一些新的术后赤字。增强肿瘤前期图像可以被误解为肿瘤恶化。
看到页面1668年
这篇社论由芯和考夫曼指出,乌尔姆等人的研究提出了两个重要的点。它添加了一个新的警告结论来自早期MRI改变胶质母细胞瘤患者。第二,研究点的重要性,术后MRI脑部肿瘤切除后72小时内测量肿瘤切除的程度之前预期的发生术后的变化。酒后驾车应该被包括在研究协议时可行的。
看到页面1540年
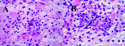
免疫重建炎性综合症的治疗艾滋病
马丁内斯等人报告艾滋病病人谁开发了一个免疫重建炎性综合症(IRIS)与渐进多焦点的脑白质病。糖皮质激素的患者改善和临时中断抗逆转录病毒药物。
看到页面1692年
图。(一)“毛玻璃”病毒包含在少突细胞炎症细胞(箭头所指)。他400×。(B)炎症细胞在血管壁和脑实质内(箭头)。他400×。
信:快速的网络通信
你可能也会感兴趣
相关文章
-
没有找到相关文章。
提醒我
推荐的文章
- 文章
帕金森病的双胞胎后续的研究
p . Vieregge j . Hagenah Heberlein et al。
首页神经学,1999年8月1日 - 文章
环境和基因的相对影响情景紧张性头痛Vibeke乌尔里希、Morten Gervil Jes奥尔森et al。
首页神经学、07年6月,2004年 - 文章
遗传和环境因素的相对作用没有先兆偏头痛m . Gervil诉乌尔里希,j . Kaprio et al。
首页神经学,1999年9月1日 - 文章
阿尔茨海默病的早期检测11C-PiB宠物在双胞胎不和谐的认知障碍
新墨西哥州谢宁,阿尔托,j . Kaprio et al。
首页神经学,2011年6月22日


